
例1患者因"活动后心悸、乏力1个月,咳嗽、咳痰1周"入院,入院后超声心动图误诊为左室右房通道。例2患者因"活动后心慌、气促1个月,体检发现先天性心脏病2周余"入院,外院超声心动图误诊为室间隔膜部缺损伴膜部瘤形成,入院后复查超声心动图示无冠窦瘤破入右房。
例1体格检查结果为胸骨左缘4~5肋间可闻及3/6级收缩期喷射样杂音。例2体格检查结果为胸骨左缘3~4肋间闻及连续响亮的杂音。
术前采用经胸超声心动图,术中采用经食道超声心动图对患者进行诊断,2例患者均于术中诊断为主动脉窦瘤破裂。
两例患者均行体外循环下主动脉窦瘤修补术。
两例患者术后恢复良好,顺利出院。随访过程中,患者均未再出现心慌等不适。
超声科;心内科;胸心血管外科
版权归中华医学会所有。
未经授权,不得转载、摘编本刊文章,不得使用本刊的版式设计。
除非特别声明,本刊刊出的所有文章不代表中华医学会和本刊编委会的观点。
主动脉窦瘤(又称乏式窦瘤、瓦式窦瘤、Valsal- va窦瘤)是一种少见的先天畸形,一般未破裂前常无临床表现或体征。当主动脉压力突然增高时,如劳累、剧烈运动后,主动脉窦瘤可突然破裂,侵入邻近心脏结构,形成主动脉-心腔瘘,产生一系列的血流动力学变化,极易发生充血性心力衰竭,病情进展迅速,会造成严重的后果。现报道我院诊治2例主动脉窦瘤的经验与教训,以期提高临床医生对该病的认识水平。
例1患者,男,26岁,因"活动后心悸、乏力1个月,咳嗽、咳痰1周"入院。体格检查:胸骨左缘4~5肋间可闻及3/6级收缩期喷射样杂音。胸超声心动图显示:主动脉瓣下、三尖瓣隔瓣上方间隔回声中断约12 mm,该处可探及左向右分流血流信号,最高血流速度(peak vilocity, VP)4.56 m/s,右心房内可见一直径约28 mm的囊袋样结构,略呈半圆形,与上述间隔中断处相通,该囊袋样结构随心脏舒缩轻微活动,其上可见约10 mm的回声中断,该处可探及流向右心室的双期连续性分流血流信号,VP 7.75 m/s。诊断提示:考虑左心室右心房通道伴室间隔膜部瘤形成(图1,图2,图3,图4)。术中经食道超声提示:主动脉窦瘤破入右心房,主动脉右冠窦可见呈囊袋状向右房突出,上方紧邻三尖瓣隔瓣、下方紧邻主动脉右冠瓣,囊袋基底宽约21 mm,深约23 mm,囊袋上可见一破口,此处可探及连续性血流频谱,VP 2.81 m/s,压差(pressure gradient,PG)32 mmHg (1 mmHg= 0.133 kPa)。术中见三尖瓣隔瓣上一主动脉窦瘤,大小约3 cm × 2 cm,剪开窦瘤,基底部缺损约1.5 cm × 1.5 cm,修补缺损窦壁。患者术后恢复良好,顺利出院。误诊分析:左心室右心房通道又称为Gerbode缺损,目前认为是一种特殊的膜周部室间隔缺损,由于三尖瓣瓣叶阻挡或右心室纤维素形成,使左心室分流的血液直接进入右心房内;常位于膜部室间隔三尖瓣瓣环旁,一般可探及左心室血流向右心房分流。本例患者病变发生在三尖瓣隔瓣附近,可探及左向右的异常血流信号,多普勒超声并非典型的双期血流频谱,且主动脉窦部无明显增宽,故考虑诊断为左心室右心房通道;右心房可查见囊袋样结构随心脏舒缩轻微活动,且在顶部可见回声中断,并在此处探及流向右心室的血流束,超声图像与室间隔膜部瘤破裂特点相似,故有误诊可能。


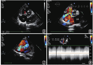
例2患者,女,34岁,因"活动后心慌、气促1个月,体检发现先天性心脏病2周余"入院。体格检查:胸骨左缘3~4肋间闻及连续响亮的杂音。外院经胸超声心动图显示:室间隔于膜部可见回声中断,形成大小约18 mm×12 mm的瘤样病变,向右心室突出。彩色多普勒超声:可见异常的穿隔血流宽约10 mm,收缩期从左心室经室间隔膜部缺损口进入右心室,血流束以红色为主,多彩镶嵌;连续多普勒:取样容积置于缺损口可见收缩期正向高速湍流频谱,左向右分流速度约4.63 m/s,压差86 mmHg。诊断提示:室间隔膜部缺损伴膜部瘤形成。我院经胸超声心动图显示:无冠窦可见一大小约13.8 mm×10 mm的囊袋状结构凸起,在三尖瓣隔瓣上方突向右心房侧,破口宽约6 mm,可探及双期血流频谱,VP 4.8 m/s。诊断提示:无冠窦瘤破入右心房(图5,图6,图7,图8)。术中经食道超声心动图示:主动脉窦瘤破入右心房,无冠窦可见一大小约7 mm×14 mm的囊袋状结构凸起,在三尖瓣隔瓣下方突向右房侧,破口宽约6 mm,可探及双期血流频谱,VP 5.04 m/s,PG 102 mmHg。术中见三尖瓣隔瓣上方见一大小约14 mm×10 mm囊袋状突出,剪开囊状袋,见基底部约6 mm的缺损,修补缺损窦部。患者术后恢复良好,顺利出院。


误诊分析:(1)二维超声:外院超声心动图可见室间隔膜部回声中断,形成囊袋样结构,并未诊断出突出结构为主动脉窦部,可能系未正确认识少见病的诊断要点;(2)彩色多普勒:外院超声心动图仅提示可探及一束左向右的异常血流信号,并未明确分辨出此束血流信号来源于囊袋样结构破口处;(3)频谱多普勒:外院超声心动图仅提示异常血流信号收缩期流速,并未诊断为双期血流频谱。
综上,外院超声心动图虽能认识到异常结构及异常血流信号,但并未仔细追踪其来源,可能与超声医师经验欠缺有关,仅考虑到常见病,并未掌握少见病的诊断要点,故不能正确诊断疾病。
主动脉窦瘤破裂(rupture of aortic sinus aneurysm,RASA),是由于先天或后天因素造成的主动脉窦壁局部发育缺陷,因缺乏正常的弹性组织,在主动脉压力的持续作用下,管壁逐渐薄弱,向外膨出变成薄壁的囊腔[1]。主动脉窦瘤破裂主要发生在右冠状窦和无冠状窦,左冠状窦破裂极少见[2]。有研究表明,若破裂后未进行治疗,平均存活时间约1~3.9年,多数在1年内死亡[3];故早期发现并诊断此病,尽早完善手术治疗是提高生存率的关键。在临床工作中,超声心动图多个切面均看到主动脉窦瘤部"风袋样"扩张的表现,并在破口处探及双期连续高速的湍流频谱,需考虑主动脉窦瘤破裂。国内外文献报道多误诊为室间隔缺损[4]。其鉴别要点为:室间隔缺损位于主动脉瓣环下,主动脉窦部无扩张,于心尖四腔心切面可见室间隔的连续性中断,分流频谱呈收缩期单峰;而典型的主动脉窦瘤位于主动脉瓣环之前,会出现主动脉窦扩张,分流频谱呈双期连续性。主动脉窦瘤与Ger- bode型室间隔缺损(即左心室右心房通道)的鉴别也比较困难,主动脉窦瘤一般会出现窦部增宽,连续多普勒为双期频谱;而Gerbode型主动脉窦部内径一般正常,四腔心切面可见分流的血液源于左心室,连续多普勒为收缩期高速分流。
综上所述,本文2例患者均为活动后出现临床症状,经胸超声心动图均有误诊情况,通过经食道超声心动图可以纠正经胸超声心动图检查的不足,并通过手术证实为主动脉窦瘤破裂,手术治疗效果良好。我们认为,超声心动图因其便捷、可靠等优点已成为临床治疗不可取代的辅助检查,主动脉窦瘤虽发生率低,但若熟练掌握其诊断要点及鉴别诊断,做出正确诊断并不难。若及时诊断,能快速为临床治疗方案提供依据,尽早手术,可以提高生存率,避免耽误患者的治疗。
所有作者均声明不存在利益冲突。





















