
特发性巨结肠是一种发病机制不明的后天获得性疾病,特点是部分结肠或全部结肠扩张,通常表现为排便异常、腹胀及腹痛。本文报告了成人特发性巨结肠并肠梗阻一例,予结肠次全切除术+末端回肠造口术治疗,并对成人特发性巨结肠的诊断、鉴别诊断及治疗进行讨论。
版权归中华医学会所有。
未经授权,不得转载、摘编本刊文章,不得使用本刊的版式设计。
除非特别声明,本刊刊出的所有文章不代表中华医学会和本刊编委会的观点。
成人特发性巨结肠在临床上较罕见,属于后天获得性疾病,其无器质性病变。具体发病原因不明,可能与药物、创伤、感染、炎性肠病、自身免疫或代谢性疾病、神经原性及精神心理等诸多因素有关[1]。临床上,患者常因顽固性便秘、反复腹胀或肠梗阻就诊,由于病因不明,缺乏对此疾病的认识,在诊断及治疗上常造成一定困惑,也可能因延误诊治造成不良预后[2]。
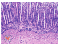
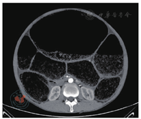
患者男性,46岁,因"反复腹胀腹痛伴排便不畅1个月,加重伴呕吐3天"于2017年7月20日急诊入院。患者于1个月前因腹胀腹痛伴排便不畅于外院就诊,予以导泻、灌肠等处理症状好转,后患者仍间断出现腹胀伴腹痛,均于外院对症治疗,3天前患者腹痛腹胀症状较前加重并恶心呕吐,查腹部立位平片示:肠梗阻。外院予保守治疗3天后症状无缓解,遂急诊转至苏州大学附属第一医院。患者主诉患有"便秘"数年,自服泻药均可通便,无其他特殊药物服用史,近期工作劳累,精神压力较大,否认毒物、放射性物质接触史,无外伤手术史。入院查体:急性痛苦面容,全腹膨隆,未见胃肠型及蠕动波,全腹压痛明显,有反跳痛、肌紧张,腹部叩诊鼓音,移动性浊音(-),肠鸣音弱,1~2 b/m。直肠指检:胸膝位,肛门无痔块脱出,无肛裂,指检未及肿块,指套无染血。腹部CT(平扫+增强):全结肠普遍扩张,乙状结肠高密度影,考虑粪便(图1)。以"巨结肠伴梗阻、急性腹膜炎"收治入院,急诊行剖腹探查术。术中见:腹腔中等量清亮腹腔积液,空肠无扩张,回肠稍扩张,升结肠、横结肠、降结肠以及乙状结肠明显扩张、冗长,最大直径约15 cm,其中以乙状结肠扩张尤为严重(图2),结肠内充满干结大便,质硬,术中行直肠指诊未触及肿块。遂行结肠次全切除术+末端回肠造口术。术后病理:(次全结肠)肠壁黏膜慢性炎,肌壁间可见神经元,浆膜面局灶见中性粒细胞浸润,部分血管充血,阑尾慢性炎(图3)。患者术后4天半流质饮食,术后10天出院。术后2个月随访,患者体重较前增加10 kg。于2017年10月31日行"造口回纳(回肠直肠吻合术)"。患者回肠直肠吻合术后出现腹泻症状,经药物治疗后,每天排便可控制在3次以内。






特发性巨结肠是多发生于青壮年、甚至是老年的后天性疾病,故应仔细询问病史,患者近期是否有便秘史、使用泻剂史、结肠炎,生活习惯改变、精神压力等情况。其主要表现为部分结肠或全结肠扩张引起腹胀不适,扩张肠管运输能力下降造成排便不畅,继而粪块梗阻。临床上,通常患者对自身症状回忆或表述不清,需注意和先天性巨结肠鉴别。如病情条件允许可行直肠肛门抑制反射检查,特发性巨结肠可以测出直肠肛门抑制反射,成人先天性巨结肠则无[3]。确诊有赖于病理,特发性巨结肠黏膜下神经丛和肌间神经丛有散在神经节细胞,而成人先天性巨结肠狭窄肠段则无神经节细胞[4]。
成人特发性巨结肠以手术治疗为主,目前对于手术方式尚无统一共识。手术需切除全部扩张的肠段及与其相邻肉眼正常的部分肠管,如肠管条件差,不能行一期吻合,可行扩张结肠切除+肠造口术,择期回纳[5]。不建议单纯肠造口或解除梗阻后关腹,由于病变扩张的肠管仍然存在,并不能从根本上解除病因,也不能有效降低腹腔压力,并且结肠严重扩张后,加之乙状结肠扩张、冗长,易扭转造成梗阻。此外,结肠内含大量细菌,肠管扩张严重,通透性增加,肠内细菌易进入腹腔造成感染性休克。本例患者全结肠扩张严重,行结肠次全切除+末端回肠造口术取得了良好效果。
























