
对行肾组织活检的人类免疫缺陷病毒(HIV)感染合并肾病患者进行病理分析。
纳入2011年1月至2018年12月四川大学华西医院肾内科接受肾组织活检的HIV合并肾病患者,分析其病理特征、干预措施和预后等。
共纳入9例患者,其中肾病综合征患者6例,急性肾功能损伤患者1例,慢性肾炎综合征患者2例。组织学诊断:肾小球微小病变患者3例,膜性肾病患者1例,塌陷型局灶节段性肾小球肾炎(FSGS)伴膜性肾病患者1例,FSGS非特异型(NOS)患者1例,急性间质性肾炎患者1例,IgA肾病患者1例,糖尿病肾病患者1例。5例患者在肾组织活检时首诊HIV感染(其中塌陷型FSGS伴膜性肾病、糖尿病肾病、急性间质性肾炎各1例,2例为肾小球微小病变),其余4例在HIV感染确诊后的不同时期(均行抗逆转录病毒治疗)发病。并发症:糖尿病1例,梅毒感染1例,甲状腺功能减退2例,乙型肝炎病毒感染3例。随访情况:3例患者失访,6例患者随访期间未发生严重感染,其中2例仍有大量蛋白尿,其余4例患者血尿消失,肾功能恢复正常水平,复查尿蛋白定量显著减少至可疑阳性或24 h定量<300 mg/d。
HIV感染者出现肾脏损伤的临床表现多样,可出现不同程度蛋白尿和(或)血尿,伴或不伴肾功能不全,病理类型不仅限于人类免疫缺陷病毒相关性肾病(HIVAN),可出现糖尿病肾病、肾小球轻微病变、膜性肾病、非塌陷型FSGS、急性间质性肾炎、IgA肾病。肾组织活检有助于明确诊断。抗逆转录病毒治疗有效情况下,依据患者的病理诊断,有针对性地给予糖皮质激素及细胞毒药物,并加强随访,有助于改善患者预后。肾病患者应加强HIV筛查。
版权所有,未经授权,不得转载、摘编本刊文章,不得使用本刊的版式设计。
除非特别申明,本刊刊出的所有文章不代表中华医学会和本刊编辑委员会的观点。
本刊为电子杂志,以光盘形式出版。本册应读者需求按需印刷,随光盘免费赠阅,光盘如有质量问题,请向编辑部调换
获得性免疫缺陷综合征(acquired immunodeficiency syndrome,AIDS)病原体为人类免疫缺陷病毒(human immunodeficiency virus,HIV)。HIV进入人体后,主要侵犯CD4+T淋巴细胞、单核巨噬细胞、树突状细胞,导致CD4+ T淋巴细胞不断减少及人体细胞免疫功能缺陷而致病。我国新发HIV感染者每年约5~10万人。2012年以来,AIDS呈上升趋势[1]。截止2017年年底,我国报道的现存活HIV/AIDS患者758 610例,当年新发现HIV/AIDS患者134 512例[2]。AIDS已成为严重威胁我国公众健康的重要公众卫生问题。1984年,Pardo和Gardenswartz等先后报道一种伴HIV感染的肾病,临床表现为迅速出现的蛋白尿,肾功能进行性恶化,常在数月后发展为尿毒症,即使肾脏替代治疗生存期也较短,病理上常表现为塌陷性局灶节段性肾小球硬化、间质炎症和肾小管萎缩[3,4,5];此类疾病后被称为HIV相关肾病(HIV associtaed nephropathy,HIVAN)。HIVAN为HIV直接感染足细胞,引起广泛的足突融合所致,与黑色人种有关[6]。随着抗HIV治疗策略的改变,积极有效地抗病毒治疗大大降低了HIV感染者机会性感染以及病死率,使HIV感染者的预期寿命延长并接近于一般人群。但随之而来的该类患者老龄化、糖尿病、高血压病、长期服药等问题逐渐显现。慢性肾脏病(chronic kidney disease,CKD)在HIV感染人群的发病情况日渐受到关注。我国普通成人CKD患病率为10.8%[7],而HIV感染人群中CKD患病率高达16%~18%[8,9]。HIV合并CKD除了HIVAN,还有HIV免疫复合物肾病、抗HIV药物所致肾小管肾间质损伤、血栓性微血管病变、糖尿病肾病、高血压肾病以及老年性肾小球硬化等[6]。我国HIV感染人群合并慢性肾脏病的相关研究较少。本文回顾性分析四川大学华西医院经治的行经皮肾组织活检病理的HIV感染合并肾功能损伤患者的资料进行临床病理分析,以期探讨HIV感染合并肾功能损伤的临床病理类型和疗效,现报道如下。
四川大学华西医院肾脏内科于2011年1月1日至2018年12月31日收治的HIV确诊实验阳性同时因存在肾功能损伤而接受经皮肾活检的患者。
收集临床病理资料包括患者性别、年龄、临床表现、HIV病程和治疗方案、CD4+ T计数、HIV RNA、肾病病程及治疗方案、基础疾病和并发症以及疗效。
随访总体截止时间为2018年12月31日。肾病缓解标准:①完全缓解(complete remission,CR):24 h尿蛋白定量<300 mg/d;②部分缓解(partial remission,PR):24 h尿蛋白定量≥300 mg/d且较治疗前基线水平下降≥50%。③未缓解:未达到以上标准。复发标准:整个随访过程曾达到CR,此后再次出现24 h尿蛋白定量≥ 1 g/d视为复发。
HIV临床分期:①急性期;②无症状期;③艾滋病期。
采用SPSS 17.0软件进行数据处理,年龄、血肌酐、eGFR、24小时尿蛋白定量为计量资料,且呈正态分布,以
±s表示;计数资料以率(构成比)表示。
1.共纳入9例HIV确证阳性合并肾病且完成经皮肾组织活检的患者,均为男性,平均年龄(47.7 ± 4.26)岁,血肌酐为(142.14 ± 33.19)μmol/L,eGFR为(60.93 ± 7.50)ml/min/1.73 m2,24 h尿蛋白定量为(10.66 ± 3.34)g/24 h。
2.合并糖尿病1例,梅毒感染1例,甲状腺功能减退2例,乙型肝炎病毒感染3例(见表1)。临床表现肾病综合征6例,急性肾功能损伤1例,慢性肾炎综合征2例。

9例HIV感染合并肾病患者的一般资料
9例HIV感染合并肾病患者的一般资料
| 患者编号 | 年龄(岁) | 性别 | 肾病病程 | 蛋白尿(g/24 h) | eGFR(ml/min/1.73m2) | HIV感染持续时间 | HIV感染病程阶段 | CD4+ T(cells/μl) | HIV RNA(拷贝/ml) | 基础疾病 | 合并其他传染性疾病 |
|---|---|---|---|---|---|---|---|---|---|---|---|
| 1 | 51 | 男 | 9个月 | 1.35 | 54.60 | 首诊 | 无症状期 | 260 | 阴性 | 糖尿病 | 无 |
| 2 | 36 | 男 | 6个月 | 3.50 | 49.10 | 6个月 | 无症状期 | — | — | 无 | HBV |
| 3 | 67 | 男 | 3个月 | 17.03 | 62.80 | 首诊 | 无症状期 | 720 | 31.60 | 无 | 梅毒螺旋体 |
| 4 | 42 | 男 | 10 d | 20.34 | 73.02 | 1年 | 无症状期 | — | 阳性,< 20 | 甲状腺功能减退 | 无 |
| 5 | 53 | 男 | 4个月 | 18.72 | 61.33 | 1个月 | 无症状期 | 574 | 阴性 | 甲状腺功能减退 | 无 |
| 6 | 48 | 男 | 3个月 | 27.14 | 88.70 | 首诊 | 无症状期 | 210 | 85.90 | 无 | 无 |
| 7 | 23 | 男 | 12个月 | 0.976 | 55.60 | 24个月 | 无症状期 | — | — | 无 | 无 |
| 8 | 53 | 男 | 1个月 | 1.80 | 14.55a | 首诊 | 艾滋病期 | 131 | 1.18 × 103 | 无 | HBV |
| 9 | 57 | 男 | 5个月 | 4.78 | 88.70 | 首诊 | 艾滋病期 | 154 | 1.18 × 103 | 无 | HBV |
注:a:该例患者为急性肾功能损伤(AKI);"—":无相关数据
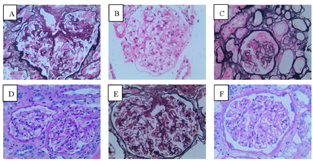
3.组织学诊断:肾小球微小病变3例,膜性肾病1例,塌陷型局灶节段性肾小球肾炎(focal segmental glomerular sclerosis,FSGS)伴膜性肾病患者1例,FSGS非特异型(not otherwise specified,NOS)患者1例,急性间质性肾炎1例,IgA肾病1例,糖尿病肾病1例(见图1)。5例患者在肾活检时首诊HIV感染(其中塌陷型FSGS伴膜性肾病、糖尿病肾病、急性间质性肾炎各1例,2例为肾小球微小病变),其余4例在HIV感染确诊后的不同时期(均抗逆转录病毒治疗)出现肾脏损伤表现。


注:A:塌陷型FSGS伴膜性肾病,PASM染色、× 400;B:FSGS,HE染色、× 400;C:FSGS,Masson染色、× 400;D:IgA肾病,PAS染色、× 400;E:膜性肾病2期,PASM染色、× 400;F:微小病变,PAS染色、× 400
4.随访:3例患者失访。所余6例患者随访期间未发生严重感染,其中2例仍有大量蛋白尿(部分缓解,比33.33%(2/6)),其余4例患者血尿消失,肾功恢复正常水平,复查尿蛋白定量明显减少至可疑阳性或24 h定量<300 mg/d[完全缓解,占66.67%(4/6)],无复发病例(0/6、0%),见表2。

9例HIV感染合并肾病患者的临床表现、病理诊断、治疗及随访、结局
9例HIV感染合并肾病患者的临床表现、病理诊断、治疗及随访、结局
| 患者编号 | 患者及病理诊断 | 临床综合征 | 肾病特殊治疗 | 抗逆转录病毒治疗 | 并发症治疗 | 随访 | 是否发生严重感染 | 随访时间(月) | 结局 |
|---|---|---|---|---|---|---|---|---|---|
| 1 | 糖尿病肾病3级 | 慢性肾炎综合征 | ACEI | 未用 | 胰岛素 | 失访 | — | — | — |
| 2 | FSGS | 肾病综合征 | 未 | AZT + NVP +3TC | — | 失访 | — | — | — |
| 3 | 微小病变 | 肾病综合征 | 雷公藤多苷 | AZT + 3TC + EFV | — | 是 | 否 | 34 | 蛋白尿3+,定量7.2 g/24 h,肾功稳定、HIV感染稳定 |
| 4 | 微小病变 | 肾病综合征 | 糖皮质激素、ACEI | EFV + 3TC + TDF | 左旋甲状腺素片 | 是 | 否 | 25 | 尿蛋白阴性,定量100 mg/24 h,肾功能稳定、HIV感染稳定 |
| 5 | 膜性肾病2期 | 肾病综合征 | 糖皮质激素、ACEI | EFV + 3TC + TDF | 左旋甲状腺素片 | 是 | 否 | 20 | 尿蛋白阴性,定量100 mg/24 h,肾功能稳定、HIV感染稳定 |
| 6 | 塌陷型FSGS膜性肾病伴 | 肾病综合征 | 糖皮质激素免疫抑制剂、ACEI | EFV + 3TC + TDF | — | 是 | 否 | 17 | 尿蛋白3+,定量7.2 g/h,肾功能稳定、HIV感染稳定 |
| 7 | IgA肾病 | 慢性肾炎综合征 | ACEI | EFV + 3TC + TDF | — | 失访 | — | — | — |
| 8 | 急性间质性肾炎 | 急性肾功能损伤 | 无 | EFV + 3TC + TDF | — | 是 | 否 | 24 | 尿蛋白阴性,定量阴性,肾功回复正常,HIV感染稳定 |
| 9 | 微小病变 | 肾病综合征 | 糖皮质激素ACEI | EFV + 3TC + TDF | — | 是 | 否 | 56 | 尿蛋白可疑阳性,定量150 mg/h,肾功稳定,HIV感染稳定 |
注:FSGS:局灶节段性肾小球硬化;AZT:齐多夫定;3TC:拉米夫定;EFV:依非韦伦;NVP:奈韦拉平;TDF:富马酸替诺福韦二吡夫酯片;ACEI:血管紧张素转换酶抑制剂;HIV感染稳定:HIV病毒载量降低至检测下限,且无严重感染
在ART(anti-retroviral therapy)药物面世前,HIV感染者出现肾病多数是HIVAN,其生存期取决于HIV感染的阶段[10]。经典型HIVAN表现为塌陷型肾小球病变伴肾小管间质损伤(肾小管微囊形成、间质炎症和肾小管损伤),是HIV直接感染肾脏,病毒基因表达,宿主控制细胞分化和细胞周期的基因功能失调所致。HIVAN一旦发病,肾功能恶化迅速,病死率高。Bourgoignie等[11]观察100例HIV合并肾病患者,死亡76例,平均生存时间仅217 d。曾有研究认为HIV伴肾病患者行肾组织活检所获得的病理诊断不影响治疗[12]。但是随着HIV治疗策略的改变,HIV感染一旦确诊即开始治疗,HIV感染者的存活率有较大改善,HIV感染者的肾病谱也出现变化。在广泛应用ART药物后,HIVAN逐渐减少,HIV相关免疫性肾病、非特异型FSGS、抗病毒药物所致的肾功能损伤、糖尿病肾病和高血压肾病等逐渐增加。对于HIV感染者合并的各种免疫复合物肾病,如狼疮性肾炎、新月体肾炎、膜性肾病、膜增生性肾病、系膜增生性肾小球肾炎、IgA肾病、溶血尿毒综合征[13],学者们曾经命名为HIV相关性免疫复合物性肾病(HIV-associated immune complex kidney disease,HIVICK)[14]。考虑此类疾病的多样性且缺乏与HIV感染明确的因果关系,近来学者建议使用"HIV感染背景下免疫复合物肾病"来定义此类疾病,以避免漏诊一些继发性可医治的肾脏疾病[15]。
早期使用抗病毒药物,HIV感染者的免疫功能可较好地保存,对免疫抑制剂的耐受性也得以改善。但是因为HIV感染主要损伤机体的免疫能力,不少医务工作者对使用糖皮质激素以及免疫抑制剂治疗HIV感染背景下免疫性肾病存在疑虑。研究显示HIV阳性患者肾移植后1年和3年生存率较高。HIV阳性患者肾移植后5年和10年的存活率明显高于未移植的患者。肾移植是HIV感染者终末期肾病的最佳治疗方法。HIV载量控制良好的患者接受肾移植是安全的。考虑到肾移植患者术后也需要终身使用免疫抑制剂及糖皮质激素,在缺乏HIV肾病特异性数据的情况下,可借鉴HIV感染者肾移植筛选标准[6]:①使用激素及免疫抑制剂以前至少有效抗病毒6月以上( CD4+ T>200 cells/μl,HIV RNA高精度检测阴性);②无活动性机会感染;③无如下病史:进展性多灶性脑白质病,原发性中枢系统淋巴瘤,肺曲霉菌病,内脏卡波肉瘤,环孢子菌病,慢性肠道隐孢子菌病>1个月,HIV或HCV重叠感染应进行肝病专科评估。恰当地把握患者的免疫状态对选择治疗方案具有重要的意义。
本文报道9例患者行经皮肾组织活检,均未发生术后严重出血、感染的并发症,提示HIV感染者行经皮肾穿刺术是安全的,且病理结果多样,对下一步治疗有极大指导意义。
本研究纳入了9例接受肾组织活检的HIV感染合并肾病患者,其临床表现主要以肾病综合征为主,也有急性肾功能损伤和慢性肾炎表现;病理学诊断多样,以塌陷型FSGS为特征的HIVAN仅有1例,其余为糖尿病肾病及各种免疫复合物肾病,发病率以免疫复合物肾病居多,这与国外研究一致[16,17,18,19,20,21,22,23,24,25,26,27,28]。这些患者的临床表现和病理学特征未提示抗HIV药物所致肾小管间质损伤,可能与患者暴露于抗HIV药物时间较短有关。在治疗方面,患者均接受了抗HIV治疗药物。随访的6例患者中,5例接受糖皮质激素、免疫抑制剂或雷公藤多苷治疗,未接受糖皮质激素或免疫制剂或雷公藤多苷治疗1例。其中2例部分缓解,4例完全缓解,未观察到严重感染和肾功能下降,急性肾功能损伤患者肾功完全恢复正常,这与Smith等[29,30,31,32]研究一致,提示伴肾功能损伤的HIV感染者接受肾组织活检的必要性,明确病理诊断对确定治疗方案、判断患者的预后十分重要。
综上,在ART治疗时代,HIV感染背景下出现肾功能损伤组织病理谱,并不仅限于HIVAN,还包含多种类型的肾病,因此肾组织活检十分重要。抗逆转录病毒治疗有效情况下,即患者细胞免疫状态好、高精度HIV RNA检测阴性,基于病理诊断给予治疗,部分患者可以完全缓解,部分患者肾功能恶化可以延缓。HIV感染并不是使用糖皮质激素及细胞毒药物治疗的禁忌证。鉴于HIV感染者逐年增加,不少患者在发现肾病后才首次筛查HIV,提示对肾病患者应加强HIV筛查。合并肾病的HIV感染者的治疗常常包括抗病毒药物、肾病药物,有的药物存在相互作用,涉及传染科、肾病科以及临床药学。多学科联合治疗有望进一步提高对此患者的诊治水平,减少不良反应,改善预后。
























