
版权所有,未经授权,不得转载、摘编本刊文章,不得使用本刊的版式设计。
除非特别申明,本刊刊出的所有文章不代表中华医学会和本刊编辑委员会的观点。
本刊为电子杂志,以光盘形式出版。本册应读者需求按需印刷,随光盘免费赠阅,光盘如有质量问题,请向编辑部调换
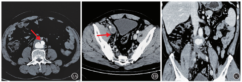
患者,男,51岁,因"反复双下肢水肿7月,右下肢肿胀加重3 d"为主诉入院。患者7月前无明显诱因出现双下肢肿胀,右侧较重,活动及久站后加重,晨起消失。无间歇性跛行及下肢疼痛,未诉腹部及背部疼痛病史。患者至医院行下肢深静脉彩超检查诊断为下肢静脉曲张并给予治疗后,患者症状反复。3 d前患者因"右下肢肿胀加重"至我院就诊。查体:右下肢肿胀,伴小腿胫前色素沉着,范围约6 cm×4 cm。彩超提示:右侧髂总静脉、髂外静脉、股总静脉上段血栓形成,腹主动脉瘤合并血栓形成。上腹部增强CT可见:腹主动脉下段局部管壁见小破口出血,周围组织包裹,血肿形成(图1A),下腔静脉、右侧髂总静脉、髂外静脉及股静脉上段可见充盈缺损影(图1B)。冠状位重建图像(图1C)显示腹主动脉的假性动脉瘤压迫下腔静脉,导致下腔静脉狭窄(图2A)。诊断明确后,行腹主动脉瘤腔内隔绝术(图2),术后3 d拟定行"下腔静脉造影并下肢静脉血栓清除术",术中造影可见下腔静脉下段闭塞,大量侧支循环形成(图3),开通困难。遂术后予以利伐沙班20 mg QD抗凝治疗。


1A:腹主动脉下段局部管壁见小破口出血,周围组织包裹,血肿形成;1B:右侧髂总静脉、髂外静脉及股静脉上段可见充盈缺损影;1C:冠状位重建图像显示腹主动脉近髂动脉分叉处假性动脉瘤(52 mm×43 mm)压迫下腔静脉,导致下腔静脉闭塞。




下肢深静脉血栓形成(deep venous thrombosis,DVT)可由于邻近肿块的外部压迫所致。而腹主动脉假性动脉瘤导致下腔静脉狭窄形成DVT较为少见,文献报道其动脉瘤直径多大于6 cm,并常与炎性动脉瘤相关[1]。
目前关于此类DVT,没有较为统一的方案。开腹手术能直接解除静脉压迫,但是由于其巨大的创伤及严重的并发症,目前的个案报道偏向于血管腔内治疗[2,3,4,5]。但是腔内治疗术后假性动脉瘤搏动力虽然降低,但对周围结构的质量效应仍然存在。因此,静脉压迫症状缓解较慢。我们认为,对于动脉瘤导致静脉压迫综合征的治疗方案,有必要根据动脉瘤的位置采用不同的治疗方法。在一些股动脉或腘动脉假性动脉瘤形成静脉压迫的病例中[6,7],由于"动脉重建术"技术成熟,因此动脉瘤切除术直接减压被认为是缓解静脉压迫的理想选择。
本例患者由于下腔静脉压迫时间较长,血栓机化造成血栓后综合征,血管开通较为困难,给予术后抗凝治疗6个月,下肢的疼痛和水肿消失,随访期间无肺栓塞等不良事件发生。在一例个案报道中[2],由于患者就诊较早,给予下腔静脉滤器置入并置管溶栓术,下肢静脉血管开通情况较好。其余的相关报道对于DVT均采用阿派沙班抗凝治疗,无下肢DVT复发的证据。
我们认为,对于慢性或反复下肢静脉血栓的患者,应包括针对解剖原因的影像学检查。对于因动脉瘤压迫下腔静脉引起的深静脉血栓形成的患者,血管腔内治疗是一种可行的治疗选择。
























