
探讨染色体13q22.1-13q31.3缺失患儿的临床特征、染色体核型分析及染色体微阵列技术(CMA)检测结果。
选择2019年2月12日,于泉州市妇幼保健院·儿童医院康复科诊治的1例确诊为染色体13q22.1-13q31.3部分缺失的5个月龄男婴为研究对象。对本例男婴的染色体核型及单核苷酸多态性微阵列(SNP-array)检测结果进行回顾性分析。以"13q"或"13q22"或"13q31"和"缺失"等为中、英文关键词,在万方数据知识服务平台、中国知网及PubMed等数据库中,对有关13q22.1-13q31.3缺失患者的研究文献进行检索。文献检索年限设定为2002年6月至2022年6月。本研究遵循的程序符合泉州市妇幼保健院·儿童医院伦理委员会规定,并获得该伦理委员会批准(审批文号:2020-31)。
①本例男婴染色体核型为46,XY,del(13)(q32),SNP-array检测结果为染色体13q22.1-13q31.3存在19.5 Mb缺失,缺失片段内含在线人类孟德尔遗传(OMIM)的MIR17HG (609415)、POU4F1(601632)和EDNRB (131244)等30个基因。根据本例男婴临床表型及查询相关数据库,其染色体13q22.1-13q31.3缺失被判读为致病性染色体拷贝数变异(CNV)。②文献复习结果:根据本研究设定的检索策略,共计检索到4篇相似区段染色体缺失研究相关英文文献,纳入研究患儿为4例,其分别为染色体13q21.1-13q31.1缺失(男性,确诊时年龄为13个月),13q21.32-13q31.1缺失(男性,确诊时年龄为20岁),13q22q31缺失(男性,确诊时年龄为9岁),13q22.2-13q31.1缺失(女性,确诊时年龄为1岁)。
本例男婴的染色体13q22.1-13q31.3部分缺失为国内首次报道,尚需进一步明确13q近端缺失与临床表型的关系。CMA技术有助于进一步明确染色体缺失片段长度及位置。
未经授权,不得转载、摘编本刊文章,不得使用本刊的版式设计,除非特别声明,本刊刊出的所有文章不代表中华医学会和本刊编委会的观点。本刊为电子期刊,以网刊形式出版。
13号染色体长臂(13q)部分缺失综合征是一种罕见染色体疾病,所致患儿临床表现多样,主要为智力低下、生长发育迟缓、颅面部畸形和各种先天性缺陷[1]。1963年,Lele等[2]首次报道因染色体13q部分缺失所致患儿精神发育障碍和视网膜母细胞瘤,此类缺失于1969年被描述为一种特殊综合征[3]。13q部分单体综合征患儿的基因型-表型相关性,迄今尚未被完全阐明,根据患儿13q部分缺失片段及临床表型相关性,将其分为3组,第1组为13q11-13q31缺失患儿,临床表型主要包括轻度智力迟钝、生长发育迟缓及轻微异常表型;第2组为与严重先天性畸形相关的13q32区段缺失患儿;第3组为13q33-13q34末端缺失患儿,与严重智力障碍相关,但无重大结构畸形和生长发育迟缓[4,5]。染色体核型分析在染色体亚微观结构变异及断裂位点判读方面具有一定局限性。目前,染色体微阵列分析(chromosomal microarray analysis,CMA)技术,既可免于细胞培养,还可覆盖全基因组,并且可检测染色体拷贝数变异(copy number variants,CNV),获得染色体核型分析不能提供的染色体微缺失、微重复等信息,准确判断基因组断裂点及涵盖基因,而有助于对临床表型解读[6,7,8,9]。CMA技术被分为微阵列比较基因组杂交(microarray-comparative genomic hybirdization, array-CGH)技术和单核苷酸多态性微阵列(single nucleotide polymorphism microarray, SNP-array)技术2种,后者更可检出染色体三倍体、单亲二倍体、杂合性缺失和一定比例嵌合体[9]。笔者拟对1例染色体13q22.1-13q31.3部分缺失综合征患儿的临床病例资料进行回顾性分析,并对近年国内外相关文献进行复习,旨在为临床医师提高对类似患儿的诊治水平提供参考。现将研究结果报道如下。
选择2019年2月12日,于泉州市妇幼保健院·儿童医院康复科诊治的1例确诊为染色体13q22.1-13q31.3部分缺失综合征的5个月龄男婴为研究对象。本研究遵循的程序符合泉州市妇幼保健院·儿童医院伦理委员会规定,并获得该伦理委员会批准(审批文号:2020-31)。
采集本例男婴外周血2 mL并置于肝素抗凝管中,于无菌条件下接种于外周血淋巴细胞培养基中,培养约72 h后进行染色体制备。采用Sinochrome ChromprepⅡ自动染色体收获系统(上海乐晨生物科技有限公司)制备染色体,Giemsa染色、染色体核型分析。按照人类细胞基因组学国际命名体系[An International System for Human Cytogenomic Nomenclature(2020)],对本例男婴染色体核型异常进行描述,计数上述染色体20个,分析5个核型。
采集本例男婴外周血3~5 mL,使用QIAamp DNA Blood Kit试剂盒(德国QIAGEN公司)进行DNA抽提,实验操作严格遵循操作流程(QIAamp DNA Blood Kit Handbook)进行。使用Affymetrix CytoScan™ 750K芯片(批号:4449664,美国Life Technologies公司),DNA扩增试剂盒(批号:01213179,美国Life Technologies公司),DNA纯化杂交试剂盒(批号:01201138,美国Life Technologies公司),参照《Affymetrix公司细胞扫描分析用户指南》(Affymetrix CytoScan Assay User Guide(http://www.thermofisher.com)进行DNA酶切、连接、转化和重组子筛选和鉴定。
根据国内相关指南[10,11],CNV结果判读参照正常人基因组变异数据库(Database of Genomic Variants,DGV)(http://dgv.tcag.ca/dgv),在线人类孟德尔遗传(Online Mendelian Inheritance in Man,OMIM)数据库(https://omim.org/),DECIPHER(https://decipher.sanger.ac.uk),Pubmed(https://www.ncbi.nlm.nih.gov/pubmed/)及ClinGen(https://www.clinicalgenome.org/)等,并进行比对分析。染色体CNV致病性分析,按照美国医学遗传和基因组大学(American College of Medical Genetics and Genomics, ACMG)和临床基因组资源(Clinical Genome Resource,ClinGen)的联合共识建议《染色体拷贝数变异关键报告解读的技术标准》 (Technical Standards for the Interpretation and Reporting of Constitutional Copy-Number Variants)[12]进行判读,可将染色体CNV分为5类:致病性CNV,可能致病性CNV,临床意义不明CNV,可能良性CNV及良性CNV。
以"13q"或"13q22"或"13q31"和"缺失"等为中、英文关键词,在万方数据知识服务平台、中国知网及PubMed等数据库中,对13q22.1-13q31.3部分缺失患儿进行相关研究文献进行检索。文献检索年限设定为2002年6月至2022年6月。
本例男婴为G2P2,早孕期合并先兆流产,中孕期超声检查提示胎儿四肢短小,胎龄小于孕龄;胎龄为40周时,经剖宫产术娩出,出生体重为2.8 kg,身长为45 cm。5个月龄时,竖颈欠稳,不能自行翻身,肘支撑欠稳,胸部不能自行抬离床位,身长为58.5 cm,头围为39 cm;五官端正,面容未见异常,四肢张力可,双耳听力筛查正常。其入院诊断为发育落后、身材矮小,小头畸形和重度营养不良,生长激素及甲状腺功能检测未见明显异常,不支持呆小症及生长激素缺乏性矮小症。其母亲孕前弓形体病、其他病毒、风疹、巨细胞病毒、单纯疱疹病毒(toxoplasmosis, other viruses, rubella, cytomegalovirus, herpes simplex virus,TORCH)筛查未见异常,不支持风疹病毒或巨细胞病毒所致胎儿发育障碍及中枢神经系统损伤。本例男婴脑电图检查结果正常,颅脑MRI结果提示左侧侧脑室及双侧额叶脑外间隙稍增宽。其父母身体健康,否认近亲结婚及相关家族遗传病史;其胞兄为12岁,身高为148 cm,精神运动发育正常。
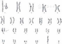
本例男婴外周血染色体核型分析结果显示,染色体核型为46,XY,del(13)(q32),亦可见13号染色体长臂缺失。本例男婴的染色体核型分析结果,见图1。


本例男婴的SNP-array芯片检测结果显示,13号染色体13q22.1-13q31.3区段存在片段长度为19.5 Mb的部分缺失,即arr[GRCh37]13q22.1-13q31.3(74,911,363-94,461,048)x1(图2),缺失片段内含MIR17HG (609415)、POU4F1(601632)和EDNRB (131244)等30个OMIM基因。


注:SNP-array为单核苷酸多态性微阵列
根据DGV数据库查询结果,未见覆盖本例男婴的染色体13q22.1-13q31.3部分缺失CNV。查询ClinGen数据库显示,未见涵盖基因单倍剂量不足效应报道。查询DECIPHER数据库显示,多个小于本例男婴染色体缺失被判读为致病性或可能致病性染色体CNV,患儿临床表型包括拇指形态异常、全身发育迟缓、特定的学习障碍、手腕异常、全身张力减退及身材矮小等(DECIPHER ID:277955、299003)。根据ACMG和ClinGen联合共识及本例男婴临床表型,对其染色体13q22.1-13q31.3部分缺失判读为致病性染色体CNV。
2022年1月,本例男婴(3+岁)的门诊随访结果显示,体重为9.5 kg,身高为85 cm,不能独立行走,爬行姿势异常,智力低下,尚不会说话,提示精神运动发育迟缓,语言发育迟缓。家属自诉男婴手掌及脚掌偏小。本研究对其胞兄及父母均未行染色体核型分析及基因检测,因其父母无再生育要求,而拒绝进一步检测。
根据本研究设定的文献检索策略,国内迄今尚无涉及染色体13q22-13q31区段缺失患者的相关文献研究,国外数据库检索到相似区段缺失相关英文文献为4篇。其中,Quélin等[13]报道的1例13q21.1-13q31.1缺失患儿(男性,确诊时年龄为13个月),临床表现为生长及精神发育迟缓,先天性白内障及眼距过宽;Matute等[14]报道的1例13q21.32-13q31.1缺失患儿(男性,确诊时年龄为20岁),临床表现为轻度精神发育迟缓,能够流利进行语言交流,但是具有空间、视觉及结构障碍;Morales等[15]报道的1例携带13q22-13q31缺失患儿(男性,确诊时年龄为9岁),临床表现为中度精神运动迟缓、语言发育不良、轻度运动发育迟缓及其他面部畸形;Bisgaard等[16]报道1例13q22.2-13q31.1缺失同时合并10q21区段缺失患儿(女性,确诊时年龄为1岁),临床表现为精神发育迟缓、注意力缺陷障碍、身材矮小和面容畸形等。
13号染色体长臂部分缺失患儿的临床表型多样,主要与13号染色体长臂片段缺失长度及位置相关[4,5]。染色体核型分析对染色体变异及重组发生位置判读具有一定局限性,而CMA技术能够检出染色体CNV,明确染色体不平衡重排片段大小[6,7,8]。目前,CMA技术已成为诊断儿童复杂、罕见病的一线方法[11]。本研究纳入男婴的染色体核型分析结果与SNP-array检测结果均能检测13号染色体长臂部分缺失,但是SNP-array芯片检测结果可提示13q22.1-13q31.3区段存在片段长度为19.5 Mb的部分缺失,即arr[GRCh37]13q22.1-13q31.3(74,911,363-94,461,048)x1,而染色体核型无法准确判断13号染色体长臂部分缺失区域,亦不能显示缺失包含的OMIM基因类型及其数量。不一致,通过SNP-array检测明确其为染色他13q22.1-13q31.3部分缺失,缺失片段内含MIR17HG(609415)、POU4F1(601632)和EDNRB(131244)等30个OMIM基因。染色体13q22.1-13q31.3区段缺失较为罕见,本研究仅检索到国外文献报道的4例该区段缺失患儿[13,14,15,16]。
本研究结果显示,本例男婴携带的染色体13q22.1-13q31.3缺失,属于13q缺失第1组(13q近端缺失)[4,5],其临床表现主要为身材矮小、轻度智力迟钝等。13q32片段被认为是人体许多主要结构畸形的"关键区域"[4,5]。Brown等[4]的研究提示染色体近端13q缺失与13q部分单体主要畸形无关。Grigori等[17]报道1例(男性,确诊时年龄为9个月)染色体13q22.2-13q32.1缺失长度为21.46 Mb患儿,临床表现为轻至中度精神运动障碍、生长激素不足、短颈、小颌畸形、张力减退、耳朵发育不良和其他畸形特征。该缺失区段(13q22.2-13q32.1)涵盖13q32关键区域,提示13q32区段与人体结构畸形表型相关。Li等[18]研究发现1例女孩(4岁)携带染色体13q22.1-13q32.1微缺失,临床表现为生长迟缓、面部扁平且长、毛发稀疏、发际线低、下颌骨小、鼻梁宽而平、耳低而大及第5手指发育不全等,人体相关面部畸形表型可能与涵盖了13q32缺失有关。Quélin等[13]报道的1例13q21.1-13q31.1缺失患儿(男性,确诊时年龄为13个月),临床表现为生长及精神发育迟缓,先天性白内障及眼距过宽。Matute等[14]报道的1例染色体13q21.32-13q31.1缺失患者(男性,确诊时年龄为20岁),临床表现为轻度精神发育迟缓,能够流利进行语言交流,但是具有空间,视觉及结构障碍。Morales等[15]报道的1例染色体13q22-13q31部分缺失患儿(男性,确诊时年龄9岁)的临床表较多,包括中度精神运动迟缓、颧骨及面部中部发育不良、鼻梁凹陷、鼻孔前倾、耳螺旋而粗、小颌、肘外翻、手小且短指明显不规则、脚趾短、弓足、语言发育不良及轻度运动发育迟缓。Bisgaard等[16]报道1例染色体13q22.2-13q31.1缺失合并10q21区段缺失患者(女性,确诊时年龄为1岁),临床表现为精神发育迟缓,注意力缺陷障碍,身材矮小,面容畸形等。本例男婴染色体13q22.1-13q31.3部分缺失,临床表现为身材矮小、发育落后及小头畸形,未见明显面容及肢体异常等。
本研究结果显示,本例男婴染色体核型为46,XY,del(13)(q22q31),携带13q末端缺失,而SNP-array芯片检测结果显示其携带染色体13q22.1-13q31.3部分缺失。由此可见,CMA技术不仅可明确染色体结构变异区段,而且能确认该区段所涵盖基因,为临床咨询提供参考。对本例男婴采取SNP-array芯片检测的结果显示,其染色体13q22.1-13q31.3缺失内含MIR17HG、POU4F1和EDNRB等30个OMIM基因,临床表现为身材矮小,发育落后及小头畸形等临床表型,未见其他面容畸形。MIR17HG基因缺失突变,与常染色体显性遗传的Feingold综合征2(Feingold syndrome 2)相关,患儿临床表型包括不同程度的小头畸形、四肢畸形、食管和十二指肠闭锁、学习障碍及智力障碍等[19]。对小头畸形、生长发育迟缓等临床表型患儿可检测累及位于13q31.3区域的MIR17HG基因缺失片段[20],并且患儿的生长发育迟缓与13q31.3条带(89.5~91.6 Mb)中缺失约2 Mb基因片段有关[21]。POU4F1基因缺失突变,与儿童期发病共济失调、意向性震颤和低张力综合征相关[22]。Webb等[22]研究结果显示,4例在儿童期发生共济失调、意向性震颤和张力过低综合征患儿中,发现POU4F1基因新发杂合突变,进一步对仅发生POU4F1纯合子缺失突变小鼠病理模型研究发现,小鼠由此发生的运动不协调,与这4例患儿的共济失调表型一致,并且同时亦均存在行为和解剖结构缺陷。本例男婴目前尚不能独立行走、爬行姿势异常,是否会出现共济失调,则尚有待进一步随访研究证实。
所有作者均声明不存在利益冲突





















