
版权所有,未经授权,不得转载、摘编本刊文章,不得使用本刊的版式设计。
除非特别申明,本刊刊出的所有文章不代表中华医学会和本刊编辑委员会的观点。
本刊为电子杂志,以光盘形式出版。本册应读者需求按需印刷,随光盘免费赠阅,光盘如有质量问题,请向编辑部调换
脂肪肉瘤多好发于下肢、腹膜后等软组织深部,纵隔内发生少见。原发性纵隔脂肪肉瘤(primary mediasinal liposarcoma)是罕见的纵隔恶性肿瘤,可发生于纵隔任何部位,但常位于前纵隔,位于后纵隔的少见。我院近期收治1例原发性纵隔脂肪肉瘤患者,现分析如下。
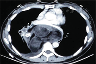
女性,45岁,因"体检发现后纵隔占位6 d"于2015年4月13日入院。查体无明显异常。实验室及器械检查显示:胸部CT显示右后纵隔内可见一较大不规则形异常密度影,最大横断面范围约160 mm×103 mm,内部密度混杂多样,可见多发脂肪成分及钙化灶,见多发分隔及多囊性病灶。增强后病变部分可见强化,部分未见强化,纵隔内心脏、血管、支气管及食管可见明显受压推移改变;纵隔、肺门未见肿大淋巴结影,右侧胸腔可见积液,胸膜未见增厚,考虑畸胎瘤(图1)。心电图示窦性心律,正常心电图。上消化道造影示食管中下段被纵隔右后方块状物推移至左侧;食管黏膜光整,形态规则,蠕动正常(图2)。肺功能检查显示:用力肺活量(forced vital capacity,FVC)为2.21 L,占预计值的77.2%;第1秒用力肺活量(forced vital capacity in the first second,FEV1)为1.79 L,占预计值的74.8%;最大通气量(maximum ventilatory volume,MVV)为86.52 L/min,占预计值的103.2%;FEV1/ FVC%为80.8%,提示肺功能轻度损害,混合性肺通气功能障碍。心脏彩超显示:心脏结构及功能未见明显异常。血常规、肝肾功能、凝血功能、血液传播疾病检查示基本正常。2015年4月20日,患者在双腔气管插管下行静脉复合麻醉,采用右胸后外切口从第6肋上缘进胸,术中见心脏后方巨大囊实性纵隔肿瘤,约18 cm×17 cm×10 cm,占据右后半胸腔。右下肺受压,部分粘连。肿瘤与主动脉、左下肺、右下肺、左右主支气管、食管、膈神经关系紧密,与两侧下肺均有粘连。手术切除完整的具有包膜多结节状肿物(图3)。切面灰白实性,呈鱼肉状,质地中等,界限清。病理诊断:高分化型脂肪肉瘤(图4)。患者病情恢复良好,术后第14天出院。








纵隔脂肪肉瘤仅占纵隔肿瘤的0.13%~0.75%[1]。复习相关文献,发现大多数为个案报道,多见于中老年人,女性少于男性。临床症状缺乏特异性,与肿瘤生长的部位、大小以及对邻近组织的压迫程度有关。可因肿瘤累及气管、食管、血管、神经、心包等重要脏器,患者出现咳嗽、胸闷胸痛、气喘气促、吞咽困难等不适症状。上腔静脉阻塞综合征可发生于肿瘤压迫上腔静脉者。少数患者于体检时偶然发现,本例为体检发现。脂肪肉瘤的病因未完全明确,有学者认为与外伤以及病毒感染可能有关。目前,多数研究结果提示脂肪肉瘤的组织来源是纵隔内间叶组织中脂肪成分发生的恶性肿瘤[2,3]。纵隔脂肪肉瘤的病理类型包括高分化型、黏液型、去分化型、多形性、圆细胞型和混合型[4]。其中比例最高的是高分化脂肪肉瘤,约占40%~45%;其次是黏液样脂肪肉瘤和多形性脂肪肉瘤,混合型脂肪肉瘤非常罕见[5]。也有文献提出黏液型最常见,约占总数的50%[6]。
胸部CT扫描是诊断纵隔脂肪肉瘤主要的影像诊断方法,CT图像表现为囊性或囊实性肿块,内有多种不同密度的组织成分相互混杂分布,包括脂肪组织、水样成分、软组织成分等,骨化和钙化较常见。其CT值常为-100~80 HU,骨化部分CT值远高于此范围。但CT值大小不能完全鉴别分化良好的脂肪肉瘤和脂肪瘤。CT值越低,分化程度可能越高[7]。磁共振成像(magnetic resonance imaging,MRI)提示为混杂密度,不均匀的脂肪密度;可见不规则的线形及条索状高密度影,亦是重要的诊断方法。细针穿刺法组织学检查能诊断脂肪肉瘤,明确判断肿瘤良恶性[8],但很难鉴别病理分型。鉴别诊断主要是好发于前中纵隔的纵隔畸胎瘤,含三胚层组织成分。肿瘤内部密度不均,囊性、脂肪性、类实质性密度混杂存在,有时包含钙化甚至骨化组织,脂—液平面和水密度子囊为其特异性表现。脂肪肉瘤术前极易误诊为畸胎瘤,本例术前CT提示考虑畸胎瘤。
原发性纵隔脂肪肉瘤作为恶性肿瘤,其治疗为包括手术治疗在内的综合治疗,手术治疗为首选的治疗方法。手术治疗的关键是尽早发现肿瘤和彻底切除肿瘤[9]。术中有时难以确定肿瘤的边界,手术时应彻底清除术野内所有的脂肪组织,最大程度地消灭亚临床病灶。为防止肿瘤的种植转移,手术时避免瘤体破裂,如瘤体破裂需反复冲洗胸腔。术后放化疗的作用目前尚有争议[10],但大多数文献报道建议行辅助治疗,有文献指出放射治疗在脂肪肉瘤中的作用已得到肯定,术后局部放疗会降低复发率,复发的病例更建议行放化疗。放化疗总体效果不满意,复发率较高[11]。原发性纵隔脂肪肉瘤预后与肿瘤的病理分型及手术是否切除彻底、有无侵犯周围组织、有无血行及淋巴系统转移等有关。高分化脂肪肉瘤预后较好,手术彻底切除后局部复发和转移少见;黏液性肉瘤和去分化脂肪肉瘤均易局部复发和远处转移;多形性脂肪肉瘤复发和转移率最高,预后最差。脂肪肉瘤出现复发的时候,可出现去分化以及转化成其他亚型的情况,高分化型发生率高,而且多转化为恶性程度更高的情况[12]。因此,肿瘤的病理分型、手术是否彻底是影响预后的重要因素。





















