
探讨原发性干燥综合征(pSS)患者唇腺组织中IL-7的表达及其与临床血清学参数间的关联。
收集2015年1月至2017年12月汕头市中心医院pSS患者135例,以及同期唇外伤正常对照个体12例。免疫组织化学法检测两组个体唇腺组织中IL-7的表达,分别评估腺上皮细胞与浸润淋巴细胞IL-7的表达情况。Pearson相关分析唇腺组织IL-7的表达与抗核抗体(ANA)、C3、C4、C反应蛋白(CRP)、IgG等血清学指标间的关联性。
IL-7在唇腺组织内淋巴细胞、腺泡导管及上皮细胞均可表达。浸润的淋巴细胞IL-7表达阳性率在pSS患者(88.14%,119/135)显著高于正常对照个体(8.3%,1/12),差异有统计学意义(χ2 = 46.82,P<0.001)。pSS患者唇腺组织中腺泡与导管上皮细胞与浸润淋巴细胞IL-7的表达相关(r = 0.27,P = 0.0012),未发现有浸润淋巴细胞IL-7表达与血清指标间的相关性。
pSS患者唇腺组织中腺体上皮细胞、淋巴细胞IL-7异常高表达,且两者表达情况紧密相关,提示IL-7的表达可能参与了pSS腺体与淋巴细胞的相互作用,可作为pSS唇腺干预一个新的治疗靶点。
版权所有,未经授权,不得转载、摘编本刊文章,不得使用本刊的版式设计。
除非特别申明,本刊刊出的所有文章不代表中华医学会和本刊编辑委员会的观点。
光盘如有质量问题,请向编辑部调换
原发性干燥综合征(primary Sjögren′s syndrome,pSS),又称舍格伦综合征,是一种主要累及全身外分泌腺的慢性自身免疫性疾病。该病以淋巴细胞和浆细胞浸润对唾液腺和泪腺为主的外分泌腺进行性破坏为特点,以口腔、眼结膜干燥为主要临床表现。流行病学调查显示,全球范围内pSS发病率高达60.82/100 000,仅次于类风湿性关节炎,居自身免疫性疾病发病率第二位,而我国pSS发病率为77/100 000[1]。到目前为止,pSS的发病机制尚不清楚,研究者普遍认为:pSS的发生、发展可能与遗传因素、感染因素及雌激素等多因素共同作用有关[2]。在上述已知因素的综合作用下,机体的细胞免疫和体液免疫出现异常,产生大量的细胞因子、免疫球蛋白和多种自身抗体,促使局部组织发生过激炎症性损伤[3]。
白细胞介素7(IL-7)是IL-2细胞因子家族成员之一,主要由胸腺和骨髓基质细胞分泌的糖蛋白构成,IL-7通过激活IL-7/JAK3/STAT5通路,参与T淋巴细胞的活化、增殖和运动的调控,维持T细胞的稳态[4]。研究已发现,血清中IL-7浓度与类风湿性关节炎、系统性红斑狼疮等多种自身免疫性疾病相关[5]。
IL-7在pSS中的研究较少[6]。在干扰素(INF)的刺激下,唾液腺上皮细胞也可分泌IL-7,并且血清中IL-7浓度与B淋巴细胞趋化因子CXCL13(CXCL13)、抗ssa抗体(anti-SSA)、类风湿因子(RF)和补体C4浓度密切相关[7]。血清中IL-7受体浓度增高,pSS患者眼部干燥症状更为显著[8]。为进一步明确IL-7在pSS唇腺组织腺上皮、浸润的淋巴细胞的表达情况及其两者间的关联。本研究拟大样本检测IL-7在pSS患者唇腺组织中的表达情况,探讨IL-7在pSS发病机制中的可能作用及临床意义。
选取2015年1月至2017年12月间在汕头市中心医院风湿免疫科就诊的pSS患者135例,其中男8例、女127例,年龄19~ 75(48.9 ± 11.9)岁。取同期颌面部创伤患者12例唇腺组织为正常对照组,其中男3例、女9例,年龄(46.5 ± 16.3)岁。全部pSS患者均按2012年pSS分类标准诊治[9]。收集pSS患者唇腺组织制作成石蜡标本存储,同期收集患者的血液标本,以检测其相关血清学参数。
本研究通过汕头市中心医院伦理委员会审批[审批号:(2020)-科研027号]。患者均获知情同意并签署知情同意书。
唇腺石蜡组织切片经常规脱蜡,3% H2O2溶液室温下作用15 min,消除内源性辣根过氧化氢酶。以pH 6.0的1 nmol/L柠檬酸钠高压修复3 min;山羊血清封闭后,加入IL-7抗体(1∶50稀释)4 ℃过夜,再加入链霉卵白素标记的羊抗兔IgG,置湿盒中室温30 min,而后加入与生物素结合的辣根过氧化物酶,室温30 min,DAB显色,自来水冲洗,苏木素复染,脱水,中性树胶封片。
pSS患者及对照组患者均被抽取静脉血4 mL,经离心分离血清后,冻存于-80 ℃冰箱待测。
血清抗核抗体采用间接免疫荧光法检测:用磷酸盐吐温缓冲液(PBS-Tween)1∶100稀释待检血清标本,吸取25 μL加于加样板上,盖上含有hep-2细胞的基质片,置于室温下温育30 min,PBS-Tween冲洗,浸洗5 min,各玻片滴加20 μL荧光标记的抗人IgG抗体,将玻片置于室温下避光温育30 min,PBS-Tween冲洗,浸洗5 min,滴加10 μL甘油/PBS,盖玻片覆盖,荧光显微镜下观察。结果判断:阳性染色细胞在荧光显微镜下细胞核呈黄绿色荧光,如不发荧光则为阴性,抗原片中出现阳性染色细胞为抗核抗体(antinuclear antibody,ANA)阳性,否则为阴性。
取pSS患者及对照组静脉血均约2 mL,采用免疫比浊法在全自动特种蛋白分析仪上做检测,严格按仪器操作说明进行,仔细记录补体C3、C4、CRP和IgG等结果。
采用SPSS 16.0软件包,IL-7表达H-score值以
± s表示,pSS患者组与正常对照组间H-score均值的比较采用独立样本t检验;IL-7表达阳性率比较采用Fisher确切概率法卡方检验;IL-7表达H-score值与临床血清学(ANA、C3、C4、CRP、IgG)指标间的相关性采用Pearson相关性分析。以P<0.05为差异有统计学意义。
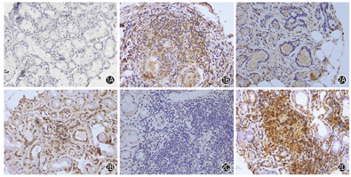
免疫组织化学染色结果显示,IL-7在12例正常对照组唇腺组织中有11例不表达(图1A),仅1例呈阳性表达;在pSS患者中,IL-7在唇腺组织的腺泡上皮、导管上皮细胞及浸润淋巴细胞等处均可表达(图1B),其表达水平不等(图2A~2B),阳性表达物主要位于细胞质。


pSS患者浸润淋巴细胞IL-7的表达检测显示,135例患者中16例不表达(图2C),119例阳性表达(图2D),阳性表达率为88.14%(119/135)。正常对照组1例呈阳性表达,阳性率为8.3%,两组IL-7表达阳性率比较差异有统计学意义(χ2 = 46.82,P<0.001)。
浸润淋巴细胞的IL-7表达H-score值在对照组(41.67 ± 14.03)和pSS组(118.16 ± 29.45)比较,差异有统计学意义(F = 9.18,P = 0.003,图3A)。图3B则是MedCalc软件计算的IL-7 H-score截点及其相对应的敏感性、特异性,提示采用H-score 70作为截点,能将两组不同表达最大程度地区分开。


pSS患者唇腺中腺泡上皮、导管上皮细胞IL-7的表达H-score值与唇腺中浸润淋巴细胞IL-7的表达H-score值间呈正相关(r = 0.27,P = 0.0012,图4A)。


pSS患者唇腺组织的浸润淋巴细胞IL-7表达H-score与患者血清ANA、C3、C4、CRP、IgG参数间的相关性分析结果如图4B~4F所示,未发现IL-7表达与上述血清学指标间的存在线性相关。
pSS是一种主要累及全身外分泌腺为主的慢性自身免疫性疾病,约30% ~ 40%患者除了有外分泌腺受损症状以外,还可以有造血、呼吸、神经等多系统受累,罹患B细胞淋巴瘤的风险是普通人的15 ~ 20倍[12]。目前,从老鼠到人体研究表明,白细胞介素家族中IL-7及其受体(IL-7R)在pSS发生、发展中起到了关键作用,可能参与发病的诸多过程比如上皮细胞的坏死、局部淋巴细胞浸润、唾液腺分泌的减少等,此乃当前自身免疫研究领域热点[5]。
Bikker等[13]在15例出现口干症状的pSS患者和15例无口干症状的健康者对比实验,首次发现IL-7在pSS患者唇腺组织存在高表达,主要位于淋巴细胞浸润区。20世纪90年代就有研究指出,pSS患者唇腺组织淋巴浸润区45% ~ 50%为CD4 T淋巴细胞,15% ~ 20%是CD8 T细胞,10% ~ 20% B淋巴细胞,还有少量但也很重要的浆细胞和巨噬细胞。Bikker等[13]还通过外周血单核细胞的体外对比实验发现IL-7是T淋巴细胞激活及分化的细胞因子,存在以IFN-γ、TNF-α、IL-1α、IL-4、IL-12、IL-15、IL-17等通过Th1(IFN-γ)、Th2(IL-4)、Th17(IL-17A)等在外分泌腺致炎并且以IL-10、IL-13这些细胞因子反馈调节T淋巴细胞的现象。IL-7是一个重要的免疫细胞因子,在T细胞早期活化、增殖、存活并分化成幼稚T细胞、成熟T细胞或者记忆T细胞起重要作用。研究表明,自身免疫病如类风湿性关节炎、炎症性肠炎、脊柱炎、银屑病等患者的IL-7在全身或局部表达水平是升高的[14]。研究发现,IL-7可调节T细胞相关受体表达来促进Th1和Th17细胞分化,进而导致干燥综合征发病的重要炎性因子如IL-2、IL-17、IL-22等分泌增加,而阻断IL-7R能让Th1和Th17细胞的活性降低,进而使相关炎性因子的表达也降低[15]。在SLE小鼠模型实验中发现,IL-7的表达随着成纤维网状细胞增殖而增加,同时促进小鼠自身反应性T细胞增殖及SLE疾病发展,即便是处于疾病的进展期,应用IL-7R拮抗剂仍可抑制小鼠自身反应性T细胞活性并遏制SLE进展[16]。本研究通过大样本检测,证实了在pSS患者唇腺组织中腺泡上皮、导管上皮细胞均可表达IL-7。另一方面,本研究还证实了pSS患者唇腺组织中腺泡/导管上皮细胞与浸润的淋巴细胞IL-7的表达间存在明显的相关性,推测在pSS发病过程中,唇腺的萎缩、淋巴细胞的浸润,两者可能存在相互影响,形成一个循环,不断加剧腺体的萎缩。学者Hinrichs等[17]也证实IL-7介导了免疫病理发生。
研究发现,IL-7通过IL-7-STAT5和IL-7/NFATc1两个通路在T淋巴细胞的活化增殖过程起重要作用,也就是IL-7通过TCR(T细胞抗原受体)通路激活、增殖、分化、动态平衡及免疫功能起作用[1]。Nguyen等[18]认为,IL-7对维持免疫系统稳定起着关键作用,通过IL-7对免疫系统调节影响人体健康及寿命。IL-7通过提高Th1细胞反应,以及IFN-γ/CXCR3介导的淋巴细胞向靶器官的浸润,以及pSS唇腺表型的发生[19]。本研究发现,在pSS患者唇腺组织中IL-7强度明显增强,提示IL-7促进淋巴细胞在唇腺组织中的浸润。利用IL-7Rα单克隆抗体,能有效的阻止记忆T细胞的反应,实现对自身免疫性疾病的治疗[19]。因此,本研究在pSS唇腺组织中发现IL-7的高表达,为临床运用IL-7受体阻滞剂治疗pSS患者,缓解其唇腺腺体的萎缩提供了证据。
ANA常用于自身免疫性疾病的诊断,是一类重要的血清学标志物。补体C3在pSS在发生、发展中起重要作用,研究者发现C3在pSS患者唇腺中表达量明显高于正常组,而C4却低于正常组[20]。CRP为非特异性炎症因子,在多种自身免疫性疾病SLE、感染性疾病及血液系统性疾病等中均发挥着重要作用,常常作为协助疾病诊断、监测疾病活动度及判断疾病预后的重要指标之一。目前研究发现pSS患者外周血清IgG水平明显高于健康者,表明患者外周血存在不正常的免疫反应[20]。本实验结果却未发现,pSS患者唇腺组织的IL-7阳性细胞数与pSS活动程度密切相关的其他临床指标ANA、补体C3与C4、CRP、IgG参数间存在相关性,可能与两者所介导的炎症不同阶段有关,也可能需要再加大样本量进一步验证。另外,后续实验将进一步结合患者血清中IL-7表达情况及阻断IL-7受体等实验,进一步寻找其与临床参数关联及其在疾病发病机制中的作用。
综上所述,本研究结果提示IL-7是参与pSS发生、发展中一个重要的细胞因子,可作为pSS唇腺干预一个新的治疗靶点,为pSS诊治提供新的策略和依据。
志谢 感谢汕头大学医学院病理生理教研室张国红副教授对本实验的指导
利益冲突 所有作者均声明不存在利益冲突
























