
患者男,55岁,肺腺癌(T3N3M0期,Ⅲc期),因治疗需行经外周静脉穿刺中心静脉导管置管术(PICC ),患者有PICC置入史及化疗史。
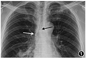
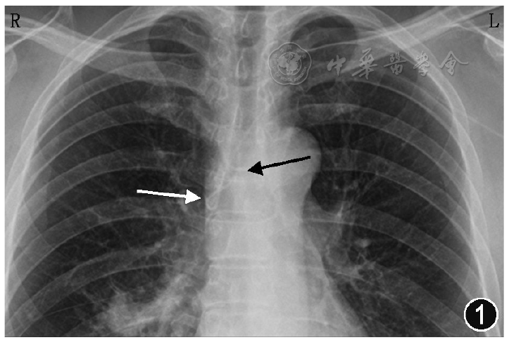
患者在超声联合改良赛丁格技术下经左上臂贵要静脉行Power PICC植入术,血管穿刺、导管送入过程顺利。超声检查锁骨下静脉,导管在位,颈内静脉无导管,术后胸部X线片(CXR)显示导管末段在上腔静脉(SVC)内打折成8字型,导管尖端位于气管隆突上方约1 cm处,导管反折长度约2.5 cm,退出导管3 cm后,采用腔内心电图(ECG)纠正调整导管尖端位置,成功引出心电图高P波改变,再次行CXR显示导管尖端仍然异位于SVC。
腔内心电图定位技术联合胸部X线拍片确认导管尖端位置。
在ECG定位下,拔出部分导管,直到高P波消失。然后轻柔缓慢地将导管再次送入血管至导管0刻度位置,观察P波振幅从正常到高尖,但未观察到负向P波改变,继续将导管0刻度后1 cm长度导管送入血管,观察到高尖P波前有一个负向小P波,即双向P波。最后,将导管拔出1 cm,导管外露0刻度。再次拍摄的CXR显示导管尖端位于SVC的下三分之一处。
患者导管尖端位置正常。
血管外科;静脉治疗专科
版权归中华医学会所有。
未经授权,不得转载、摘编本刊文章,不得使用本刊的版式设计。
除非特别声明,本刊刊出的所有文章不代表中华医学会和本刊编委会的观点。
经外周静脉穿刺中心静脉导管置管术(peripherally inserted central catheter,PICC)被广泛应用于肿瘤患者化疗中,在使用前需确认导管尖端位置正确。美国INS指南建议导管尖端应位于上腔静脉(superior vena cava,SVC)下三分之一处或上腔静脉下段与右心房交界处(cava-atrial junction,CAJ),可预防及减少导管相关并发症发生[1]。置管术中腔内心电图(intracavitary electrocardiogram,ECG)定位显示高P波变化,可免除术后胸部X线片(chest X-ray,CXR)[2,3]。但是, 2019年1月我院1例肺癌患者进行PICC置管时, ECG显示高P波改变,术后CXR却显示导管末段打折,尖端异位于上腔静脉内,现报道如下。
患者,男性,55岁,肺腺癌(T3N3M0期,Ⅲc期),因治疗需要行PICC置管。患者有PICC置入史及化疗史。采用血管超声横向及纵向评估上臂贵要静脉、肱静脉、腋静脉及锁骨下静脉,检查血管直径、是否有狭窄畸形变异等现象。根据导管和静脉管径的比值≤45%原则选择血管[4],选择贵要静脉为目标血管,直径0.5 cm,评估穿刺部位皮肤完整性,进针穿刺部位选取上臂中段区域。患者在超声联合改良赛丁格技术下经左上臂贵要静脉行Power PICC植入术,血管穿刺及导丝送入血管过程顺利,利用体表骨性标志预测置管长度为46.5 cm,送管前根据预测长度修剪PICC导管,送管过程顺利,未发生送管困难,一次送管成功。采用血管超声检查锁骨下静脉,导管在位,通过超声联合注射器推注生理盐水试验,观察颈内静脉无白色亮点及雪花状喷洒现象,初步排除导管异位。术后CXR显示导管末段在SVC内打折成8字型,导管尖端位于气管隆突上方约1 cm处,导管反折长度约2.5 cm(图1)。


患者返回血管通道中心,重新对穿刺部位导管和皮肤进行消毒,根据胸部X线片上电子标尺测量导管打折长度约2.5 cm,故将导管从静脉中拔出3 cm,然后重新送入导管。连接科曼C100心电定位仪,4个电极片分别贴于右锁骨下(RA)、左锁骨下(LA)、左下(LL)腹部、右下(RL)腹部,屏幕抓取二导联心电波形原始资料记录患者基础心电图,取下RA导联,将无菌导联线鳄鱼夹一端夹在20 ml注射器注射针头针柄上,一端连接心电定位仪,采用生理盐水引导腔内心电图定位方法,心电图显示P波高尖,P波振幅等于QRS波振幅的1/2(图2),提示导管尖端位于SVC中、下三分之一。随后拍摄的CXR显示导管尖端位于SVC中段,导管末端仍然反折成L型(图3)。故进行第二次导管尖端位置调整,在心电图定位下,拔出部分导管,直到高P波消失。然后轻柔缓慢将导管再次送入血管至导管0刻度位置,观察P波振幅从正常到高尖,但未观察到负向P波改变,继续将导管0刻度后1 cm长度导管送入血管,观察到高尖P波前有一个负向小P波,即双向P波(图4)。最后,将导管拔出1 cm,导管外露0刻度。再次拍摄的CXR显示导管尖端位于SVC的下三分之一处(图5)。


文献报道PICC置管术中在没有任何实时尖端定位方法的情况下,原发性异位发生率高达32%[5],原发性异位类型多样,包括导管置管侧锁骨下打折、异位对侧锁骨下或颈内静脉等[6,7]。本案例导管末段部分打折,尖端在SVC内异位,较为少见。总结分析造成此类型异位原因为:(1)经左侧植入的PICC相对于右侧具有较高的异位率;(2)导管送入血管的速度过快导致其末段在上腔静脉内打折;(3)置管术中仅选择血管超声检查颈内静脉和锁骨下静脉,初步排除导管尖端异位,未正确采用实时尖端定位技术。在发现本例患者导管尖端异位后,我们将导管从血管中拔出3 cm,随后将其轻柔缓慢送入静脉,送管过程无阻力。采用ECG定位导管尖端,观察到高峰P波。然而,CXR显示导管尖端位于上腔静脉内,导管末端仍然反折成L型。总结导管尖端异位纠正失败原因如下:(1)后退导管距离仅为3 cm,不足以调整导管方向;(2)操作者受思维定势的影响,在P波波形评判上考虑不全面,主观认为腔内心电图显示明显的高P波变化,导管尖端位于上腔静脉内,不存在异位的风险,而未考虑到这一现象存在的可能,即使存在导管在上腔静脉内打折异位,只要导管尖端在上腔静脉靠近窦房结区域内,仍然可以引出明显的高尖P波变化;(3)操作者在ECG定位PICC尖端位置的操作中,有失规范,在完成送管操作后使用ECG定位导管尖端位置,仅观察到一个高的P波变化,没有观察典型完整的P波改变:从标准到高峰然后到双相的P波变化,高尖P波前有一个小的负向波表示导管尖端在右心房入口处[8]。在第二次调整导管尖端位置时,我们观察到完整的P波,从标准到高峰,然后到双相。最后,CXR显示导管尖端位于上腔静脉下段。
本例表明,即使ECG表现出高尖P波变化,导管尖端仍然存在上腔静脉内异位打折的可能。如何在置管过程中采用有效方法判断导管在体内部分有无反折,非常必要。因此,当采用ECG方法定位导管尖端位置时,应观察完整的P波波形变化:从正常P波到高尖P波再到双向P波,不可以仅凭观察单一的高尖P波确定导管尖端位置。同时,谷小燕等[9]研究通过将支撑导丝部分外撤并再次送入,根据导丝再次送入顺利与否,可有效判断导管在体内部分有无反折,此方法也为后续解决该类似问题提供借鉴。
尽管指南及相关文献报道ECG定位技术准确度高,通过文献分析进一步发现,不同类型导管在使用ECG定位时,即使采用的ECG定位波形判断方法标准一致,导管尖端位置正确率仍然相差甚大。赵林芳等[10]对后端修剪型导管(巴德三向瓣膜PICC)进行ECG定位导管尖端位置,导管尖端位置正确率为95.91%。Johnston等[11]研究对前端修剪型导管(巴德SOLO耐高压PICC)采用ECG进行定位,发现其异位率高达20.5%,导管尖端位置正确率仅为79.5%。前端修剪型导管准确度明显低于后端修剪型导管。在临床实践中,后端修剪型导管可根据ECG波形变化,明确导管置入长度,然后修剪导管长度。然而,对于前端修剪型导管,在送管前,导管的长度已经根据预测长度进行了修剪。其导管长度并非ECG定位下确定的导管长度,所以其尖端位置正确率相对较低。
因此,当发生导管在体内打折异位时,可以通过送入导丝判断导管是否通畅,排除导管有无打折的可能;同时,ECG定位前端修剪型导管时,由于体表测量与真实在某些情况下,导管长度不足以到达右心房,无法观察到典型的P波变化来评估导管尖端位置。此时同时通过前进的导丝引导腔内心电图P波变化,进一步判断导管是否存在异位。如何提高ECG定位前端修剪型导管尖端位置正确率,减少异位发生,值得临床后续研究关注解决。
所有作者均声明不存在利益冲突





















