
患者因"发热6 d"就诊,有明确的新型冠状病毒肺炎确诊患者接触史。患者入院后2 d仍有发热,影像学出现肺实变并呈现进展趋势,伴有低氧血症。在按照诊治方案推荐的抗病毒治疗1周后,病情没有改善。
反复中等度热,偶有气促,无咳嗽咳痰,两肺呼吸音粗,未闻及明显干湿啰音。
荧光PCR法检测新型冠状病毒咽拭子核酸阳性。
在按照国家最新版的新型冠状病毒肺炎诊疗方案推荐的抗病毒化学药物治疗方案的基础上,予小剂量甲泼尼龙40mg治疗一次,患者症状即明显缓解,影像学上肺实变较前一天明显消散。此后,连续5天使用上述小剂量激素治疗。
遏制了患者从新型冠状病毒肺炎普通型向重型的进展,于收治后第12天,患者新型冠状病毒咽拭子核酸检测转阴,治愈出院,预后良好。
呼吸科;重症医学科
版权归中华医学会所有。
未经授权,不得转载、摘编本刊文章,不得使用本刊的版式设计。
除非特别声明,本刊刊出的所有文章不代表中华医学会和本刊编委会的观点。
2019新型冠状病毒(2019-nCoV)属于β属新型冠状病毒,该病毒感染人体后极易侵犯肺部,严重者可快速进展为急性呼吸窘迫综合征[1]。新型冠状病毒肺炎具有严重的危害性。目前,随着疫情的进展,确诊病例和疑似病例不断攀升,死亡人数也在增加[2]。然而,对于该疾病的药物治疗目前还处于摸索阶段,尚缺乏特异性抗2019-nCoV药物。根据我国国家卫生健康委、国家中医药管理局最新版诊疗方案(试行第五版)推荐,除了一般治疗外,可试用α-干扰素雾化吸入和洛匹那韦/利托那韦口服抗病毒治疗,而对于激素的使用需要谨慎。本文报道1例短期内小剂量激素使用取得良好疗效的新型冠状病毒肺炎病例,现将救治过程和体会报道如下。
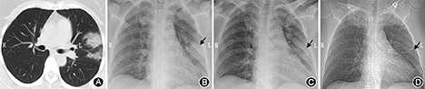
患者女,48岁,既往体健。因"发热6 d"于2020年1月22日来我院发热门诊就诊,胸部CT提示左肺上叶感染考虑(图1A),查2019-nCoV咽拭子核酸阳性,遂诊断"新型冠状病毒肺炎(普通型)"收住本院罗店隔离病房。患者10 d前曾接触来自武汉的同事(该同事事后确诊新型冠状病毒肺炎),6 d前开始出现反复发热,中等度热,最高体温38.9℃,无寒颤,无咳嗽、咳痰,无胸闷、气喘,无头痛、全身酸痛,无腹泻。入院体格检查:体温37.3℃,脉搏93次/min,血压143/97 mmHg(1 mmHg=0.133 kPa),呼吸20次/min,神志清,口唇无发绀,两肺呼吸音粗,未闻及明显干湿啰音,心律齐,双下肢无浮肿。收住后予α-干扰素雾化吸入(每次500万U,加入灭菌注射用水2 ml,每日2次)联合洛匹那韦/利托那韦(200 mg/50 mg,每粒)每次2粒,每天2次抗病毒治疗,莫西沙星片0.4 g,口服,每天1次抗感染,并予以对症治疗。患者入院后多次血化验检查指标范围如下:白细胞(4.09~14.40)×109/L,嗜中性粒细胞0.5~0.8,淋巴细胞绝对值(1.03~1.90)×109/L,血红蛋白114~147 g/L,C-反应蛋白1.8~28.9 mg/L,降钙素原0.041~0.062 ng/ml,红细胞沉降率34~44 mm/h,谷丙转氨酶17~31 U/L,谷草转氨酶24~54 U/L,肌酸激酶49~70 U/L,肌酸激酶同工酶12~32 U/L,乳酸脱氢酶252~473 U/L,血气分析氧分压68.6~82.2 mmHg。患者于收治第3天出现一过性血氧饱和度下降,室内空气未吸氧状态下血氧饱和度93%,伴轻度呼吸困难,体温始终未恢复正常。予鼻导管3 L/min吸氧治疗,并复查床边胸部X线片(1月24日)提示左上肺病灶(图1B)较前进展,结合患者临床表现和胸部影像学变化,临时一次予甲泼尼龙40 mg,静脉滴注治疗。患者次日体温恢复正常,呼吸困难缓解,复查床边胸部X线片(1月25日)提示病灶有明显改善(图1C)。考虑到患者可能对激素治疗较为敏感,此后继续予甲泼尼龙40 mg,静脉滴注,连续治疗5 d后停用。在此期间,患者在室内空气未吸氧状态下血氧饱和度始终维持在97%及以上,无发热,无其他明显不适主诉。于1月31日再次复查床边胸部X线片提示左上肺病灶已吸收(图1D)。于治疗后第12天,复查咽拭子2019-nCoV核酸转阴性,此后再次复核阴性,根据解除隔离和出院标准准许出院[1],院外随访1周,患者无明显不适表现。


新型冠状病毒肺炎是由2019-nCoV感染肺部引起的肺部损伤,基于目前的流行病学调查,潜伏期1~14 d,多为3~7 d[1]。体外分离培养发现,2019-nCoV在96 h左右即可在人呼吸道上皮细胞内发现[1]。临床表现常见的有发热、咳嗽、肌痛和疲劳,而头痛、咳痰和咯血少见,约55%的患者可在1周左右进展为呼吸困难[3]。值得注意的是重症和危重症患者可在疾病初期症状轻微,而在疾病演变过程中快速进展为急性呼吸窘迫综合征、脓毒症休克、难以纠正的代谢性酸中毒和出凝血功能障碍[1]。该疾病患者早期可出现外周血白细胞正常或下降,淋巴细胞计数减少,多数患者C-反应蛋白和红细胞沉降率升高,而降钙素原正常[1]。本例患者外周血化验结果除淋巴细胞计数维持正常外,其余与上述特征相符。而在影像学方面,此次新型冠状病毒肺炎可表现为两肺多发小斑片影、磨玻璃影,以肺外带明显,严重者可出现肺实变,而胸腔积液少见[1]。本文患者肺部表现主要为肺实变。
关于药物治疗新型冠状病毒肺炎,目前仍在摸索中,除了诊疗方案推荐的抗病毒药物外,有研究提示阿比多尔、达芦那韦可能有效抑制冠状病毒[4]。在抗菌药物的使用方面,目前建议避免盲目使用抗菌药物,有继发细菌感染时则要及时应用[1]。在诊疗方案中,对激素治疗的建议是根据患者呼吸困难程度、胸部影像学进展情况,酌情短期内(3~5 d)使用。建议的剂量每天不超过相当于甲泼尼龙1~2 mg/kg[1]。本例患者体重50 kg,我们使用的剂量为甲泼尼龙40 mg/d,未超过推荐的剂量。而从治疗结果来看取得了良好的疗效,及时遏制患者病情从普通型向重型的转变。关于激素在病毒性肺炎中的使用,目前仍然存在一定的争议[5]。早在2003年严重急性呼吸综合征(SARS)的救治中,糖皮质激素被广泛用于SARS治疗。它通过调节炎症反应来控制肺部感染。曾有不少患者接受了大剂量激素的治疗。大剂量激素冲击治疗在当年SARS救治中的确取得了一定的疗效,而随着时间的推移,那些曾接受大剂量激素治疗的患者也逐渐出现了激素使用的相关并发症[5,6]。
CoV是迄今为止已知的最大的正义单链RNA病毒,2019-nCoV和SARS-CoV均为冠状病毒。除病毒本身的致病性外,宿主的炎症反应在CoV诱发的肺部损伤中起着至关重要的作用。宿主的先天性免疫反应和适应性免疫反应在抵抗疾病进展和预后转归中起着重要作用[7]。研究表明,冠状病毒入侵宿主后,宿主的免疫反应有助于控制和消除CoV感染;然而,过强的免疫反应可能会导致宿主自身免疫病理学和肺气体交换受损[7]。不同宿主存在不同强度的免疫力,因此,在感染CoV后患者出现的临床表现和相关检查结果不尽相同。我们认为,正是因为宿主免疫力存在差异,在CoV感染后是否适合接受激素治疗存在个体差异。如本例为中年患者,既往身体健康,此次2019-nCoV感染后淋巴细胞计数正常,说明患者具有良好的免疫力,而肺部病灶主要为免疫反应过强所导致的炎性损伤,因此,其在接受激素治疗时可取得良好的疗效。而对激素用量和疗程的使用上针对不同的患者需要有不同的考量,对于老年人、合并有较多基础病、免疫力低下特别是淋巴细胞减少的患者而言,激素的使用则需要更加谨慎。
综上,新型冠状病毒肺炎患者由于其自身免疫状态不同和临床病情存在差异,是否给予糖皮质激素治疗需要个体化考量。对于年轻、免疫力强的患者在出现持续发热、呼吸道症状加重和肺部病变进展时予以早期小剂量糖皮质激素治疗,可能具有遏制疾病进展、促进转归的重要作用。





















