
版权所有,未经授权,不得转载、摘编本刊文章,不得使用本刊的版式设计。
除非特别申明,本刊刊出的所有文章不代表中华医学会和本刊编辑委员会的观点。
本刊为电子杂志,以光盘形式出版。本册应读者需求按需印刷,随光盘免费赠阅,光盘如有质量问题,请向编辑部调换
患者38岁,孕5产1,因"停经34+2周,发现血压升高、血小板减少1 d"于2017年4月6日23时收入武汉大学中南医院妇产科。患者末次月经2016年8月10日,孕期未规律产前检查,2017年4月3日当地医院行超声检查提示胎盘覆盖宫颈内口、羊水偏少及胎儿宫内生长受限,遂住院行营养支持、补液等治疗。4月6日开始出现间断性头痛、腹痛及呕吐,伴血压升高,最高血压200/118 mmHg(1 mmHg=0.133 kPa),未诉其他不适,给予硫酸镁解痉、盐酸尼卡地平注射降压及维生素B6止吐等治疗,头痛、腹痛及呕吐症状好转,但血压控制欠佳,持续胎心监测提示阵发性减速,血常规检验血小板计数为19×109/L,遂转入武汉大学中南医院妇产科。既往无高血压疾病、糖尿病、肝胆疾病及血液系统疾病等病史,2007年行剖宫产术1次,人工流产3次。入院体格检查:血压150/101 mmHg,心率89次/min,呼吸20次/min,神志尚清,表情淡漠,言语少,精神差,双侧瞳孔等大同圆,直径约3.0cm,对光反射灵敏,双侧病理征阴性,心、肺及腹部无明显阳性体征。产科检查:宫高26 cm,腹围87 cm,胎心率75~110次/min,律不齐。实验室检查:D-二聚体4908 ng/ml,纤维蛋白原降解产物32.9 μg/ml,丙氨酸转氨酶341 U/L,天门冬氨酸转氨酶899 U/L,总胆红素73.3 μmol/L,乳酸脱氢3270 U/L,血小板计数12×109/L;胎心监测提示变异性减速,最低胎心70次/min。急诊产科超声检查未做。入院诊断:(1)孕5产1,妊娠34+2周;(2)胎儿窘迫;(3)重度子痫前期合并HELLP综合征;(4)胎儿生长受限;(5)中央型前置胎盘;(6)羊水偏少。
入院后给予糖皮质激素、输注血小板及降压等对症处理,产科、输血科、麻醉科、重症监护科联合充分评估病情后,于2017年4月7日因"胎儿窘迫"在全麻下行急诊剖宫产术。术中见胎盘下缘覆盖宫颈内口,部分与子宫后壁界限不清,行人工剥离,胎盘母体面见6 cm×6 cm大小的血凝块,子宫表面大部分呈蓝紫色淤血状,缝合子宫后子宫收缩欠佳,切口渗血,因子宫收缩乏力、血小板减少及弥散性血管内凝血等风险,给予输注血小板、子宫肌内注射卡前列素氨丁三醇250 μg、放置腹腔引流管等措施,术后转入重症监护病房继续治疗。新生儿为一活女婴,Apgar评分1 min 4分,5 min评7分,出生体重1380 g,因早产儿转入新生儿重症监护科继续治疗。
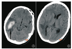
术后第1天产妇出现神志模糊,轻度躁动,皮肤苍白,伴间断性头痛,无恶心、呕吐。血压波动于134~155/78~99 mmHg,双侧瞳孔等大同圆,光反射灵敏,四肢活动轻度受限,肌力低,肌张力稍高,颈项强直,双侧病理征阴性,腹部伤口未见渗血,腹腔引流量少。急行脑部CT检查,提示右侧颞叶血肿急性期,蛛网膜下腔及侧脑室内积血(图1)。实验室检查提示丙氨酸转氨酶142 U/L,天门冬转氨酶97 U/L,乳酸脱氢酶816 U/L,血红蛋白48.1 g/L,血小板计数47×109 /L。


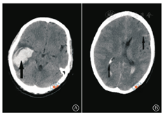
产科、重症监护科和神经外科联合会诊后转入神经外科进行专科治疗,予降压、止血、降颅内压、纠正低蛋白血症、输血、护肝、抗感染等治疗后患者病情控制平稳,各项检查指标逐渐恢复正常。4月19日行脑部CT及CT血管造影检查,提示右侧颞叶血肿,左蛛网膜下腔出血,鼻中隔偏曲。结合患者4月8日脑部CT检查结果,患者颅脑血肿较前稍吸收(图2,图3)。患者于剖宫产术后28 d康复出院,无明显神经系统功能障碍。出院诊断:(1)HELLP综合征并发脑出血;(2)孕5产2,妊娠34+2周,剖宫产;(3)重度子痫前期;(4)胎儿窘迫;(5)中央型前置胎盘;(6)羊水偏少。出院后3个月余电话随访,患者出院后血压维持在110~130/75~90 mmHg,术后3个月外院复查脑部CT颅脑血肿较前吸收(具体报告单未见),无神经系统功能障碍后遗症,新生儿生长发育良好。




HELLP综合征是妊娠晚期或产后48 h内出现的严重并发症,以溶血、肝酶升高、血小板减少为主要特点,发生率约0.6%,多见于高血压疾病终末发展的子痫前期或子痫患者。HELLP综合征病情凶险复杂,可导致胎儿宫内缺氧、胎死宫内及急性肝损伤、肾损伤、脑出血等多器官功能障碍[1,2]。HELLP综合征并发脑出血发生率约1.5%,死亡率高达45%,即使幸存,其预后也较差,有短期或长期的神经功能障碍风险,永久性神经系统后遗症发生率约40%[3]。
HELLP综合征发病机制尚不明确,血管内皮细胞损伤被认为是主要发病条件。妊娠相关性脑出血常见病因包括动脉瘤(19.8%)、动静脉畸形(17.1%)、妊娠期高血压疾病(11.7%)和HELLP综合征(8.1%)[4]。妊娠晚期血容量明显增加,动静脉压力增大,机体的雌孕激素水平升高,均增加血管破裂、出血的风险。HELLP综合征并发脑出血主要发生机制为内皮功能障碍、脑血管痉挛,毛细血管通透性及脑灌注压增高导致血管扩张、破裂和脑水肿[3,5]。一些研究发现,子痫前期患者胎盘血流灌注不足及缺氧,滋养细胞分泌血管活性物质进入母体循环,胎盘生长因子、血管内皮生长因子水平及可溶性FMS样酪氨酸激酶(Fms-like tyrosine kinases, Flt-1)水平升高,其与血管内皮细胞损伤有关,因此妊娠期血清胎盘生长因子、血管内皮生长因子及sFlt-1水平联合血压测量有助于早期预测子痫前期和HELLP综合征的发生[6,7]。
本例患者入院诊断重度子痫前期合并HELLP综合征,术前血小板减少,肝功能、凝血功能异常,术后第1天发生脑出血。患者剖宫产术后24 h内未使用低分子肝素抗凝,磁共振血管成像检查未发现脑血管器质性异常,故推测患者术后脑出血系产褥期雌孕激素水平降低、脑血管痉挛、脑血管收缩高反应、凝血功能减弱、血小板减少等因素所致,不排除精神压力、手术损伤等应激事件加重出血风险。
HELLP综合征主要临床表现为右上腹疼痛、恶心、呕吐及血尿等,需与妊娠期急性脂肪肝、溶血性尿毒症综合征及系统性红斑狼疮等相鉴别。其诊断主要依据实验室检查[8]:(1)血管内溶血,外周血涂片见变形红细胞,总胆红素≥20.5 μmol/L,乳酸脱氢酶≥600 U/L;(2)肝酶升高,丙氨酸氨基转移酶及天冬氨酸氨基转移酶升高;(3)血小板减少,血小板计数<100×109 /L。任意2项异常为部分型HELLP综合征,3项指标异常为完全型HELLP综合征,其中血小板计数和乳酸脱氢酶两项指标是反映HELLP综合征预后的重要指标。
HELLP综合征并发脑出血临床症状与非妊娠期脑出血无明显差异,主要表现为突发性头痛、恶心、视力障碍等,需与子痫前期或子痫、特发性颅内高压及药物性头痛根据病史及辅助检查相鉴别[9,10]。目前HELLP综合征并发脑出血的早期诊断主要依据影像学诊断,脑部CT对于早期脑出血特异度和敏感度较高,但其电离辐射有导致胎儿宫内生长受限、胎儿畸形、新生儿肿瘤及死胎等潜在危害,危害大小主要取决于辐射剂量和暴露时的胎龄[11]。2016年美国妇产科医师学会(American College Obstetricians And Gynecologists,ACOG)的妊娠期影像学诊断指南指出,暴露在小于50 mGy的辐射剂量不增加胎儿畸形、死胎等风险,而妊娠期脑部CT射线剂量为1~10 mGy,所以脑部CT是安全的;磁共振成像(magnetic resonance imaging,MRI)没有电离辐射,大量证据支持妊娠期MRI对于孕妇及胎儿基本安全,但孕期使用钆剂是否安全尚不明确[12]。MRI检查对脑出血急性期的敏感性较差,但对于脑出血稳定期的敏感性高于CT,磁共振脑血管成像可进一步明确病因诊断,若MRI仍不能确诊需行腰椎穿刺脑脊液检查[13,14]。
当患者出现头痛、呕吐等急性颅内压升高症状,或伴有意识、肢体感觉和运动障碍时应考虑妊娠相关性脑出血可能,需及时行全面血清学及影像学检查避免漏诊、误诊。
目前妊娠相关性脑出血无明确诊疗指南,主要治疗方法为手术治疗、介入治疗及药物保守治疗,一旦确诊需立即进入监护病房严密观察。HELLP综合征并发脑出血依据病因和发病时间的不同,需产科、麻醉科、神经外科及重症监护科联合会诊,制定个体化治疗方案。药物保守治疗基本同非妊娠期,如甘露醇降颅内压,尼莫地平或拉贝洛尔降血压等;若产前用药需谨慎,甘露醇可导致胎儿宫内缺氧,尼莫地平有胎儿畸形风险。HELLP综合征并发脑出血最常见病因为高血压疾病,主要治疗目标是控制血压。Fukuda等[15]报道,收缩压升高是预测脑出血的重要指标,当收缩压达155~160 mmHg时需降压治疗,即使已发生脑出血也可预防血肿进一步扩大。孕期使用硝苯地平、拉贝洛尔及美托洛尔均是安全的,但降压时应注意监测颅内压,预防大脑灌注量快速减少导致局部缺血。手术治疗的指征及手术方式的选择尚不统一,传统观念认为严重脑出血患者接受手术治疗,轻微症状患者采取保守治疗。Connolly等[16]提出,决定患者是否给予手术干预需通过多学科全面评估患者病情,而非单纯根据神经系统症状的严重程度,从而避免部分轻微症状患者错过外科手术时间窗。若由于脑血管破裂导致脑出血,需根据孕妇身体状态、脑血管破裂风险及再次出血等情况评估。若孕妇状态良好,可待终止妊娠后行手术治疗。
Cecati等[17]认为,对于HELLP综合征和出现胎儿宫内生长受限者,建议及时剖宫产终止妊娠。对于HELLP综合征患者,手术麻醉方式取决于患者综合条件、血小板计数和凝血功能,大多数麻醉医师倾向全身麻醉,尤其血小板计数<50×109/L者[18],且有报道,HELLP综合征脊髓麻醉后易出现弥散性血管内凝血和脊髓蛛网膜下腔出血[19]。
本例患者确诊HELLP综合征后及时在全麻下行急诊剖宫产术终止妊娠,并给予降压、解痉、糖皮质激素升血小板等处理,术后出现神经系统症状行脑部CT或磁共振血管成像检查明确诊断,及时联合神经外科、重症监护科全面评估病情、制定治疗方案,产妇及新生儿随访预后良好。该患者出现症状至明确诊断(onset to diagnosis, O-D)时间不超过24 h,O-D是决定患者预后的重要因素,缩短O-D时间,可有效减少围产期不良结局发生[10]。
HELLP综合征并发脑出血多为妊娠期高血压疾病终末发展的严重并发症,孕期管理基本同妊娠期高血压疾病。对有子痫前期复发风险、胎盘疾病史、肾脏疾病史及血液高凝状态等子痫前期高危因素者,建议在妊娠早、中期(孕12~16周)开始服用小剂量阿司匹林(50~100 mg),可维持到孕28周。但对有基础疾病者需注意,如自身免疫性疾病(如系统性红斑狼疮、抗磷脂综合征)等,不仅给予小剂量阿司匹林,还需专科系统咨询,以便能获得针对性药物治疗和早期预防[20]。本例患者来自基层医院、高龄、有多次妊娠史,且孕期缺乏规律产前检查及产前保健,存在发生HELLP综合征的高危因素。
综上所述,HELLP综合征并发脑出血临床罕见且致死率高,临床表现缺乏特异性,无有效早期预警措施。对于头痛患者应提高警惕,及时行脑部CT、MRI及磁共振血管成像检查帮助早期诊断,及时联合多学科制定个体化治疗方案。临床应加强孕妇的健康教育及产前保健,尽量做到早期干预、及时诊断,以减少不良结局的发生。
























