
版权所有,未经授权,不得转载、摘编本刊文章,不得使用本刊的版式设计。
除非特别申明,本刊刊出的所有文章不代表中华医学会和本刊编辑委员会的观点。
光盘如有质量问题,请向编辑部调换
转移性钙化是由于钙磷代谢障碍导致钙盐在除骨和牙齿外的正常组织内沉积。转移性钙化常见于尿毒症、甲状旁腺亢进、过多接受维生素D治疗及骨肿瘤造成骨组织严重破坏等[1,2]。报道转移性钙化常见部位有:血管、肾小管,肺泡、心脏、中枢神经系统、皮肤、胃粘膜、腹膜等处[3,4]。本病例年轻女性患者,维持性腹膜透析近九年。超声心动图发现左房团块状钙化,占据左房大部。胸腹部CT进一步证实左房钙化及主动脉弓、双侧乳腺、腹膜、肠系膜、肾动脉同时存在多发性钙化。患者存在的左房团块状钙化合并全身多发钙化鲜有报道。本文从病理生理学角度出发,尽可能阐述尿毒症患者转移性钙化的发生机制及钙化对机体的影响。
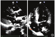
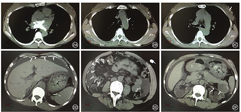
患者,女性,27岁。2010年3月26日因贫血4个月,颜面、下肢浮肿1周到南京医科大学附属无锡第二人民医院就诊。为求进一步诊治入院。实验室检查:血红蛋白(hemoglobin,Hb)57 g/L,血肌酐1657.0 umol/L,血压160/120 mmHg,尿常规蛋白4+,免疫功能正常,抗核抗体谱阴性。超声提示双肾萎缩。考虑慢性肾小球肾炎引起肾功能衰竭。入院诊断为:慢性肾衰竭尿毒症期;慢性肾小球肾炎;肾性贫血;肾性高血压。患者血肌酐高达1657.0 umol/L,入院后立即行右颈内静脉深静脉置管血液透析,硝苯地平控释片和美托洛尔控制血压,叶酸片、速力菲、促红素改善贫血,还原型谷胱甘肽和阿魏酸钠保肾治疗。甲状旁腺激素(parathyroid hormone,PTH)350 pg/ml,α-骨化醇纠正甲状旁腺功能亢进。血液透析后血肌酐降至775 umol/L,继续一周3次血液透析。出院复查Hb 87 g/L,血肌酐215.0 umol/L,血压120/86 mmHg。2010年5月1日因颈静脉置管感染,改行腹膜透析治疗,一天4次。2011年1月2日患者腹膜透析时不慎被他人扯拉腹透管,致皮下卡夫外漏,出现继发性腹膜炎。为避免再次发生腹膜炎,左前臂动静脉内瘘手术进行血液透析治疗。术后内瘘闭塞,继续维持腹膜透析。2015年4月9日腹膜透析管更换术。至此以后一直维持性腹膜透析治疗。期间出现两次腹膜炎,均经抗感染治疗后好转。2018年11月22日因胸闷入院。患者慢性肾病面容,贫血貌。食欲不佳,偶有恶心、呕吐、头晕。目前透析方案为2.5%透析液(每1000 ml含葡萄糖2.5 g、氯化钠5.67 g、氯化钙0.257 g、氯化镁0.152 g、乳酸钠5 g)2000 ml,每天4袋,夜间留腹。24 h超滤700 ml。腹膜平衡试验:总尿素清除指数(KT/V)1.995/周,总肌酐清除率(total creatinine clearance,Ccr)51.966 L/周。实验室检查:血甲状旁腺激素(parathyroid hormone,PTH)1279.00 pg/ml,血钙2.39 mmol/L,血磷2.47 mmol/L,钙磷乘积73.27 mg/dl。心电图检查:正常窦性心律。甲状腺超声显示:甲状腺左右叶后方探及大小分别为0.8 cm×1.3 cm、0.7 cm×1.5 cm低回声结节,边界清,内回声欠均匀,其内可见条状血流信号。考虑甲状旁腺功能亢进,甲状旁腺腺瘤。2018年11月26日经胸超声心动图显示(图1):左心室射血分数为62%,胸骨长轴切面测室间隔舒张末期厚度为1.2 cm,左室后壁舒张末期厚度为1.2 cm,左室舒张末期内径为4.4 cm,左室质量指数(LVMI)141 g/m2,考虑左室壁向心性重构。心尖四腔切面探查二尖瓣血流频谱E/A=0.8 ,二尖瓣环组织多普勒频谱测二尖瓣环外侧e'为7.51 cm/s,二尖瓣环室间隔测e'为6.27 cm/s,E/e'= 12。左心房前后径43 cm。考虑患者舒张功能障碍II级。胸骨旁长轴及心尖四腔心切面见左房内数个不规则增强回声团,不随血流运动。主动脉瓣环及二尖后叶瓣环回声增强,瓣叶活动正常。为明确诊断2018年11月28日行胸、腹部CT平扫检查(图2):左房内团块状钙化,占据左房大部,与超声心动图检查结果一致。患者主动脉弓、双侧乳腺、腹膜、肠系膜、肾动脉同时存在多发性钙化。2019年2月18日在全麻下行甲状腺旁腺次全切除。病理检查示:甲状旁腺腺瘤样增生。术后第2 d复查PTH 23.77 pg/ml,血钙1.32 mmol/L,血磷1.26 mmol/L。患者PTH、血磷恢复正常,存在低钙血症,加强补钙。2019年10月21日患者为行腹膜平衡试验及进一步诊治,收住我院。复查血钙,血磷,PTH均在正常范围。复查超声心动图及胸、腹部CT平扫检查,钙化较2018年11月检查结果无明显改变。




转移性钙化是慢性肾功能衰竭的常见合并症之一。有报道腹膜透析的尿毒症患者中,10%患者发生转移性钙化[5]。本病例左房团块状转移性钙化鲜有报道。转移性钙化的发病机制非常复杂,尚未完全阐明。可能和以下因素有关:(1)高磷血症和/或钙磷乘积升高。一般认为高磷血症伴或不伴高钙血症、体内酸碱失衡在转移性钙化形成中发挥重要的作用[6]。磷在机体发挥重要的生理作用,血磷占体内总磷的0.1%,血磷主要经尿排出。肾对维持血磷的稳定起着非常重要的作用。研究表明,当肾小球滤过率(estimated glomerular filtration rate,eGFR)>30ml/min/1.73m2,机体通过刺激成纤维细胞生长因子(fibroblast growth factor-23,FGF-23)和PTH分泌代偿维持血磷在正常范围[7]。FGF-23可与肾近端小管上的FGF受体(fibroblast growth factor receptor,FGFR)结合,从而抑制近端小管对磷的重吸收[8]。1,25-二羟维生素D可促进肾小管对磷的重吸收。FGF-23对1,25-二羟维生素D拮抗作用,间接发挥降血磷的作用。研究表明,从慢性肾病(chronic kidney disease,CKD)2期开始,FGF-23开始升高,随着CKD的进展,FGF-23浓度持续升高,CKD5期FGF-23浓度高于正常值上百倍[9]。PTH也可抑制肾近端小管对磷的重吸收,促进磷的排出,使血磷降低。当eGFR<30 ml/min/1.73m2时,残余肾单位不能维持体内磷的正常代谢,导致磷的大量蓄积,血磷升高明显[10]。(2)继发性甲状旁腺功能亢进症,钙、镁和磷从骨释放增加,导致这些离子的血浆水平升高,易发生转移性钙化。其他危险因素还包括年龄、透析龄、炎症、糖尿病和不适当的钙负荷[11]。本例患者长期行腹膜透析,钙、磷比例持续紊乱,钙磷乘积明显升高,甲状旁腺增生,导致多发转移性钙化。
本病例心肌细胞已发生病理性肥大的改变。转移性钙化可发生在全身组织、器官中。钙化累积左心耳、左心房各壁时,形成"椰子样左房"[12]。钙化累积二尖瓣装置,可引起二尖瓣钙化、狭窄[12]。有的患者不得不进行二尖瓣置换术。二尖瓣钙化同时也增加了瓣膜置换术的难度。研究表明当左房内大量钙化时,如果累及心内膜,需要在体外循环下,行心内膜切除术以清除钙化[13]。本病例左房转移性钙化虽未造成二尖瓣明显钙化和狭窄,但已累及左房部分游离壁,并在左房内呈团块状附着,最大约1.1 cm×2.6 cm。可能需要长期随访二尖瓣受累情况及有无狭窄,左房团块状钙化变化,判断是否需要外科手术干预。左房壁钙化可降低左房顺应性,增加左房压。随时间的延长出现左室舒张功能障碍[14]。本病例存在左室舒张功能障碍,一方面因患者肾性高血压所致,另一方面因左房钙化引起左房壁顺应性减低。本病例超声心动图提示左室壁肥厚,LVMI达141 g/m2。研究表明心肌细胞存在FGFR,FGF-23与FGFR结合,可刺激心肌细胞肥大,间质纤维化,使心肌发生向心性重构[15]。
本病例除心脏钙化外,部分血管(主动脉弓、肾动脉)也存在钙化。有研究表明心血管疾病风险与血管钙化有关,血管钙化积分越高,心血管疾病的风险也越高[16]。由此可见,本病例发生心血管疾病风险增加。本病例也存在双侧乳腺钙化,这种钙化大多数都是良性的,可发生于乳腺导管、乳腺血管及乳腺组织中[17]。本病例还合并广泛的腹膜钙化,长期的腹膜透析和反复的腹膜炎是形成腹膜钙化的危险因素[18]。合并腹膜钙化的患者可表现为恶心、呕吐及腹痛。
尿毒症透析患者,一般都存在高磷血症,应控制食物中磷的摄入,尽早使用磷结合剂及增加透析次数。治疗腹膜钙化的方法有停止腹膜透析改血液透析及泼尼松和他莫昔芬药物治疗。如果保守治疗效果不明显,可考虑手术治疗。2013年《慢性肾脏病矿物质与骨异常诊治指导》[19],建议当出现下列情况,可行甲状旁腺切除术:①iPTH持续大于800 pg/ml;②药物治疗无效的持续性高钙和/或高磷血症;③具备至少一枚甲状旁腺增大的影像学证据,如高频彩色超声显示甲状旁腺增大,直径大于1 cm并且有丰富的血流;④以往对活性维生素D及其类似药物治疗抵抗。本病例iPTH为1279.00 pg/ml,高于指南800 pg/ml的标准;血磷2.47 mmol/L;超声显示两枚甲状旁腺增大,直径均大于1 cm;合并有多发性转移性钙化,满足外科甲状旁腺切除术指针。本病例还需要长期随访二尖瓣受累情况及有无狭窄,左房团块状钙化变化,必要时外科切除钙化。
本病例存在左房团块状钙化及全身多发转移性钙化。一方面由于我们对高磷、高钙、高PTH关注度不够,认为是尿毒症患者的常见并发症,没有将血磷、血钙、PTH降到尽可能低的水平。另一方面没有及时的进行超声或X线的检查,错过了早期发现转移性钙化的时间。以至本病例发现时,已存在严重的转移性钙化。即使本病例甲状旁腺切除术后,血钙、血磷和PTH达标,多发转移性钙化并没有逆转。所以,今后对开始透析的病人,应密切监测血钙、血磷、PTH指标,并维持其在合理范围。常规X线、超声检查,以期早发现转移性钙化,尽早干预避免严重转移性钙化的发生,尽可能提高尿毒症患者的生存质量和生存时间。
























