
探讨未分化/去分化子宫内膜癌(UEC/DEC)患者的临床病理学特征及该病患者的诊断、治疗和结局。
选取2018年1月至2022年3月于南京医科大学第一附属医院妇科就诊,并确诊为UEC/DEC的11例患者为研究对象。其中,8例为DEC患者(No.1~2、4~10),3例为UEC患者(No.3~4、11),回顾性分析这11例患者的临床特点、病理学与分子特征及诊疗结局。本研究遵循的程序符合南京医科大学第一附属医院伦理委员会制定的伦理学标准,得到该委员会批准(伦审号:2021-SR-239),并与患者本人或其家属签署临床研究知情同意书。
①11例患者的主要临床表现均为阴道不规则出血。②UEC细胞在光学显微镜下,形态学上未分化组分(UC)呈实性片状小圆形至多角形,细胞形态单一,细胞核大,染色质丰富,核分裂象多见;细胞黏附性差,缺乏分化特征。免疫组织化学(IHC)染色提示细胞角蛋白(CK)、上皮细胞膜抗原(EMA)、雌激素受体(ER)、配对盒8基因(Pax8)、波形蛋白(vimentin)呈阴性或局灶阳性表达,E-钙黏素(cadherin)不表达;与低级别子宫内膜样癌成分界限清晰。③对8例UEC和DEC患者进行错配修复(MMR)蛋白检测,6例呈完整状态,2例呈缺失状态。④11例患者术后病理学检查结果提示,国际妇产科联盟(FIGO) Ⅰ~Ⅱ期为6例,Ⅲ~Ⅳ期为5例。⑤11例患者均接受手术治疗,手术过程顺利并且术后恢复良好,术中及术后均无并发症发生。除1例FIGO ⅠA期的患者外,其余患者术后均接受放、化疗。⑥对这11例患者随访至2022年3月31日,目前存活的9例患者中,总体生存(OS)期最长者达34个月,中位OS期为10.5个月。2例死亡患者分别为FIGO ⅢB期及ⅢC2期者。
UEC/DEC具有侵袭性强、患者预后差等特点,需临床及病理医师对该病临床病理学特征有充分的认识,进行准确诊断,实施综合治疗。
未经授权,不得转载、摘编本刊文章,不得使用本刊的版式设计,除非特别声明,本刊刊出的所有文章不代表中华医学会和本刊编委会的观点。本刊为电子期刊,以网刊形式出版。
未分化子宫内膜癌(undifferentiated endometrial carcinoma,UEC)是一种罕见但侵袭性强、组织学上缺乏任何分化特征的子宫内膜上皮性恶性肿瘤,无法归入任何其他组织学类型[1]。2006年,Silva等[2]首次描述去分化子宫内膜癌(dedifferentiated endometrial carcinoma,DEC)的组织病理学特点为同时具有高分化子宫内膜样腺癌和UEC 2种成分的混合癌[3,4]。2020年,《世界卫生组织(World Health Organization,WHO)女性生殖器官肿瘤分类(5版)》将未分化癌/去分化子宫内膜癌(undifferentiated/dedifferentiated uterine endometrial carcinoma, UEC/DEC)确定为子宫内膜癌的病理亚型之一[1]。UEC/DEC在女性人群中的发病率较低,占子宫内膜癌的1%~9%[5],尚未引起临床广泛关注,易被临床误诊为高级别子宫内膜样癌、子宫内膜浆液性癌、子宫神经内分泌癌或子宫癌肉瘤。目前,国内外对于UEC/DEC的文献报道多为散发病例[6,7],但是其恶性程度高、患者预后差,亟需引起临床医师的高度重视。笔者拟对本院收治的11例UEC/DEC患者的临床病例资料进行回顾性分析,旨在探讨该病的临床特点、病理学特征及对患者的诊断、治疗和预后结局等,旨在为UEC/DEC临床诊疗和预后判断提供更多证据,进而提高临床及病理科医师对该病的认识能力和诊治水平。现将研究结果报道如下。
选取2018年1月至2022年3月于南京医科大学第一附属医院妇科就诊并确诊为UEC/DEC的11例患者为研究对象。其中,8例为DEC患者(No.1~2、4~10),3例为UEC患者(No.3~4、11)。本研究遵循的程序符合南京医科大学第一附属医院伦理委员会制定的伦理学标准,得到该委员会批准(伦审号:2021-SR-239),并与患者本人或其家属签署临床研究知情同意书。
本研究对于UEC/DEC患者的纳入标准如下。①均经手术治疗者;②术后病理学检查确诊为UEC/DEC者;③有完整临床病例资料、病理学检查结果及随访资料者。排除标准:①合并其他恶性肿瘤诊断者;②罹患转移性肿瘤者;③临床病例资料、病理学检查结果和(或)随访资料缺失者。
根据《WHO女性生殖器官肿瘤分类(5版)》中的相关诊断标准:UEC是指癌细胞分化极差,不能将其归为其他肿瘤类型的上皮源性恶性肿瘤;DEC为中、高分化子宫内膜样腺癌(细胞周期为G1或G2期)中,同时出现高度异型的UEC成分[1]。
对这11例UEC/DEC患者的观察指标如下。①一般临床资料:年龄,人体质量指数(body mass index,BMI),合并症,既往史,临床症状及体征等。②影像学检查结果:超声、MRI结果等。③实验室检查结果:血清肿瘤标志物结果等。④病理学检查结果及国际妇产科联盟(Federation International of Gynecology and Obstetrics,FIGO)临床分期:病理形态特征,免疫组织化学(immunohistochemistry,IHC)染色结果等。⑤诊断、治疗结局等资料。
对这11例患者通过电话或查阅门诊病历获取临床随访资料,每3个月随访1次。对其随访内容包括临床症状、盆腔检查结果、血清肿瘤标志物结果及影像学检查结果。
对所有患者进行上皮标志物细胞角蛋白(cytokeratin,CK),雌激素受体(estrogen receptor,ER),孕激素受体(progesterone receptor,PR),配对盒8基因(paired box protein,Pax8)等IHC染色。所有组织切片经苏木素-伊红(hematoxylin-eosin, HE)染色及IHC染色,染色结果由本院2位高年资病理科医师进行复核后确定病理学结果。根据IHC染色阳性细胞在全部细胞中所占比例(染色阳性细胞率)判定结果:①染色阳性细胞率<5%者,判断为IHC染色结果呈阴性(-);②为5%~25%者,判断为灶性表达(±);③为26%~50%者,判断为斑驳状表达(+);④为51%~75%者,判断为片状表达(++);⑤>75%者,判断为弥漫表达(+++)[8]。对IHC染色结果,根据表达强度进行颜色编码,并绘制热图。
本研究数据采用SPSS 24.0统计学软件(美国IBM公司)进行统计学分析。对于符合正态分布的定量资料采用
±s表示,对于呈偏态分布的定量资料采用M(Q1,Q3)表示,计数资料采用百分比(%)表示。根据IHC染色强度进行颜色编码,并使用R软件(version 4.1.3)绘制热图(https://www.r-project.org/)。
这11例UEC/DEC患者占本院同时期确诊为子宫内膜癌患者的1.8%(11/629),其一般临床、实验室、影像学及病理学检查结果如下。①临床资料:确诊时11例UEC/DEC患者的中位年龄为50岁(43~65岁),中位BMI为24.7 kg/m2;绝经后患者为8例,围绝经期为1例;有糖尿病者为2例;3代以内直系亲属有肿瘤史者为5例;手术方式为经腹者为5例,经腹腔镜者为6例;FIGO临床分期为早期(Ⅰ~Ⅱ期)者为6例,晚期(Ⅲ~Ⅳ期)者为5例。5例FIGO Ⅲ~Ⅳ者中,1例(No.3)伴腹主动脉旁淋巴结转移,2例(No.7、9)伴子宫外盆腔扩散,1例(No.2)同时伴卵巢和腹主动脉旁淋巴结转移,1例(No.8)伴远处髋臼转移。②主要临床表现:阴道不规则流血者为9例,下腹胀痛者为2例。③实验室检查结果:4例(No.2~3、9~10)患者血清肿瘤标志物糖类抗原(carbohydrate antigen,CA)125,人附睾蛋白(human epididymis protein,HE)4水平升高。④影像学检查结果:11例UEC/DEC患者的超声检查提示子宫内膜增厚或宫腔内有不均质回声团(图1A);MRI结果提示子宫内膜不规则增厚或宫腔内占位,呈等T1、稍长T2信号影,弥散加权序列上呈明显的高信号,表观弥散系数图呈低信号,增强扫描可见病灶强化(图1B,图1C,图1D,图1E,图1F,图1G)。1例(No.8)患者初诊时,MRI检查见右侧髋臼下缘不规则斑片状等T1、短T2信号影,DWI序列呈高信号,增强扫描见不均质强化,伴周围软组织肿胀(图2),经皮右侧髋臼穿刺病理学检查结果证实为DEC的未分化组分(undifferentiated components,UC)转移至髋臼。⑤术前组织病理学检查结果:10例(No.1、3~11)患者术前行子宫内膜活组织病理学检查,2例(No.7~8)确诊为DEC,2例(No.1、3)为子宫内膜腺癌,5例(No.4~6、10~11)为低分化子宫内膜癌,1例(No.9)为子宫内膜息肉,1例(No.2)未行子宫内膜活组织病理学检查。⑥术后病理学检查结果:3例(No.3~4、11)为UEC,8例(No.1~2、5~10)UC合并低级别子宫内膜样癌成分,3例(No.1、3、6)UC合并高级别子宫内膜样癌成分,其中1例(No.3)同时还合并高级别浆液性癌成分;肿瘤最大直径≤2 cm为2例(No.1~2),>2 cm为9例(No.3~11),其中1例DEC患者(No.8)子宫切除后剖视可见宫腔内病灶大小约为2.2 cm×1.8 cm×1.2 cm,累及子宫壁>1/2肌壁全层(图1H);肌层浸润深度<1/2为7例(No.2~5、7、10~11),≥1/2为4例(No.1、6、8~9);11例患者均无盆腔淋巴结转移;腹主动脉旁淋巴结转移为2例(No.2~3),淋巴脉管间隙浸润为5例(No.4、6、8~10)。


注:DEC为去分化子宫内膜癌


注:DEC为去分化子宫内膜癌
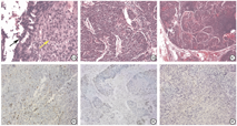
11例UEC/DEC患者病理学检查结果示,光学显微镜下见UC与低级别成分间界限清晰,UEC在镜下由实性片状小圆形至多角形肿瘤细胞组成,细胞形态单一,细胞核大,染色质丰富,核分裂象多见;细胞黏附性差,且缺乏腺样分化。低级别成分的肿瘤细胞呈多角形或圆形等上皮样形态,见腺腔结构(图3)。这11例UEC/DEC患者的IHC染色结果显示,7例(No.2~5、9~11)患者的UCER、PR呈部分、局灶阳性表达,4例(No.1、6~8)不表达;8例(No.1~3、5~8、10) Pax8呈灶性表达,3例(No.4、9、11)不表达;5例(No.1、5、7、10~11)CK7灶性表达,2例(No.3、9)弱表达,4例(No.2、4、6、8)不表达;3例(No.2、6、11)CK-pan弱表达,5例(No.3~5、9~10)灶性表达,3例(No.1、7~8)不表达;8例(No.1~2、4、7~11)患者进行了错配修复(mismatch repair,MMR)蛋白检测,6例(No.2、4、7~10)MMR蛋白表达完整,2例(No.1、11)MMR蛋白表达缺失,均为PMS2缺失(图4)。


注:DEC为去分化子宫内膜癌,HE为苏木精-伊红,IHC为免疫组织化学,UC为未分化组分,CK为细胞角蛋白,Pax8为配对盒8基因,ER为雌激素受体,MMR为错配修复


注:PALN为腹主动脉旁淋巴结,LGC为低级别组分,UC为未分化组分,UEC为未分化子宫内膜癌,DEC为去分化子宫内膜癌,LGEC为低级别子宫内膜样癌,HGEC为高级别子宫内膜样癌,HGSC为高级别子宫内膜浆液性癌
纳入研究的11例患者均接受手术治疗,手术过程顺利,并且术后恢复良好,术中及术后均无手术相关并发症发生。FIGOⅠ~Ⅳ期者分别为5、1、4、1例。其中,6例(No.1、4~6、10~11)FIGO Ⅰ~Ⅱ期及1例(No.8)FIGO Ⅳ期患者,均接受全子宫双附件切除术及盆腔、腹主动脉旁淋巴结清扫术,1例(No.8)FIGO Ⅳ期患者由于髋臼转移病灶术而采取放疗措施;4例(No.2~3、7、9)FIGO Ⅲ期患者,则均接受肿瘤细胞减灭术。1例(No.1)FIGO ⅠA期患者术后未予补充治疗,1例(No.9)FIGO ⅢB期患者因术后1个月出现肿瘤广泛转移未完成放疗,其余9例患者术后均接受放、化疗,而有腹主动脉旁淋巴结转移者,则同时接受腹主动脉区域延伸野照射,化疗方案均为紫杉醇联合卡铂。
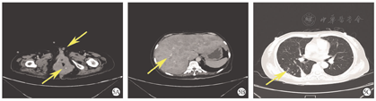
对这11例患者随访至2022年3月31日,随访时间为3~34个月。其中,2例患者(No.2、9)分别为FIGO ⅢC2期及ⅢB期(No.9),均死于DEC。No.2患者术后接受放、化疗6个月后,出现腹腔内广泛转移导致肠梗阻而死亡,OS期为9个月。No.9患者于术后1个月出现高钙血症及肿瘤广泛转移(阴道、直肠、肛管、膀胱后壁、阴阜、肝、肾上腺、双肺)(图5),阴道肿块经穿刺活组织病理学检查结果证实为UEC转移后,2个月死亡,OS期为3个月。6例(No.1、4~6、10~11)FIGO Ⅰ~Ⅱ期患者截至发稿均无瘤存活。目前存活的9例患者(No.1、3~8、10~11)中,OS期最长者已达34个月,中位OS期为10.5个月。


注:DEC为去分化子宫内膜癌
UEC/DEC是子宫内膜癌罕见的病理学类型,UEC/DEC患者发病率为所有子宫内膜癌患者的1%~9%[5]。本研究对11例UEC/DEC患者的临床资料进行回顾性分析的结果显示,5例确诊时为晚期(FIGO Ⅲ~Ⅳ期)患者中,1例伴腹主动脉旁淋巴结转移,2例伴子宫外盆腔扩散,1例同时伴卵巢和腹主动脉旁淋巴结转移,1例伴远处髋臼转移。对11例患者随访3~34个月后,2例伴卵巢转移者死亡,提示UEC/DEC患者的预后较差。
本研究纳入的11例患者确诊时中位年龄为50岁,与文献报道[5]一致。刮宫术和宫腔镜检查是目前最常用的子宫内膜病变活检方式。由于DEC病灶分布特征为分化良好的子宫内膜样腺癌成分,主要位于子宫内膜表面,而UC则位于更深的肌层,导致子宫内膜活组织检查时很难获取DEC组织,从而无法在术前获得准确的病理学诊断及制定合适的手术治疗方案[9]。本研究中,仅2例于子宫内膜活检后被诊断为DEC。值得注意的是,4例(No.2、5、8~9)DEC患者既往因"不规则出血"有诊断性刮宫史,子宫内膜活组织病理学检查结果提示无异常,由于未予进一步检查治疗,间隔3年后,再次因"不规则阴道出血"行子宫内膜活组织检查被确诊为DEC患者。由于子宫内膜病变具有多灶性分布特点,子宫内膜活组织检查存在约10%漏诊率[10]。若临床高度怀疑为子宫内膜癌,但子宫内膜活组织检查结果未提示子宫内膜癌时,应考虑再次行诊断性刮宫或宫腔镜检查,以及由多位高年资病理科医师或多学科合作对病理切片进行复核,以降低对DEC患者的漏诊率,对UEC/DEC患者的诊断亦是如此。UEC患者易被误诊为高级别子宫内膜癌,必要时需采用IHC染色协助诊断。
DEC由UC与低分化癌成分组成,电子显微镜下可见二者界限清晰,UC可占10%~90%[3]。UEC/DEC的UC无特异性的IHC标志物表达,但在与其他病理类型,如高级别子宫内膜样腺癌、癌肉瘤、神经内分泌癌的鉴别诊断上起着重要作用。UC中上皮细胞标志物CK,上皮细胞膜抗原(epithelial membrane antigen,EMA),均可呈局灶阳性表达或不表达,ER、PR、Pax8及波形蛋白(vimentin,Vim)多呈阴性或局灶阳性表达,黏附分子E-钙黏素(cadherin)、β连环蛋白(catenin)不表达;嗜铬颗粒蛋白A(chromogranin A, CGA),突触素和神经细胞黏附分子CD56可呈局灶呈阳性表达,但阳性率<10%;而低级别子宫内膜样癌成分中,CK、ER、PR 、Pax8、EMA、β连环蛋白均呈弥漫阳性表达[4]。纳入本研究的11例患者的IHC染色结果与文献报道[4]一致。UEC患者易被误诊为高级别子宫内膜样癌,高级别子宫内膜样癌的实性区域具有腺体结构,并且间质明显,而CK、EMA等上皮性标志物及ER、PR、Pax8等苗勒管上皮细胞标志物呈强阳性或弥漫阳性表达,在UEC成分中,ER、PR、Pax8、CK、Vim多呈阴性或局灶阳性表达[10,11,12]。Ramalingam等[13]对35例UEC患者IHC染色特征的回顾性分析结果显示,83%患者Pax8不表达,78%患者为CK5/6不表达,83%患者为ER不表达,82%患者为PR不表达,Her-2/neu无细胞膜染色,50%患者为E-钙黏素不表达,有表达的部分患者E-钙黏素不全表达在细胞膜上。因此认为,Pax8是鉴别诊断UEC与高级别子宫内膜样癌、浆液性癌、透明细胞癌、癌肉瘤等实性成分的最有效上皮细胞生物标志物。需注意是,UEC/DEC患者肿瘤内同时存在UC与高级别成分的情况,本研究中3例患者(No.1、3、6)肿瘤内同时存在UC与高级别子宫内膜样癌成分,其中1例(No.3)同时还合并高级别浆液性癌成分。Busca等[14]报道的18例DEC患者中,11例为UEC合并高级别子宫内膜样癌成分,仅7例为UEC合并低级别子宫内膜样癌成分,故提出建议延伸DEC的定义,将UEC合并高级别子宫内膜样癌也纳入其中;还发现3例同时存在UC、高级别子宫内膜样癌成分及少量低级别子宫内膜样癌成分,并且低级别成分位于高级别子宫内膜样癌成分和UC旁。UC肿瘤细胞形态上呈小细胞实性片状分布,可有局灶性表达神经内分泌标志,需与子宫神经内分泌癌相区别:后者≥2项神经内分泌标志物呈弥漫性阳性表达,如突触素、CD56及CGA等呈弥漫性阳性表达。UEC/DEC患者肿瘤组织内可见上皮细胞和梭形细胞,偶可见横纹肌样细胞外观,易与癌肉瘤混淆,但癌肉瘤组织的上皮组织标志物CK和上皮膜抗原局灶呈阳性,而肉瘤标志物Desmin、SMA呈阳性;而UEC/DEC的这2项标志物呈阴性。本组11例UEC/DEC患者中,3例(No. 6~7、10)诊刮子宫内膜活组织检查示可疑肉瘤,术后通过IHC染色见仅有1例(No.10)SMA(+) 、Desmin(-),考虑为腺癌伴肉瘤分化。
目前,临床对UEC/DEC患者的治疗可参照子宫内膜癌治疗方案,即以手术治疗为主的综合治疗,对FIGO临床分期为早期者进行子宫内膜癌分期手术,包括全子宫+双附件切除术及盆、腹腔淋巴结清扫术,对FIGO临床分期为晚期者,进行肿瘤细胞减灭术。但是基于DEC的组织病理学特点,即使术中行快速冰冻切片检查,仍然难以对DEC患者进行确诊,可能遗漏癌组织中UC,从而低估病情导致手术切除范围不足。鉴于目前关于UEC/DEC患者相关研究的文献报道数量较少,对UEC/DEC患者术后的辅助治疗方案目前尚无专家共识,临床多参照高级别子宫内膜样癌处理,关于术后辅以全身化疗和(或)放疗的标准与疗效,均有待进一步研究、证实。目前亦尚无确定的分子靶向药物用于UEC/DEC患者的治疗,Ono等[15]回顾性分析17例DEC患者的MMR蛋白与程序性死亡配体1(programed death-ligand, PD-L1)表达情况发现,PD-L1呈阳性表达仅分布于DEC患者的UC,中、高分化成分却无表达,由此提示DEC患者可能从靶向PD-1/PD-L1的免疫检查点抑制剂(immune checkpoint inhibitors, ICI)治疗中获益,尤其是针对DEC患者的UC。
由于UEC/DEC患者的UC的存在,导致DEC更具有侵袭性,容易发生淋巴结转移、脉管侵犯及远处转移,导致患者预后差,但是这与UC所占比例无关,即使UC占比很少,患者预后亦较差[11]。本研究11例UEC/DEC患者中,5例(No.2~3、7~9)初诊时癌细胞就出现了子宫外扩散,IHC染色结果示,4例(No.2~3、8~9)转移灶均为UC,故证实UC易出现远处转移,影响患者预后。Hamilton等[16]对53例UEC/DEC患者的研究结果显示,FIGO Ⅰ~Ⅱ期患者的5年无病生存(disease free survival,DFS)率为80%, Ⅲ期者为29%,Ⅳ期者为10%;FIGO Ⅰ~Ⅱ期者的5年OS率为84%,Ⅲ期者为38%,Ⅳ期者为12%。经多因素Cox回归分析发现,FIGO临床分期为早期、术后辅助放化疗、良好的一般状况与UEC/DEC患者的DFS率提高相关。Alhilli等[17]基于美国国家癌症数据库(National Cancer Database, NCDB)报道的3 313例UEC患者的研究发现,FIGO Ⅰ~Ⅳ期患者的5年OS率分别为75%、59%、44%和22%,但该研究未纳入DEC患者,并且对患者的组织病理切片结果未进行复核。许俊晖等[18]证实,ER、PR呈阴性及肿瘤直径>2 cm、脉管浸润、深肌层浸润,可能是DEC患者预后较差的危险因素。本研究11例UEC/DEC患者中,5例患者初诊时FIGOⅢ~Ⅳ期,其中1例为伴宫旁及卵巢转移者,术后1个月出现阴道、直肠、肛管、膀胱后壁、阴阜、肝脏、肾上腺、双肺等广泛转移,术后3个月死亡;1例伴卵巢及腹主动脉旁淋巴结转移者经手术及术后辅助放、化疗,术后,6个月内出现腹腔内广泛转移,术后9个月死亡;6例FIGOⅠ~Ⅱ期患者截至发稿均无瘤存活。由于本研究样本量少、随访时间较短,故需扩大样本量进一步研究、证实。
近年癌症基因组图谱(The Cancer Genome Atlas, TCGA)分子分型策略被广泛用于子宫内膜癌患者,尤其是FIGO临床分期为早期者,可对其进行精准的风险分层、指导治疗和判断预后。Zhang等[19]研究结果发现,71.4% UEC/DEC患者的肿瘤组织MMR蛋白呈缺失状态,主要是MLH1和PMS2缺失,由此提出DEC和微卫星不稳定(microsatellite instability,MSI)有关。Travaglino等[20]进行的系统荟萃分析结果提示73例UEC/DEC患者中,12.4%为POLE突变/超突变型,44%为MSI型,18.6%为高拷贝数/p53突变型,25%为低拷贝数/p53野生型,表明UEC/DEC患者的TCGA分子分型呈现出较大的异质性。本研究11例UEC/DEC患者中,8例患者进行了MMR蛋白检测,6例的MLH1、MSH2、MSH6和PMS2的MMR蛋白表达均完整,2例为PMS2缺失。文献报道,伴SWI/SNF复合物缺失的UEC/DEC患者预后更差[21,22],这可能是由于SWI/SNF染色质重塑复合物的核心催化亚基基因失活,导致相应的蛋白表达缺失,继而出现染色质重塑与转录调控的异常,影响细胞分化与增殖的缘故[23]。因此,TCGA分子分型及其在预后中的应用价值尚需更多的研究进一步证实。
总之,由于UEC/DEC患者缺乏特异性的临床表现,术前多无法准确诊断,诊断上应注意多点取材,结合HE和IHC染色结果综合分析,需与原发于子宫的高级别子宫内膜癌、神经内分泌癌、癌肉瘤等相区别。UEC/DEC患者的肿瘤细胞具有侵袭性强、患者预后差等特征,目前对该病患者的治疗及预后判断尚无统一标准,需临床医师、病理科医师对其组织学特征、分子特征、临床诊断、治疗和预后等进行不断探索,开展大样本、多中心的临床研究,积累更多证据,进而改善UEC/DEC患者预后。
所有作者声明无利益冲突
戴佑任,张悦,李扬,等.未分化/去分化子宫内膜癌的临床病理学特征及治疗研究[J/OL].中华妇幼临床医学杂志(电子版), 2022, 18(6):660-668.





















