
探讨腹膜后巨大脂肪肉瘤术后腹腔复发患者多学科诊疗模式(MDT)。
回顾性分析腹膜后巨大脂肪肉瘤术后腹腔复发患者1例,男,45岁,复发肿瘤大小约10 cm×9 cm的临床病例资料及其两次诊治过程及MDT讨论要点分析,复习总结国内外相关文献。
患者行开放腹腔多发肿物切除+胆囊切除+大网膜切除术成功切除肿瘤,术后病理为去分化型脂肪内瘤。经治疗后恢复良好出院。一个半月后复发,继续靶向药物(阿帕替尼500 mg qd)治疗。
腹膜后脂肪肉瘤早期诊断困难,手术难度大,MDT及结合影像学检查及临床病理学特征可作出正确诊断,充分评估早期手术治疗可获得一定疗效,但去分化型脂肪内瘤总体预后不良。
版权所有,未经授权,不得转载、摘编本刊文章,不得使用本刊的版式设计。
除非特别申明,本刊刊出的所有文章不代表中华医学会和本刊编辑委员会的观点。
本刊为电子杂志,以光盘形式出版。本册应读者需求按需印刷,随光盘免费赠阅,光盘如有质量问题,请向编辑部调换
脂肪肉瘤是一种罕见的恶性肿瘤,发病率低,占全部恶性肿瘤的1%以下,在美国占软组织和骨肉瘤的20%[1]。在原发性腹膜后软组织肉瘤中,脂肪肉瘤是最常见的类型,占其中的41%[2]。脂肪肉瘤可发生在脂肪存在的任何地方,约12%~40%发生于腹膜后腔,35%起源于肾周脂肪[3]。其发病年龄为55~75岁,男性稍多于女性。脂肪肉瘤临床上主要表现为无痛性进行性增大肿块,接近一半的腹膜后脂肪肉瘤确诊时瘤体直径已达20 cm以上[4]。根据形态学特征及细胞遗传突变,脂肪肉瘤可分为五种不同亚型[5],这种异质性使得脂肪肉瘤的治疗较因难,而且早期不易被发现,手术彻底切除较困难,术后复发率高[6,7]。脂肪肉瘤可以在80%以上的病例中复发,死亡率1%~90%,肿瘤的分型对预后至关重要。中山大学附属第三医院于2017年12月收治1例腹膜后巨大脂肪肉瘤腹腔内复发,经多学科诊疗模式(multi-disiciplinary team,MDT)讨论再手术完整切除病例,现报告如下。
患者男性,45岁,因"发现腹腔巨大肿物1周余"收入院。患者1周前无明显诱因出现中腹部隆起,无明显腹痛等不适。入院前1周至中山大学附属第三医院门诊就诊,行全腹CT+增强检查发现腹腔内巨大肿物,以"腹腔肿物"收入院。既往史:3年前体检发现腹膜后肿物,中上腹部CT平扫+增强结果如下:(1)右侧腹膜后巨大占位病变,考虑右肾上腺来源恶性肿瘤可能性大,瘤周、肝右叶、门脉右支及主干、胰腺、右肾、下腔静脉明显受压、移位;(2)肝S 2段结节灶、考虑转移瘤可能,未除外典型血管瘤;(3)慢性胆囊炎(图1a)。住院行"开腹右侧腹膜后巨大肿物切除术+右肾切除术+肝左半叶切除术",术后病理提示:(腹膜后肿物)脂肪肉瘤,(左半肝)海绵状血管瘤。"乙肝小三阳"10余年,曾行抗病毒治疗。无高血压、糖尿病、冠心病病史。


注:a为2014年第一次手术术前CT;b为2017年第二次手术术前CT横断面;c为2017年第二次手术术前CT冠状面;d为多学科讨论后手术术中;e为术后切口;f为大体标本剖面图
入院后体格检查:一般情况良好,全身浅表淋巴结未触及,心肺无异常;腹软,肝脏、脾脏肋下未触及,中腹部可触及大小约10 cm×9 cm肿物,边界尚清,质稍硬,活动度差,轻压痛,无反跳痛。
血常规、肝功能、肾功能、生化全套、凝血四项、肿瘤三项等均未见明显异常。影像学检查:全腹CT+增强提示:中腹部腹腔内新发肿物,考虑恶性肿瘤复发;腹膜后恶性肿瘤及肝左侧叶病变切除术后改变,术区局部未见明确肿瘤复发征象;腹腔少量积液(图1b、图1c)。全身骨显像提示:未见明显骨转移。中上腹MR平扫+增强结果提示:中腹部腹腔内新发肿物,考虑恶性肿瘤复发;腹腔少量积液。
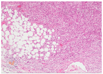
经中山大学附属第三医院肿瘤内科、肝胆外科、血管外科、放射影像科、外科ICU、麻醉科、胃肠外科、病理科等讨论,肿瘤内科指出脂肪肉瘤是一种罕见的恶性肿瘤,早期缺乏症状不易诊断,确诊时往往肿物较大且难以被完整切除,易复发;本例患者前次手术中诊断为巨大腹膜后脂肪肉瘤,因为当时手术切除较彻底,术后3年才在原来瘤床部位之外的腔隙复发;尽管再次手术难度大,但仍建议争取手术切除,再根据病理结果进行放化疗,并提议对患者进行基因检测进一步了解肿瘤性质。麻醉科综合评价了患者各脏器情况,认为手术有一定风险,但将在术中进行严密监控,以保证手术顺利进行。放射影像科详细解读患者影像检查特点,认为肿瘤巨大且位置险要,与周围脏器关系密切,指出手术中需要注意的事项。肝胆、胃肠、血管外科强调注意下腔静脉等血管解剖及与周围肠管关系,如术中需要,可以进行术中会诊。病理科对患者前次手术的病理切片进行再回顾,并提出患者病理分级存在低估可能,建议对本次手术中病理标本进行免疫组化等相关检测,方便临床医师据此制定方案。外科ICU将做好准备,制定详细措施帮助患者渡过术后难关。多学科讨论后患者于2018年1月15日在插管全麻下行开放腹腔多发肿物切除术+胆囊切除术+大网膜切除术(图1d)。术中(图1e)见剑突下一巨大肿物,包膜尚完整,上至剑突,下至脐,左侧部分与胆囊粘连,右侧部分与大网膜粘连,大小约10 cm×9 cm。沿着肿瘤包膜表面将肿物完整切除,将粘连的胆囊及部分大网膜一并切除。肿物呈灰红色,部分表面光滑,部分附带网膜组织,肿物切面灰白色,质中偏嫩,中央可见坏死,肿物与网膜组织分界不清。切除大体(图1f)术后病理及免疫组织诊断:肿物由多边形或短梭形细胞构成,弥漫排列,细胞异型性明显,核分裂易见,可见瘤巨细胞及坏死,肿瘤内有成片的脂肪组织,结合免疫组化及临床病史,符合脂肪肉瘤,类型考虑去分化脂肪肉瘤;周围脂肪组织内见淋巴结2枚,未见肿瘤转移。免疫组化结果:CK(少量+),Vimt(+),Ki-67(50%+),S100(部分+),SMA(部分+),HMB 45(-),CDK(+),CD 34(-) (图2)。


患者术后1周出院,建议患者进一步放化疗,并结合靶向药治疗。患者因经济困难,暂未采用进一步治疗,术后一个半月发现肿瘤原位复发,患者放弃化疗,改用靶向药物(阿帕替尼500 mg qd)治疗,疗效随防中。
脂肪肉瘤起源于原始间质细胞,主要是由脂肪母细胞构成,常发生在脂肪较多的腹膜后、四肢臂部、腹部,常侵犯深部软组织。脂肪肉瘤在病理上分五种类型:高分化型、黏液型、多形型、圆细胞型、去分化型。高分化型和黏液型脂肪肉瘤预后较好,临床上常见的类型是高分化型和去分化型。腹膜后脂肪肉瘤多呈边界清楚,或包膜完整,肿瘤包膜实际上为肿瘤生长压迫所形成的扁平瘤细胞薄层。瘤体通常呈明显分叶状,各分叶可呈圆形或卵圆形,各分叶间可不连续。
腹膜后脂肪肉瘤早期无明显症状,腹部巨大包块而症状轻微是本病突出特点,发现时往往已处于晚期,在压迫邻近器官组织或肿瘤逐渐增大时才出现相应症状,当压迫胃肠道时可出现进食饱胀感、厌食、恶心、呕吐、腹泻、腹痛、腹胀、便秘或排便疼痛;压迫肾时可引起肾积水;压迫膀胱可出现尿频、尿急;肿瘤侵犯腰丛和骶神经根可引起下肢或腰背部痛,肿瘤膨胀生长进入胸腔可引起呼吸困难,难以平卧;偶有因肿瘤破裂、出血导致急腹症和休克者。
由于脂肪肉瘤早期临床症状不明显,因此影像学检查就显得格外重要,目前脂肪肉瘤的影像学检查方法主要有超声、CT、MRI。超声主要用于筛查,确定肿瘤大小、数目等初步判断病情,具有无创、价廉优势。CT检查常作为首选的辅助检查,对腹膜后脂肪肉瘤的病理类型和恶性程度判断有一定价值,但主要取决于肿瘤所含的主要组织学成分,了解肿瘤不同的组织学亚型与影像学表现之间的关系,有助于准确判断[8]。目前的CT分辨率更高,图像清晰,能显示脂肪肉瘤的大小,位置、范围及与周围脏器的关系,CT平扫+增强+三维重建、CT尿路成像(CT urography,CTU)、CT血管造影(computerized tomography angiography,CTA)等能显示肿瘤与腹部及后腹腔大血管是否受压移位关系,对评估手术难度、制定手术方案具有重要意义。MRI检查可清晰显示软组织疾病,对肿瘤侵犯腹主动脉或下腔静脉等结构有重要的诊断意义。对怀疑血管受侵者,MRI能显示血管受侵的部位、范围。当然,不同的检查手段各有优势,在对疾病的诊疗过程中需结合各种检查手段进行综合分析。
腹膜后脂肪肉瘤的主要治疗方法为手术彻底切除,且要求做到切缘阴性。在一项对500例腹膜后脂肪肉瘤患者的单中心研究中,接受彻底的手术切除且切缘阴性的患者,其中位生存率高达103个月,而非彻底手术的患者则仅为18个月[9]。如晚期难以彻底切除,仍应积极行减瘤手术,减轻压迫症状,延长生存时间,改善生活质量[10]。复发患者多数仍可选择再手术。术中解剖清楚时,可以采取层面外科的思路按步骤推进,打阵地战;当解剖不清楚时,则要打运动战,先做安全易做的地方(即有小范围安全层面的地方先做,将此处的层面做出来),做不动时(没有层面时)运动到另一个安全易做的地方。以此运动方式在不同点分别推进,最后集中力量进行包围战,将病灶切除。当进行运动战时:先攻克A点的薄弱处,A点顽固处暂放下;运动至B点并攻克B点薄弱处,B点顽固处暂放下;运动至C点并攻克C点薄弱处,C点顽固处暂放下;如此循环一圈后,再回到A点,会发现因为病灶被多处攻克后,病灶周边解剖支撑固定的整体性被破坏,原来的A点顽固处、B点顽固处、C点顽固处均变成了薄弱处,可被再次攻克,(ABC分别指代的是肾脏、肾周、肠管)。如此循环往复,术前判断顽固的肿瘤可能最后只剩下了一点点,比如与血管粘连、与肠管粘连等,在准备切除或修复血管和肠管的同时,可以安全地将病灶切除。甚至,因为运动战中各点薄弱处被逐步化解,多圈逐点攻克之后,随着解剖整体性被逐渐破坏,各点的顽固处也逐渐化解为薄弱处,最后可以将病灶轻松切除。运动战与阵地战可以结合使用。解剖清楚处行阵地战,进行到解剖难点时改行运动战。本例患者因术中粘连,行运动战,最后切除与肠管粘连处,再将受损的肠壁浆肌层修复,及切除破损的胆囊。
腹膜后脂肪肉瘤可进行放疗,包括术前、术中及术后放疗,可改善生存状态,提高无瘤生存率[11,12]。生长慢、分化好的腹膜后脂肪肉瘤对放疗相对敏感,但仍无法替代手术。术中放疗、手术切除与术后外照射放疗方案相结合可较为有效地控制患者病情。Tuan等[13]的研究认为在广泛肿瘤切除加放疗可提高局部控制率。Ecker等[14]分析美国国家癌症数据库(2004~2013年)中2 082例腹膜后脂肪肉瘤患者,其中1908例采用单纯手术治疗,174例在手术切除前接受新辅助放疗,发现与生存率改善相关(中位总生存期分别为129.2与84.3个月;P=0.046),对于有邻近器官侵犯的肿瘤更为明显,提示在具有高危病理特征的患者中应用新辅助放疗可能有利于改善手术患者的生存率。但由于目前尚缺乏足够的临床随机对照研究证据,辅助放疗是否能够提高患者的生存率仍然存在争议[15]。
目前的临床实践指南认为对高风险局限性软组织肉瘤患者采用辅助或新辅助化疗并不是标准治疗方法,但将其视为可在不确定条件下向患者提出的一种选择[16]。尽管现在尚无对脂肪肉瘤特效的化疗药物,但有文献报道采用联合化疗方案,对于临床转移的微小转移灶有治疗意义[17,18,19]。
目前靶向药物在脂肪肉瘤的应用取得了一定的进展。Samuels等[7]在一项第二阶段多中心研究中,入组41例患者接受口服帕唑帕尼800 mg,每日一次,共28 d,在24周时,39%的患者保持无进展状态,44%患者经历肿瘤控制。中位无进展生存期为4.4个月,中位总生存期为12.6个月,且常见的不良反应如恶心、高血压、腹泻等都低于3级。另一项研究也证明曲贝替定对术后失败的肉瘤有一定疗效,270例患者中位病程进展时间为3.7个月与2.3个月,中位无进展生存期为3.3个月与2.3个月,可作为晚期肉瘤患者在现有标准治疗失败后的重要新选择[20]。
尽管脂肪肉瘤的手术切除率不断提高,但是研究资料显示其术后复发率高达52%[21],且具备以下特点:原位复发、多次复发、复发间期逐渐缩短、复发率逐步上升、较少远处转移等。脂肪肉瘤的预后主要与其组织病理类型及肿瘤周围累及情况相关。Nathan等[17]使用Cox比例风险模型来分析存活并评估1 365例腹膜后肉瘤的AJCC分期,认为肿瘤侵袭性指标(组织学分级和侵袭邻近结构)以及组织学亚型可预测切除术后的存活率。
现阶段脂肪肉瘤的放、化疗效果不确切,故术后复发的肿瘤主张尽可能手术治疗,术后需定期随访及复查,积极治疗。后续的研究重点应从脂肪肉瘤的基因分子水平出发,研究其病因及发病机制,开发出新型靶向药物,从而形成手术联合靶向药物、放疗、化疗的综合治疗,减少复发机率,改善患者预后。
腹膜后脂肪肉瘤具备早期症状不典型、病理分型复杂、易复发等特点,但一旦明确诊断,手术切除是首选的治疗手段。术后病理需细分类型,针对所属类型应进行术后辅助治疗,以提高患者生存率。
























