
版权所有,未经授权,不得转载、摘编本刊文章,不得使用本刊的版式设计。
除非特别申明,本刊刊出的所有文章不代表中华医学会和本刊编辑委员会的观点。
本刊为电子杂志,以光盘形式出版。本册应读者需求按需印刷,随光盘免费赠阅,光盘如有质量问题,请向编辑部调换
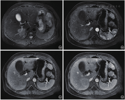
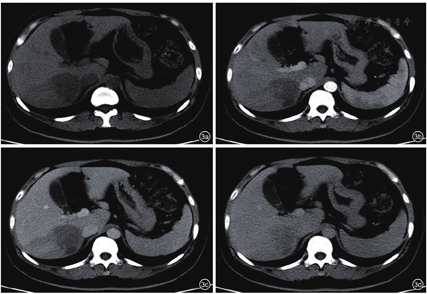
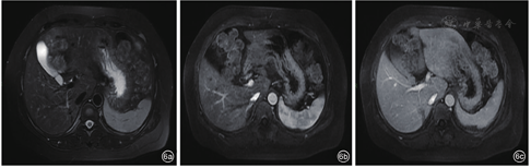
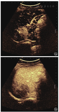
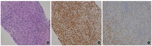
患者,女性,45岁,因糖尿病行体检无意间发现肝右叶肿物3 d入院。无腹痛、腹胀,无寒战、发热,无皮肤、巩膜黄染,无乏力,无体重减轻等。既往2型糖尿病病史,注射胰岛素治疗,血糖控制良好。无肝炎病史,无牧区居住史,无饮酒史,无肿瘤家族史。查体:体温36℃,肝、脾肋下未触及,腹平软,移动性浊音阴性。实验室检查:白细胞计数10.29×109/L,肝功能正常,乙型肝炎表面抗原和核心抗原阴性,甲胎蛋白(alpha fetoprotein,AFP)、糖类抗原19-9(carbohydrate antigen 19-9,CA19-9)及癌胚抗原(carcino-embryonic antigen,CEA)均阴性。腹部超声示:肝脏回声均匀,肝右叶被膜下探及低回声,约5.9 cm×3.6 cm,形态不规则,边界不清,周围无声晕,后方回声未见增强,内未见明显血流信号(图1)。超声诊断:肝右叶肿物,声像图不支持典型肝癌,血管源性病变待排。静脉团注2.4 ml声诺维造影剂,肝脏超声造影示:肝右叶上段可见一大小为5.3 cm×3.4 cm的弱回声团,形态不规则,超声造影呈动脉期高增强,门脉期及延迟期低增强,呈"快进快出"模式(图2)。超声造影诊断:肝右叶实性占位,倾向恶性,建议超声引导下穿刺活检明确性质。腹部CT示:肝右后叶肿物,边界不清,大小约4.1 cm×4.8 cm,分叶状,肿物密度欠均匀,平扫为低密度,增强扫描呈轻度延迟强化,病变侵犯门脉右支分支,致管腔狭窄,管壁水肿(图3),倾向炎性肉芽肿性病变,与肿瘤待鉴别,建议穿刺活检。腹部MRI示:肝右后叶肿物,范围约3.6 cm×4.8 cm,分叶状,边界不清楚,T1加权像(T1 weighted image,T1WI)低信号,T2加权压脂像(T2 weighted image/fat suppression,T2WI/FS)稍高信号影,弥散加权成像(diffusion weighted image,DWI)高信号,增强扫描轻中度延迟强化,病变侵犯门脉右支分支(图4)。腹部MRI诊断:肝右后叶肿物,考虑肝癌可能性大。临床初步诊断:肝右叶实性占位,肝癌待排。患者行超声引导下肝肿物穿刺,组织病理学回报:可见梭形细胞增生,伴炎细胞浸润,结合免疫组化,考虑炎性肌纤维母细胞性病变(图5)。免疫组化结果显示:AE1/AE3(-),Vimentin(3+),Actin(1+),SMA(2+),Desmin(-),s-100(-),CD1a(-),CD21(-),CD35(-),CD68(3+),Ki-67(10%)。患者定期复查,未行治疗。5个月后复查腹部MRI示:原肝右后叶肿物,现已显示不明确,仅局部可见小片状异常信号,T1WI低信号,T2WI/FS低信号,DWI无明显扩散受限,增强扫描强化程度低于周围肝实质(图6),符合良性病变,请结合临床及病理。结合既往穿刺活检及影像学随访病灶消退病史,患者最终诊断为肝脏炎性肌纤维母细胞瘤。随访至今21个月,患者一般情况良好,无复发。












炎性肌纤维母细胞瘤(inflammatory myofibroblastic tumor,IMT)是一类少见的交界性间叶性肿瘤[1],既往常称为炎性假瘤,2002年世界卫生组织(World Health Organization,WHO)软组织肿瘤组织学分类中将其定义为由分化的肌纤维母细胞性梭形细胞组成的,常伴大量慢性炎细胞(浆细胞、淋巴细胞)浸润的一种肿瘤[2]。免疫组织化学Vimentin、SMA多呈阳性,CD117、CK常呈阴性。IMT常发于肺脏,罕发于肝脏,肝脏炎性肌纤维母细胞瘤(hepatic inflammatory myofibroblastic tumor,HIMT)发病率仅为0.7%,占肺外IMT的8%[3]。HIMT由Pack等[4]于1953年首次报道。HIMT病因不明,可能与感染、自身免疫异常、基因异常等因素相关[5]。韩国一项多中心研究[6]发现,45例HIMT患者中有7例(15.5%)伴糖尿病。既往亦有HIMT合并糖尿病的病例报道[7]。本例患者既往有糖尿病病史,推测糖尿病患者免疫力降低,与肝脏病变之间或许存在免疫学方面的作用机制,具体机制尚需进一步研究。本病可发生于任何年龄,以青壮年居多,多见于男性[3]。临床症状以腹痛为主,其他包括间断发热、乏力、体重减轻,部分可无症状[6]。患者常无肝炎及肝硬化,肿块多单发、局限于右叶,常见于肝被膜下,可与膈肌、周围脏器及腹壁粘连[6]。实验室反应炎性的指标可升高,如白细胞、C反应蛋白或红细胞沉降率等。肝功能丙氨酸转氨酶和(或)天冬氨酸转氨酶水平常正常或稍高,肿瘤标记物AFP、CA19-9及CEA常阴性。
HIMT的超声、超声造影及CT、MRI影像表现多样,可能与不同病灶中病理组织学成分的比例及分布的差异相关[8]。超声常表现为单发、低回声肿块,内回声不均,形态多不规则,在特定切面可呈葫芦状、花生状或多结节融合状等特征性形态,部分病灶周围呈宽带状高回声[9],常无晕环,病灶后方多无明显增强或衰减。由于HIMT中纤维组织增生与慢性炎细胞比例不同,病灶凝固性坏死成分存在差异,随着病程的变化,其声像图表现多样。莫国强等[9]随访7例HIMT病灶发现,3例原低回声病灶内出现高回声,2例原病灶周边低回声晕消失并在11个月后为高回声圈替代,考虑为病变后期或陈旧性病灶内纤维组织增生、形成假包膜所致。本例患者肝脏肿瘤形态不规则,边界不清,与既往报道一致,结合穿刺病理,考虑肿瘤为病变后期,以增生为主。彩色多普勒血流显像(color Doppler flow imaging,CDFI)示肿块内多无明显血流信号,少数内部及周围可探及血流,血流阻力指数(resistance index,RI)多小于0.5[7]。由于不同病灶内新生血管血供程度不同,病灶内纤维化及炎性细胞成分有差异,HIMT超声造影模式亦可呈多样性,但文献报道[10,11],多数HIMT超声造影表现为恶性肿瘤增强模式,即"快进快出",因而超声造影有此模式者并不能完全排除HIMT可能。本例患者肝脏超声造影即因呈现"快进快出"灌注模式而被误诊为恶性。HIMT的CT影像学大多表现为肝内低密度肿块,其强化方式多样,有全瘤填充型、边缘强化型、分隔强化型、无强化型[12]。其特征性改变为动脉期病灶无强化或强化不明显,静脉期及延迟期不同程度、不同方式强化,即呈"慢进慢出"表现,以周边环状强化最多见[13]。本例患者CT表现为边缘延迟强化型,与既往研究相符。MRI平扫病灶多为圆形或类圆形,T1WI常呈低信号,T2WI呈中高信号,推测与病变处于进展期,以慢性炎细胞浸润为主,组织含水量较高有关,MRI与CT强化方式及程度相似,多表现为周边延迟强化[12]。有学者认为,此影像学表现体现了HIMT病理学特点,即病变以门静脉供血为主,肝动脉供血较少[14],病灶门脉期及延迟扫描边缘明显强化,考虑为造影剂从血管内渗透到血管外间隙后,聚集到纤维组织内,从而难以立刻廓清、导致延迟所致[15],病灶中心无强化反映了肿瘤内部细胞可能发生凝固性坏死。本例患者MRI表现T1WI低信号,T2WI稍高信号及周边延迟强化模式,与既往研究一致。HIMT超声造影模式与CT和(或)MRI增强模式不一致,分析可能与造影剂增强原理、从血管渗透途径不同有关。而HIMT在CT和(或)MRI影像学上另一个具有特征性的表现是清晰的门静脉分支可从肿瘤中穿过或包绕,表现为"挂果"征,同时常伴门静脉分支管壁增厚、管腔狭窄,后者为HIMT合并闭塞性静脉炎使门静脉分支受累所致[16]。本例患者CT和MRI均发现病变与门脉右支分支关系密切,MRI误诊为肝癌侵犯门脉右支分支,实则为门静脉右支穿入肿瘤,形成"挂果"征象,门静脉右支管壁水肿、管腔狭窄,实际上形成门静脉炎。HIMT的临床及影像学表现与少血供的肝细胞癌、胆管细胞癌、肝转移癌及肝脓肿有重合,除注意其影像学的特征表现外,还需结合其他因素综合考虑加以鉴别,如全身症状、肝炎和(或)肝硬化背景、肿瘤标记物(AFP、CEA、CA19-9)、既往肿瘤病史等,必要时可行超声引导下肝脏穿刺活检及免疫组化。
HIMT的治疗方式包括手术、应用大剂量类固醇激素和非甾体类抗炎药及保守观察等。有学者倾向于推荐肝切除手术,认为其更适用于手术低风险患者[3]。考虑到肝脏手术创伤大、术后存在一定并发症,有学者提出不同看法。国内李明信等[7]分析近1000例HIMT病例后认为,对于肿瘤位于肝门部、手术风险大、切除困难者,推荐观察或保守治疗。一项多中心研究发现,27例HIMT经保守治疗后肿瘤可缩小,甚至完全消失[6]。Sarrami等[17]认为,HIMT保守治疗效果好,也可能自行缓解,因此在行穿刺活检排除恶性肿瘤后,观察随访或保守治疗应当成为治疗首选。而对于诊断不明确、保守治疗无效或发生严重并发症的患者,可考虑手术切除[18]。有研究认为,肝脏病灶在重复影像学检查中自行消退的特点对准确诊断HIMT具有重要意义[15]。近年有学者[19]报道,1例以发热为首发症状的多灶肝占位患者,腹部MRI及全身PET-CT检查结果均倾向转移瘤,而肝脏穿刺未发现恶性证据,故未治疗仅进行影像学检查随访,1个月后肿瘤完全消失,最终结合病史、影像学表现及转归,该患者诊断为HIMT,并且研究者推荐可将严密观察作为HIMT的处理方式。结合本例患者肿瘤自愈的特点,进而推测严密影像学随访可能使HIMT患者获益。
本例患者临床发生误诊,分析原因如下:(1)HIMT发病率低,该患者缺乏典型的临床特征,如发热、腹痛及体重减轻等;(2)忽视了患者为女性、无肝炎及肝硬化背景、肿瘤标记物(AFP、CA19-9及CEA)正常等临床特点;(3)超声造影"快进快出"灌注模式不易与肝细胞癌区分;CT和MRI影像学延迟增强模式不易与少血供的肝细胞癌、肝内胆管细胞癌等肿瘤鉴别;(4)对本病合并闭塞性静脉炎使门静脉分支受累所致的典型"挂果"征认识不足,故将其误诊为恶性肿瘤侵犯门静脉分支。
总之,HIMT患者临床症状无特异性,影像学表现有一定特点,易误诊为恶性肿瘤。但其诊疗方式与恶性肿瘤截然不同,HIMT可选择保守观察治疗或手术治疗。因此,HIMT的早期正确诊断极其重要。临床对于无肝炎或肝硬化,肿瘤标记物正常,超声表现肝右叶单发、形态不规则肿物,超声造影表现为"快进快出"灌注模式,CT和(或)MRI表现为延迟强化、尤其具有"挂果"征者,需考虑HIMT可能。超声引导下行肝脏穿刺活检及免疫组化有望明显提高HIMT的诊断准确率。无症状患者肿瘤或可自行消退,严密影像学观察或可作为首选处理方式。
























