
版权所有,未经授权,不得转载、摘编本刊文章,不得使用本刊的版式设计。
除非特别申明,本刊刊出的所有文章不代表中华医学会和本刊编辑委员会的观点。
本刊为电子杂志,以光盘形式出版。本册应读者需求按需印刷,随光盘免费赠阅,光盘如有质量问题,请向编辑部调换
汞被广泛用于生产和生活,若接触或使用不当,过量暴露汞可经由皮肤、消化道、呼吸道进入人体,蓄积导致急性或慢性汞中毒。汞中毒可出现神经系统、胃肠道、泌尿系统等一系列临床症状[1]。本文报道1例使用化妆品导致汞中毒引起肾病综合征患者的临床特征,并通过查阅文献,对国内外已发表的含汞化妆品导致肾病综合征的病例进行归纳总结,以期临床上关注汞中毒相关肾病综合征的及时诊断与合理治疗。
患者女性,37岁,因"眼睑水肿伴泡沫尿1周余,加重4 d"于2018-12-20入院。患者入院前1周无明显诱因出现眼睑水肿,伴泡沫尿,外院查尿常规示:尿蛋白2+、尿隐血±;血生化示:白蛋白28.8 g/L、前白蛋白189 mg/L;总胆固醇8.14 mmol/L、甘油三酯3.78 mmol/L。4 d前患者眼睑部水肿加重,泡沫尿增多,于外院利尿、输白蛋白等对症处理,效果不明显,为进一步诊治至我院就诊。
病程中患者无皮疹,无关节肿痛,无皮肤感觉异常。入院时每日尿量约1 200 ml,夜尿2次。患者入院前2个月开始每晚使用通过微商购得的"三无"美白晚霜,每次使用5 g左右,使用1月余,后停用1月,家人评价患者面部皮肤明显变白。余既往史、个人史及家族史无特殊。入院查体:体温36.4 ℃,脉搏74次/min,呼吸18次/min,血压106/70 mmHg(1 mmHg=0.133 kPa)。神志清,精神可,眼睑及颜面部水肿,面部皮肤比颈部皮肤白皙,无贫血貌,心肺无阳性体征,腹水征阴性,肝脾肋下未触及,双下肢中度可凹陷性水肿。
辅助检查:尿常规:尿隐血±,尿蛋白4+,红细胞27↑个/μL,白细胞31↑个/μL;血常规:血红蛋白110↓g/L,红细胞5.52×1012/L,网织红细胞百分比1.68↑%;尿微量白蛋白/肌酐比值:180.0↑mg/g;血生化:白蛋白17.2 ↓ g/L,前白蛋白0.163 ↓ g/L,尿素2.79 ↓ mmol/L,肌酐52.8 μmol/L,总胆固醇12.39↑mmol/L,甘油三脂8.72↑mmol/L,总蛋白质37.6 ↓ g/L,钙1.85 ↓ mmol/L,磷1.65 ↑ mmol/L;eGFR=136.8 ml/(min·1.73 m2);Ccr=143.5 ml/min;24 h尿蛋白24.741 g;尿蛋白电泳分析(凝胶法): β2-微球蛋白、溶菌酶、尿视黄醇结合蛋白、游离轻链、尿a1-微球蛋白、轻链二聚体、结合珠蛋白均为0,白蛋白76.6%,转铁蛋白20.8%,IgG-IgA 2.6%;免疫五项组套:IgG 3.28 ↓ g/L, IgM 3.920 ↑ g/L,IgA和补体正常范围;血清铁3.7 ↓ μmol/L,转铁蛋白1.09 ↓ g/L,铁蛋白4.80↓ng/mL;25羟维生素D<7.500 ↓ nmol/L;甲状腺功能(20181221):游离三碘甲状腺素2.51 ↓ pmol/L,游离甲状腺素9.02 ↓ pmol/L,促甲状腺激素8.070 ↑ mIU/L,抗甲状腺过氧化物酶抗体269.7 ↑ IU/mL,抗甲状腺球蛋白抗体327.8 ↑ IU/mL;其余血清骨钙素、甲状旁腺激素、尿酸化功能组套、免疫球蛋白IgG4、输血前八项、糖化血红蛋白、血中性粒细胞明胶酶相关脂质运载蛋白测定均阴性,抗核抗体、抗ENA多肽抗体阴性,抗磷脂酶A2R抗体阴性。粪便常规+隐血组套未见明显异常。南京市职业病防治研究所报告:尿汞浓度39 μg/L(正常参考值<4 μg/L)。
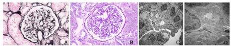
肾活检病理诊断:2018年12月23日行肾穿刺。光镜描述(见图1A、图1B):30个肾小球,肾小球细胞数轻度增多,系膜细胞轻度增生,系膜基质轻度增多,毛细血管开放,可见少数微血栓,基底膜不增厚,未见双轨及钉突,少数小球球囊黏连,囊壁增厚。肾小管上皮细胞基本正常,管腔见蛋白管型,间质少许炎细胞浸润,无明显纤维化,小动脉壁不增厚。免疫荧光:5个肾小球,IgG(-),IgA(-),IgM系膜区节段性块状(+);C1q(-);C3(-);C4(-);Fibrogen系膜区节段性块状(+/-),刚果红染色(-)。主要诊断:肾小球轻微病变;次要诊断:肾小球轻度系膜增生。


注:A:PASM染色400×;B:PAS染色400×;C、D电镜:40 000×
电镜描述(见图1C、图1D):肾小球:镜下检测到1个肾小球,毛细血管内皮细胞明显空泡变性,管腔内可见红细胞聚集,毛细血管襻开放,肾小囊壁层无明显增厚,壁层细胞空泡变性,无明显增生。基底膜:无明显增厚,厚度约230~400 nm,节段性皱缩。壁层上皮细胞:上皮细胞肿胀,空泡变性。足突弥漫融合,有微绒毛变。系膜区:系膜细胞和基质增生,未见确切电子致密物。肾小管-间质:肾小管上皮细胞空泡变性。肾间质无特殊病变。肾间质血管:个别毛细血管腔内见红细胞聚集。电镜诊断或印象:电镜可见上皮细胞足突弥漫性融合,未见电子致密物沉积,考虑微小病变性肾病。
治疗及随访:在尿汞结果回报之前已予以泼尼松龙片60 mg晨起顿服治疗,辅以抗凝、补钙、补充铁剂、调脂、补充甲状腺素等对症治疗。尿汞检测结果回报后,患者因个人原因,一直未接受驱汞治疗。出院后1个月(即用药后1个月)随访,患者浮肿消退,24 h尿蛋白98 mg/24 h;肝肾功能:总胆固醇7.72 ↑ mmol/L,甘油三脂7.38 ↑ mmol/L,总蛋白质69.3 g/L,白蛋白41.9 g/L,尿素4.27 mmol/L,肌酐51.9 μmol/L,尿酸274 μmol/L;泼尼松龙片减量到40 mg每日,出院后2个月复查:肝肾功能:总胆固醇6.34 ↑ mmol/L,甘油三脂4.97 ↑ mmol/L,总蛋白质70.2 g/L,白蛋白44.7 g/L,尿素5.71 mmol/L,肌酐55.7 μmol/L,尿酸259 μmol/L,钙2.46 mmol/L,磷1.13 mmol/L;24 h尿蛋白定量124 mg;尿汞降至20 μg/L,泼尼松龙片减量到每日30 mg,出院后3个月复查尿蛋白0.13 g/24 h。
文献复习:检索国内外文献报道的化妆品引起的汞中毒相关肾病,以"汞中毒"、"汞相关肾病"、"肾病综合征"、"膜性肾病";"mercury"、"nephrotic syndrome"、"mercury-induced nephrotic syndrome"、"membranous nephropathy"等为检索词,分别检索中文全网数据库、中国知网、维普中文科技期刊全文数据库、万方中文数据库、PubMed等数据库,共检索出相关文献33篇,去除职业性、药物性和食物性汞中毒外,含汞化妆品导致汞中毒相关肾病共计98病例。
文献检索结果:一般资料:98例患者全部为女性,年龄范围为20~52岁,使用含汞化妆品时间为3周至15年[2,3,4,5,6,7,8,9,10,11]。诊断均依靠检测尿汞水平,2例进行化妆品成分分析,汞含量严重超标[2]。临床表现均出现水肿,不同程度蛋白尿,有患者合并高血压、食欲减退、失眠、头昏、神经衰弱等胃肠道及神经系统症状[3]。
肾活检病理结果:98例患者中65例行肾穿刺活检[9],病理类型有:微小病变11例,膜性肾病52例[12],轻微系膜增生型IgA肾病1例[6],局灶节段性肾小球硬化症1例[13]。治疗与预后:部分病例进行正规足疗程驱汞治疗和糖皮质激素;部分病例未进行驱汞治疗,仅单纯使用糖皮质激素;极少数使用糖皮质激素激素合并免疫抑制剂。临床均完全缓解,且随访期内未再有复发的病例报告。
汞中毒致肾损害的机制:汞可以灭活皮肤黑色素细胞的酪氨酸酶,抑制黑色素的形成,达到祛斑美白的作用,许多不合格的美白产品中汞含量超标[11],使用不当会造成急性或慢性汞中毒,可引起多器官和系统的损害。肾脏是汞蓄积及排泄的主要器官,急性汞中毒时,高浓度的汞可以直接损伤肾小管细胞,使上皮细胞发生空泡变性造成急性肾小管坏死[14]。汞可以与线粒体、细胞膜上巯基结合,改变细胞膜的结构和通透性,引起非特异的细胞损伤。有研究表明,汞可以激活细胞膜上钾离子通道,使钙离子内流,增加体内氧自由基,抑制体内Na+-K+-ATP酶活性。汞与体内蛋白形成半抗原,引起免疫损伤[15]。
汞中毒相关肾病的诊断:汞中毒可分为职业性及非职业性,非职业性汞中毒以使用治疗"银屑病""风湿病"等的含汞偏方、中药以及美白祛斑等的含汞化妆品为主[1]。非职业性的慢性汞中毒临床如果忽视患者汞接触史,很容易造成漏诊误诊,汞相关肾病综合征极易被诊断为原发性肾病综合征。本例患者因面部皮肤明显白皙引起笔者关注,结合患者有美白产品使用史及病程,初步考虑汞中毒相关肾病建议进一步检测尿汞水平,从而明确诊断。汞中毒相关肾病的诊断依赖于患者血汞或尿汞浓度的检测,但血汞半衰期为2~4 d,停止接触后患者可能出现血汞在正常水平。尿汞清除半衰期为1~2月,更适宜诊断慢性汞中毒[15],临床上应用更广,有研究表明患者尿汞水平与临床表现的轻重不存在严格的正相关关系。
汞中毒相关肾病的治疗与预后:临床上常用的驱汞药物为二巯基丙磺酸钠、二巯丁二钠、青霉胺,以二巯基丙磺酸钠应用最多,机制为竞争性螯合汞离子,形成毒性低、稳定的络合物经尿液和胆汁排出[3]。对存在肾功能损害的患者建议减少驱汞药物的剂量,有文献[15]表明使用二巯基丙磺酸钠驱汞治疗过程中,患者蛋白尿反而加重,考虑为汞短期内大量经肾脏排出加重了肾脏负担。有动物研究表明谷胱甘肽对汞中毒的大鼠模型有驱汞及保护肝脏的作用[16]。文献报道的化妆品引起汞中毒相关肾病综合征的病例,经驱汞治疗,预后较好。有专家认为汞中毒相关肾病不需要使用糖皮质激素,但临床上由于汞中毒相关肾病诊断存在困难,大部分患者在确诊及驱汞治疗前,都已经使用了糖皮质激素,目前报道的文献显示即使未使用正规驱汞治疗,患者仍然对糖皮质激素反应良好,尿蛋白迅速转阴,尿汞浓度下降迅速。本例患者在明确汞中毒之前结合肾脏病理即开始使用糖皮质激素治疗,且汞中毒诊断明确后并未进行驱汞治疗,患者糖皮质激素治疗反应良好。对于糖皮质激素使用剂量,仍存在争议,有学者提出,对于汞相关肾病综合征患者糖皮质激素可以减量,起始剂量为0.5 mg/(kg·d)。关于免疫抑制剂,一般不主张使用,而且就已经发表的文献来看,患者未使用免疫抑制剂仍治疗效果很好,多数患者短期内痊愈。
综上,由于汞中毒引起的肾病临床表现缺乏特异性,这就需要临床工作者提高警惕,对于面部皮肤明显白皙的患者要追问是否存在美白祛斑化妆品的使用,对于可疑病例要检测尿汞水平。
























