
探讨准确评价薄层液基细胞学检查(LCT)在宫颈癌筛查中的应用价值。
回顾性分析2004年3月至2011年3月本院收集的61 610例标本的LCT结果,与阴道镜下多点组织活检结果进行对照研究,并与同期收集的128 554例传统巴氏涂片(Pap smears)检查结果进行对照分析。
①61 610例LCT的复检结果为,未明确意义不典型鳞状细胞(ASCUS)及以上患者为1772例(2.88%,1772/61 610),对其中1017例进行多点组织活检发现,38例(0.06%,38/61 610)为鳞状上皮细胞癌(SCC)及腺癌(GLCA);251例(0.41%,251/61 610)为高级别鳞状上皮内病变(HSIL)[子宫上皮内瘤变(CIN) Ⅱ ~Ⅲ级分别为169例和82例];409例(0.66%,409/61 610)为低级别鳞状上皮内病变(LSIL)(湿疣为216例,CIN Ⅰ级为193例),腺上皮不典型增生(AGC)为5例,宫颈原位癌(AIS)为2例;慢性炎症为312例。同期进行巴氏涂片检查的128 554例标本中,共检出巴氏Ⅲ级及以上为272例(0.211%),其中253例进行组织活检发现,65例为SCC和GLCA,97例为HSIL(CIN Ⅱ~Ⅲ级分别为40例和57例),82例为LSIL(CIN Ⅰ级为45例、湿疣为37),慢性炎症为9例。两种方法在筛查宫颈癌方面比较,差异无统计学意义(P>0.05),但在筛查宫颈鳞状上皮病变(SIL)方面,LCT明显优于巴氏涂片,两者比较,差异有统计学意义(P<0.05)。②LCT诊断与组织学诊断的符合率分别为HSIL(82.77%,173/209)>SCC(73.53%,25/34)>LSIL(63.46 264/416),LCT的假阳性主要来源于对LSIL的判定。
LCT筛查CIN和宫颈癌较灵敏、可靠,明显优于传统巴氏涂片,特别是筛查高级别CIN,具有重大意义,但在筛查宫颈癌时,若存在因有效细胞数目过少、细胞重叠、炎症背景杂乱等因素,则可能造成漏诊或严重低诊,临床应引起重视。
版权所有,未经授权,不得转载、摘编本刊文章,不得使用本刊的版式设计。
除非特别申明,本刊刊出的所有文章不代表中华医学会和本刊编辑委员会的观点。
本刊为电子杂志,以光盘形式出版。本册应读者需求按需印刷,随光盘免费赠阅。光盘如有质量问题,请向编辑部调换。
自人类乳头瘤病毒(human papilloma virus,HPV)感染及鳞状上皮内病变(squamous intraepithelial lesion,SIL)发展为宫颈癌,是一个较长的过程,随着对SIL和宫颈癌发病机制及转归认识的进一步深入,宫颈癌筛查的重点,已由筛查宫颈鳞癌转至筛查高级别SIL(high-grade SIL,HSIL)[1]。20世纪90年代,液基薄层检查技术(liquid-based cytological test,LCT)的发明和广泛应用,越来越多SIL,特别是HSIL被极早发现,使患者得到及时有效治疗,使宫颈鳞状细胞癌(squamous cell carcinoma)发生率呈缓慢下降趋势。本研究回顾性分析2004年3月至2011年3月在本院采集的61 610例LCT标本,以组织学诊断为金标准,将其结果与同期接受传统巴氏涂片(Papanicolaou test)的128 554例标本的检查结果进行比较,准确评估LCT在宫颈上皮内瘤变(cervical intraepithelial neoplasia, CIN)及宫颈癌筛查中的应用价值。现将研究结果,报道如下。
61 610例LCT标本来自于2004年3月至2011年3月在本院就诊的门诊及住院患者。标本采集由本院妇产科执业医师完成,阴道镜多点组织活检由本院妇产科高年资执业医师完成。同时,将来源相同,并以相同方法采集的128 554例接受传统巴氏涂片检查的标本纳入本研究。
LCT标本处理:将从宫颈取样的标本装入盛有保存液的标本瓶中,由PREPSTAIN™ slide processor (799-13000-00)制片。巴氏涂片标本处理:从宫颈取样后作涂片经95%酒精固定后,进行巴氏染色。
巴氏涂片标本的细胞学初筛,由病理科具有2年以上细胞学诊断经验的医师完成(均持有《宫颈细胞学诊断上岗证书》)。所有未明确诊断意义的不典型鳞状上皮细胞(atypical squamous cells of undetermined significance,ASCUS)及以上涂片和巴氏Ⅲ级及其以上涂片,分别经2位组织病理学专家复核。巴氏涂片标本的细胞学诊断,由另一组病理科执业医师完成。
LCT标本采用2001版伯塞斯达系统(the Bathesda system,TBS)诊断标准[2]:①呈阴性(negative);②不典型鳞状细胞(atypical squamous cell,ASC),包括ASCUS及不除外HSIL(atypical squamous cell cannot exclude HSIL,ASC-H),低级别SIL(low-grade SIL,LSIL)(HPV感染+CIN Ⅰ),HSIL(CIN Ⅱ~Ⅲ);③鳞状上皮细胞癌(squamous cell carcinoma,SCC);④不典型腺细胞(atypical glandular cells of undetermined significance,AGC)、宫颈原位癌(adenocarcinoma in situ,AIS)及腺癌(glandular cell cancer, GLCA)。巴氏涂片采用传统巴氏Ⅴ级诊断法。LCT标本以ASC以上判断为呈阳性,巴氏涂片以巴氏Ⅲ级判断为标本结果呈阳性。所有诊断均采用双盲法进行。以细胞学诊断与多点组织活检诊断结果相差≤1级判断为"符合"。
本研究数据采用SPSS 16.0统计学软件进行统计学分析。计量资料采用t检验,组间比较采用χ2检验。以P<0.05示差异有统计学意义。
61 610例LCT标本的LCT初筛和复核结果比较(表1)。本组在判定为ASCUS,ASC-H,HPV感染及非典型子宫颈管上皮细胞(atypical glandular cells not otherwise specified,AGC-NOS)时,初检医师与复核医师存在较大差异,判定时可重复性较差。61 610例LCT标本的LCT初筛率与复核率比较,差异有统计学意义(P<0.05)。这表明,高年资复核医师在采用TBS诊断标准进行标本诊断时,较年轻医师更准确,可降低细胞学判定的假阳性率;在判定HSIL及SCC时,两组医师比较一致,差异无统计学意义(P>0.05)。因此,LCT标本对HSIL及SCC诊断结果的可重复性较好。

61 610例LCT标本的LCT初筛和复核结果比较[n(%)]
Primary and re-review interpretation of 61 610 cases by liquid-based cytology test [n(%)]
61 610例LCT标本的LCT初筛和复核结果比较[n(%)]
Primary and re-review interpretation of 61 610 cases by liquid-based cytology test [n(%)]
| TBS诊断结果 | 初筛率 | 复核后检出率 | |
|---|---|---|---|
| ASCUS | 996(1.617) | 749(1.220) | |
| ASC-H | 68(0.100) | 36(0.060) | |
| LSIL | 780(1.279) | 632(1.026) | |
| HPV感染 | 280(0.454) | 195(0.317) | |
| CIN Ⅰ | 354(0.575) | 297(0.482) | |
| CIN Ⅰ合并HPV | 155(0.252) | 140(0.227) | |
| HSIL | 269(0.437) | 237(0.385) | |
| CIN Ⅱ | 180(0.292) | 164(0.266) | |
| CIN Ⅲ | 54(0.087) | 40(0.065) | |
| HSIL合并HPV | 35(0.057) | 33(0.054) | |
| AGC-NOS | 75(0.122) | 48(0.078) | |
| AGC-倾向肿瘤 | 31(0.050) | 29(0.047) | |
| AIS | 2(0.003) | 2(0.003) | |
| SCC | 29(0.047) | 37(0.060) | |
| 腺癌 | 1(0.002) | 2(0.003) | |
| 合计 | 2250(3.652) | 1772(2.876) | |
61 610例标本的细胞学结果分别为ASCUS(749例),LSIL(632例),HSIL(237例),ASC-H(36例),SCC(37例)和GLCA及其他类型(60例)患者中,分别257例、416例、209例、36例、37例和60例进行阴道镜下多点组织活检,活检率分别为34.3%,65.8%,88.2%,100.0%,100.0%和100.0%。因此,总计1017例细胞学结果呈阳性的患者进行多点组织活检。TBS细胞学诊断与多点组织活检诊断结果对照(表2)显示,LCT诊断与多点组织活检诊断结果的符合率顺次为HSIL(CINⅡ~Ⅲ+HSIL合并湿疣)(82.77%, 173/209)>SCC(67.57%,25/37)>LSIL(湿疣+CINⅠ+CINⅡ合并湿疣)(63.46%,264/416),而细胞学诊断为ASCUS的患者多点组织活检结果中,148例(57.6%)为炎症,这表明LCT的假阳性主要来源于对LSIL和ASCUS的判定。同时应注意,LCT对宫颈癌的筛查,并未达到100%,存在低诊和漏诊。虽然其低诊和漏诊率并不高,但可能会严重影响被低诊和漏诊患者的及时治疗。

1017例细胞学结果呈阳性患者的多点组织活检诊断结果
Interpretation of cytology versus reference standard (histology diagnosis)
1017例细胞学结果呈阳性患者的多点组织活检诊断结果
Interpretation of cytology versus reference standard (histology diagnosis)
| TBS诊断结果 | 多点组织活检诊断 | |||||||||
|---|---|---|---|---|---|---|---|---|---|---|
| Negative | 湿疣 | CIN Ⅰ | CINⅡ | CIN Ⅲ | SCC | AGC | AIS | GLCA | 总计 | |
| ASCUS | 148 | 58 | 39 | 11 | 1 | 0 | 0 | 0 | 0 | 257 |
| ASC-H | 10 | 1 | 3 | 11 | 7 | 2 | 0 | 0 | 2 | 36 |
| 湿疣 | 37 | 45 | 9 | 4 | 0 | 0 | 0 | 0 | 0 | 95 |
| CIN Ⅰ | 54 | 45 | 52 | 6 | 0 | 0 | 0 | 0 | 0 | 157 |
| CIN Ⅰ合并湿疣 | 36 | 56 | 57 | 13 | 2 | 0 | 0 | 0 | 0 | 164 |
| CIN Ⅱ | 3 | 7 | 18 | 82 | 21 | 1 | 0 | 0 | 0 | 132 |
| CIN Ⅲ | 0 | 1 | 1 | 24 | 32 | 2 | 0 | 0 | 0 | 60 |
| HSIL合并湿疣 | 0 | 1 | 1 | 9 | 5 | 1 | 0 | 0 | 0 | 17 |
| SCC | 0 | 0 | 0 | 2 | 10 | 25 | 0 | 0 | 0 | 37 |
| AGC-NOS | 18 | 1 | 13 | 4 | 0 | 0 | 4 | 0 | 0 | 40 |
| AGC-倾向肿瘤 | 6 | 1 | 0 | 3 | 3 | 2 | 1 | 1 | 1 | 18 |
| AIS | 0 | 0 | 0 | 0 | 0 | 1 | 0 | 1 | 0 | 2 |
| 腺癌 | 0 | 0 | 0 | 0 | 1 | 0 | 0 | 0 | 1 | 2 |
| 合计 | 312 | 216 | 193 | 169 | 82 | 34 | 5 | 2 | 4 | 1017 |
同期128 554例巴氏涂片共检出阳性涂片(巴氏Ⅲ级及以上)为272例,阳性检出率为0.211%,其中253例进行多点组织活检,共检出63例SCC,2例GLCA,97例HSIL,82例LSIL,9例慢性炎症。巴氏涂片诊断与多点组织活检诊断结果对照(表3)。

巴氏涂片诊断与多点组织活检结果对照
Interpretation of conventional Pap smears versus reference standard (histology diagnosis)
巴氏涂片诊断与多点组织活检结果对照
Interpretation of conventional Pap smears versus reference standard (histology diagnosis)
| 巴氏分级 | 多点组织活检 | |||||||
|---|---|---|---|---|---|---|---|---|
| Negative | HPV | CIN Ⅰ | CINⅡ | CIN Ⅲ | SCC | GLCA | 总计 | |
| 巴氏Ⅲ级 | 9 | 37 | 42 | 27 | 44 | 39 | 0 | 198 |
| 巴氏Ⅳ级 | 0 | 0 | 3 | 12 | 12 | 15 | 0 | 42 |
| 巴氏Ⅴ级 | 0 | 0 | 0 | 1 | 1 | 9 | 0 | 11 |
| GLCA | 0 | 0 | 0 | 0 | 0 | 0 | 2 | 2 |
| 合计 | 9 | 37 | 45 | 40 | 57 | 63 | 2 | 253 |
LCT与巴氏涂片两种方法检出SIL,SCC+GLCA与多点组织活检诊断的比较(表4)显示,LTC方法较传统巴氏涂片能检出更多SIL,且差异有统计学意义(P<0.01), LCT灵敏度远高于巴氏涂片。采用LCT法筛查HSIL较巴氏涂片的灵敏度提高165%。61 610例LCT标本中,经多点组织活检证实共检出38例SCC和GLCA,同期128 554巴氏涂片中经组织学证实检出65例SCC和GLCA,数值校正后比较发现,LCT筛查SCC的灵敏度几乎与传统巴氏涂片相同,差异无统计学意义(P>0.05)。

两种方法检出鳞状上皮细胞内病变、鳞状上皮细胞癌及其组织学诊断的比较
Detection of squamous intraepithelial lesion and squamous cell carcinoma by both cytological techniques versus reference standard (histology diagnosis)
两种方法检出鳞状上皮细胞内病变、鳞状上皮细胞癌及其组织学诊断的比较
Detection of squamous intraepithelial lesion and squamous cell carcinoma by both cytological techniques versus reference standard (histology diagnosis)
| 方法 | n | 细胞学结果呈阳性 | 活检数 | 组织学结果 | ||
|---|---|---|---|---|---|---|
| HSIL | LSIL | SCC+GLCA | ||||
| LCT | 61 610 | 1772 | 1017 | 257 | 408 | 38 |
| 巴氏涂片 | 128 554 | 272 | 253 | 97 | 82 | 65 |
采用LCT方法比传统巴氏涂片能检出更多SIL,两者比较,差异有统计学意义(P<0.01), LCT的灵敏度远高于巴氏涂片。本组统计学结果显示,LCT法筛查HSIL,比巴氏涂片法的灵敏度提高165%,61 610例LCT结果经多点组织活检证实共38例为SCC+GLCA,同期128 554例巴氏涂片经多点组织活检证实65例为SCC+GLCA,数值校正后比较发现LCT筛查SCC的灵敏度几乎与传统巴氏涂片相同,国外和香港学者也有类似的观点[4,5]。
国外LCT和巴氏涂片均采用TBS诊断系统。目前国内两种方法采用不同诊断方法,LCT采用TBS诊断系统,巴氏涂片采用巴氏Ⅴ级法,且不同分类方法的阳性片起点不同。所以,简单比较两种方法检查结果的假阳性和假阴性率不科学。另外由于对阴性结果患者的随访十分困难,一旦样本量过大,无法做到精确统计。不过,从表4可见,传统巴氏涂片的假阴性率应远高于LCT法。
对哪一级结果TBS诊断系统判断为阳性,迄今国内外细胞学专家尚持不同观点[5]。本研究中,如以ASCUS为阳性片起点,那么阳性率为2.88%(1772/61 610),如果以LSIL,ASC-H,AGC-NOS及以上为阳性片起点,则阳性率为1.66%(1023/61 610)。257例细胞学判定为ASCUS的患者进行多点组织活检结果显示,58例确诊为湿疣,39例为CINⅠ级,11例为CIN Ⅱ级,1例为CIN Ⅲ级,即组织学证实有湿疣及以上病变为109例(42.4%,109/257),且多为LSIL;416例细胞学判定为LSIL的患者进行多点组织活检结果显示,127例确诊为湿疣,118例为CIN Ⅰ级,23例为CINⅡ级,CIN Ⅲ级为2例,无SCC,即组织学证实为湿疣及以上病变为270例(65%,270/416),两者比较,差异有统计学意义(P<0.05),说明ASCUS的阳性预测值明显低于LSIL,故认为将LSIL定为判断结果呈阳性的起点比较合适。对ASC-H虽未明确定级,但其潜在相当数量的CIN Ⅱ级,CIN Ⅲ级,甚至SCC,不同于ASCUS,故应当视为呈阳性,这样可极大降低ASCUS患者的阴道镜多点组织活检率,避免大量被判定为ASCUS患者的过度检查及治疗,降低患者经济负担与痛苦,对多点组织细胞学结果判读为ASCUS患者的处理措施应以随访为主。越来越多的学者认为宫颈细胞学筛查的重心应是HSIL,国内外大量文献表明,LSIL包括HPV感染和CINⅠ级中70%可自然消退,20%可持续存在,仅约10%向更高级别进展,而40% HSIL在24个月内可发展为SCC[7]。
LCT方法摒弃黏液、红细胞、风干等因素干扰,使细胞核显得比较突出[8],这与传统巴氏涂片不同。初次进行LCT法筛查的医师常把鳞状化生细胞、修复细胞、炎症引起的反应性细胞、核周有空晕的旁基底细胞、老年性萎缩细胞、退化细胞,甚至颈管腺上皮细胞判断为ASCUS,这些过度判断,可导致对ASCUS/LSIL的过高诊断,国内有文献报道对ASCUS/LSIL的诊断率为(3~5)∶1,特别是样本量较小的报道[9]。本研究统计结果显示,ASCUS∶LSIL为1.20∶1.00(760/632),这与Limye等[10]研究结果接近。故认为ASCUS/LSIL控制于1.5~1.1比较客观,否则可能对ASCUS判定过度。
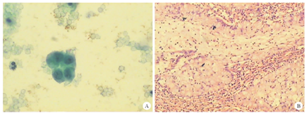
判读ASC-H主要是指非典型增生的不成熟化生细胞,表现为细胞小(大小约与旁基底细胞相同或2~3倍于中性粒的细胞核)、细胞核深染或核型不规则、细胞质浓染或呈嗜双色,或是细胞核/细胞质较高的异性型细胞数量较少,不足以直接判定为HSIL或宫颈癌(图4)。ASC-H细胞中有比ASCUS和LSIL更高的上皮内高级病变的预期值[11]。本研究中36例进行多点组织活检的ASC-H患者,组织学结果证实CIN Ⅱ级为11例,CIN Ⅲ级为7例,SCC为2例,GLCA为2例。复核4例拟诊为宫颈癌的涂片,其中2例镜下表现为大量坏死背景中散在少量细胞核深染的小细胞,故应考虑宫颈癌可能,结合既往病史,或了解该患者的阴道镜检查情况,可避免对宫颈SCC的漏诊或低诊。


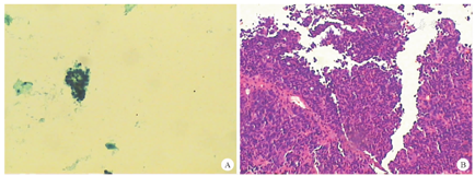
本研究组织学证实为SCC的患者中,2例细胞学判读为ASC-H,4例判读为HSIL,2例判读为AGC-倾向为肿瘤,1例判读为AIS。根据国际惯例,以细胞学诊断与组织学诊断相差≤1级为"符合",则7例细胞学诊断均被低诊,复核后发现被低诊标本的共同特点是,异型上皮细胞较少,这可能与LCT制片过程有关。LCT标本可见肿瘤坏死背景依附于细胞团,在低倍镜下匆忙阅片或初次进行LCT筛查的医师易致漏诊,尤其对小细胞性的SCC(图5),所以需引起高度重视。相反,10例HSIL涂片被过度诊断为宫颈癌,原因是细胞的异型性较大,复核阅片纠正诊断是基于发现这些涂片缺乏肿瘤性背景。


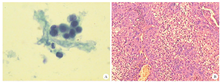
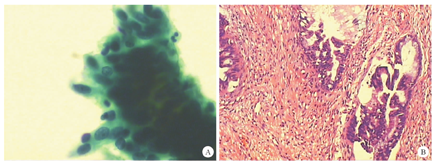
AGC易与反应性颈管细胞相混淆,虽后者也有细胞核增大、细胞核/细胞质增高等特性,但反应性颈管细胞仍保存正常蜂窝状结构,细胞核不重叠或少有重叠,核染色质细腻,细胞核膜光滑,形态呈圆形、卵圆形,小核仁反而明显,细胞质丰富。而当AGC细胞团细胞排列明显拥挤、核深染、细胞核/细胞质明显升高,但细胞团周边出现明显羽毛结构或呈带状复层排列时,应判定为AGC倾向肿瘤或AIS(图1、图2)。而当细胞团呈菊蕊状排列且有大核仁时,需考虑浸润性GLCA,而部分分化特别好的黏液GLCA单从细胞形态上进行诊断并不容易,亦要关注有无肿瘤性背景(图3)。HSIL涂片中出现AGC不足为奇,组织学切片中CIN Ⅱ~Ⅲ级及SCC中合并宫颈腺上皮的不典型增生、腺原位癌甚至GLCA并不少见。因腺上皮位置较深,故可从涂片中筛检出的患者常为少数,需引起注意的是,AGC判定的特异性及可重复性差,这种拥挤的细胞团在光镜下有时很难分清是鳞状细胞还是腺细胞,不少AGC患者组织活检结果为SIL,可能属上述情形。本研究中,58例AGC患者组织活检结果证实,13例为CIN Ⅰ级,10例为CIN Ⅱ级和CIN Ⅲ级,5例为宫颈AGC,2例为AIS,1例为宫颈GLCA,2例为宫颈SCC。因此,AGC的检出与SIL病变有一定相关性,同时应注意分化较差的SCC在细胞学涂片上很难与GLCA区分,这与国外相关报道一致,应引起细胞学诊断医师和临床医师的重视,作出AGC判读可提示宫颈活检的重点部位。总体而言,LCT对于筛查GLCA的敏感度明显优于巴氏涂片,这一说法得到肯定,Johon等报道,112 058例患者中筛查出27例宫颈GLCA,而本研究61 610例患者中仅筛查出2例AIS和5例GLCA,两组比较,结果相差甚远,这可能与国内外宫颈GLCA的发生率有关,亦可能在细胞学判读中漏判。近年来宫颈GLCA的发生率呈上升趋势明显[12],筛查中对于异常腺上皮的判读应予以重视。






诊断性挖空细胞判读要素:①清晰的核周空晕;②细胞核增大且有异型,不伴任何细胞核增大、双核细胞或核深染的核周空晕不足以诊断为SIL[13]。挖空细胞的大小与表层细胞大小相等或接近。旁基底细胞退化和宫内节育器引起的腺细胞细胞质空腔化易与其混淆。
LCT方法在细胞学诊断的发展史上是一个质的飞跃,使细胞形态在镜下更加清晰,同时给临床提供了更多关于真菌感染及菌群转换的信息。LCT的灵敏度和特异度与传统巴氏涂片相比,已凸显其优势,通过与阴道镜多点组织活检结果的对照研究表明,LCT筛查SIL及宫颈癌十分可靠,已得到细胞学医师、临床医师和患者的广泛认可。掌握TBS诊断系统可检出更多SIL,尤其是HSIL,而及早治疗HSIL的患者将最大限度避免向SCC发展,故具有十分重大的临床意义。
























