
患者,女性,36岁,因"上颌前牙区反复肿胀1年余"入院,口服抗炎药物(具体不详)治疗,肿胀无明显消退,入院前1个月拍片发现上颌骨肿物收住院。患者既往健康,否认高血压、糖尿病病史,否认外伤手术史,家族中无类似病史。
一般情况良好,心、肺、腹检查未见明显异常。专科检查:口腔检查见上颌前牙区肿胀隆起,硬腭正中前部局部隆起,触软,其对应的唇侧略隆起,可触及波动感。鼻腔检查见鼻腔黏膜略充血,右侧鼻底部略隆起。
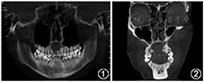
鼻内镜示:鼻腔黏膜略充血,右侧鼻底部略隆起,鼻道通畅,鼻咽部未见明显异常。CBCT示:13-22根尖区见一大小约2.6 cm×1.8 cm的低密度影,边界清,唇腭侧骨壁局部吸收不连续,11、21牙根部分吸收。诊断:鼻腭囊肿。
入院后完善术前常规检查,排除禁忌证后在气管插管全麻下行经鼻内镜右侧鼻底开窗上颌骨肿物开窗术。术中先用彭氏电刀电凝右侧鼻底隆起处黏膜,动力系统磨钻自隆起处前缘磨除鼻底骨质,咬骨钳咬除骨质扩大开窗口,进入囊腔,见大量咖啡色囊液流出,取部分囊壁送病理,彻底清除囊液,生理盐水反复冲洗术腔,膨胀海绵置于鼻底部压迫止血。
术后予以抗炎止血对症等治疗,48 h抽出鼻腔膨胀海绵,检查见鼻底部开窗口开放较好,腔内黏膜水肿。给予鼻腔冲洗及外用鼻喷激素,给予口服促排药物等减轻局部水肿等处理,术后1个月复诊见窗口边缘上皮化良好,患者鼻部症状消失。
耳鼻咽喉科;口腔颌面外科
版权归中华医学会所有。本文为遵循CC-BY-NC-ND协议的开放获取文章。
鼻腔鼻窦与口腔的解剖关系密切,相关疾病相互影响,近年来由于鼻内镜技术的快速发展,我们采用鼻内镜下鼻底开窗治疗1例鼻腭囊肿患者,手术视野好,创伤小,操作简单,术后恢复快,不影响患者进食等优点,取得了良好的临床效果,报道如下。
患者,女性,36岁,反复上颌前牙区肿胀疼痛1年,自服抗炎药物治疗(剂量不详),肿胀无明显消退,曾于当地医院拍摄CT示上颌骨肿物,未予处理。入院后拍摄CBCT示:13-22根尖区见大小约2.6 cm×1.8 cm大小的低密度影(图1, 图2)。患者既往健康,否认高血压、糖尿病病史,家族成员中否认类似病史。


口腔检查:上颌前牙区肿胀隆起,硬腭正中前部局部隆起,触软,其对应的唇侧略隆起,触之软感(图3)。前鼻镜检查:鼻腔黏膜略充血,右侧鼻底部略隆起。鼻内镜示:鼻黏膜充血,右侧前部鼻底部略隆起,鼻道通畅,鼻咽部未见明显异常。诊断:鼻腭囊肿。


入院后完善术前常规检查后,于2020年7月10日在全身麻醉下行鼻内镜右侧鼻底开窗上颌骨肿物开窗术。术中先用彭氏电刀电凝右侧鼻底隆起处至黏膜发白,以减少术中出血,动力系统磨钻自隆起处前缘磨除鼻底骨质,咬骨钳及反咬钳咬除鼻底骨质扩大开窗口,进入囊腔,见大量咖啡色囊液流出,予以清理、止血,取部分囊壁送病理,彻底清除囊液,剩余上颌骨内囊壁予以保留。生理盐水反复冲洗术腔,彭氏电刀电凝开窗口边缘组织,膨胀海绵置于鼻底部压迫止血。手术顺利,术后予以抗感染等药物治疗,48 h抽出鼻腔膨胀海绵,检查见鼻底部开窗口开放较好,腔内黏膜水肿,术后病理结果回报:根尖囊肿。术后5 d患者康复出院。
术后1个月复诊,鼻内镜下见开窗边缘上皮化良好,囊腔内小许分泌物(图4)。
鼻腔与口腔解剖关系临近,二者以硬腭为界,在胚胎发育过程中,鼻部和口腔不同头部原基和突起连接融合过程中发生的异常可导致鼻口交界区域产生不同类型的疾病,最常见的是各种囊肿[1]。根据组织来源和发病部位可分为牙源性与非牙源性两大类,牙源性囊肿包括含牙囊肿、根尖囊肿和始基囊肿;非牙源性囊肿包括球上颌囊肿、鼻腭囊肿、正中囊肿、鼻唇囊肿等,本例属于鼻腭囊肿。
口腔颌面部囊肿的发病率较高,随着科学技术的进步,鼻口腔相关疾病的治疗方法也在逐渐变化[2]。传统的治疗方法复发率较高,经口进路(腭部进路或唇龈沟进路)手术方式创伤较大,具有易损伤牙槽神经、影响进食、术后恢复时间长等缺点[3],也会导致术后发生面部肿胀、口唇麻木等,更易形成瘘管。
经鼻内镜下进行鼻口腔相关囊肿的开窗手术,最早施行于80年代后期,张庆泉等[4]在对1例腭正中囊肿手术探查鼻底时鼻底黏膜破裂,囊液流出,随即切除了鼻底隆起黏膜,形成鼻内开窗,术后效果良好。这种手术方式成为了鼻内镜进路鼻内开窗引流的雏形。后来随着鼻内镜技术的快速发展,经鼻微创引流手术越来越受到业内专家学者的青睐,此类手术也逐渐增多和扩展,逐渐从鼻腭囊肿涉及到腭正中囊肿、上颌骨含牙囊肿、鼻前庭囊肿等[5]。
鼻腭囊肿,也称切牙管囊肿,主要发生在鼻腭管的腭侧,该病变起源于切牙管内成对的胚胎鼻腭管上皮剩余,感染或外伤可能为囊肿形成的原因。男性发病率明显高于女性,30~50岁见最为多见[6]。病变若向鼻底两侧发展,表现为鼻底隆起;亦可向腭部发展,表现为腭侧隆起,鼻底略有隆起。鼻底隆起严重时可以有鼻塞,局部胀闷感。CT检查可以确诊。
经鼻内镜鼻腔开窗引流术治疗鼻腭囊肿,与传统手术相比,有视野清晰、手术简单、不影响进食等优点。经鼻内镜下仅切除鼻内隆起的部分,可最大限度地保留囊内壁,术后恢复快,降低了感染风险。引流口在鼻底,受鼻呼吸气流影响很小,基本上没有痂皮,有时可见鼻腔分泌物存留,可随体位的变化自然排出;由于没有唇龈沟或腭侧切口,不仅进食不受影响,也可减少切口处黏膜感觉神经受损而导致的各种感觉异常[7]。
随着鼻内镜技术的发展,经过临床手术认证,鼻内镜鼻底开窗术具有手术创伤小,术后恢复快,且不影响患者进食等优点,越来越被临床推广。
所有作者均声明不存在利益冲突
























