
版权所有,未经授权,不得转载、摘编本刊文章,不得使用本刊的版式设计。
除非特别申明,本刊刊出的所有文章不代表中华医学会和本刊编辑委员会的观点。
本刊为电子杂志,以光盘形式出版。本册应读者需求按需印刷,随光盘免费赠阅,光盘如有质量问题,请向编辑部调换
患者,男性,25岁,因"前胸壁、腹壁静脉曲张1年"于2016年12月于德惠市人民医院门诊就诊。
患者1年前无明显诱因出现左侧腋下胸壁浅表静脉曲张,于站立时静脉曲张显著。随后右侧腋下、胸侧壁、前胸-腹壁皮下逐渐出现静脉曲张。就诊1周前患者于弯腰低头位时出现头胀、颜面部皮肤充血征加重,并在运动后(如跑步、上下楼、或坐立位体位变化时)出现头疼、头晕症状。
患者于5年前曾因颈部淋巴结肿大行穿刺检查未见异常,给予抗炎治疗。吸烟史十余年(1盒/d);间断饮酒史8年(50 ml/次)、间断吸食冰毒8年。否认高血压、糖尿病、心脏病史。
门诊查体:体温、心率、血压、呼吸、神经功能反射、肝脾肋下触诊均未见异常。2015年患者曾因胸腹壁及两侧腋下静脉曲张(左侧胸壁为著,图1a)就诊,但未明确病因学诊断。2018年4月再次就诊时检查,右侧胸腹壁静脉扩张迂曲明显,通过指压试验显示血流为方向为离心性(自上而下,图1b)。腹部触诊无异常,双下肢无水肿,四肢肌力Ⅴ级。予血、尿常规、肝功、血糖、血脂、肾功、同型半胱氨酸检查正常,类风湿因子阴性。C-反应蛋白3.43 mg/L,梅毒及抗-HIV阴性;丙肝及乙肝相关检查无异常。凝血四项、D二聚体无异常。


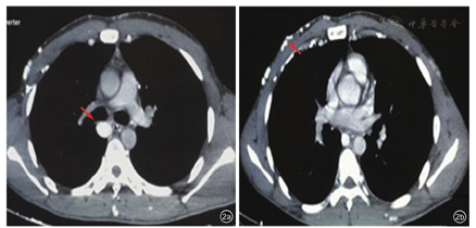
肝脏超声未见异常。胸部增强CT检查提示:右侧锁骨下静脉,上腔静脉均未显示,考虑闭塞。胸壁静脉扩张强化明显,右侧奇静脉扩张代偿。前纵膈高密度影,胸腺退化不全可能性大(图2a,图2b)。


颈内静脉超声检查(2016-12-10):双侧颈内静脉(图3a, 图3b, 图3c)、双侧头臂静脉血栓形成(完全型,图3d, 图3e, 图3f)。双侧锁骨下静脉血栓(图4a, 图4b, 图4c);腹壁浅静脉逆流经大隐静脉至股总静脉下腔静脉回心,胸腹壁迂曲静脉扩张(反流,图4d, 图4e, 图4f)。


注:RICA为右侧颈内动脉;RJ3为右侧颈内静脉3段;RCCA为右侧颈总动脉;RJ2为右侧颈内静脉2段;M为中段;RJ1为右侧颈内静脉1段;N为近端;LJ3为左侧颈内静脉3段;LJ2为左侧颈内静脉2段;LJ1为左侧颈内静脉1段;LCCA为左侧颈总动脉


注:RHV为右侧头静脉RSUBV为右侧锁骨下静脉;N为近端;LHV为左侧头静脉;LSUBV为左侧锁骨下静脉;RVTS为右侧甲状腺上静脉;VES为腹壁浅静脉;CFV为股总静脉
胸腹部增强CT检查(2019-4-17):(1)可见颈部与胸部浅静迂曲、扩张代偿(图5a);(2)可见代偿扩张粗大的奇静脉(图5b);(3)盆腔静脉丛迂曲、扩张(图5c)。根据患者体征及相关检查我们绘制了该患者静脉侧支回流路径模式图(图6),供临床参考。




上腔静脉位于中纵隔,由两支无名静脉汇合而成,长约6~8 cm,接受来自头颈、上肢和上胸部的血液进入右心房。上腔静脉为一薄壁、低压的大静脉,周围为相对较硬的组织,如胸骨、气管、右侧支气管、主动脉、肺动脉、肺门和气管旁淋巴结,这些部位的病变都有可能压迫上腔静脉导致上腔静脉综合征(superior vena caval syndrome,SVCS)[1]。
由于上腔静脉血栓或受压闭塞等原因导致投颈部血流回流不畅,胸壁浅静脉侧支成为静脉血液回流的重要途径,以相对缓解头颈部及上身静脉淤血的症状。SVCS患者80%是恶性肿瘤的压迫,其中以支气管肺癌最常见,其次见于淋巴瘤、胸腺瘤[1,2]。然而,纵膈纤维化、血管性疾病(动脉瘤,血管炎,动静脉瘘)、心包炎、心脏黏液瘤等,也是导致上腔静脉血栓、导致静脉回流受阻的重要病因[3,4,5]。本例患者的临床相关检查结果(检验指标与增强CT检查结果)排除了感染、恶性肿瘤、中心静脉插管、起搏器等病因,导致SVCS的病因考虑与先天性上腔发育异常及吸食毒品有关[6]。
上腔静脉在胚胎生命的第4周开始发育,在这个阶段,静脉系统由成对的血管组成,这些血管通过一系列的分支形成从手臂、头部和上躯干返回到心脏回流静脉[7]。本例患者发病年龄较大,上腔静脉慢性病变导致颈内静脉、头臂干静脉血流慢慢,继发静脉血栓,导致上腔静脉回流障碍,胸腹壁静脉扩张。然而,腹壁静脉曲张也见于门静脉循环障碍,但是本例患者通过查体及肝脏超声检查,可以排除门静脉循环障碍。下腔静脉回流受阻时,腹壁两侧也可出现静脉曲张,曲张静脉回流的方向是自下而上,本患腹壁曲张的静脉通过指压试验证实静脉回流方向为自上而下,提示上腔静脉回流受阻。经过颈部静脉超声、胸腹部静脉超声及胸部增强检查,证实为上腔静脉闭塞导致SVCS。
本例患者上腔静脉阻塞后,经胸腹壁浅静脉的扩张,奇静脉的扩张代偿建立了丰富的侧支循环,主要途径包括:(1)奇静脉:上腔静脉→奇静脉、半奇静脉一→腰升静脉、髂腰静脉一髂总静脉→下腔静脉;(2)胸廓内静脉:无名静脉→胸廓内静脉一腹壁上静脉→腹壁下静脉一髂外静脉;(3)椎静脉:椎间静脉及椎静脉丛直接与肋间静脉、腰静脉、骶静脉相连,与奇静脉、半奇静脉、胸廓内静脉、枕下静脉丛、颅内静脉丛及腹、盆静脉有广泛吻合支;(4)胸外侧静脉:腋静脉一胸外侧静脉→胸腹静脉→腹壁浅静脉→旋髂浅静脉、大隐静脉、股静脉,此组静脉表浅,易被发现。早在1986年Stanford等[8]通过静脉造影侧支循环途径将SVCS患者上腔静脉阻塞程度分为4级:(1)Ⅰ级;上腔静脉部分阻塞,奇静脉呈正向血流;若一侧无名静脉阻塞,可通过颈外侧静脉、颈前静脉、甲状腺下静脉、颈静脉弓与对侧无名静脉进入上腔静脉。(2)Ⅱ级:上腔静脉接近完全闭塞,奇静脉仍为正向血流;上腔静脉病变远端的血液可经腋静脉→胸外侧静脉→胸廓内静脉→肋间静脉→奇静脉、半奇静脉引流至阻塞部位以下的上腔静脉而进入右心房。(3)Ⅲ级:上腔静脉完全闭塞,奇静脉呈反向血流。上腔静脉的高压血流将逆向由奇静脉、半奇静脉→腰升静脉→髂总静脉→下腔静脉而进入右心房。(4)Ⅳ级:上腔静脉和奇静脉均闭塞。此时奇静脉仍为正向血流;而胸腹浅层静脉侧支循环可不明显;静脉血流经无名静脉→胸廓内静脉→腹壁上静脉→腹壁下静脉→髂外静脉→下腔静脉,或依赖于腋静脉→胸外侧静脉→胸腹静脉→腹壁浅静脉→旋髂浅静脉→股静脉→下腔静脉[8,9,10]。
本患者由于颈内静脉、头臂静脉、上腔静脉回流障碍,患者先后出现了淋巴回流受阻、颅内压增高致头胀、头痛、头晕的症状。后患者逐渐出现前胸壁、胸侧壁、腹壁静脉曲张。其病变血管定位于:上腔静脉、头臂静脉、锁骨下静脉近心端、颈内静脉血栓(完全型),通过静脉超声与CTV结果,分析病人主要通过以下三条静脉吻合支收集上腔静脉不能回流的静脉血流入下腔静脉。(1)头颈部静脉的吻合支:颅内的静脉血通过颈内静脉分支与颈外静脉、甲状腺上、中、下静脉和锁骨下静脉在腋锁交接区形成丰富的血管网,与胸腹壁、胸侧壁静脉相交通,至股总静脉经下腔静脉回流右心房。(2)上、下腔静脉侧支的吻合支:上肢及胸部的静脉血通过胸廓内静脉,锁骨下静脉的分支流入半奇静脉、奇静脉与上、下腔静脉相交通。(3)椎静脉丛通路:颅内静脉血通过颅内硬脑膜窦与椎静脉丛相通,椎静脉丛与盆腔静脉丛相交通,通过髂内、外静脉经髂总至下腔静脉汇合至右心房。我们绘制了该患者静脉侧支回流路径模式图供大家分享理解。
血管超声技术,通过彩色多普勒血流成像、多普勒血流频谱并借助指压试验观察胸腹壁静脉的血流方向,对于上腔静脉回流受阻的SVCS患者进行客观准确评估具有重要的临床价值。
























