
版权所有,未经授权,不得转载、摘编本刊文章,不得使用本刊的版式设计。
除非特别申明,本刊刊出的所有文章不代表中华医学会和本刊编辑委员会的观点。
光盘如有质量问题,请向编辑部调换
炎性肌纤维母细胞瘤(inflammatory myofibro-blastic tumor, IMT)是一种临床上少见的间叶源性肿瘤的,以低度恶性或交界性肿瘤样表现为主。炎性肌纤维母细胞瘤全身各组织器官均可发生,好发部位多位于肺部、肝脏、腹膜后及骨组织等,以胸壁来源的炎性肌纤维母细胞瘤积极罕见,现将我院收治的1例术后4月后复发的胸壁来源的炎性肌纤维母细胞瘤报道如下。
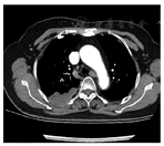
患者,女,77岁,以右后肩背部疼痛2个月为主诉入院,查体无明显阳性体征。胸部CT提示:右肺上叶后段及下叶后部占位,考虑恶性,胸膜起源,邻近胸壁受累,临近肋骨骨折,胸膜增厚、钙化,行经皮胸部肿物穿刺活检术,结果显示:组织部分透明,梭形,束状排列,免疫组化:Vimentin(+),Calretintin(-),Bcl-2(弱+),SMA(-),S-100(-),Ki67(+20%),诊断为(胸壁)交界性或低度恶性间叶源性肿瘤。行手术治疗,开胸进胸腔内见肿物侵袭肺组织及附近胸壁,遂行肿物全切+邻近肺叶切除+被侵袭周围组织切除术,术后的病理显示:肿物切面灰白质硬,浸润肺部,瘤细胞梭形,编制状排列,其间散在炎细胞浸润,见大片变性坏死,免疫组化显示:CK(部分+),Calretintin(局灶+),SMA(+),Ki67(+80%),S-100(-),诊断为(胸壁)炎性肌纤维母细胞瘤。术后4个月患者胸部再次疼痛,再次入院后查胸部增强MR提示炎性母细胞瘤复发,见图1,图2。后于肿瘤内科行放射治疗后右侧胸壁胸膜多发占位及右背部软组织内占位有所缩小,随访患者仍在。




炎性肌纤维母细胞瘤是一种少见而独特的间叶性肿瘤,临床表现为低度恶性或交界性肿瘤的特点。Dehner[1]报道在肺肿瘤手术中,其占0.04%~1.20%;该病可发生于任何年龄,1~80岁,其中60%患者在40岁以下,并无明显的性别差异。
关于炎性肌纤维母细胞瘤最早的报道是在1939年,在1954年Umiker将其命名为炎性假瘤[2]。由于肿瘤低度恶性的特点,2002年WHO将其归类为交界性,少数可转移、复发的真性肿瘤。其定义为"由分化的肌纤维母细胞性梭形细胞组成的,常伴大量浆细胞和/或淋巴细胞的一种肿瘤"[3]。炎性肌纤维母细胞瘤的致病原因常见的有:手术、创伤、异常修复、局部炎症等局部原因。此外,在基因方面,2号染色体基因存在基因变异[4]。在感染方面,研究发现EB病毒,以及人疱疹病毒在肺IMT的发病中也有重要作用[5]。
炎性肌纤维母细胞瘤常可发生于肺、肝脏、腹膜、胸壁等全身部位,但常见的部位为肺。本例患者发生于胸壁更加罕见,是极少见得病例。炎性肌纤维母细胞瘤常表现为单发或者多结节分叶状的实性肿块,其边界常清楚,少数病变多发[6],本例患者的肿瘤为多发性,边界不清,属于侵袭性肿瘤。患者的临床表现多为低热、慢性咳嗽咳痰、胸痛、乏力、消瘦等[7]。患者也可在急性期表现为高热伴咳嗽咳痰,痰中带血甚至咳血,痰量较少,白色痰。胸痛常表现为隐痛。
炎性肌纤维母细胞瘤的诊断检查中,常规有CT、超声、PET-CT、核磁检查、病理穿刺、手术探查取病理、免疫组化等检查。由于肿瘤可浸润周围组织,并且与周围组织粘连,另外肿瘤可压迫并破坏局部组织,在临床和影像学上极似恶性肿瘤,所以IMT单一从影像学上很难和恶性肿瘤鉴别,需要进一步根据病理的表现和恶性肿瘤相鉴别。
IMT最精确的诊断方法为胸腔镜组织活检,但花费高、创伤大,因此,炎性肌纤维母细胞瘤的诊断较困难,主要依赖于术后病理诊断和免疫组化检查。
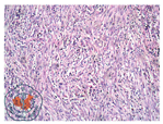
显微镜下观察可见增生的肌纤维母细胞,并伴有不同程度的炎性细胞浸润。肌纤维母细胞呈梭形,可见核仁,核分裂数量较少,无不典型核分裂,胞浆染色呈嗜酸性,组织细胞有不同程度的异型性[8]。
免疫组化染色中Vim、SMA及MSA常为阳性,少数Desmin、Cytokeratin阳性,S100、CDll7常为阴性[9]。肺外IMT的ALK阳性表达约为56%[10]。
IMT的主要治疗方式为手术切除法,Cerfolio将肺IMT分为侵袭性和非侵袭性两类,所以手术方式也不一致。根据患者的临床表现或肿块大小分类:①无症状或者肿块≤3 cm(非侵袭性)者,选择局部完全切除;②有症状或者肿块>3 cm(侵袭性)者,应采取肺叶切除,甚至全肺及其他侵犯组织全部完整的切除;③肿瘤复发时可再次行外科切除[11]。
另外可以根据病理组织镜下表现来决定手术方式:①当核分裂象少见,异形性不明显时,选择局部切除;②当核分裂象较多,异形性明显时,选择肺叶切除术或者全肺切除术[11]。
本例患者由于其肿瘤发生于胸壁,所以术前经皮穿刺取病理以及术后病理,特别是免疫组化可为临床手术方式及治疗方案提供重要的参考意义,该患者的病理提示:Ki67阳性,这就说明该病理来自于原始细胞的可能性较大,增生的能力较强,手术方式不仅仅局限于切除肿瘤,还应该扩大切除,并且术后应辅助放化疗。
该肿瘤>3 cm,另外肿瘤侵袭周围肺组织以及胸壁组织,故选择的手术方式是根治性切除肿物+肺叶甚至一侧肺切除术。患者术后4个月,肿物复发,应该再次手术,但本例患者由于经济方面、心理及身体方面原因,不能承受再次手术的打击,所以复发后给予患者放疗治疗,抑制肿瘤生长的速度甚至缩小肿瘤的大小。其实临床上对于不能切除的病变或者切除不彻底或者术后复发的患者,除了放疗外,还可以采用大剂量皮质类固醇和非皮质类固醇抗炎药物治疗[12]和化疗治疗[13]。
患者的预后多数较好,Hussain等[14]研究发现患者的5年生存率为91%,10年生存率为77%,局部复发率为25%,很少发生远处转移。患者的预后与多种因素有关,比如肿瘤的大小、肿瘤的组织学特征(是否局部侵犯、镜下细胞异形、核分裂像等)、手术切除是否彻底等[15]。Ong等[16]认为Ki-67和ALK表达与预后和局部复发有着密切的关系,特别是Ki-67和ALK阳性同时存在时,其术后极易复发及转移,术后应给予化疗或局部放疗等辅助化疗。
综上所述,炎性肌纤维母细胞瘤是一种罕见、诊断困难的低度恶性真性肿瘤,病理检查是该肿瘤诊断的金指标,手术切除是该种疾病治疗的最有效的方法,对于低度恶性的肿瘤,还应该结合化疗、放疗、激素治疗,术后积极复查对于该病的治疗具有深远的意义。
























