
通过分析脉络膜转移瘤的临床与磁共振成像(magnetic resonance imaging,MRI)特征,提高临床医师对脉络膜转移瘤的早期识别与精准诊断能力,为临床诊疗提供参考依据。
回顾性分析2012年1月至2022年6月首都医科大学附属北京同仁医院符合入组条件的脉络膜转移瘤病例共26例(男12例,女14例)。临床及MRI特征包括原发肿瘤特点、眼部症状、其他远处转移情况、单眼或双眼受累、单灶或多灶、好发部位、形态、信号及强化特征等。
原发肿瘤中肺癌22例(84.6%),乳腺癌3例(11.5%),胃癌1例(3.8%)。眼部症状主要为视力下降与视物模糊,分别为23例(88.5%)与16例(61.5%)。21例(80.8%)已发生其他多部位远处转移。单眼受累22例(84.6%),病灶单发14例(53.8%),最常见转移部位为眼球后极14例(53.8%),以新月形13(50.0%)多见。以同层肌肉作为参照,病灶于T1加权像(T1-weighted images,T1WI)多呈等信号22例(84.6%),于T2加权像(T2-weighted images,T2WI)或液体衰减反转恢复(fluid attented inversion recovery,FLAIR)序列多呈高或稍高信号17例(65.4%)。增强扫描明显强化16例(61.5%),中等或轻度强化10例(38.5%)。
脉络膜转移瘤以肺癌最多见,常伴全身其他多部位转移,单眼受累常见,病灶多位于眼球后极,MRI具有一定的典型特征。结合临床病史有利于提高临床医师对疾病的早期识别与诊断能力。
本刊版权归人民卫生出版社有限公司所有。任何机构或个人欲转发本刊图文,请与本刊联系。凡未经授权而转载、摘编本刊文章者,本刊将保留追究其法律责任的权利。
恶性肿瘤发生眼内转移较罕见,文献报道其发生率为0.1%~7.0%[1,2,3],其中主要为脉络膜转移[4,5],其他偶可见于虹膜或睫状体。原发肿瘤较多为肺癌与乳腺癌[3,5]。由于脉络膜转移瘤发生率较低,既往关于临床与影像的相关研究较少,主要为个案报道,且集中于眼底血管造影、眼部超声等专科检查[4,6]。而计算机断层扫描(computed tomography,CT)与磁共振成像(magnetic resonance imaging,MRI)是目前恶性肿瘤诊断、分期与随诊的最重要影像检查方法,尤其是MRI具有较高的空间分辨率与软组织分辨率,已成为眼部肿瘤的最重要检查技术之一。但遗憾的是,由于影像科医师与肿瘤科医师对脉络膜转移认识的局限性和重视度不足,在临床工作中经常发生漏诊或误诊,据报道初诊误诊率高达87.5%[3],延误了最佳治疗时机,总体预后较差。基于此,本研究通过回顾性分析经病理或随诊证实的脉络膜转移瘤的临床与MRI特征,以期提高对其早期识别与诊断的能力,从而为恶性肿瘤的精准分期与个体化治疗提供参考依据。
通过医院管理信息系统,回顾性总结与分析2012年1月至2022年6月于首都医科大学附属北京同仁医院符合入组条件的脉络膜转移瘤病例26例,部分病例同时就诊于中国医学科学院肿瘤医院。男12例,女14例。年龄30~78岁,中位年龄52岁。纳入标准:①经病理或临床随诊证实为脉络膜转移瘤;②原发恶性肿瘤均经手术或活检病理证实;③有眼部MRI平扫与增强检查。排除标准:缺乏其他近期影像资料,从而不能全面评估全身远处转移情况。26例脉络膜转移瘤中,2例为细针穿刺活检证实,其余24例为病理确诊原发肿瘤前提下经随诊证实。原发肿瘤为肺癌22例(84.6%,包括腺癌17例,小细胞肺癌4例,鳞癌1例),乳腺癌3例(11.5%),胃癌1例(3.8%)。本研究已获得首都医科大学附属北京同仁医院伦理委员会批准,伦理审查编号(TREC2023-KY019)。
指患者首诊眼科时的症状或恶性肿瘤治疗期间短期内出现的眼部症状。包括视物模糊或变形、视力下降、眼部疼痛等。1例患者可能有多种症状,需分别记录。
包括是否有其他部位远处转移以及具体转移器官。
MRI检查所用扫描仪包括美国GE Signa Excite 1.5T与GE Signa Excite HD 3.0T扫描仪。采用相控阵头线圈,患者仰卧位,平扫序列包括T1加权像(T1-weighted images,T1WI)、T2加权像(T2-weighted images,T2WI)或液体衰减反转恢复(fluid attented inversion recovery,FLAIR)序列,扫描矩阵384×256,层厚3~5mm,间隔0.3~0.5mm,视野16cm×16cm,T1WI TR/TE=340~400ms/8.4~11.4ms,T2WI TR/TE=2 590~3 460ms/108~118ms,FLAIR序列TR/TE=8 400ms/149ms,激励次数1~2。增强扫描包括横断位、冠状位、矢状位。TR/TE=440~700ms/11.1~11.3ms,矩阵512×512,激励次数2。部分病例加做三维快速扰相梯度回波(3D-FSPGR)增强序列,TR/TE=7.84ms/3.14ms,矩阵256×256,激励次数1。
①单眼或双眼受累。②单灶或多灶:其中多灶包括单眼多发或双眼同时受累的病灶。③部位:肿瘤主体所在位置,分为眼球后极、后极偏侧及赤道部。多发病灶时记录较大病灶所在部位。④形态:新月形、半月形、梭形、不规则形。具体见图1。多发病灶时记录较大病灶的形态。⑤边界:主要观察病灶内侧缘,清楚或模糊。多发病灶时记录较大病灶的边界。⑥最大厚度:在显示肿物的最大层面测量,多发病灶时测量较大病灶。⑦信号与强化特征:以同层眼肌作为参照,记录肿物于T1WI、T2WI或FLAIR序列信号(分为高或稍高、等、低、混杂信号),以及强化程度(明显、中等、轻度、无强化);强化均匀性(均匀、不均匀)。


注:图a~d分别为新月形、半月形、梭形与不规则形。
运用SPSS 22.0软件进行数据分析。计量资料先进行正态分布性检验,对符合正态分布的数据,采用(均值±标准差)表示;不符合正态分布的数据,采用M(P25,P75)表示;计数资料采用频数与百分比描述。
表现为多样性,部分患者可出现多种症状。具体包括:视力下降23例(88.5%),视物模糊或变形16例(61.5%),视野缺损12例(46.2%),眼部胀痛6例(23.1%),眼前飞蚊或黑影5例(19.2%),无明显眼部症状2例(7.7%)。其中以眼部症状为首诊原因,进一步检查发现原发恶性肿瘤的病例共9例(34.6%),均为肺癌病例(表1)。

脉络膜转移瘤的临床及磁共振成像特征
脉络膜转移瘤的临床及磁共振成像特征
| 观察指标 | 数据 | 观察指标 | 数据 |
|---|---|---|---|
| 年龄[M(P25,P75),岁] | 52(36,71) | 形态[例(%)] | |
| 性别[例(%)] | 新月形 | 13(50.0) | |
| 男 | 12(46.2) | 半月形 | 2(7.7) |
| 女 | 14(53.8) | 梭形 | 7(26.9) |
| 临床症状[例(%)] | 不规则形 | 4(15.4) | |
| 视力下降 | 23(88.5) | 边界[例(%)] | |
| 视物模糊或变形 | 16(61.5) | 清楚 | 18(69.2) |
| 视野缺损 | 12(46.2) | 模糊 | 8(30.8) |
| 眼睛胀痛 | 6(23.1) | 最大厚度( ±s,mm) | 4.2±1.8 |
| 眼前飞蚊或黑影 | 5(19.2) | T1WI信号[例(%)] | |
| 无明显症状 | 2(7.7) | 稍高 | 4(15.4) |
| 原发肿瘤[例(%)] | 等 | 22(84.6) | |
| 肺癌 | 22(84.6) | 低 | 0(0.0) |
| 乳腺癌或胃癌 | 4(15.4) | 混杂 | 0(0.0) |
| 远处转移[例(%)] | T2WI或FLAIR信号[例(%)] | ||
| 仅脉络膜转移 | 5(19.2) | 高或稍高 | 17(65.4) |
| 伴其他部位转移 | 21(80.8) | 等 | 3(11.5) |
| 单眼或双眼受累[例(%)] | 低 | 0(0.0) | |
| 单眼 | 22(84.6) | 混杂 | 6(23.1) |
| 双眼 | 4(15.4) | 强化程度[例(%)] | |
| 单灶或多灶[例(%)] | 明显 | 16(61.5) | |
| 单灶 | 14(53.8) | 中等 | 8(30.8) |
| 多灶 | 12(46.2) | 轻度 | 2(7.7) |
| 部位[例(%)] | 无强化 | 0(0.0) | |
| 后极 | 14(53.8) | 强化均匀性[例(%)] | |
| 后极偏侧 | 9(34.6) | 均匀 | 19(73.1) |
| 赤道部 | 3(11.5) | 不均匀 | 7(26.9) |
注:T1WI,T1加权像;T2WI,T2加权像;FLAIR,液体衰减反转恢复。
5例(19.2%)仅有脉络膜转移,21例(80.8%)在发现脉络膜转移前或同时发现其他多部位远处转移,包括骨转移18例,肝转移15例,肺转移14例,肾上腺转移12例,脑转移11例,胸膜转移9例,肾转移5例,腹膜转移3例,胰腺转移2例,皮下转移2例,乳腺转移1例。
①22例(84.6%)病例为单眼受累,4例(15.4%)为双眼受累(表1)。②14例(53.8%)病例为单发病灶,12例(46.2%)为多发病灶,后者包括8例(66.7%,8/12)单眼多灶,4例(33.3%,4/12)双眼受累(图2)。③部位:位于眼球后极14例(53.8%),后极偏侧9例(34.6%),赤道部3例(11.5%)。④形态:新月形13例(50.0%),半月形2例(7.7%),梭形7例(26.9%),不规则形4例(15.4%)(图3)。⑤边界:病灶内侧缘边界清楚18例(69.2%),模糊8例(30.8%)。⑥最大厚度:2~9mm,平均(4.2±1.8)mm。⑦信号与强化特征:以同层眼肌作为参照,病灶于T1WI呈等信号22例(84.6%),稍高信号4例(15.4%);于T2WI或FLAIR序列呈高或稍高信号17例(65.4%),等信号3例(11.5%),混杂信号6例(23.1%)。增强扫描明显强化16例(61.5%),中等强化8例(30.8%),轻度强化2例(7.7%)。强化均匀19例(73.1%),强化不均匀7例(26.9%)(图4)。


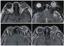
注:患者肺癌术后化疗后3年,视力下降2周。图a为平扫T1加权像(T1WI),图b为T2加权像(T2WI),图c、d为T1加权增强图像。见左侧眼球后极部新月形病灶,T1WI呈等信号,T2WI呈稍高信号,增强扫描明显强化(箭),左侧眼球玻璃体混浊伴出血(图c,d弯箭),结合病史考虑脉络膜转移。


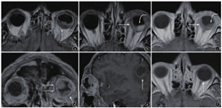
注:患者肺癌病史1.5年,视力下降、视物模糊1周。图a、b为液体衰减反转恢复(FLAIR)序列,见眼球后极椭圆形及新月形多发病灶,呈等或稍高信号(直箭),图c~e为增强T1加权像(T1WI)横断位、冠状位及矢状位。见肿物呈中等强化,冠状位显示病灶为多发(图d),矢状位另可见脑实质内转移灶(图e,直箭)。病灶上方颞侧可见视网膜部分脱离,FLAIR呈高信号,增强扫描未见强化(图b、c,弯箭)。图f为化疗6个周期后复查,脉络膜转移瘤病灶完全消失。


注:患者肺癌术后化疗后4年,视力下降1周,视网膜脱离术后。图a为平扫液体衰减反转恢复(FLAIR)序列,图b为增强扫描T1加权像(T1WI)。见右侧眼球后极偏侧两个梭形病灶,FLAIR呈稍高信号,增强扫描中等均匀强化(直箭),另可见继发右侧晶状体混浊(弯箭)。图c、d分别为化疗+局部放疗后FLAIR序列及增强扫描T1WI,见病灶有缩小,但仍可见肿瘤残存(直箭)。
眼球是恶性肿瘤少见的远处转移器官之一,其中多数为脉络膜转移[1,2,3]。发生脉络膜转移的原发肿瘤中,国外文献报道以乳腺癌最多见,其次为肺癌[4,7];而国内报道以肺癌为主,其次为乳腺癌[3],其他罕见原发肿瘤还包括肾癌、胃癌、胰腺癌、甲状腺癌等[4,8,9]。本组原发肿瘤主要为肺癌,占84.6%,这是因为多年来我国肺癌发生率呈持续上升的趋势,同时,由于恶性肿瘤诊疗技术的不断进步,患者生存期延长,从而出现少见部位远处转移的风险增加[10,11]。
恶性肿瘤发生脉络膜转移是多步骤、多阶段、多因素综合作用的结果。由于眼眶与眼球内缺乏淋巴组织,脉络膜转移主要是肿瘤细胞随体循环入血发生,由于眼动脉与颈内动脉的分支呈直角,癌细胞随快速血流直接入脑较入眼更常见,因此眼球转移发生率较低。但癌细胞一旦进入眼球,由于脉络膜含有丰富的血管,呈扇形分布,且血流速度缓慢,占眼血流量的64%~84%,因此肿瘤细胞相对易在此处停留;同时,脉络膜组织疏松,有利于肿瘤细胞的黏附、着床与聚集,从而形成转移病灶,并以眼球后极更易聚集与发生[3,4,5,11]。本组超过50%的病灶位于眼球后极,其次为后极偏一侧,而赤道部较少见。
恶性肿瘤在发生脉络膜转移时多已伴其他多部位的远处转移,比较常见的部位包括骨、肝、肺、肾上腺、脑等[3,4,5]。本组伴其他多部位远处转移的病例共21例,占80.8%,患者多已处于肿瘤晚期。但仍有9例患者以眼部症状作为首诊,进一步检查才发现原发肺癌。其中5例仅发生脉络膜转移;另外4例同时伴发肝、骨、肺、脑、胸膜、肾上腺、皮下等部位转移,但因为这些部位相较于眼部症状更加隐匿,而脉络膜转移常常继发视网膜脱离从而短期内引起视力急剧下降、视物模糊变形等改变,因此患者首选眼科作为就诊科室[9,11,12,13],这也提醒眼科医师在查体或专科检查怀疑脉络膜转移时,务必建议患者进一步行全身重点部位的CT、MRI或PET/CT检查,以便及时发现原发肿瘤并进行准确分期,指导临床规范治疗。
脉络膜转移以单眼受累多见,文献报道约占2/3[3,4,5],国外文献报道双眼受累多见于乳腺癌的转移[4].本组单眼受累达84.6%,高于文献报道,可能与患者及时就诊有关;仅4例为双眼受累,且原发肿瘤均为肺癌,这是因为本研究入组病例中肺癌占原发肿瘤的绝大多数。
由于MRI较高的空间分辨率与软组织分辨率,已成为眼部肿瘤不可或缺的影像检查技术之一。目前对于脉络膜转移较高的初诊误诊率主要是由于影像医生对其认识的不足以及疏忽所致,尤其是在临床未提供眼部症状的相关信息或患者无明显症状时。关于脉络膜转移的MRI表现,文献罕见报道。Peyster等[14]曾报道4例脉络膜转移,MRI均可以清楚显示,而CT仅显示其中的1例。脉络膜转移瘤多于眼球后极呈匍匐浸润生长呈扁平或新月形[3,5,13]。本组新月形占50%,其余还可见梭形、不规则形或半月形。转移瘤平均厚度4.2mm,与文献报道大致相仿[3]。相较于眼底超声或眼底光相干断层扫描等专科检查,MRI易观察转移瘤的全貌、数目以及形态学等信息,尤其在眼屈光间质浑浊状态下,更具有明显的优越性[3]。Peyster等[14]以晶状体作为参照,脉络膜转移瘤在T1WI为等信号,在T2WI为低信号。但脉络膜转移常伴发视网膜脱离,从而继发晶状体混浊,使得晶状体在MRI上信号变化较大。因此本研究以信号更稳定的同层肌肉作为参照,脉络膜转移多数表现为T1WI等信号,T2WI或FLAIR高或稍高信号,增强扫描后多呈明显强化,占61.5%,部分呈中等强化,占30.8%。超过2/3的病例表现为强化均匀。结合病史及MRI特征,有助于脉络膜转移的定性诊断及病情评估。
在恶性肿瘤病史不明确的情况下,脉络膜转移需与脉络膜原发肿瘤进行鉴别,例如脉络膜黑色素瘤或脉络膜血管瘤。黑色素瘤多呈半球形或蘑菇形,黑色素是顺磁性物质,明显缩短T1、T2弛豫时间,在MRI上表现为特征性的T1WI高、T2WI低信号,可与转移瘤进行鉴别[14,15]。脉络膜血管瘤多见于青年人,T2WI显示信号高于转移瘤,MRI动态增强扫描呈渐进性明显强化[14,16]。脉络膜转移常伴发视网膜脱离,完全视网膜脱离时视网膜下积液可能会掩盖底部的转移病灶,应仔细观察并予以鉴别。完全视网膜脱离于T1WI呈等或稍高信号,T2WI呈稍高信号,内侧缘呈V字形或Y字形,尖端指向视乳头方向[17]。
发生脉络膜转移瘤的恶性肿瘤属于疾病晚期,预后较差,文献报道合并脉络膜转移的肺癌患者生存时间多在1年之内[5]。本研究因为病例来源跨越时间较长,未能获得所有患者的生存信息。治疗方案多以全身化疗或靶向治疗为主。当脉络膜为唯一转移器官且眼部症状明显时,可在控制原发灶的基础上辅以眼科手术或局部放射治疗,也可取得较理想的效果[3,18]。随着基因检测及免疫治疗的进展,以及可透过血眼屏障的靶向小分子药物的开发,未来有望为脉络膜转移的治疗提供更多的选择。
本研究具有一定的局限性。首先,本研究属于回顾性研究,年龄、性别等数据可能存在选择偏倚。其次,由于脉络膜转移瘤发病率极低,总体样本量偏小,期待未来有大宗病例的进一步研究。最后,由于脉络膜转移瘤多发生于恶性肿瘤的晚期,因此脉络膜转移病灶未能全部获得病理确诊,多为MRI诊断并经临床随诊证实。
总之,脉络膜转移瘤以肺癌最多见,多为单眼受累,常伴全身多部位转移,也可作为恶性肿瘤的首诊症状。MRI上病灶形态以新月形为主,T1WI呈等信号,T2WI呈稍高信号,增强扫描多均匀明显强化。MRI可同时观察伴发的视网膜脱离或晶状体混浊。MRI特征结合临床病史有利于对疾病做出精确诊断,为临床诊疗提供重要的参考依据。

±s,mm)



















