
版权所有,未经授权,不得转载、摘编本刊文章,不得使用本刊的版式设计。
除非特别申明,本刊刊出的所有文章不代表中华医学会和本刊编辑委员会的观点。
本刊为电子杂志,以光盘形式出版。本册应读者需求按需印刷,随光盘免费赠阅,光盘如有质量问题,请向编辑部调换
胰源性门静脉高压症(pancreatic portal hypertension,PPH)是一种少见的临床综合症,又称为区域性门脉高压症或左侧门脉高压症。患者表现为消化道出血伴随肝功能正常及原因不明的脾肿大时,可考虑本病。其中孤立的胃底静脉曲张是本病的特征性表现。现将西安高新医院消化内科确诊的3例PPH患者报告如下。
患者1:2019年6月14日入院,男,76岁,主诉为上腹部不适1 d,黑便、呕血5 d。1 d前进食早餐后出现上腹部不适,以剑突下为著,继而解2次黄色成形便,腹部不适无缓解。5 d前患者解黑色柏油样便2次,继而感恶心、呕鲜红色血液2次。既往2月前因冠心病并发急行心肌梗死行心脏支架植入术,术后口服美托洛尔、阿司匹林、单硝酸异山梨酯、阿托伐他汀、氯吡格雷药物治疗,无肝炎病史。有吸烟史,已戒烟2月余,否认酗酒史及家族遗传病史。
贫血貌,心肺未见明显异常,腹平软,无压痛及反跳痛,肠鸣音活跃,余大致正常。
Hb:105 g/L。
胃底粘液湖清亮,可见多发迂曲曲张静脉,最大直径0.6 cm,红色征阳性,未见活动性出血及血栓头。内镜下诊断(图1):胃底静脉曲张(LgfD1.0Rf1);慢性萎缩性胃炎(C1)。


注:A:食管;B:贲门;C:胃窦;D:胃体;E:胃底
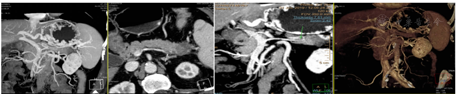
上腹部CT增强示(图2):(1)胰尾部占位性,考虑新生物可能,侵润脾动脉;脾静脉细小,近脾门段腔内充盈缺损,提示瘤栓形成可能;胃底周围静脉曲张,与门静脉左支侧支循环形成;(2)少量腹水。上腹部CTV示:胰尾部占位,成渐进性延迟强化,考虑恶性肿瘤性病变,胰腺Ca可能,脾静脉受侵、瘤栓形成;致脾静脉回流受阻、继发性脾大,脾门区静脉、胃体底静脉、胃网膜静脉、胃短静脉及胃冠状静脉曲张(以胃底体静脉曲张为著),胃冠状静脉与门静脉左支交通,综合上述考虑胰源性门静脉高压(脾-胃-门静脉分流)。


患者2: 2019年7月9日入院,男,81岁,主诉为"间断右下腹疼痛3月" ,3月前受凉后出现下腹部疼痛,夜间及右侧卧位加重,白天及站立位减轻,就诊于当地医院治疗后无缓解,随后就诊于空军军医大学第一附属医院行全腹CT平扫提示:右下腹腔部分肠管及周围脂肪间隙模糊不清,其周围小结节,少许腹盆腔积液,感染待排。发病以来食欲可,15年前于当地医院行阑尾切除术。无肝炎病史,有吸烟史,否认酗酒史及家族遗传病史。
右下腹压痛、无反跳痛,似可触及大小约2 cm×3 cm囊性包块,肠鸣音3次/分,移动性浊音可疑阳性,余大致正常;
中性粒细胞Neut% 74.10%↑。C-反应蛋白测定38.9 mg/lL↑。血浆D-二聚体定量检测2.44 μg/ml↑。红细胞沉降率测定24 mm/h↑。肿瘤标志物:糖类抗原测定(CA-199)>700 μ/ml↑。贫血系列:叶酸测定2.71 ng/ml↓。甲功:血清甲状腺素(T4)测定176.9 nmol/L↑,其余(-)。
阑尾超声:右下腹区所见,多考虑包裹性积液。
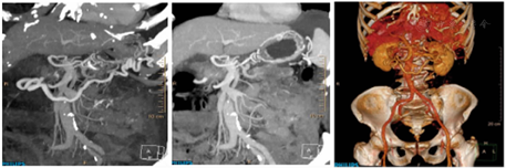
腹部CT三维重建示(图3):(1)胰尾所见,考虑胰腺恶性病变,胰腺癌可能性大。腹膜转移可能。左侧肾上腺转移可能;(2)网膜囊静脉曲张,考虑胰源性区域性门静脉高压所致,脾静脉局部显示欠佳。




注:A:贲门;B:食管;C:胃体;E:胃底
2019年7月15日胃底粘液湖清亮,可见静脉曲张,直径0.3~0.4 cm,红色征阴性。胃体前壁及大弯侧可见静脉曲张,直径0.2~0.3 cm,红色征阴性。内镜下诊断:食管多发白斑、食管裂孔疝;慢性萎缩性胃炎(C2);胃静脉曲张(Lgfb D1.0Rf0)。
患者3:2019年7月18日入院,男,67岁,主诉大便性状改变10年,近10年来无明显诱因出现大便干结、排便费力,1次/2~3 d,无粘液脓血,便后腹胀缓解,6 d前再次出现上述症状,经第四军医大学唐都医院行结肠镜检查:结肠黑变病。发病以来饮食可、睡眠差、大便如前、小便正常,近2年体重减轻约5 kg。无肝炎病史,否认吸烟史、酗酒史及家族遗传病史。
大致正常。
CEA6.77 ng/ml↑,糖类抗原测定CA-199> 700 μ/ml↑,其余均大致正常。
胰源性门静脉高压是一种区域性门脉高压症,通常发生于脾静脉阻塞,大多数患者往往没有明显的临床表现和并发症(病例2、3)。近年来,随着对疾病的认知率和诊断技术的不断提高,推断该病发病率约占所有门脉高压症的5%[1]。PPH形成的主要原因是脾静脉血栓形成(splenic vein thrombosis,SVT),由于脾静脉的位置,胰腺疾病与SVT之间有很强的相关性。解剖学上,脾静脉紧贴胰腺后方与胰腺直接接触,任何胰腺疾病都有可能影响到脾静脉[2]。急、慢性胰腺炎和胰腺肿瘤是SVT的主要病因[3]。SVT的形成与急性胰腺炎的严重程度呈正相关[4]。时宇等[5]对238例PPH患者病因进行数据分析得出,60%的患者患有急、慢性胰腺炎,10%的患者患有胰腺肿瘤(本文涉及的3个病例),还有一部分患者病因不详,造成这一区别主要是由于近些年胰腺炎的发病率不断增高及检查技术和诊疗步骤的不断发展、改进[6]。
(1)大部分PPH患者无典型的临床表现,首次起病通常是由于食管胃底曲张静脉破裂引起的上消化道急慢性出血(病例1),几乎很少有因结肠曲张静脉破裂造成的出血。有报道显示,当PPH患者侧支循环处于低压力状态,无静脉曲张仅有SVT时,大部分情况不会造成出血[7];(2)大多数PPH患者有脾肿大且严重程度通常高于肝硬化患者,其机制尚不明确,考虑与静脉堵塞和动脉血流的不断加重有关;(3)大部分患者有腹痛表现,可能由于胰腺炎、胰腺囊肿、胰腺肿瘤或脾脏肿大(病例2,胰腺肿瘤),但不能作为诊断的特异性标准。
与肝硬化引起的门脉高压相鉴别:(1)静脉曲张:PPH主要引起孤立性的胃底静脉曲张,肝硬化引起的门脉高压主要引起食管胃底静脉曲张;(2)脾肿大:PPH引起的脾肿大患者少有脾区疼痛的表现,且白细胞计数和血小板计数多无明显下降;(3)腹水:肝硬化腹水的发病率达75%甚至更高[8],PPH腹水的发病率远低于肝硬化腹水。若仍难以鉴别,可取肝小叶活检进行鉴别。
超声检查:超声检查因其无侵袭性通常是PPH首选的检查方法,由于胰腺位置较深,故诊断准确率不高。CT检查:腹部CT平扫及增强扫描是一种有效的检查手段,可以显示胰腺原发疾病及胃底食管静脉是否曲张,脾静脉是否闭塞,有无肝硬化表现等。MRI:MRI平扫及增强因其是一种显示门脉系统无创性以及其诊断的准确性高于CT和超声,在门静脉系统和脾脏血管检查的使用越来越广泛。胃镜检查:胃镜可明确显示曲张的胃底静脉及结节状、紊乱排列的黏膜皱襞。随着消化内镜诊治技术不断提高,大约90%PPH患者的食管静脉曲张可被准确诊断及定位[9]。超声内镜:有报道认为超声内镜诊断胃底静脉曲张的准确性高于传统胃镜[5]。由于SVT与胰腺病理变化相关度高,当患者仅有SVT而无明确的胰腺炎病史时,应选择超声胃镜排除胰腺癌可能。血管造影:脾静脉-门静脉血管造影是确诊PPH的金指标,但因其有创性使用较少。
PPH是一种少有的可治愈的门静脉高压之一。治疗应考虑胰腺的原发病变和门脉高压导致的相关并发症及患者的一般情况,治疗方法分为保守治疗和手术治疗。
胃底食管曲张静脉破裂引起的上消化道出血是PPH最常见的并发症,严重程度和致死率较高。其治疗方法包括保守治疗、内镜治疗和手术治疗。(1)保守治疗:包括:气囊压迫止血、血管收缩剂、然而,这些保守疗法疗效一般,且再出血的可能性较大,通常作为外科手术前的准备工作。当患者活动性出血,且保守治疗无效时,应尽快进行手术治疗;(2)内镜治疗:胃镜下注射硬化剂、组织胶等,作为微创手术具有创伤小、见效快、治疗费用低等优势;(3)手术治疗:贲门、胃底周围血管离断术+脾切除术,可有效减少通过侧支循环的静脉流出量及减轻曲张静脉的压力从而预防进一步出血的可能,是治疗PPH的有效方法;经导管脾动脉栓塞术是由Jones提出的一种非外科性脾切除术,已经获得了不同程度的成功,但考虑到患者胰腺功能受损的基础上仅栓塞脾动脉可能造成脾脏不同程度的破裂和脾脓肿形成的可能[6],不作为首选的治疗方法[10]。
PPH是一种多因脾静脉栓塞导致的临床综合症,本病临床较少见,多与胰腺病变相关。当患者表现为胃肠道出血、肝功能正常、病因不明的脾肿大,应考虑本病。由于少见,常易误诊及漏诊,应结合影像资料、病理资料诊断,防止误诊为肝硬化引起的门脉高压。当患者出现上消化道出血的并发症,内镜治疗及脾切除术是行之有效的治疗手段,但无充分证据表明无明显临床表现的患者应进行预防性脾切除术,预后主要取决于胰腺原发病变。

























