
患者,男,15岁,因"发热3 d,四肢抽搐1 d"入院,体温最高38.3 ℃,1 d前出现四肢抽搐,伴意识不清。
神经科专科体格检查:镇静状态,颅神经与肌力检查不能配合,肌张力不高,腱反射对称引出,颈抵抗,Kernig征(-), Brudzinski征(-),双侧Babinski征(-)。
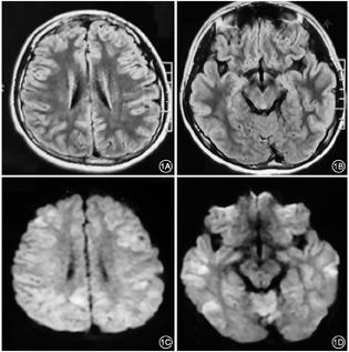
头颅MRI示:双侧脑皮层多发异常信号。脑电图:可见弥漫性不规则慢波。腰穿脑脊液白细胞39×106/L,单个核细胞37×106/L,自身免疫性脑炎相关抗体检测阴性。常规病原体检测结果阴性,后根据脑炎病因诊断一体化方案,行脑脊液病原体二代测序,检出人类疱疹病毒7型(HHV-7),并予以PCR验证。
予以静脉阿昔洛韦抗病毒,静注人丙种球蛋白,糖皮质激素,镇静、营养神经等对症治疗。
患者体温恢复正常,意识障碍改善,现无明显不适。随访影像学完全正常。
神经科;免疫科;感染科
版权归中华医学会所有。本文为遵循CC-BY-NC-ND协议的开放获取文章。
患者,男,15岁,因"发热3 d,四肢抽搐1 d"入院。患者入院3 d前无明显诱因出现发热,体温最高38.3 ℃,1 d前突发四肢抽搐伴意识不清,由急诊收入重症病房。既往:家属述患者发病半年前有"水痘"病史,其他无特殊。入院体格检查:体温36.8 ℃,心率90次/min,呼吸30次/min,血压120/70 mmHg (1 mmHg=0.133 kPa)。体重70 kg。体格检查:面色正常,头部皮肤有疱疹,无出血点,浅表淋巴结未触及肿大,口唇红润,两肺呼吸音粗,可闻及痰鸣音。心率90次/min,律齐,各瓣膜听诊区未闻及杂音。全腹无压痛反跳痛,肝脾肋下未触及。神经科专科体格检查:镇静状态,双侧瞳孔等圆,光反射存在,颅神经与肌力检查不能配合,肌张力不高,腱反射对称引出,颈抵抗,Kernig征(-), Brudzinski征(-),双侧Babinski征(-)。
血常规:白细胞14.30 × 109/L,中性粒细胞0.74,淋巴细胞0.158,C反应蛋白3.9 mg/L。单纯疱疹病毒Ⅰ型IgM阴性,EB病毒阴性,降钙素原0.392 ng/ml。腰穿脑脊液白细胞39×106/L,单个核细胞37×106/L,多核细胞2×106/L。头颅MRI示:双侧脑皮层多发异常信号(图1)。脑电图:异常脑电图,可见弥漫性不规则慢波。予以静脉阿昔洛韦(10 mg/kg q8h,共14 d),甘露醇,静注人丙种球蛋白(0.4 g/kg/d,共5 d)等对症治疗。入院第3天,患者出现精神行为异常,兴奋,入睡困难,且逐渐加重,考虑自身免疫性脑炎不除外,予以加用静脉甲泼尼龙琥珀酸钠治疗(1000 mg/d,共3 d, 500 mg/d,共3 d),后减量改口服激素。患者体温恢复正常,无抽搐;复查脑电图未见异常。复查头颅MRI:颅内多发病灶较前减轻。为一步明确诊断,送检血与脑脊液自身免疫性脑炎抗体谱、副肿瘤神经综合征抗体谱(未一医学检验实验室),包括抗NMDAR、 CASPR2、AMPA1、AMPA2、LGI1、GABABR、 GAD65、Hu、Yo、Ri抗体等,结果均为阴性。患者症状进一步好转后出院。3个月后患者为求明确诊治就诊于北京协和医院神经科脑炎门诊,患者症状已完全消失,无明显不适,复查头MRI未见异常,原有病灶消失。根据中国医学科学院北京协和医院脑炎病因诊断一体化方案,调取剩余的冻存脑脊液样本进行病原体二代测序(next-generation sequencing,NGS)(未一医学检验实验室),检测到人类疱疹病毒7型(HHV-7)特异性序列7条(图2),平均测序深度1.1740,基因组的覆盖度0.2816%;通过生信分析可排除背景菌及其他可能污染,综合判断结果置信度高。后行PCR验证试验,HHV-7阳性。




本例患者主要表现为急性起病的发热、抽搐、精神行为异常,脑脊液淋巴细胞升高,MRI显示大脑皮质多发异常信号,脑电图提示弥漫性脑损害,符合脑炎。经脑脊液NGS与PCR检测,确诊为人类疱疹病毒7型(HHV-7)脑炎。 HHV-7属于DNA病毒,于1990年被Frenkel等[1]发现。该病毒的原发感染多见于2~5岁的童年,原发感染可以无症状,也可以表现出轻微或非特异性的症状,亦可以引起多种临床表现,主要为小儿急疹和急性脑炎。HHV-7是脑炎、脑膜炎和脊髓神经,甚至周围神经病变的原因之一,可见于免疫功能正常或者免疫抑制的成年人[2]。急性感染后发展为终身潜伏态,一旦免疫缺陷可能再次被激活,引发疾病。大多数HHV-7感染后激活的病例都与免疫功能低下有关,特别是接受干细胞或实体器官移植治疗的患者。我们报道的这例免疫功能正常患者的HHV-7中枢神经系统感染比较罕见。有关免疫功能正常宿主的HHV-7感染的临床表现、流行病学特点及发病机制,仍有待进一步研究揭示[3]。
病毒性脑炎的主要确诊试验是脑脊液病毒核酸检测[4]。目前针对中枢神经系统感染病原体检测的方法有PCR检测与二代测序(next-generation sequencing,NGS)。对于新发病原体和罕见病原体的鉴定,NGS具有一定优势[5],Guan等[6]在2015的研究中提出脑脊液NGS对人类疱疹病毒脑炎具有重要诊断价值。在HHV-7中枢神经系统感染的治疗方面,更昔洛韦和膦甲酸钠是主要的选择药物,尽管有研究结果提示膦甲酸钠可以作为首选抗病毒药物[7],但Escoba[8]描述的病例证明阿昔洛韦和甲基泼尼松龙联合治疗也是有效的。
根据病因,脑炎总体上分为感染性脑炎与自身免疫性脑炎两大类。因此,对病因不明的重症脑炎,可采用覆盖感染性脑炎与自身免疫性脑炎的经验性治疗,本例患者初入住重症病房,在病因未明的情况下,采用了经验性的抗病毒治疗与免疫治疗,效果良好。但当自身免疫性脑炎抗体检测结果阴性时,临床应该更需要考虑感染性脑炎的可能性,有必要进行包括脑脊液NGS在内的全面的病原体检测。我们采用脑炎病因诊断一体化方案,对病因不明的脑炎患者,联合应用自身免疫性脑炎抗体谱检测与脑脊液NGS等检测技术,以提高脑炎的病因确诊率[9]。本例患者在自身免疫性脑炎抗体阴性后,进入一体化诊断流程,通过对剩余脑脊液标本进行NGS,明确了脑炎的病因。
总之,对于病因诊断不明的脑炎病例,应根据临床鉴别诊断的需要,合理选用身免疫性脑炎抗体谱检测与脑脊液NGS等精准诊断技术,充分利用脑脊液标本资源,提高脑炎的病因诊断水平。HHV-7脑炎非常罕见,脑脊液NGS适于筛查中枢神经系统罕见感染病原体和新发病原体感染。对HHV-7脑炎临床特点的深入认识有待通过确诊、积累和分析更多病例来实现。
所有作者均声明不存在利益冲突
























