
患者因间断咳嗽憋气1年余,加重伴发热3d入院。
患者于3 d前无明显诱因出现发热,体温最高38℃,痰不易咳出,呼吸急促,意识恍惚,测血氧降至50%,心率129次/min,据新型冠状病毒感染的肺炎诊疗方案第五版,明确疑似新冠肺炎诊断,给予无创呼吸机辅助通气,抗炎对症治疗,完善2次咽试子新冠肺炎核酸检测阴性,生命体征相对平稳,收入我科,体格检查:神志尚清,呼吸促。口唇末梢紫绀,颈静脉无怒张,无颈动脉异常搏动,双侧呼吸音粗,两肺可闻及痰鸣,双下肺可闻及Velcro啰音,无胸膜摩擦音。心率92次/min,心律齐,腹部平坦,腹软,无压痛及反跳痛,肝脾肋下未及,双下肢无水肿,手指关节变形,可见杵状指趾。
新型冠状病毒感染的肺炎诊疗方案第五版进行诊断。运用咽试子新冠肺炎核酸检测诊断。患者进行胸部CT、血气分析等检测。
患者无创呼吸机辅助通气,并给予抗炎对症和激素治疗。
患者咳嗽憋气症状明显减轻,复查血气分析、胸CT、血常规较前改善,予出院。
呼吸科;重症监护科
版权归中华医学会所有。
未经授权,不得转载、摘编本刊文章,不得使用本刊的版式设计。
除非特别声明,本刊刊出的所有文章不代表中华医学会和本刊编委会的观点。
新型冠状病毒肺炎(COVID-19)正在全球引起严重疫情,截至2020年3月,我国确诊人数已逾8万,海外累计确诊人数已逾3万。冠状病毒带来此次疫情迅猛的传染性和病情加速的进展,给临床医生在鉴别诊断过程中带来极大的困扰,我们在此结合疑似新冠肺炎危重型病例的鉴别、救治过程的体会报道如下:
患者,男,67岁。主诉:间断咳嗽憋气1年余,加重伴发热3d于2020年2月19日入院。患者1年前无明显诱因间断出现咳嗽、气短,活动后症状进行性加重,于天津总医院检查确诊"肺纤维化",未系统规律口服"甲泼尼龙及雷公藤"药物;平素间断咳嗽、咳痰,活动后气短,自行口服抗生素、平喘药物对症治疗;入院前3 d患者无明显诱因出现发热,体温最高达38℃,咳嗽,咳少量白色黏痰,痰不易咳出,量约10 ml/d,伴呼吸急促,意识恍惚,胸闷,无畏寒、寒战,就诊于我院急诊隔离诊室,医护人员二级防护,测血氧降至50%,心率129次/min,结合辅助检查,根据新型冠状病毒感染的肺炎诊疗方案第五版[1],湖北以外省份诊断标准:(1)发热和/或呼吸道症状;(2)具有上述肺炎影像学特征;(3)发病早期白细胞总数正常或降低,或淋巴细胞计数减少。无明确流行病学史,本患者符合临床表现中的3条考虑新冠肺炎疑似病例;其中根据患者出现呼吸衰竭,且需要机械通气,该病例为危重型;紧急予无创呼吸机治疗后转入我院发热门诊隔离留观病房,医护人员三级防护,完善2次咽试子新冠肺炎核酸检测阴性,期间予头孢曲松、甲泼尼龙静脉滴注治疗3 d,持续无创呼吸机辅助通气治疗;经治疗,患者目前体温正常,呼吸急促较前改善,血氧波动于90%~94%[BIPAP,S/T模式,吸气压16 cmH2O(1 cmH2O=0.098 kPa),呼气压5 cmH2O,吸氧5 L/min],心率波动于88~92次/min,呼吸34次/min,为进一步诊治收入我院呼吸科。医护人员二级防护。
既往史:患者既往有糖尿病病史10余年,目前皮下注射诺和锐30早餐前12 IU、餐前12 IU,口服"格华止、拜糖平"控制血糖,患者近期未规律饮食,未规律服用降糖药及监测服血糖。类风湿性关节炎病史10余年,平素双手关节及肩部疼痛,近期未规律口服"甲泼尼龙,雷公藤"等药物治疗(具体不详)。否认高血压病、冠心病、脑血管病等病史。流行病学史:否认疫区居住史,否认发病14 d前有武汉市及周边地区旅行时或居住史;否认发病14 d前内与新冠状病毒感染者(核酸检测阳性者)有接触史;否认发病前14 d内曾接触过来自武汉市及周边地区、或来自有病例报告社区的发热或有呼吸道症状的患者。否认聚集性发病。否认与天津市铁路动车机车组工作人员接触史;否认曾到过天津市宝坻区百货大楼购物,或与宝坻百货大楼确诊、疑似人员有过接触;否认曾到过天津市武清区人民医院就诊,或与武清区人民医院确诊、疑似人员有过接触。吸烟史:吸烟20年,每天1~2包,戒烟20年。
体格检查:体温36.5℃,脉搏92次/min,呼吸32次/min,血压142/76 mmHg(1 mmHg=0.133 kPa),SPO2 92%,表情忧虑,神志尚清,平车入病房。颈静脉无怒张,无颈动脉异常搏动,肝颈静脉回流征阴性。胸廓对称无畸形,双侧呼吸运动均等,无胸膜摩擦感,叩诊清音,双侧呼吸音粗,两肺可闻及痰鸣,双下肺可闻及Velcro啰音,无胸膜摩擦音。心率92次/min,心律齐,各瓣膜听诊区未闻及明显杂音,未听到心包摩擦音。腹部平坦,腹软,无压痛及反跳痛,肝脾肋下未及,双下肢无水肿,手指关节变形,可见杵状指趾。
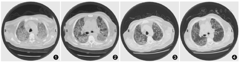
急诊检查:胸部CT(2020-2-16):两肺多发大片磨玻璃样密度影,内有小网格影,弥漫性间质病变,胸腔积液(图1,图2)。血气分析(吸纯氧)示:pH 7.370,cLac 9.1 mmol/L,PCO2 26.9 mmHg,PO2 192 mmHg,HCO3-15.6 mmol/L。血常规:白细胞14.24×109/L,红细胞4.58×1012/L,血红蛋白139g/L,血小板431×109/L,淋巴细胞0.053,中性粒细胞0.902,淋巴细胞绝对值0.76×109/L。生化示:GLU 12.78 mmol/L,CO2CP16.2mmol/L,K 5.6 mmol/L,Na130 mmol/L,Cl 90 mmol/L,BuN4.7 mmol/L,Cr 60 μmol/L。凝血功能:PT 17.1s,FIB 6.75 g/L。重症五项:CK-MB 7.5 ng/ml,cTnT0.16 ng/ml,MYO 122.4 ng/ml,BNP36.9 pg/ml,D-dimer>5 mg/L。入院心电图示:窦速。超声(床旁):EF59%左房增大,左室壁运动不协调,左室收缩功能正常,舒张功能减低。


经搜集病史,体格检查及完善相关检查,诊断:1.重症肺炎,继发性肺间质纤维化,急性呼吸窘迫综合征,Ⅰ型呼吸衰竭;2.2型糖尿病;3.类风湿性关节炎;4.高钾低钠血症。
诊疗方案:患者免疫力低下,基础病明确,重症肺炎,呼吸窘迫,感染面积大,入院给予美罗培南0.5 g,每8小时1次静脉滴注,甲基泼尼松龙40 mg、喘定0.5 g静脉滴注,持续无创呼吸机辅助通气治疗,辅以化痰、护胃等治疗。患者静息状态下无明显喘憋症状,无发热,无明显咳嗽,咳痰,逐渐给予脱无创呼吸机,继续抗炎治疗,于脱机后4 h、6 h、10 h、34 h、出院前复查血气分析,氧合指数检测分别是179、192、205、277、376,提示患者的限制性通气障功能、弥散功能较前逐渐改善。同时对急诊血常规白细胞14.24×109/L,中性粒细胞0.902,淋巴细胞绝对值0.76×109/L;入科时血常规白细胞16.12×109/L,中性粒细胞0.811,淋巴细胞绝对值2.37×109/L;入科48h血常规白细胞14.38×109/L,中性粒细胞0.839,淋巴细胞绝对值1.95×109/L;入科72h血常规白细胞9.27×109/L,中性粒细胞0.608,淋巴细胞绝对值2.99×109/L出院前血常规白细胞9.31×109/L,中性粒细胞百分数0.630,淋巴细胞绝对值2.76×109/L进行比较,提示感染逐渐减轻,淋巴细胞恢复正常。复查胸CT两肺多发大片状,片状磨玻璃密度影明显减少,两次胸腔积液较前明显吸收(图3,图4)。患者病情改善,于2020年3月3日出院。
新型冠状病毒肺炎(COVID-19)是由2019新型冠状病毒(2019-nCoV)所致的一种新的急性呼吸道传染病,先后蔓延至全国其他地区及海外多个国家,并引起全世界关注[2,3]。随后,中国疾病控制中心宣布将该病纳入国家乙类传染病,采取甲类传染病防控措施[1]。
首先,结合本病例患者否认流行病学,临床信息显得更重要。本例患者入院时病情危重,因喘憋加重伴发热入院,呼吸困难、紫绀、血临床氧饱和度50%,其中最难鉴别的辅助检查,胸部CT显示两肺多发大片磨玻璃样密度影,内有小网格影,弥漫性间质病变,胸腔积液,与新冠肺炎影像学改变类似[4]。新冠肺炎患者典型的CT表现为:早期呈单发或多发的斑片状磨玻璃影,伴有小叶间隔增厚;进展期表现为病灶增多、范围扩大,磨玻璃影与实变影或条索影共存;重症期表现为双肺弥漫性病变,少数呈"白肺"表现,以实变影为主,合并磨玻璃影,多伴条索影以及空气支气管征。疫情期间我们首先结合患者流行病学史、症状、体征、辅助检查,总结本例患者救诊发热门诊时病例特点,符合第五版新型冠状病毒感染的肺炎诊疗方案诊断标准。列入考虑新冠肺炎危重型疑似病例。
本例患者经过连续两次核酸检测阴性(间隔24 h),排除疑似新冠肺炎诊断,同时经无创通气、抗炎、甲泼尼龙静点后症状喘息改善,无发热,复查氧合指数较前好转,脱机时间延长,白细胞中性粒细胞及淋巴细胞绝对值恢复正常治疗有效。复查胸部CT双肺渗出影较前明显吸收,故排除COVID-19诊断。
其次,本例患者是否考虑存在肺水肿。肺水肿的定义为由于某种原因引起肺内组织液的生成和回流平衡失调,使大量组织液在很短时间内不能被肺淋巴和肺静脉系统吸收,从肺毛细血管内外渗,积聚在肺泡、肺间质和细小支气管内,从而造成肺通气与换气功能严重障碍。在临床上表现为极度的呼吸困难,端坐呼吸,发绀,大汗淋漓,阵发性咳嗽伴大量白色或粉红色泡沫痰,双肺布满对称性湿啰音。首先,患者在症状方面存在类似:呼吸困难,端坐呼吸,发绀,但考虑长期有肺纤维化,肺功能储备差,在肺部出现感染后,出现症状加重与感染有关。其次,结合查体心率不快,血压无明显升高,无心衰体征,不支持肺水肿。再次,患者否认冠心病、高血压基础病病史,结合超声,不支持心源性肺水肿。最后,肺水肿胸部影像学:表现两肺肺泡实变影像,小叶间隔均匀光滑增厚,支气管血管束增粗,光滑,胸腔积液,与本患者影像学相比,二者鉴别存在困难,但结合症状、体格检查、病史及治疗过程未给予扩血管利尿干预治疗,患者症状改善,综上所诉因此不支持肺水肿存在。
最后,探讨间质性肺病(interstitial lung disease,ILD)这一病名的提出早在1975年第18届Aspen肺科讨论会时使用了这一名词。ILD是以肺泡壁为主要病变所引起的一组疾病群,是以弥漫性肺实质、肺泡炎和间质纤维化为病理基本改变,以活动性呼吸困难、胸部X线示弥漫阴影、限制性通气障碍、弥散功能(DLCO)降低和低氧血症为临床表现的不同类疾病群构成的临床病理实体的总称。ILD可呈急性、亚急性及慢性经过。急性期以损伤或炎症病变为主,慢性期以纤维化病变为主。肺实质指各级支气管和肺泡结构。肺间质是指肺泡间及终末支气管上皮以外的支持组织,包括血管及淋巴管组织。
间质性肺病有很多不同类型,按病因大致可分为特发性、原发性、免疫性、药物性、理化因素等。本例特点:(1)有多年RA病史10余年的基础,基础的ILD很可能是RA-ILD;(2)现病史:间断咳嗽憋气1年余,加重伴发热3 d入院,体温最高达38℃,痰不易咳出,伴呼吸急促,意识恍惚,胸闷,急诊血氧饱和度50%。支持ILD临床表现。(3)体格检查:口唇紫绀,双肺呼吸音粗,两肺可闻及痰鸣,可闻及Velcro啰音;手指关节变形,可见杵状指趾。(4)辅助检查:结合入院时血气分析、血常规、两次胸部CT及抗核抗体1﹕150,类风湿因子测定242.6 U/ml,同时经治疗后患者症状较前明显改善,因此此次患者症状急性加重可能是由呼吸道感染后导致的RA-ILD的急性加重。
本例患者发病在疫情期间,尤其是大家高度重视危重病例的特殊时刻,患者否认流行病学史,病情危重,在病史、体格检查、辅助检查方面存在与新冠肺炎鉴别疑惑,经过我院宽进、慎排、精治、严出的原则,患者得到及时、准确、恰当的治疗同时排除新冠肺炎疑似病例(危重型)诊断,缓解患者本人家属及医护人员造成很大的困惑和精神压力。在接诊过程中把抢救生命排在第一位,同时做好医护人员的防护工作,给予综合手段救治,减轻症状,改善心肺功能,加快患者康复,以减轻患者心理负担,解除医护人员的心理压力,更好为疫情期间类似病例的诊治奠定基础。





















