
版权所有,未经授权,不得转载、摘编本刊文章,不得使用本刊的版式设计。
除非特别申明,本刊刊出的所有文章不代表中华医学会和本刊编辑委员会的观点。
光盘如有质量问题,请向编辑部调换
原发性高血压脑干出血预后差、治疗难度大,外科治疗多采取开颅手术的方式直接清除血肿,但创伤较大,技术要求高[1,2]。近期解放军总医院第七医学中心神经外科将无框架导航系统辅助下微创穿刺置管引流术应用于脑干出血的救治,取得良好的治疗效果,现报道如下。
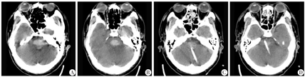
男性,50岁,主因"突发意识不清6 h"于2017年6月29日收治于解放军总医院第七医学中心神经外科。既往有高血压病史10年,未规律监测血压及服药控制。体检:血压200/100 mmHg(1 mmHg=0.133 kPa),神志深昏迷,GCS评分5分,双侧瞳孔圆形,直径约2 mm,对光反射迟钝,四肢肌力Ⅱ级,双侧巴氏征阳性。辅助检查:头颅CT示桥脑出血,出血量约8 mL(图1A~B)。初步诊断:脑干出血;高血压病3级,极高危组。入院后予以降压、止血等治疗,发病后15 h行无框架导航系统辅助下脑干血肿穿刺置管引流术。全身麻醉下,先仰卧位行气管切开术,然后右侧卧位,注册导航,穿刺点位于左侧横窦下2 cm,乙状窦和中线之间(图2A),根据导航指示设计穿刺路径(图2B~C)。术中切开头皮、皮下及肌肉层,颅骨钻孔,切开硬膜,调整无框架导航臂,置入带枕芯引流管,深度距小脑皮层约6 cm,拔出针芯,转动引流管同时以5 mL注射器缓慢轻抽出血肿约5 mL,缝合肌肉、皮下及头皮,固定引流管,术毕。术后2 d复查头颅CT提示引流管位置良好,血肿清除满意(图1C~D);头颅核磁DTI重建显示主要的神经纤维束得以保留(图3),拔除引流管。术后5 d患者清醒,恢复过程顺利,并发肺部感染,经抗感染治疗后好转,无消化道出血、中枢性高热等并发症,住院时间23 d,出院后行康复治疗。随访5个月,GOS评分4分。


A~B:术前CT提示脑干内血肿;C~D:术后CT提示引流管位置良好,血肿大部分清除


2A:体位及头皮切口;2B:术中导航显示血肿位置及穿刺路径;2C:置管成功,可见引流管内血肿(混有脑脊液)
原发性高血压脑干出血在颅内出血中占比约5%~10%,具有起病急、病情重、进展快和预后差的特点[3,4]。脑干出血的致死率、致残率极高,有文献报道死亡率约40%~50%,因此一直是神经外科临床上的治疗难题[5,6,7]。既往大多采取保守治疗,而随着显微手术理念的更新以及技术的进步,神经导航、电生理的广泛应用,外科手术越来越多地用于高血压脑干出血的治疗,并取得优于保守治疗的效果。
脑干出血的手术指征尚无统一的标准,一般认为如下情况可考虑选择手术治疗:(1)血肿量>5 mL,血肿最大层面直径>2 cm,或超过脑干层面直径的50%,有明显的占位效应;(2)出现意识障碍,保守治疗效果不佳,神经系统功能障碍进行性加重;(3)脑干出血形成血肿,使第四脑室受压变形移位,导致脑脊液循环受阻。由于脑干出血病情危重,尤其是重症脑干出血,治疗周期漫长、预后不佳、花费巨大,所以在选择手术时,家属的意愿往往成为决定性的因素。出血量和血肿形态直接影响手术效果,出血量小的患者,术后基本能够保留较好的脑干功能,部分患者能够恢复清醒,而出血量>10 mL时,多有严重的脑干功能障碍,预后相对较差。局灶性以及半侧脑干型血肿手术效果较好,而弥散型和横贯型血肿对于脑干的破坏比较严重,手术效果较差。
脑干出血的手术方式主要包括侧脑室外引流术、开颅手术和穿刺置管引流术。侧脑室外引流术解除了脑脊液循环梗阻,一定程度降低颅内压,但对血肿本身无直接清除作用,因此也无法及时缓解血肿对脑干的压迫和毒性作用。开颅手术可迅速清除血肿,直视下止血,可早期解除血肿占位效应,缓解脑干受压及血肿毒性反应,从而减轻继发性脑干功能损害。开颅手术难度大,对术者技术及显微器械要求较高,术者需具备娴熟的显微神经外科手术技巧,并对脑干内部及其周围组织的解剖结构有充分了解,选择合适、准确的手术入路。遵循"Brown两点法则":血肿位于桥脑及延髓背侧,采用枕下后正中经小脑延髓裂入路;血肿位于桥脑腹外侧,采用经枕下乙状窦后入路,如血肿位置偏高,可采用经枕下三叉神经上入路;血肿位于中脑,采用经颞下入路;血肿位于大脑脚,采用经翼点入路[8,9]。条件允许下,应用神经导航及电生理监测,提高手术的精确性和安全性。
穿刺置管引流术不需开颅,操作简化,手术时间短,对正常组织的损伤小,已成为基底节、脑叶、小脑等部位出血日趋主流的手术方式,但由于脑干解剖及功能的特殊性,脑干出血穿刺置管引流术的临床应用相对较少。脑干出血部位深,周围神经血管密集,因此穿刺置管引流术需在立体定向或神经导航下进行,以保证穿刺的精准性和安全性。穿刺术的路径是一条直线,且为盲穿,因此与开颅手术不同,穿刺术的入路选择相对较少,多采用经枕下小脑入路,适用于血肿位于桥脑,穿刺点位于横窦下,中线与乙状窦之间,引流管经小脑半球进入,到达脑干血肿腔,也可同时引流第四脑室血肿。对于桥脑血肿,田吕明[10]采用经幕上枕部小脑幕入路;血肿位于中脑、桥脑上部,高海晓等[11]采用经颞下入路,这两种入路的体位摆放、穿刺点处理、引流管护理等方面优于经枕下小脑入路,但术中均需锐性刺破小脑幕,增加出血风险。林岩崇等[12]和王晓锋等[13]采用经额或顶-侧脑室-基底节或丘脑-中脑或桥脑入路,孙喜山等[14]采用经顶上小叶-大脑弓状纤维-胼胝体压部-四叠体池-中脑或桥脑入路,这两种入路为中脑及桥脑上部血肿的穿刺提供了新的思路,但路径较长,途经重要结构多,安全性值得格外关注。
VarioGuide无框架导航系统使用软件引导瞄准定位,配备可自由活动的固定机械臂,操作简单、手术时间短且无体位限制,适用于一切可以耐受全麻的患者,包括急危重患者。结合多模态神经导航,设计穿刺路径避开重要功能区、神经传导束、血管的结构,在穿刺过程中,可以通过电脑屏幕实时观察穿刺路径及穿刺针尖端位置的变化情况,保证穿刺成功率及安全性[15]。无框架导航下穿刺置管引流术定位准确,创伤较小,可成为治疗高血压脑干出血的一种选择,但其有效性、安全性及路径选择,需待更多病例进一步研究。
























