
患者,女,29岁,因"书写困难1年,行走不稳3个月"就诊,伴视物旋转、吐字不清。近期出现情绪与睡眠障碍。既往、个人及家族史无特殊。
神清,对答切题,构音不清,小脑语言,计算力差,失用。咽反射亢进,余颅神经正常。四肢肌力,肌张力及腱反射正常,病理征未引出,双手轮替动作笨拙,步基宽,直线行走不能。
头颅核磁共振示小脑萎缩,PET-CT示小脑放射性摄取明显对称性减低。血清及脑脊液的副肿瘤神经综合征相关抗体阴性。乳腺钼靶、超声及PET-CT检查发现右乳可疑恶性结节,术后病理确诊为乳腺高分化黏液癌。
原发肿瘤予手术切除、放射治疗及内分泌治疗;神经系统症状予丙种球蛋白、口服泼尼松及吗替麦考酚酯治疗。
随访2年未见肿瘤复发,构音障碍及共济失调部分缓解。
神经科;肿瘤科
版权归中华医学会所有。本文为遵循CC-BY-NC-ND协议的开放获取文章。
患者,女,29岁,因"书写困难1年,行走不稳3个月"就诊北京协和医院神经内科。患者1年前无诱因出现写字潦草。3个月前出现下楼时行走不稳;上、下视时视物旋转,闭眼可缓解。自觉"反应变慢",但日常生活可自理。行走不稳症状在出现2个月后有部分缓解,后又加重,并出现语速变慢,吐词不清。病程中无复视、耳鸣、饮水呛咳、强哭强笑,无肢体无力、感觉障碍。近2个月劳累或情绪激动后有双上肢、手心、面部发热感,伴心悸、发汗,1 h内自行缓解,每天发作4~5次。病程中情绪低落、易激惹、回避社交;夜间多醒,易早醒,体重增加10 kg。既往、个人及家族史无殊。
入院体格检查:生命体征平稳,神清,小脑语言,对答切题,计算能力差,无法准确完成多步骤任务,定向、记忆及听理解正常,简易智力状态检查量表(mini-mental state examination,MMSE)25分。咽反射亢进,余颅神经体格检查未见异常。四肢肌力Ⅴ级,肌张力正常,腱反射活跃,病理征未引出。双手轮替动作笨拙,指鼻及跟膝胫试验完成可,步基宽,直线行走不能, Romberg征睁闭眼均阴性。四肢深、浅感觉对称存在,脑膜刺激征阴性。卧立位血压、皮肤划痕征未见异常。心、肺及腹部体格检查无特殊。
血、尿、便常规及血生化正常;感染四项、甲状腺功能及自身抗体、糖化血红蛋白正常;血清抗中性粒细胞胞浆抗体、抗核抗体、抗可溶性核抗原抗体、抗神经节苷脂抗体均阴性;血清铜蓝蛋白、同型半胱氨酸、叶酸、维生素B12、甲基丙二酸等均在正常范围;血、尿毒物检测阴性。血清肿瘤标志物(CA15-3、CA19-9、CA125、CEA等)在正常范围内。
颅压150 mmH2O (1 mmH2O= 0.098 kPa),脑脊液无色透明,白细胞计数0×106/L;生化:蛋白0.30 g/L,葡萄糖3.9 mmol/L;细胞学未见明显异常;病原学及寡克隆区带检测均阴性;脑脊液髓鞘碱性蛋白、抗神经节苷脂抗体阴性
自身免疫性脑炎相关抗体(抗NMDAR、抗CASPR2、抗AMPAR1抗体、抗AMPAR2、抗LGI1、抗GABABR以及抗GAD抗体)、副肿瘤抗体谱(抗CV2/CRMP5、抗PNMA2、抗Ri、抗Yo、抗Hu及抗两性蛋白抗体)均阴性。
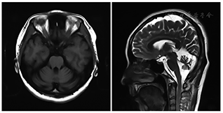
头颅核磁共振示小脑萎缩,皮层欠饱满(图1)。乳腺钼靶及超声检查发现右乳实性结节,乳腺影像报告和数据系统(BIRADS) 4类。考虑恶性病变不除外,完善PET-CT示:右乳外上象限1.4 cm结节影,放射性摄取略高,最大标准摄取值(SUVmax)为1.4;双侧小脑半球缩小,放射性摄取明显对称性减低。


考虑患者为乳腺癌引起的副肿瘤性小脑变性。肿瘤方面,行右乳肿物及右腋窝前哨淋巴结切除活检术,病理提示为乳腺高分化黏液癌,淋巴结冰冻切片未见癌。根据肿瘤分期及病理结果,予内分泌治疗(托瑞米芬)及放射治疗,定期随诊未见复发。
共济失调方面,予维生素营养神经;术后予静脉输注丙种球蛋白25 g×5 d治疗,症状部分缓解;出院1.5年后随访,仍有小脑语言,步基略宽,改良Rankins评分(modified Rankin scale,mRS)2分,遂加用吗替麦考酚酯0.5 g 2次/d+泼尼松30 mg qd口服,激素逐步减量并于1年后减停,目前吗替麦考酚酯维持治疗中,构音及四肢共济失调进一步好转。
亚急性起病的小脑性共济失调的病因包括自身免疫性疾病(含副肿瘤综合征)、感染、小脑肿瘤、营养和代谢性因素等。患者无药物、毒物接触史,无酗酒史;无发热,血及脑脊液白细胞计数正常,病原学筛查阴性;病程中无系统性自身免疫性疾病的征象,自身抗体阴性,以上特点不支持中毒及代谢因素、感染以及系统性自身免疫性疾病造成的小脑性共济失调。患者乳腺肿物经病理确诊为恶性,但腋淋巴结活检、PET-CT、头核磁共振等检查未见局部及远处转移,放射治疗及内分泌治疗后肿瘤未见复发,亦不支持肿瘤直接侵袭导致的小脑功能障碍。肿瘤切除及免疫抑制治疗后患者神经系统症状逐渐好转,诊断考虑为副肿瘤性小脑性共济失调。副肿瘤性小脑性共济失调属于自身免疫性小脑性共济失调(autoimmune cerebellar ataxia,ACA)中的一个类型。ACA是由自身免疫机制介导的小脑综合征,部分患者可以伴有抗神经抗体阳性。根据是否合并相关肿瘤,ACA可分为副肿瘤性ACA与非副肿瘤性ACA[1]。除了小脑性共济失调这一主要表现,患者同时伴有情绪障碍、睡眠障碍、认知功能轻度减退和发作性的自主神经症状,提示可能合并大脑皮层,包括边缘系统的受累。边缘性脑炎也属于副肿瘤神经综合征的经典临床综合征,但本例仍缺少神经影像学证据支持边缘性脑炎的诊断。
副肿瘤神经综合征(paraneoplastic neurological syndromes,PNS)是肿瘤通过诱发自身免疫反应,造成神经系统病变的现象[2]。目前通用的诊断标准由Graus等[3]于2004年提出,将PNS分为经典型和非经典型两类,前者包括亚急性小脑变性、边缘叶脑炎、Lambert-Eaton综合征及皮肌炎等;后者包括脑干脑炎以及僵人综合征等。对于经典型PNS,无论肿瘤神经抗体是否阳性,只要神经系统症状出现5年内发现肿瘤,即可诊断"确定的PNS (definite PNS)" 。对于非经典PNS或经典PNS不伴肿瘤的情况,则需要综合肿瘤神经抗体、肿瘤检出情况以及神经系统症状对肿瘤治疗的反应综合判断。
副肿瘤性小脑变性(paraneoplastic cerebellar degeneration,PCD)是历史上最早认识到的一种PNS。PCD也是最常见的PNS之一。张遥等[4]总结了北京协和医院神经科收治的60例PNS患者,其中10例(16.7%)为PCD,仅次于边缘叶脑炎(11/60, 18.3%)。
PCD患者以共济失调、自发性眼震等小脑症状为主要表现[5],脑干脑炎及周围神经病等小脑外受累多见于抗Hu抗体阳性患者[6],多数患者亚急性起病,神经系统症状出现在确诊原发肿瘤之前[3]。多数患者合并卵巢癌或乳腺癌,其他肿瘤如霍奇金淋巴瘤、小细胞肺癌等也有报道[7]。影像学检查方面,病程早期头颅核磁共振多数正常,PET-CT可见小脑区域18F-FDG摄取增高;病程后期头颅核磁共振多见小脑萎缩,PET-CT显示相应区域代谢减低。
多数PCD患者的血清或脑脊液中可检测到肿瘤神经抗体,其中抗Yo抗体最常见,其次为抗Hu、抗Tr等[6] ,Ducray等[7]报道欧洲PNS数据库中,抗体阴性的PCD占18%。与抗体阳性的PCD患者相比,抗体阴性者中男性比例更高,脑脊液寡克隆区带阳性的比例更低,女性患者合并卵巢癌或乳腺癌的比例更低。抗体阴性或阳性对PCD患者的病程及预后没有显著影响,但对诊断提出了挑战,因此临床工作中,即使肿瘤神经抗体谱筛查阴性,也要考虑到PNS的可能。
PCD患者大多预后不良。Jones等[8]报道63例副肿瘤性小脑性共济失调患者,从起病至需坐轮椅的中位时间不足1年。早期发现并治疗原发肿瘤对延长PCD患者生存期有重要意义[6]。尽管部分患者经静脉免疫球蛋白、糖皮质激素、血浆置换以及免疫抑制治疗可以获得部分缓解,但这些治疗缺乏能显著改善PCD长期预后的证据,现有的阳性结果多数来自小规模病例报告[9]。我们在非副肿瘤性ACA中较常使用吗替麦考酚酯[10,11],对本例患者也予以应用,疗效目前仍在随诊观察。免疫治疗药物的选择需结合患者病情及意愿予以个体化处理。
所有作者均声明本研究不存在利益冲突





















