
版权所有,未经授权,不得转载、摘编本刊文章,不得使用本刊的版式设计。
除非特别申明,本刊刊出的所有文章不代表中华医学会和本刊编辑委员会的观点。
光盘如有质量问题,请向编辑部调换
Segond骨折是外侧胫骨平台前外侧韧带止点的撕脱骨折,其损伤由暴力使膝关节屈曲内翻时胫骨内旋引起,常常合并有前交叉韧带(anterior cruciate ligament,ACL)损伤或外侧关节囊半月板损伤[1]。因此Segond骨折是ACL断裂的间接征象。反式Segond骨折位于胫骨平台内侧缘累及内侧副韧带深层的撕脱骨折,与Segond骨折位置相对应,于1997年,由Hall和Hochman[2]首先报道。其受伤机制与Segond骨折相反,常常合并膝关节后交叉韧带(posterior cruciate ligament,PCL)及内侧半月板损伤[3]。由于反式Segond骨折的发生率非常低,目前国内外报道的案例非常少。本文首次报道采用关节镜技术微创治疗2例反式Segond骨折,取得满意效果,报告如下。
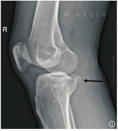
病例1 患者男,52岁,因"机器压伤致左大腿、右膝疼痛活动受限12 h"于2018年1月入院。入院查体:左侧大腿肿胀压痛,畸形,右膝关节肿胀压痛,活动受限,双下肢肢端血供感觉正常,由于疼痛查体欠配合。入院完善左侧股骨正侧位X线、右膝X线(图1)、CT(图2)及MRI(图3),诊断"左侧股骨干骨折、右侧反式Segond骨折"。为控制创伤,行分期手术。入院7 d后患者一期行"左侧股骨干骨折切复内固定术",术后恢复可。入院14 d行右膝关节镜辅助下内固定手术。麻醉下查体提示右膝关节30°外翻试验阳性,前后抽屉及Lachman试验阴性,术中常规行关节内血肿清理后发现前后交叉韧带无损伤,内侧半月板(medial meniscus,MM)撕裂予半月板成形,内侧撕脱骨折位于内侧半月板后角下方并向内侧移位,关节镜监视下克氏针体外定位骨折位置后取膝关节内侧2 cm切口纵行劈开内侧副韧带分离至骨折处,见骨折块约1.5 cm×1 cm×1 cm大小并翻转,在关节镜监视下复位骨折后用2枚3 mm空心钉固定,再可吸收线连续缝合修补内侧副韧带(medial collateral ligament,MCL),术后复查右膝X线(图4)示骨折解剖复位。术后常规佩戴可调节膝关节支具伸直位固定并行直腿抬高锻炼股四头肌,术后4周开始膝关节0°~90°屈曲活动,术后6周膝关节0°~120°屈曲活动并拄双拐保护下开始部分负重,术后10周膝关节完全负重并达到正常活动度。目前术后半年,查外翻试验转阴,日常生活无不适,能慢跑,打羽毛球,右膝无不稳感,Lysholm评分90分。








病例2 患者男,50岁,因"摔伤致右膝关节疼痛3 d"于2019年2月入院。入院查体:右膝关节肿胀压痛,活动受限,肢端血供感觉正常。入院查右膝CT(图5)及MRI(图6)提示右膝后交叉韧带止点无移位骨折,胫骨平台内后缘撕脱骨折累及内侧副韧带深层,诊断"反式Segond骨折"。完善术前准备后行右膝关节镜手术,麻醉下查体示右膝关节肿胀,前后抽屉及Lachman试验阴性,内外翻试验阴性。术中清理血肿后探查前后交叉韧带完整,后叉止点骨折无移位,发现内侧半月板后角撕裂行内侧半月板成形,内侧撕脱骨折块位于内侧半月板下方并翻转,细针定位骨折块位置后取膝关节内侧3 cm切口,分离至骨折部位,见骨折块菲薄约1 cm×0.5 cm×0.3 cm,连及内侧副韧带深层,考虑骨块太小空心钉固定困难改用缝线捆扎,复位后在关节镜监视下在骨折块前外及后外建立2 mm骨隧道,用硬膜外导针过线,将2号爱惜绑线捆扎复位骨折块,平台内侧放置小T型钢板作为阻挡支撑,将爱惜绑线打结在钢板上,术中关节镜探查骨折解剖复位(图7,图8,图9,图10)。术后复查CT进一步证实示骨折解剖复位(图11)。术后常规佩戴可调节膝关节支具伸直位固定并行直腿抬高锻炼股四头肌,术后2周开始膝关节0°~90°屈曲活动,术后6周膝关节0°~120°屈曲活动并拄双拐保护下开始部分负重,术后10周膝关节完全负重并达到正常活动度。术后半年复查,患者右膝无疼痛,能慢跑,Lysholm评分95分。


反式Segond骨折位于胫骨平台的内缘,因此在标准的膝关节X线正侧位片上容易漏诊,而斜位X线片上可以更好地显示该骨折。由于此类骨折常常合并膝关节韧带、半月板损伤,所以需要CT、MRI等影像检查进一步评估其他伴随软组织损伤,一旦漏诊可能会对治疗效果产生不利影响。
与Segond骨折相比,反式Segond骨折的发生率更低。Erno等[4]在某一级创伤中心回顾性分析了11年间的1 553例创伤患者膝关节CT,发现反式Segond骨折为10例,占比是0.64%,并且Segond骨折与反式Segond骨折的比例是4 ∶1。反式Segond骨折往往由于高能量暴力损伤导致,多发生于中青年人群。该研究共纳入20例患者,平均年龄为(31.5±9.5)岁,其中75%(15/20)的患者为高能量暴力所致,常见为车祸伤、高坠伤,然而剩余5例患者为低能量的损伤,以运动损伤为主。结合以往文献报道,反式Segond骨折的受伤机制可能为膝关节受外翻应力的同时伴胫骨外旋,此损伤机制与Segond骨折相反,与外侧胫骨平台SchatzkerⅠ、Ⅱ型类似[2,5]。对于高能量的损伤,其受伤机制可能更加复杂。
反式Segond骨折与Segond骨折都是胫骨平台边缘骨折,可间接提示膝关节韧带、半月板损伤。本研究的两例反式Segond骨折,1例只合并内侧半月板撕裂,1例合并后交叉韧带止点骨折,与早期的报道[2,5,6]提示,反式Segond骨折常常合并后交叉韧带撕裂或后交叉韧带撕脱骨折基本一致。而近期Erno等[4]报道7例手术治疗的反式Segond骨折,其中合并ACL损伤占43%,合并PCL损伤占14%,合并MCL占29%,其结果与以往文献报道不同。由此可见,反式Segond骨折的出现不仅提示PCL的损伤,更可能出现ACL、MCL等结构损伤。
以往对于反式Ssegond骨折的报道更多见于放射学领域,而在骨科手术领域的报道寥寥无几[6,7,8,9]。由于反式Segond骨折合并膝关节韧带损伤,因此以往的治疗方案也只关注膝关节多发韧带损伤及脱位,而忽视了骨折本身的治疗。对于反式Segond骨折本身缺乏有效的治疗指南,也没有具体手术方法的描述。结合文献,对于反式Segond骨折块是否需手术治疗主要从骨折块的大小、位置及功能几个方面考虑。对于骨折块远离关节面、骨块较小及未累及内侧副韧带的可选择保守治疗[3],而对于骨块位于关节面负重区、累及内侧副韧带的则需手术治疗[8,10]。手术方式可选择开放或关节镜手术,固定方法可用螺钉、钢板或缝线技术。本文2例患者的反式Segond骨折位于半月板负重区,均有移位翻转,累及内侧副韧带深层,均需手术治疗。病例1采用关节镜下螺钉固定大骨块,病例2采用关节镜下缝线联合钢板固定小骨块,均达到解剖复位,取得满意效果。关节镜辅助下的骨折内固定手术不仅可清楚观察骨折及关节内情况,也可镜下解剖复位骨折后直接缝线或螺钉固定,达到微创治疗的效果。据笔者了解,本研究是国内首次详细报道的关节镜下缝线联合钢板固定治疗反式Segond骨折的文章。
综上所述,反式Segond骨折在X线上是膝关节韧带及半月板损伤非常总要的间接征象。一旦发现反式Segond骨折,应该尽快完善MRI、CT检查,明确膝关节其他合并损伤情况,避免漏诊、误诊。对于反式Segond骨折块较大,累及关节面、软骨的,建议手术。关节镜辅助下治疗反式Ssegond骨折不仅可以解剖复位,还能微创的同时得到非常好的治疗效果。
























