
版权所有,未经授权,不得转载、摘编本刊文章,不得使用本刊的版式设计。
除非特别申明,本刊刊出的所有文章不代表中华医学会和本刊编辑委员会的观点。
本刊为电子杂志,以光盘形式出版。本册应读者需求按需印刷,随光盘免费赠阅,光盘如有质量问题,请向编辑部调换
随着接受腹膜透析的终末期肾病(ESRD)患者逐年增加,腹膜透析(peritoneal dialysis, PD)已成为重要肾脏替代治疗手段之一,腹膜透析相关并发症也逐渐引起我们的注意。腹膜透析相关性胸腹瘘是腹膜透析较少见并发症。腹膜透析相关性胸腹瘘治疗方式多样,其中间断性腹膜透析(intermittent peritoneal dialysis,IPD)的治疗方法简单有效、副作用小,为引起更多医护工作者的重视,本文报道我院IPD治愈腹膜透析相关性胸腹瘘患者一例。
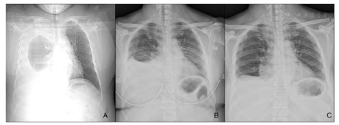
患者徐某,女,51岁,因"发现肾功能异常4年,规律腹膜透析1年,间断胸闷、气短3个月,加重7d"于2017年10月16日入院。患者于4年前发现血肌酐升高,1年前确诊为"慢性肾脏病5期",于2016年9月14日行腹膜透析置管术后行连续性非卧床腹膜透析(continuous ambulatory peritoneal dialysis,CAPD)治疗,具体腹膜透析方案为:1.5%腹透液2 000 ml留腹,4次/d,总超滤量约1 000 ml/d,尿量约1 200 ml/d。于2017年7月无明显诱因出现胸闷气短,平卧时加重,每日总超滤量为负值,尿量约1000 ml/d,就诊于我院,给予加强腹膜透析后,上述症状好转。于2017年10月9日再出现胸闷、气短症状,伴咳嗽,无咳痰,夜间不能平卧。入院后体格检查:体温:36.5℃,脉搏:80次/min,呼吸:18次/min,血压:160/90 mmHg(1 mmHg=0.133 kPa)。右侧下肺区叩诊浊音,呼吸音减弱,语音震颤减弱。心界正常,心率80次/min,律齐,未闻及杂音。腹部略膨隆,无压痛、反跳痛,肝脾肋下未触及,移动性浊音阳性。腹膜透析管外口成型良好。双下肢轻度水肿。辅助检查:血白蛋白41.0 g/L,血肌酐916.0 μmol/L,血红蛋白109 g/L,腹水常规:黄色,李凡他试验阴性,白细胞总数4×106/L,胸水生化:总蛋白0.70 g/L,乳酸脱氢酶3.00 U/L,葡萄糖29.64 mmol/L,氯96.20 mmol/L,腺苷脱氨酶0.91 U/L。胸部CT示右侧胸腔可见大量液性低密度影,肺组织受压(图1A)。因为胸腔积液中葡萄糖的含量较高,"胸腹瘘"可能大。给予腹透液中加入2 ml美兰,灌入腹腔,平卧2 h后,经胸腔引流出淡蓝色胸水。明确诊断为腹膜透析相关性胸腹瘘。因患者拒绝手术治疗或转为血液透析过渡治疗,未进一步检查明确瘘口位置。胸腔穿刺引流后胸闷气短症状较前好转,将腹膜透析方案改为IPD:2.5%腹膜透析液,1 000 ml/次,8次/d,留腹1.5 h/次,夜间干腹,总超滤量约450 ml/d,尿量1500 ml/d。治疗1个月后复查胸部X线胸腔积液量明显减少(图1B),治疗6个月后复查胸部X线:右肺未见异常(图1C)。


注:IPD:间断性腹膜透析;A:治疗前,大量胸腔积液;B:IPD治疗1个月后,胸腔积液明显较少;C:IPD治疗6个月后,胸腔积液完全消失
腹膜透析相关性胸腹瘘是腹膜透析较为少见的并发症之一,患病率约为1%~2%[1],其中多数胸腹瘘发生在右侧胸腔[2],常见于女性患者,腹膜透析置管术后的第1年内出现几率高。发病机制尚不能明确,主要考虑为患者原本存在膈肌薄弱,透析液进入腹腔会使腹腔压力升高,致使薄弱处的横膈变薄破裂,形成胸腹瘘,从而使腹透液由腹腔进入胸腔,引起胸腔积液[3]。腹膜透析患者如果出现超滤较原来明显减少甚至出现负超滤并同时发现胸腔积液时,应引起我们注意,首先想到胸腹瘘的可能性,但需除外其他引起胸腔积液的病因。美兰实验、腹腔注入造影剂后行CT扫描及核素标记显像法等均是确诊胸腹瘘的常用手段。行胸腔穿刺留取胸水常规及生化,有助于明确积液的性质。其中胸水生化中葡萄糖的测定是诊断胸腹瘘的一种简便可靠的方法[4]。胸腹瘘胸水生化及常规与透析液成分基本相同,胸水中葡萄糖的含量较高[5]。在明确诊断为腹膜透析相关性胸腹瘘后,应及时给与相关治疗。目前腹膜透析相关性胸腹瘘的治疗手段有:暂时停止CAPD,行血液透析过度治疗,待膈肌恢复后再恢复腹膜透析;改CAPD为IPD过渡治疗,减少进入胸腔的腹膜透析液的量[6],降低腹内压,有助于膈肌恢复,恢复后可逐渐恢复CAPD;将四环素、高渗糖(如50%葡萄糖)等化学粘连剂注入胸腔行胸腹粘连术[7,8],但此法刺激性大,可能会导致胸膜粘连及分隔;可视胸腔镜介入下行胸膜粘连术或行膈肌修补术[9,10];此外还有在腹腔镜下行膈肌修补术[11],但手术创伤大,大部分患者难接受;直接转为血液透析。虽然关于腹膜透析相关性胸腹瘘的病例报告并不少见,但大部分患者直接转入血液透析或行膈肌修补术,本报告为腹膜透析相关性胸腹瘘的治疗提供了一种简单有效、节约成本的保守治疗方法,即IPD。IPD为腹膜透析方案的一种,该方案每次腹腔透析液灌注量少,留腹时间较短,夜间干腹,可降低腹内压,有助于膈肌修复;其次,高浓度腹膜透析液还能促进胸膜粘连,进而使胸腔闭合;此外,可使患者继续腹膜透析治疗,避免手术创伤或转为血液透析治疗,减少治疗成本,保护自身血管。Townsend等[12]曾于1982年报道过1例IPD成功治疗腹膜透析相关性胸腹瘘的案例。尽管如此,IPD治疗腹膜透析相关性胸腹瘘仍存在局限性,间歇小剂量腹膜透析治疗,日间需频繁手动操作,限制患者活动自由,增加腹膜透析相关性感染的风险,且由于透析时间短及腹透液留腹剂量减少而导致透析不充分,特别是患者腹膜平衡试验为高转运时,由于超滤量少,极易发生心衰,最终至停止腹膜透析而转入血液透析[3]。因此,行IPD治疗期间应密切关注患者病情变化,定期复查胸部X线。综上,胸腹瘘是腹膜透析较少见但对患者危害较大的并发症,可影响腹膜透析患者的透析质量和生活质量,甚至危及生命,应早确诊早治疗。IPD治疗手段对患者创伤小,可以继续腹膜透析,不仅能减少手术带来的不良后果,还能使患者获得长期较好的生存质量,因此我们建议胸腹瘘患者应首先尝试保守干预措施。保守治疗无效或出现并发症时再考虑改为血液透析或通过手术干预治疗胸腹瘘。
























