
版权所有,未经授权,不得转载、摘编本刊文章,不得使用本刊的版式设计。
除非特别申明,本刊刊出的所有文章不代表中华医学会和本刊编辑委员会的观点。
本刊为电子杂志,以光盘形式出版。本册应读者需求按需印刷,随光盘免费赠阅,光盘如有质量问题,请向编辑部调换
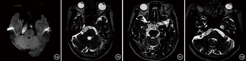
患者,女性,57岁。因"发作性右侧面部疼痛30年"入院。入院检查:神志清楚,语言流利,瞳孔等大等圆,对光反射灵敏,活动自如。右侧鼻翼及鼻翼旁触痛阳性。额纹对称,鼻唇沟等深,伸舌居中,颈软。四肢活动自如。初步诊断为颅内占位:右侧胆脂瘤?右侧继发性三叉神经痛(v2、v3)。MR示右侧鞍区及脑干区域幕下占位,胆脂瘤可能(图1)。


明确无手术禁忌后行开颅肿瘤切除术。患者取仰卧位,头偏向左侧60°,标记左侧翼点联合颞下问号型切口,切开右侧头皮全层及颞肌,骨膜下剥离,钻颅,铣刀打开约6 cm×10 cm骨窗,咬骨钳咬平蝶骨棘,暴露前床突骨质,咬平颞骨,暴露中颅窝底。四周悬吊硬脑膜,并以蝶骨嵴为中心呈星形切开,置手术显微镜,抬起额叶解剖暴露颈内动脉、视神经,解剖视神经颈内动脉间隙、外侧裂及鞍上池,见肿瘤位于颈动脉池及鞍上池,向外位于右侧后交通动脉、动眼神经旁,呈灰白色,质软,无明确血管,予取瘤钳分块去除。向后打开Liliequist膜暴露基底动脉,基底动脉右侧天幕下见肿瘤组织,予更换颞下入路,抬起颞叶,暴露天幕,向内侧游离蛛网膜直至暴露脑干右侧,暴露滑车神经,予滑车神经传入幕缘的后方切开小脑幕,见小脑幕下小脑上动脉走形,丝线悬吊天幕,见肿瘤位于脑干右侧、三叉神经腹侧,予分块去除。术后头颅CT复查示肿瘤完全切除,病理示表皮样囊肿。术后患者三叉神经痛症状消失。
胆脂瘤好发于硬膜下,常位于脑桥附近,如小脑脑桥角区、鞍旁、第四脑室等[1];桥小脑角区胆脂瘤占颅内胆脂瘤的40%,三叉神经痛患者桥小脑角区胆脂瘤发病率为0.2%~5.5%[2,3]。胆脂瘤具有蔓延生长的特性,多沿蛛网膜下隙及脑池匍匐性蔓延生长[4],部分患者可形成跨中后颅底的巨大不规则占位病变。该例为巨大胆脂瘤合并三叉神经痛患者,肿瘤横跨中后颅窝,既往多采用幕上、下联合入路或分期手术切除肿瘤,手术创伤大,效果欠佳[5],本病例采用翼点入路,清除鞍区及颈动脉区域胆脂瘤,颞下入路剪开小脑幕清除幕下三叉神经腹侧肿瘤。手术操作需注意以下:(1)利用额颞叶间隙,彻底打开颅底脑池及侧裂池蛛网膜,避免脑组织过度牵拉;(2)注意保护Labbe静脉及颞叶,Labbe静脉常为多分支型,偏前的静脉血管较细[6],术中需尽可能保护,如上抬困难,可电凝切断细小分支,术后往往伴随颞叶肿胀;(3)颞下入路进行后颅窝肿瘤切除时,除剪开小脑幕进行肿瘤切除外,还可以对岩骨嵴、岩尖进行磨除,增加岩骨背侧、中下斜坡和基底动脉中上段区域的暴露[7]。
对于跨中后颅窝的肿瘤,除以上手术操作点外,手术策略更为关键。硬膜外岩前入路(Kawase入路)较硬膜下岩前入路具有以下优势:(1)手术标志更清晰明确;(2)无需涉及颞叶的抬起,引流静脉的保护。但硬膜外入路尚存在以下缺点:(1)岩骨磨除的范围广泛,故不必扩大磨除岩骨,避免造成副损伤;(2)手术入径涉及硬膜从颅底的剥离,故脑膜中动脉及岩大神经易受损失,增大术后脑脊液漏的概率[8]。因此,硬膜下入路对患者创伤更小,可最大程度地避免脑脊液漏。
胆脂瘤的临床隐匿性发展决定了部分患者可形成横跨中后颅窝的巨大病变,根据影像学特点,设计合适的手术入路,更符合当今个体化治疗方案的要求[9]。
























