
评价上颌前牙区水平向严重骨缺损应用改良骨劈开联合引导骨再生术(GBR)的临床效果。
选取2015年2月至2016年3月就诊于南方医科大学口腔医院种植中心,上颌前牙区水平向严重骨缺损的拟采取分阶段骨增量患者50例,符合上颌前牙区单牙缺失,4 mm≥水平向骨宽度≥2 mm,垂直向骨高度正常。按照简单随机抽样法分为观察组和对照组,各25例。观察组使用改良骨劈开联合GBR;对照组使用常规GBR。各组于骨增量后6个月植入种植体25枚,植入后4 ~ 6个月行上部结构修复,随访6个月行临床及影像学检查,以种植体存留率、红色美学指数(PES)、水平向骨宽度、边缘骨吸收量评估临床效果。使用SPSS 21.0软件进行数据分析。
两组随访率100%,愈合期及随访过程中均无种植体脱落,种植体存留率均为100%。观察组PES修复当日为6.96 ± 0.98,负重6个月为8.28 ± 1.28;对照组修复当日为7.12 ± 1.13,负重6个月为8.12 ± 1.30。观察组和对照组修复当日及负重6个月PES差异均无统计学意义(t0 = -0.535,P0 = 0.595;t6 = 0.439,P6 = 0.663)。观察组术后6个月水平向骨宽度为(7.08 ± 0.40)mm,对照组为(5.81 ± 0.53)mm,差异具有统计学意义(t = -9.461,P<0.001)。观察组负重6个月的近中边缘骨吸收量为(0.34 ± 0.02)mm,对照组为(0.45 ± 0.04)mm,差异具有统计学意义(t = -12.86,P<0.001)。观察组负重6个月的远中边缘骨吸收量为(0.35 ± 0.02)mm,对照组为(0.44 ± 0.04)mm,差异有统计学意义(t = -10.44,P<0.001)。
应用改良骨劈开联合GBR有效解决上颌前牙区水平向严重骨缺损并取得良好的临床效果。
版权所有,未经授权,不得转载、摘编本刊文章,不得使用本刊的版式设计。
除非特别申明,本刊刊出的所有文章不代表中华医学会和本刊编辑委员会的观点。
光盘如有质量问题,请向编辑部调换
由于外伤、拔牙后牙槽嵴萎缩等原因,上颌前牙区在牙种植时牙槽骨量的不足比后牙区更为常见。一般来说种植术区局部牙槽骨唇舌向厚度至少有5.5 mm,种植体唇舌侧骨板厚度在1 mm以上才能保证种植修复的功能和美学效果[1]。因此对于上前牙区骨宽度不足的病例,在种植的同时需应用各种骨增量技术来增加牙槽骨的宽度。解决这一问题的外科技术包括:骨劈开术、骨挤压术、引导骨再生术(guided bone regeneration,GBR)、块状骨移植术及牵张成骨术等[2]。对于牙槽嵴宽度小于3 mm时,通常需行块状骨移植术即Onlay植骨术,达到一定骨增量再植入种植体[3]。然而Onlay植骨手术创伤较大,需要开辟第二术区,患者较难接受。因此,如何实现上颌前牙区骨宽度严重不足的患者手术微创并且获得长期可靠的临床效果成为目前研究的方向。
本文在骨劈开的基础上提出改良骨劈开联合GBR最终完成种植修复。研究选取上颌前牙区单牙缺失、4 mm≥水平向骨宽度≥2 mm、骨高度正常,拟采取分阶段骨增量的50例患者,采用简单随机抽样法分为两组,每组25例。观察组使用改良骨劈开联合GBR;对照组使用常规GBR术,骨增量后6个月植入种植体,4 ~ 6个月后永久修复,修复后随访6个月,通过评估软硬组织分析该改良术式的可行性及临床效果。
选取2015年2月至2016年3月在南方医科大学口腔医院种植中心就诊的拟采取分阶段骨增量的50例患者。
纳入标准:上颌前牙单牙缺失,4 mm≥骨宽度≥2 mm,骨高度正常,患牙拔除3个月以上,软硬组织愈合较理想。
排除标准:全身严重系统性疾病,拔牙或种植手术禁忌证、严重的咬合功能紊乱或磨牙症、未控制的邻牙根尖周疾病,急性的局部感染、进行性牙周炎或者牙周疾病,接受全剂量放疗和静脉滴注双磷酸盐治疗,长期吸烟史。
将纳入的50例患者进行随机编号,通过抽签法抽取25例作为观察组,其余25例作为对照组。其中观察组男10例、女15例,年龄(28.1 ± 4.2)岁,缺牙原因:龋齿6例、牙周病15例、外伤4例;对照组男11例、女14例,年龄(27.4 ± 5.1)岁,缺牙原因:龋齿8例、牙周病14例、外伤3例。观察组采用改良骨劈开联合GBR,对照组采用常规GBR。
本研究经过南方医科大学口腔医院伦理委员会批准,批文号:粤口医伦审[2017]03号。所有患者均签署知情同意书。
ANKYLOS® C/X种植系统(登士柏,德国)、超声骨刀(赛法登特,意大利),羟基磷灰石生物陶瓷(天博骨粉,北京意化健科贸有限责任公司),海奥生物膜(烟台正海生物技术有限公司)。
术前常规拍摄锥形束CT(cone-beam computed tomography,CBCT),测量缺牙区水平骨宽度。观察组术前常规预防性使用抗生素,常规消毒铺巾,局部浸润麻醉下于缺牙区行梯形切口,翻瓣,显露牙槽骨,超声行缺牙区两端骨切开,于牙槽嵴顶下2 mm处行骨切开达腭侧黏膜;切口呈U型,利用骨凿将骨块翘起轻轻推向唇侧,骨块呈"青枝骨折",骨块唇舌侧均植入适量天博骨粉,覆盖海奥胶原膜,无张力缝合关闭创口。对照组行常规GBR术,植入天博骨粉覆盖海奥胶原膜,无张力缝合关闭创口。术后均使用抗生素7 d,14 d后拆线。术后6个月拍摄CBCT,行二期种植体植入术。4 ~ 6个月后完成永久修复。术中植入种植体直径均为3.5 mm,长度为11或14 mm。
复诊询问患者术后有无任何疼痛,有无其他主观不适。
患者骨增量术后6个月、永久修复当日及负重6个月行效果评估。
参照Buser等[4]和Cochran等[5]提出的标准:(1)种植体临床检查无动度;(2)无疼痛及任何主观感觉;(3)无复发的种植体周围炎;(4)X线片检查种植体周围无连续的透射影。
采用Fürhauser等[6]2005年提出的软组织评估标准评估红色美学,分别在永久修复当日和负重6个月后对种植区域进行评分。红色美学指数(pink esthetic score,PES)的标准为远中龈乳头、近中龈乳头、软组织水平、软组织轮廓、牙槽骨缺损、软组织颜色和软组织质地7项。评价标准以同名对侧牙为参考。每项评价以"0、1、2"评分,"0"最差,"2"最好。
骨增量术前、术后6个月拍摄CBCT观察植骨后骨改建情况,测量水平向骨宽度,标记骨增量术前骨量宽度及术后6个月的骨量宽度。利用图像处理软件Image Pro Plus 6.0测量,数据测量由同一名医生完成,反复测量3次,最终结果取平均值,数值精确到0.01 mm。
通过根尖片测量种植体近远中边缘骨吸收情况,分别于种植体植入当日及永久修复负重6个月时行检查。首先测量种植体影像长度记为L,再以种植体-基台平面的延长线为参考平面,在种植体长轴方向上,测量该平面与种植体近远中骨结合最高点的距离记为H(图1)。利用图像处理软件Image Pro Plus 6.0测量,数据测量由同一名医生完成,反复测量3次,最终结果取平均值,数值精确到0.01 mm。计算实际边缘骨水平量(h)=种植体实际长度÷L × H。两时间点的差值为边缘骨吸收量。


采用SPSS 21.0软件进行统计学分析。在观察组和对照组的对比研究中,PES值、水平向骨宽度及近远中边缘骨吸收量均为计量资料。在术前、术后、修复当日及负重6个月的每个时间点,当计量资料符合正态分布时采用独立样本t检验进行比较;不符合正态分布时采用Wilconxon秩和检验。以P<0.05认为差异有统计学意义。
本研究中观察组男10例、女15例,年龄(28.1 ± 4.2)岁,共植入25枚种植体。对照组男11例、女14例,年龄(27.4 ± 5.1)岁。两组年龄、缺牙原因及缺牙时间等差异无统计学意义,具有可比性。植入种植体直径均为3.5 mm,种植体长度为11或14 mm。两组患者基线资料见表1。

本研究50例上颌前牙区水平向严重骨缺损患者的基线资料
本研究50例上颌前牙区水平向严重骨缺损患者的基线资料
| 组别 | 例数 | 性别(例,男/女) | 年龄(岁, ±s) | 缺牙时间(月, ±s) | 缺失牙位(例) | 缺牙原因(例) | |||
|---|---|---|---|---|---|---|---|---|---|
| 中切牙 | 侧切牙 | 龋病 | 牙周病 | 外伤 | |||||
| 观察组 | 25 | 10/15 | 28.1 ± 4.2 | 6.0 ± 0.5 | 14 | 11 | 6 | 15 | 4 |
| 对照组 | 25 | 11/14 | 27.4 ± 5.1 | 5.6 ± 0.6 | 16 | 9 | 8 | 14 | 3 |
两组患者对术后反应总体主观感觉满意,无明显肿痛,无其他全身反应,可接受度高。
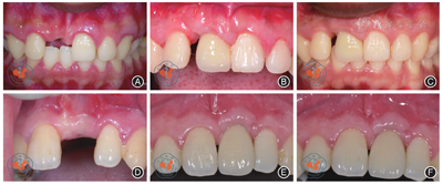
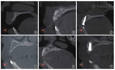
两组随访率为100%。在愈合期及随访期内50枚种植体无松动脱落,功能行使良好,患者无明显不适,种植体存留率达到100%。观察组、对照组术前及术后随访照片见图2,CBCT图像见图3。




观察组修复当日PES值为6.96 ± 0.98,负重6个月为8.28 ± 1.28;对照组修复当日为7.12 ± 1.13,负重6个月为8.12 ± 1.30。观察组和对照组修复当日PES值的差异无统计学意义(t = -0.535,P = 0.595);负重6个月PES差异无统计学意义(t = 0.439,P = 0.663)。两组患者负重6个月PES值均较修复当日明显提高,观察组患者差异有统计学意义(t = -4.106,P<0.001);对照组前后差异有统计学意义(t = -2.901,P = 0.006,表2)。

两组上颌前牙区水平向严重骨缺损患者术前、后红色美学指数(PES)的比较(
±s)
两组上颌前牙区水平向严重骨缺损患者术前、后红色美学指数(PES)的比较(
±s)
| 组别 | 例数 | 修复当日 | 负重6个月 |
|---|---|---|---|
| 观察组 | 25 | 6.96±0.98 | 8.28±1.28 |
| 对照组 | 25 | 7.12±1.13 | 8.12±1.30 |
| t值 | -0.535 | 0.439 | |
| P值 | 0.595 | 0.663 |
两组术前水平向骨宽度差异无统计学意义(t = -0.603,P = 0.549)。观察组术后6个月水平向骨宽度为(7.08 ± 0.40)mm,对照组为(5.81 ± 0.53)mm,观察组术后半年骨宽度大于对照组,差异具有统计学意义(t = -9.461,P<0.001,表3)。

两组上颌前牙区水平向严重骨缺损患者水平向骨宽度术前、后的比较(mm,
±s)
两组上颌前牙区水平向严重骨缺损患者水平向骨宽度术前、后的比较(mm,
±s)
| 组别 | 例数 | 术前 | 术后6个月 |
|---|---|---|---|
| 观察组 | 25 | 2.88 ± 0.53 | 7.08 ± 0.40 |
| 对照组 | 25 | 2.79 ± 0.51 | 5.81 ± 0.53 |
| t值 | -0.603 | -9.461 | |
| P值 | 0.549 | <0.001 |
观察组负重6个月的近中边缘骨吸收量为(0.34 ± 0.02)mm,对照组为(0.45 ± 0.04)mm,差异具有统计学意义(t = -12.86,P<0.001)。观察组负重6个月的远中边缘骨吸收量为(0.35 ± 0.02)mm,对照组为(0.44±0.04)mm,差异具有统计学意义(t = -10.44,P<0.001)。观察组负重6个月近远中边缘骨吸收均低于对照组,见表4。

两组上颌前牙区水平向严重骨缺损患者永久修复负重6个月边缘骨吸收量比较(mm,
±s)
两组上颌前牙区水平向严重骨缺损患者永久修复负重6个月边缘骨吸收量比较(mm,
±s)
| 组别 | 例数 | 近中边缘骨吸收量 | 远中边缘骨吸收量 |
|---|---|---|---|
| 观察组 | 25 | 0.34 ± 0.02 | 0.35 ± 0.02 |
| 对照组 | 25 | 0.45 ± 0.04 | 0.44 ± 0.04 |
| t值 | -12.86 | -10.44 | |
| P值 | <0.001 | <0.001 |
典型病例 患者,女,22岁,因10年前外伤致右上前牙脱位一直未行修复治疗,现成年后要求种植修复。口内检查:11缺失,上前牙牙列存散在间隙,薄龈型,11对应唇侧骨凹陷。术前CBCT测量水平向骨宽度2.35 mm。完善术前检查,拟采取改良骨劈开联合GBR,植入ANKYLOS® C/X 3.5×14 mm种植体完成修复。术前常规预防性使用抗生素,常规消毒铺巾,局部浸润麻醉下于缺牙区行梯形切口,翻瓣,显露牙槽骨,超声行缺牙区两端骨切开,于牙槽嵴顶下2 mm处行骨切开达腭侧黏膜;切口呈U型,利用骨凿将骨块翘起轻轻推向唇侧,骨块呈"青枝骨折",骨块唇舌侧植入天博骨粉0.5 g,盖海奥胶原膜,无张力缝合创口。术后常规消炎,14 d后拆线,创口愈合良好。6个月后CBCT复查,测量水平向骨宽度为7.12 mm,植入ANKYLOS® C/X 3.5 × 14 mm种植体1枚,行即刻修复,6个月后完成最终修复,6个月后复查。完成修复当日及负重6个月PES值评估,修复当日及负重6个月完成边缘骨水平量测量。结果显示,行改良骨劈开联合GBR术后6个月水平向骨宽度获得了显著的骨增量,修复获得了良好的前牙美学效果,负重6个月的边缘骨吸收量较少,患者满意度高。典型病例手术术式见图4。


本研究改良传统骨劈开完成上前牙水平向严重骨缺损的种植治疗,保留牙槽嵴顶的高度,采取U型全层骨劈开并进行唇舌向的水平骨增量,国内外暂无文献报道相同做法[7,8,9]。经过对比研究,该术式获得稳定可靠的骨增量;在追踪观察期内,边缘骨吸收较对照组低。研究显示,上前牙区牙槽骨在牙齿缺失后,水平向的骨吸收明显大于垂直向的骨吸收[7]。当牙槽嵴宽度在1 ~ 3 mm时,Onlay植骨虽能较好地解决骨量的不足,但其存在开辟第二术区、移植骨块量有限、不可预测的骨吸收等不足[8];随着手术简化的趋势,有文献报道牙槽嵴宽度为2 ~ 3 mm行常规骨劈开术联合GBR成功的病例[9,10]。然而常规骨劈开对于2 ~ 3 mm的骨宽度存在一定的手术风险[11,12],极易出现游离骨折,骨宽度增加至7 mm难度较大[13];当骨劈开术联合GBR同时进行时,大量骨粉置于骨板外侧易阻断微脉管灌注,从而影响唇颊侧骨板的活力[13]。改良骨劈开术对血供的要求比传统Onlay的大骨块更低,手术风险比传统骨劈开术低。术中U型骨切口使得开放的骨髓腔能够提供植入材料更充足的血供,唇侧骨板维持稳定的成骨空间、无张力缝合等保持了胶原膜内部的稳定环境,从而增强了GBR的成骨潜力[14,15,16]。改良术式为全层而不是分层骨劈开,因而保留骨高度,适应证更广。研究显示,改良术式通过保留牙槽嵴顶的皮质骨并将原骨板推向唇侧从而建立了稳定的新的唇侧骨板,而对照组植骨后骨吸收较大。观察组负重6个月后边缘骨吸收小于对照组,牙龈乳头无明显退缩。两组均使用平台转移的种植体,修复完成后负重6个月软组织均获得较好的美学效果[17,18,19]。
综上所述,改良骨劈开联合GBR初步取得了较好的临床疗效,影像学证实了骨增量效果良好,对于上前牙区牙槽骨度严重不足的问题在临床上具有良好的应用前景和应用价值,不足之处在于新技术仍需扩大病例数量长期观察。
所有作者均声明不存在利益冲突





±s)
±s)



















