
探讨18-三体综合征(TS)胎儿中孕期超声检查结果与染色体核型分析结果。
选择2015年1月至2020年12月,在云南省第一人民医院医学遗传科通过羊膜腔穿刺术和脐血取样,被确诊为18-TS的175例胎儿为研究对象。采用回顾性分析方法,对这175例胎儿的中孕期超声检查结果、染色体核型结果进行分析。本研究遵循的程序符合2013年新修订的《世界医学协会赫尔辛基宣言》要求。
本组175例18-TS胎儿分析结果如下。①产前诊断指征:中孕期胎儿超声表现异常为169例(96.6%);86例早孕期血清学筛查提示18-TS高风险为78例(90.7%);106例进行胎儿游离DNA无创产前筛查(NIPT),提示18-TS高风险为99例(93.4%);孕母高龄(预产期年龄≥35岁)为79例(45.1%);1例(4.7%)为地中海贫血高风险(胎儿父母均为α地中海贫血)。102例(58.3%)胎儿同时合并≥2项上述产前诊断指征。②中孕期超声检查结果:169例(96.6%)检查结果异常,6例(3.4%)未见异常。其中,157例(89.7%)超声异常≥2项,最常见结构异常为心脏畸形(131例、74.9%),肢体畸形(113例、64.6%),面部畸形(67例、38.3%)和中枢神经系统异常(54例、30.9%) 4类,特别是室间隔缺损(70例、40.0%),钩状手(35例、20.0%),小下颌(43例、24.6%)及草莓头(33例、18.9%) 4种;最常见超声软指标异常为脉络膜囊肿(116例、66.3%)与单脐动脉(54例、30.9%)。③胎儿染色体核型分析结果:18-三体为167例(95.4%),染色体嵌合型为5例(2.9%),合并其他染色体核型异常为3例(1.7%)。167例18-三体胎儿中,胎儿超声可见结构异常≥2项为150例(89.8%),软指标异常为11例(6.6%),超声未见异常者为6例(3.6%)。5例染色体嵌合胎儿中,胎儿超声可见结构异常≥2项为3例,软指标异常项为2例。3例合并其他染色体核型异常胎儿中,胎儿超声可见结构异常≥2项为2例,软指标异常为1例。
18-TS胎儿多伴有多种超声结构异常。中孕期超声检查可作为18-TS胎儿的产前筛查重要手段。
未经授权,不得转载、摘编本刊文章,不得使用本刊的版式设计,除非特别声明,本刊刊出的所有文章不代表中华医学会和本刊编委会的观点。本刊为电子期刊,以网刊形式出版。
18-三体综合征(trisomy syndrome,TS),又被称为Edwards综合征,发生率为活产新生儿的1/5 000~1/4 000[1,2]。该病患儿多于生后不久死亡,仅8.3%患儿生存时间超过1年,存活者有严重智力障碍[3,4,5,6]。18-TS患儿临床表现变异很大,不能仅根据临床畸形做出诊断,必须进行细胞染色体检查,根据染色体核型分析结果予以确诊,即患儿的第18号染色体为三体畸变[1]。18-TS为第2常见的染色体异常疾病,该病患儿给家庭和社会带来重大负担,因此产前诊断对于避免该病患儿出生尤为重要[7]。细胞遗传学分析胎儿染色体是确诊该病的"金标准",超声引导下羊膜腔穿刺术采集羊水标本,进行胎儿染色体核型分析与染色体遗传疾病诊断,或提取羊水细胞DNA进行胎儿基因疾病诊断,对胎儿损伤相对小[8]。但是,羊水穿刺术为宫内有创性操作,并且费用相对较高,一般仅用于高风险孕妇产前诊断。部分孕妇,特别是采取辅助生殖技术受孕孕妇,担心介入性产前诊断对胎儿影响,而更倾向于拒绝进行介入性产前诊断[9]。因此,采取无创产前筛查(noninvasive prenatal testing,NIPT)及时检出18-TS胎儿尤为重要[10]。随着超声图像分辨率不断提高,产前胎儿超声检查作为一项安全、可靠、无创及可重复技术,被广泛应用[11]。产前胎儿超声检查与血清学筛查是产前发现18-TS胎儿有效方法,联合应用对于18-TS胎儿检出率可高达90%[12],从而有效降低先天性缺陷胎儿出生率。笔者拟回顾性分析于云南省第一人民医院医学遗传科,经染色体核型检查确诊的175例18-TS胎儿中孕期超声检查结果及其染色体核型结果,旨在评价中孕期超声检查对18-TS胎儿产前筛查的作用,为产前筛查该病胎儿提供参考。现将研究结果报道如下。
选择2015年1月至2020年12月,在云南省第一人民医院医学遗传科通过羊膜腔穿刺术和脐血取样,进行产前诊断确诊的175例中孕期18-TS胎儿为研究对象。其中,10例为双胎之一,165例为单胎胎儿;确诊时,胎龄为(19.9±2.1)周(14~26周),其孕母年龄为(33.7±6.6)岁(20~45岁),高龄(预产期年龄≥35岁)孕妇为79例(45.1%)。本研究遵循的程序符合2013年新修订的《世界医学协会赫尔辛基宣言》要求。
本研究对中孕期胎儿的定义是胎龄为14~27+6周胎儿[13]。胎儿18-TS诊断标准为采取羊膜腔穿刺术采集羊水标本,或采取脐血穿刺术采集脐血标本、染色体核型分析、18-TS诊断[14]。
本研究18-TS胎儿纳入标准:经产前胎儿超声检查、血清学筛查和(或)孕妇外周血血浆中胎儿游离DNA的NIPT结果提示为18-TS高风险的胎儿;经羊膜腔穿刺术或脐血穿刺术取样进行胎儿染色体核型分析,诊断为胎儿18-TS。排除标准:产前胎儿超声检查资料不全者。
对纳入胎儿于胎龄为18~22+6周时,对其孕母采用Voluson E10、E8彩色多普勒超声诊断仪(美国通用电气公司),经腹部凸阵探头(频率为2.5~5.0 MHz),进行胎儿超声检查。孕妇取仰卧位,首先采取腹部超声对胎儿进行生长指标测量,然后对胎儿颅脑、面部、心脏、腹腔、脊柱、泌尿系统、消化系统、四肢及胎盘、羊水、脐血等进行系统检查,操作方法参照《产前超声检查指南》[15]。所有产前胎儿超声检查同时由2位具有5年以上胎儿超声检查经验,具有《母婴保健资格认证》资质的超声科主治医师与副主任医师进行(双签名)。
与所有胎儿孕母签署知情同意书后,均在超声引导下进行羊膜腔穿刺术或脐血管穿刺术采集羊水20~30 mL,或脐血≥2 mL,进行胎儿染色体核型分析。同时,根据分析结果进行胎儿细胞遗传学产前诊断[16]。
对所有胎儿的产前诊断指征,超声工作站中每例胎儿产前超声检查留存的45张标准切面图像,以及染色体核型分析结果进行回顾性分析。
胎儿超声检查结果判断标准中,包括对中孕期18-TS胎儿结构异常(心脏畸形、消化道畸形、肢体畸形、面部畸形、中枢神经系统异常等),软指标异常(脉络丛囊肿、单脐动脉、颈后皮褶厚度增厚等),以及非特异性超声异常(肢体短小、胎儿生长受限等)[17]。
本研究数据采用Microsoft Excel 2019电子表格进行分析。对于计数资料,如胎儿不同产前超声表现所占比例等,采用百分比(%)表示。
本组175例中孕期18-TS胎儿的产前诊断指征包括:胎儿超声表现异常为169例(96.6%);86例进行早孕期血清学筛查,提示18-TS高风险为78例(90.7%);106例进行NIPT检查,提示18-TS高风险为99例(93.4%);孕母高龄为79例(45.1%);1例(4.7%)为地中海贫血高风险(胎儿父母均为α地中海贫血)。102例(58.3%)胎儿同时合并≥2项上述产前诊断指征。
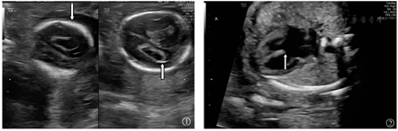
本组175例中孕期18-TS胎儿中,169例(96.6%)的胎儿超声表现异常,其余6例(3.4%)未见异常。超声表现异常胎儿中,157例(89.7%)异常≥2项。在结构异常胎儿中,心脏畸形(131例、74.9%),肢体畸形(113例、64.6%),面部畸形(90例、51.4%)与中枢神经系统异常(60例、34.3%)最为常见。超声软指标异常胎儿中,脉络丛囊肿(116例、66.3%)(图1)最为常见,其次为单脐动脉(54例、30.9%)。非特异性超声异常胎儿中,羊水过多(13例、7.4%)与宫内生长受限(11例、6.3%)最为常见。本组175例中孕期18-TS胎儿超声表现,见表1。

本组175例中孕期18-三体综合征胎儿超声表现[例数(%)]
本组175例中孕期18-三体综合征胎儿超声表现[例数(%)]
| 超声表现 | 发生率 | 超声表现 | 发生率 | 超声表现 | 发生率 | |||
|---|---|---|---|---|---|---|---|---|
| 超声结构异常 | 超声结构异常 | 非特异性超声异常 | ||||||
| 心脏畸形 | 131(74.9) | 肺发育不良 | 2(1.1) | 羊水过多 | 13(7.4) | |||
| 肢体畸形 | 113(64.6) | 先天性膈疝 | 2(1.1) | 宫内生长受限 | 11(6.3) | |||
| 面部畸形 | 90(51.4) | 超声软指标异常 | 胎盘异常 | 10(5.7) | ||||
| 中枢神经系统异常 | 60(34.3) | 脉络膜囊肿 | 116(66.3) | 脐带囊肿 | 6(3.4) | |||
| 消化系统异常 | 42(24.0) | 单脐动脉 | 54(30.9) | 胸水 | 1(0.6) | |||
| 泌尿系统异常 | 21(12.0) | 肠回声增强 | 20(11.4) | 门体静脉系统异常 | 1(0.6) | |||
| 腹部异常 | 9(5.1) | 胎儿水肿 | 15(8.6) | 超声未见异常 | 6(3.4) | |||
| 脊柱异常 | 7(4.0) | 颈项透明层增厚 | 13(7.4) | |||||


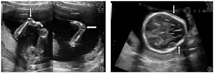
本组175例中孕期18-TS胎儿最常见超声结构异常(心脏、肢体、面部畸形及中枢神经系统异常)胎儿中,心脏畸形以室间隔缺损最为常见(70例、40.0%),其次为心内膜垫缺损(28例、16.0%)(图2);肢体畸形以钩状手(第3、4指紧贴手掌,第2、5指压在其上)最为常见(35例、20.0%)(图3),其次为重叠指(28例、16.0%);面部畸形以小下颌(43例、24.6%)最为常见;中枢神经系统异常以草莓头(33例、18.9%)(图4)最为常见。本组175例中孕期18-TS胎儿最常见超声结构异常心脏、肢体、面部畸形及中枢神经系统异常分布情况,见表2。

本组175例中孕期18-三体综合征胎儿最常见超声结构异常心脏、肢体、面部畸形及中枢神经系统异常分布情况[例数(%)]
本组175例中孕期18-三体综合征胎儿最常见超声结构异常心脏、肢体、面部畸形及中枢神经系统异常分布情况[例数(%)]
| 超声结构类型 | 发生率 | 超声结构类型 | 发生率 | 超声结构类型 | 发生率 | |||
|---|---|---|---|---|---|---|---|---|
| 心脏畸形 | 131(74.9) | 肢体畸形 | 113(64.6) | 面部畸形 | ||||
| 单纯室间隔缺损 | 70(40.0) | 钩状手 | 35(20.0) | 前额扁平 | 9(5.1) | |||
| 心内膜垫缺损 | 28(16.0) | 重叠指 | 28(16.0) | 外耳畸形 | 2(1.1) | |||
| 右心室双出口 | 8(4.6) | 摇椅足 | 27(15.4) | 中枢神经系统异常 | 60(34.3) | |||
| 法洛四联症 | 7(4.0) | 桡骨缺如或发育不良 | 14(8.0) | 草莓头 | 33(18.9) | |||
| 永存左上腔静脉 | 6(3.4) | 足内翻 | 9(5.1) | 小脑发育不良 | 8(4.6) | |||
| 永存动脉干 | 4(2.3) | 面部畸形 | 90(51.4) | 胼胝体发育不全 | 8(4.6) | |||
| 右位主动脉弓 | 3(1.7) | 小下颌 | 43(24.6) | 脊柱异常 | 7(4.0) | |||
| 单心房 | 3(1.7) | 鼻骨发育不良 | 23(13.1) | 全前脑 | 3(1.7) | |||
| 肺动脉交叉 | 2(1.1) | 唇腭裂 | 13(7.4) | 蛛网膜囊肿 | 1(0.6) | |||


本组175例中孕期18-TS胎儿染色体核型分析结果示,18-三体为167例(95.4%),染色体嵌合型为5例(2.9%),合并其他染色体核型异常为3例(1.7%)。167例18-三体胎儿为47,XN,+18,胎儿超声可见结构异常≥2项为150例(89.8%),软指标异常为11例(6.6%),超声未见异常者为6例(3.6%)。5例染色体嵌合胎儿为47,XX,+18[29]/46,XX[5];47,XY,+18[5]/46,XY[90];47,XX,+18[35]/46,XX[34];47,XX,+18[31]/46,XX[31];以及47,XN,+18[27]/46,XN[33],胎儿超声可见结构异常≥2项为3例,软指标异常为2例。3例合并其他染色体核型异常胎儿为48,XXY,+18[47]/47,XY,+18[13];47,XN,inv(9),+18;48,XXX,+18,胎儿超声可见结构异常≥2项为2例,软指标异常为1例。
18-TS发病机制主要为细胞减数分裂或有丝分裂过程中,第18号染色体不分离,进而导致18-TS的发生[18]。90% 18-TS胎儿为母体减数分裂不分离,孕母高龄是导致胎儿发生18-TS的主要原因之一[19]。本研究中,高龄孕妇为79例(45.1%),随着我国生育政策调整,我国高龄孕妇人数越来越多,孕妇年龄升高可增加胎儿染色体异常风险[20]。
产前超声检查具有早期(特别是早孕期颈项透明层检查)、无创、敏感度相对较高等优势,可应用于产前筛查18-TS胎儿[21,22]。18-TS胎儿产前筛查方法包括产前血清学筛查、NIPT、产前胎儿超声检查,本研究中产前血清学筛查对于18-TS胎儿检出率为90.7%(78/86),NIPT为93.4%(99/106),产前胎儿超声检查为96.6%(169/175),产前胎儿超声检查对于18-TS胎儿检出率高于其他产前筛查方法。张云与张璟璐[23]认为,采用多项检查手段联合筛查,可显著提高产前筛查异常胎儿检出率,同时降低假阳性率,提高产前筛查可信度。因此,对于产前筛查发现胎儿存在以下≥1项指标:孕母高龄、产前胎儿超声异常、产前血清学筛查高风险、NIPT高风险、父母双方罹患同型地中海贫血,可对胎儿进一步进行相关染色体检查。
18-TS胎儿多伴有解剖结构异常,并且表现为多发畸形[19]。本组175例中孕期18-TS胎儿超声检查结果显示,157例(89.7%)异常≥2项,最常见为心脏畸形(131例、74.9%),心脏畸形中又以室间隔缺损最为常见(70例、40.0%),其他特征性表现包括钩状手(35例、20.0%),小下颌(43例、24.6%),草莓头(33例、18.9%)。虽然18-TS胎儿四肢畸形较常见,但是受胎儿体位、羊水、产前超声检查医师经验不足等限制,中孕期超声检查对该类畸形漏诊率较高[24]。因此,中孕期超声检查发现胎儿存在其他部位畸形时,更应重点观察其肢体,发现草莓头、小下颌、钩状手、脉络膜囊肿、心脏畸形等特征性超声异常及多发异常时,应高度警惕18-TS。对于中孕期超声检查发现异常≥2项的胎儿,建议对其进行遗传学咨询,必要时进行染色体核型分析。
越来越多研究发现超声软指标异常,即微小异常指标,在胎儿结构发育检测方面有独特应用价值[25]。本组175例18-TS胎儿中,最常见超声软指标异常为脉络丛囊肿(116例、66.3%),仅次于心脏畸形,这与Cheng等[26]研究结果一致。正常妊娠胎儿脉络丛囊肿发生率为1%~2.5%,一般于胎龄>22周时,该症状可逐渐消失,若动态观察至胎龄为26周时,该症状仍未消失,或合并其他超声软指标异常,应对此类胎儿进行产前诊断[27,28]。因此,若中孕期超声检查发现胎儿脉络膜囊肿,临床应提高警惕,详细筛查胎儿其他结构,尤其注意是否合并心脏畸形与肢体畸形。中孕期超声检查和辨识超声特征,可提高18-TS高风险胎儿检出率,避免不必要的有创检查,降低18-TS胎儿出生率[1,29,30]。
本组175例中孕期18-TS胎儿染色体核型分析结果示,18-三体为167例(95.4%),染色体嵌合型为5例(2.9%),合并其他染色体核型异常为3例(1.7%)。染色体嵌合18-TS胎儿临床表现差异非常大,部分表现为典型18-TS表型,可发生早期宫内死亡,而部分胎儿则可无任何异常表现,生后智力水平也可从严重智力缺陷到智力正常[31]。Smith等[32]对29例染色体嵌合18-TS胎儿进行分析发现,羊水细胞中18-三体细胞占比>50%的8例染色体嵌合18-TS胎儿中,75%(6/8)胎儿临床表现异常,而羊水细胞中18-三体细胞占比<50%的21例染色体嵌合18-TS胎儿中,52%(11/21)胎儿临床表现异常。随着羊水细胞中18-三体细胞占比增高,胎儿临床表现异常风险也相应增高。本研究5例染色体嵌合18-TS胎儿中,羊水细胞中18-三体细胞占比均<50%,其中3例存在超声结构异常,2例仅存在超声软指标异常。由于此类胎儿临床表型差异非常大,因此经产前诊断确诊为胎儿染色体嵌合18-TS时,需采取多学科会诊进行深入讨论及研究,为孕妇提供有价值的指导意见[18]。
18-TS患儿预后差,大多数于出生不久后则死亡[18],因此,对该病胎儿产前诊断尤为重要。当中孕期超声发现胎儿结构异常,或特征性超声表现,尤其伴有其他高危因素时,应考虑该病可能,及时进行遗传咨询和产前诊断,以确定胎儿染色体核型,及时采取相应措施,降低严重出生缺陷率。
所有作者均声明不存在利益冲突





















