
版权所有,未经授权,不得转载、摘编本刊文章,不得使用本刊的版式设计。
除非特别申明,本刊刊出的所有文章不代表中华医学会和本刊编辑委员会的观点。
本刊为电子杂志,以光盘形式出版。本册应读者需求按需印刷,随光盘免费赠阅,光盘如有质量问题,请向编辑部调换
患者女性,69岁,于7 d前活动后出现上腹部痛,呈持续性钝痛,无腹胀,无发热寒战,无恶心呕吐,大小便正常,体质量无明显变化。既往糖尿病病史10年,肝囊肿病史10年,无肝炎、结核病史。体格检查:皮肤及巩膜无黄染。全腹压痛伴反跳痛及肌紧张,肝脾肋下未触及,墨菲征阴性,腹部未触及明显包块。叩诊呈鼓音,移动性浊音阳性。实验室检查:甲胎蛋白(alpha fetoprotein,AFP)3.8 μg/L,癌胚抗原(carcinoembryonic antigen,CEA)0.6 μg/L,丙氨酸氨基转移酶(alanine aminotransferase,ALT)10.48 IU/L,天门冬氨酸氨基转移酶(aspartate aminotransferase,AST)17.87 IU/L,总胆红素21.32 μmol/L,乙肝表面抗原阴性。血常规检查:白细胞11.14×109/L、中性粒细胞9.9×109/L,淋巴细胞、单核细胞、嗜酸细胞计数下降。
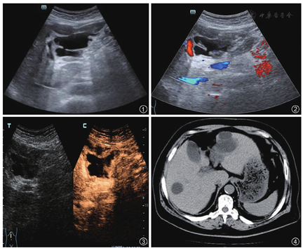
二维超声声像图示:肝脏大小及形态正常,肝内可见多发圆形、类圆形无回声区,壁薄、光滑、内清晰,后方回声增强。肝左叶边缘可见大小6.9 cm×4.2 cm混合性回声(图1),囊内可见少许分隔,无血流信号(图2),囊壁增厚、回声紊乱。下腹肠间可见较厚径7.3 cm无回声区。


超声造影检查:经肘正中静脉团注入Bracco公司SonoVue微泡超声造影剂1.8 ml,实时观察肝左叶内囊实性病灶3 min,15 s造影剂开始充盈,32 s充盈均匀,46 s开始消退,动脉相、门脉相、延迟相囊腔内均未见造影剂充盈,囊壁强化程度始终与肝实质保持同步,病变周围腹腔内未见造影剂信号(图3)。
平扫计算机体层摄影(computed tomography,CT):肝大小、形态未见异常,被膜光整,肝内可见多发类圆形、不规则低密度影,边界清晰,较大者位于肝左叶边缘,密度均匀,周围脂肪间隙模糊,可见斑片状密度增高影,其余肝实质密度均匀(图4)。右侧结肠旁沟、盆腔内可见片状水样密度影。
超声引导下肝囊肿、腹腔积液诊断性穿刺均抽出灰褐色液体,化验结果:肝囊肿引出液与腹腔积液性质相同,临床诊断为肝囊肿破裂合并感染。
肝囊肿是肝较常见的良性病变,生长缓慢。多数为先天性,少数由上皮退行性变形成有上皮内衬、充满液体的空腔。小的肝囊肿多无明显症状,大的肝囊肿尤其位于肝包膜附近的囊肿患者可出现上腹胀满感或隐痛。肝囊肿破裂较少见,为外科急腹症[1],病情发展迅速,常发生严重的并发症[2,3]。肝囊肿破裂常伴低血容量休克,腹腔积液,需及时实施外科手术治疗。本例患者囊肿位于肝边缘被膜下,合并感染后短期内囊肿体积快速增大可能是其破裂的重要因素。
肝囊肿破裂需与急性胆道感染、胆石症及急性胰腺炎相鉴别。急性胆道感染、胆石症临床表现为右上腹持续性疼痛,墨菲征阳性,可伴轻度黄疸,超声表现为胆囊增大、壁增厚,超声墨菲征阳性,胆囊或胆管内可见高回声团后伴声影。急性胰腺炎临床表现为急性上腹痛、恶心、呕吐、发热,超声表现为胰腺明显肿大,形态饱满,边缘不规则。此外,肝囊肿破裂需与肝转移癌、肝脓肿等疾病相鉴别。本例超声造影表现为囊腔内及分隔均未见造影剂充盈,囊壁强化程度始终与肝实质保持同步,病变周围腹腔内未见造影剂信号,支持肝囊肿破裂的诊断,且可明确肝是否存在活动性出血,结合超声引导下穿刺抽液证实囊肿液与腹腔积液同一性质而明确诊断,为选择合适的治疗方案提供了诊断依据。
超声检查无创便捷,且能有效区分各种肝疾病,对识别腹膜内游离体液和包裹分离膜的囊肿有很大的帮助[4,5,6]。超声造影可清晰显示二维超声显示不清或未被发现的病灶,因此,二维超声及超声造影是目前诊断肝病变应用最广泛的影像技术[7]。与CT比较,超声可更方便和连续动态观察肝囊肿变化、囊肿破口及肝内血流情况,因此已成为肝囊肿常规检查方法。根据肝内出现典型囊肿声像图表现、囊壁的变化,结合临床病史,可准确诊断肝囊肿破裂[8]。
























