
版权所有,未经授权,不得转载、摘编本刊文章,不得使用本刊的版式设计。
除非特别申明,本刊刊出的所有文章不代表中华医学会和本刊编辑委员会的观点。
光盘如有质量问题,请向编辑部调换
青年脑卒中是指18~45岁患者的脑卒中,与老年脑卒中相比,青年脑卒中的病因更为复杂。有研究表明[1],在青年卒中的病因中,心源性卒中占1/3。现报道1例先天性二叶式主动脉瓣畸形(congenital bicuspid aortic valve,CBAV)致青年脑卒中。
患者,女性,27岁,因右侧肢体活动障碍、言语不能1 d入院。患者于2017年9月10日11:00时无明显诱因突然出现右侧肢体活动障碍伴言语不能,立即送往当地医院急诊,行头部CT检查,未见出血灶,考虑为脑梗死,于15:27时予以尿激酶100万单位静脉溶栓治疗,症状未见缓解,后转入湖南省郴州市第一人民医院,头部CT提示右侧枕叶脑出血,左侧基底节区低密度灶。患者近20余天来有反复发热,最高体温39 ℃,否认高血压病、糖尿病、心脏病,否认肝炎、结核等传染病史。体格检查:体温37 ℃,脉搏75次/min,呼吸22次/min,血压118/84 mmHg(1 mmHg=0.133 kPa),心律齐,胸骨左缘可闻及收缩期杂音,神志模糊,右侧肢体肌力0级,肌张力低,左侧肢体肌力Ⅴ级,肌张力正常,右侧巴氏征(+)。
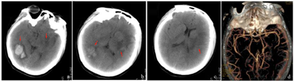
辅助检查:生化、免疫、血管炎相关、蛋白S、蛋白C未见异常;血常规:白细胞计数13.4×109/L,中性粒细胞百分比82.8%,血红蛋白浓度为74.0 g/L,血小板计数为404.0×109/L。心电图正常。经胸心脏彩色超声检查:(1)主动脉瓣轻度关闭不全;(2)左侧心功能测值射血分数、缩短分数正常范围。头部CT+头颈部CT血管成像(图1):(1)颅脑、颈部CT血管成像未见明显动脉硬化;(2)右侧枕叶脑出血;(3)左侧基底节-放射冠区低密度影。颅脑磁共振平扫+颅脑静脉成像(MRI+MRV,图2):(1)左侧额、颞、顶、岛叶及基底节、放射冠、半卵圆中心区急性梗死;(2)右侧枕叶脑出血;(3)颅脑静脉系统未见异常。




入院后予以头孢曲松抗感染、脱水降低颅内压力、保护脑组织、营养支持等对症处理。入院后第2天患者体温降至正常。第5天,患者再次出现发热,抗生素更换为头孢哌酮钠舒巴坦钠,患者仍偶有低热。第10天,患者诉胸部不适,再次详细体格检查发现胸骨左缘可闻及3~4/6级收缩期吹风样杂音。进一步完善经食道心脏彩色超声检查(图3):(1)主动脉瓣赘生物形成并主动脉瓣中重度反流,符合细菌性心内膜炎;(2)二叶式主动脉瓣。血培养提示粪肠球菌阳性。抗生素调整为青霉素+阿米卡星。9月30日,患者突然出现左侧下腹部疼痛、腹胀。查全腹增强CT:脾梗死、左侧肾梗死。腹部CT血管成像未见异常。10月11日后患者未再发热。10月16日,血培养阴性。10月24日,患者行心脏瓣膜置换术。2个月后随访,患者可自行缓慢行走,右手精细活动差。一年半后随访,患者未出现血管栓塞事件。
青年女性,急性起病,表现为右侧肢体活动障碍、言语不能,结合影像学检查,诊断为脑卒中。TOAST分型为目前使用最为广泛的脑卒中病因分型,本例患者无高血压、糖尿病等脑梗死高危因素,CT血管成像未见颅内外血管狭窄,不考虑动脉粥样硬化性脑梗死。患者左侧颞岛叶脑梗死,静脉溶栓后发现右侧枕叶脑出血,结合患者有发热、贫血、心脏杂音,应考虑心源性栓塞的可能,进一步完善血培养、经食道超声心动图等检查。根据2015年欧洲心脏病学会修订的感染性心内膜炎(infective endocarditis,IE)诊断标准[2],本例患者符合2条主要标准(血培养阳性;超声心动图发现赘生物),符合3条次要标准(CBAV;发热最高体温39 ℃;脑梗死、肾梗死、脾梗死、脑出血等血管征象),最终确诊为CBAV并发IE致脑卒中。
CBAV是成人先天性心脏病中较常见的类型之一,发病率为0.5%~2%[3]。由于二叶瓣瓣叶宽大冗长,血流通过时受阻形成湍流易导致IE的发生。IE患者有25%~75%合并中枢神经系统并发症[4]。其中脑栓塞在临床上较为多见,其机制与细菌栓子脱落、赘生物脱落或动脉内膜炎相关。其次为脑出血,其机制与脑内菌性动脉瘤破裂相关,还可能是IE的赘生物脱落引起栓塞进而并发栓塞后出血。Walker等[5]的研究发现,IE并发脑卒中患者溶栓后出血的风险极大。本例患者静脉溶栓术后发现脑出血,与上述研究结果一致。因此,虽然指南没有明确将IE列为溶栓禁忌,但不推荐静脉溶栓治疗。然而,对于IE并发大血管栓塞患者,有多数学者表示可考虑血管内介入治疗[6],但这仍有待进一步研究。
青年脑卒中患者的病因甄别很重要。IE起病隐匿,临床表现复杂多样,典型的临床表现有发热、心脏杂音、系统性栓塞等,且随着临床上抗生素早期广泛使用,典型的临床表现更少,以致易漏诊、误诊。本例患者从临床表现及体格检查(发热、心脏杂音)首先考虑心源性可能,但进一步的心电图、经胸心脏彩色超声检查不支持该诊断。住院期间先后使用头孢曲松及头孢哌酮舒巴坦抗感染,患者间歇性发热,延迟了血培养。对于怀疑IE的患者应尽早行血培养及心脏超声检查。血培养有助于感染类型的明确及抗菌药物的选择[7]。对于单次血培养为阴性及间歇性发热的患者,反复多次进行血培养可提高阳性检出率。经胸超声心动图可检出50%~75%的赘生物,经食道超声心动图的敏感度高达95%以上,可检出<5 mm的赘生物,经胸超声心动图未发现赘生物时并不能除外IE,可进一步行经食道超声心动图检查[8]。
本例青年卒中患者,IE是其直接病因,而CBAV是其原发病。IE所致脑卒中患者的二级预防,抗栓治疗方案仍有争议,有研究认为[6],抗血小板以及抗凝治疗对于该类患者栓塞的风险无明显降低,然而出血的风险有增加。该患者因合并脑出血,未予以抗栓治疗。笔者认为,该患者的二级预防关键在于早期、大量、长程的抗感染与手术治疗。当存在手术治疗的适应证时,积极的手术治疗可降低病死率,改善预后。一般情况下,在脑梗死后2周左右可进行手术治疗。对于合并脑出血的患者,手术应推迟至少1个月[9]。该患者合并有CBAV,有绝对的手术适应证,积极抗感染后适时手术治疗,患者预后良好。
综上所述,当遇到在静脉溶栓时间窗内的青年脑卒中患者合并有心脏杂音、发热、贫血等临床表现时,应高度警惕是否为IE,需慎重考虑静脉溶栓治疗。对怀疑IE的患者,应尽早完善经胸超声心动图及反复血培养检查,必要时完善经食道超声心动图帮助明确诊断,以减少漏诊、误诊。积极的抗感染治疗及手术治疗才是该类患者有效的二级预防,患者可获益。
























