
患者,女性,43岁。主因"消瘦5个月余,皮肤巩膜黄染1个月"收住院。
患者入院5个月余前无明显诱因出现消瘦,外院查肝功能:丙氨酸氨基转移酶(ALT)189 U/L,天冬氨酸氨基转移酶(AST)351 U/L,总胆红素(TBIL)44.9 μmol/L,直接胆红素(DBIL)28.6 μmol/L,碱性磷酸酶(ALP)241 U/L,γ-谷氨酰基转移酶(GGT)290 U/L;甲状腺功能:促甲状腺素(TSH)0.01 μIU/ml, T3 14.7 nmol/L, T4 726.96 nmol/L,当地医院诊断"甲状腺功能亢进症,肝损害",给予口服甲巯咪唑片10 mg 3次/d、水飞蓟宾胶囊75 mg 3次/d治疗。服药7 d后,患者逐渐出现腹胀、乏力、双下肢水肿。停用甲巯咪唑片,并予以保肝药物对症治疗,上述症状加重,并出现寒战、发热,体温最高39 ℃,伴胸闷、气短,遂急诊转入院。体格检查:肝病面容,全身皮肤黏膜黄染,巩膜明显黄染,右下肺未闻及呼吸音,腹部膨隆,腹壁凹陷性水肿,右上腹压痛阳性,移动性浊音阳性,双下肢重度凹陷性水肿。
入院后查肝功能:TBIL 201.7 μmol/L;凝血功能检测:国际标准化比值(INR )1.97,凝血酶原活动度(PTA)30.2% ;甲状腺功能:TSH 0.01 μIU/ml, T3 1.06 nmol/L, T4 70.29 nmol/L。胸部X线片提示肺部感染,尿涂片见真菌孢子。排除嗜肝病毒、非嗜肝病毒感染、胆道梗阻等原因,根据药物性肝损伤(DILI)的诊断评估RUCAM量表评分为7分,考虑诊断亚急性肝衰竭多系药物性肝损害。
给予卧床休息、口腔护理、外阴清洁、呼吸锻炼、保肝、利尿、头孢噻肟及奥硝唑抗感染、输注新鲜血浆及冷沉淀凝血因子、补蛋白及人纤维蛋白原等治疗,行右侧胸腔穿刺引流胸水缓解胸闷气短症状,并联合人工肝支持治疗,实验室指标缓解不明显。考虑药物性肝衰竭后,立即予以甲泼尼龙琥珀酸钠静滴,根据药敏结果调整抗生素为万古霉素,根据血栓弹力图结果使用升血小板药物以纠正血凝后,病情逐渐好转。后激素改为醋酸泼尼松片口服30 mg/d (每周减1片),带药出院,定期随访。
出院后7个月随访,病情平稳,肝功、凝血功能检测均呈好转趋势,但自身抗体:ANA 1∶1 000阳性,免疫球蛋白系列IgG 36.9 g/L。行肝脏穿刺活检,病理结果为:慢性肝炎伴结节性肝硬化及活动炎(G3S4),考虑药物/毒物致病因素,未见自身免疫性肝炎证据。故考虑为自身免疫性肝炎样DILI,长期随访。
消化内科;内分泌科;重症医学科
版权归中华医学会所有。本文为遵循CC-BY-NC-ND协议的开放获取文章。
甲状腺功能亢进症(简称甲亢)是由甲状腺素分泌过多引起的临床综合征,可累及全身各个系统。肝损害是甲亢常见的并发症,可引起肝脏肿大、肝功能异常,甚至发生黄疸、肝硬化等[1]。甲巯咪唑是目前临床上治疗甲亢的一线药物,其作用机制为抑制甲状腺过氧化物酶,阻止碘离子氧化、酪氨酸磺化、碘化酪氨酸的偶联,从而抑制甲状腺激素的生物合成。但甲巯咪唑同时存在造血系统损害、药物性再生障碍性贫血、药物性肝损害、过敏反应、嗅觉系统损害、肾病综合征与支气管哮喘等不良反应[2]。现报道1例因甲亢服甲巯咪唑致药物性亚急性肝衰竭患者的诊治过程。
患者,女性,43岁。主因消瘦5个月余,皮肤巩膜黄染1个月,于2020年6月11日收住我院消化内科。患者入院5个月余前无明显诱因出现消瘦,体重逐渐减少11 kg,无纳差、乏力等不适,起初未重视及就诊。入院1个月前因皮肤巩膜黄染就诊于外院查肝功能:丙氨酸氨基转移酶(ALT)189 U/L,天冬氨酸氨基转移酶(AST)351 U/L,总胆红素(TBIL)44.9 μmol/L,直接胆红素(DBIL)28.6 μmol/L,碱性磷酸酶(ALP)241 U/L,γ-谷氨酰基转移酶(GGT)290 U/L,白蛋白(ALB)27.6 g/L;血常规:血红蛋白(HGB)108 g/L,血小板(PLT)56×109/L;甲状腺功能:促甲状腺素TSH 0.01 μIU/ml, T3 14.7 nmol/L, T4 726.96 nmol/L,当地医院诊断"甲状腺功能亢进症,肝损害",给予口服甲巯咪唑片10 mg 3次/d、水飞蓟宾胶囊75 mg 3次/d治疗。服药7 d后,患者逐渐出现腹胀、乏力、双下肢水肿。就诊当地省医院,查肝功能:ALT 309 U/L,AST 745 U/L,TBIL 48.1 μmol/L,DBIL 30.6 μmol/L,ALP 369 U/L,GGT 256 U/L,ALB 23.9 g/L。腹部超声:胆囊结石、慢性胆囊炎,胃镜:慢性萎缩性胃炎,遂停用甲巯咪唑,并给予保肝药物对症治疗,患者上述症状加重,并出现寒战、发热、体温最高39 ℃,伴胸闷、气短,遂急诊转入我院。
入院后查肝功能:TBIL 201.7 μmol/L;凝血功能检测:INR1.97,凝血酶原活动度(PTA)30.2%,纤维蛋白原含量(FIB)0.37 g/L;血常规:HGB 76 g/L,PLT 46×109/L,自身抗体:ANA1∶1000阳性,免疫球蛋白G(IgG)22.4 g/L;尿常规:尿细菌18 485.4/μl;甲状腺功能:TSH 0.01 μIU/ml,T3 1.06 nmol/L, T4 70.29 nmol/L。嗜肝病毒及非嗜肝病毒指标均阴性。胸腹部超声:急性肝损害、胆囊结石、右侧大量胸腔积液、大量腹腔积液;胸部CT:右侧大量胸腔积液,双肺下叶炎症;MRCP:肝内外胆管未见扩张。既往体健。体格检查:肝病面容,全身皮肤黏膜重度黄染,巩膜明显黄染,右下肺未闻及呼吸音,腹部膨隆,腹壁凹陷性水肿,右上腹压痛阳性,移动性浊音阳性,双下肢重度凹陷性水肿。
给予卧床休息、口腔护理、外阴清洁、呼吸锻炼、保肝、补白蛋白、利尿、头孢噻肟及奥硝唑抗感染、输注新鲜血浆、冷沉淀凝血因子及补充人纤维蛋白原改善血凝等,行右侧胸腔穿刺置管引流胸水,并行人工肝支持治疗,肝功能示胆红素下降不明显,血凝进一步变差。请内分泌科会诊,考虑甲亢诊断明确,建议监测甲状腺功能,待肝功能好转后行碘-131治疗。排除嗜肝病毒及非嗜肝病毒感染,自身免疫性肝炎证据不足,根据药物性肝损伤(DILI)的诊断评估RUCAM量表的评分为7分,提示很可能为药物性肝损害,R值0.59提示胆汁淤积型肝损害,考虑肝衰竭与甲巯咪唑的肝脏毒性有关。
诊断:1.亚急性肝衰竭中期药物性肝炎;2.甲状腺功能亢进症;3.肺部感染;4.泌尿系感染;5.胆囊结石。
予以甲泼尼龙琥珀酸钠静滴。行血栓弹力图提示血凝差,主要为血小板功能差,予以重组人血小板生成素升血小板。尿培养见屎肠球菌,尿涂片见真菌孢子,根据药敏结果使用万古霉素、氟康唑等抗感染治疗。随后患者精神食欲较前明显好转,监测肝功示胆红素呈下降趋势,血凝提示PTA较前上升。入院第13天后体重由入院时68.7 kg降至55.0 kg,体格检查双肺呼吸音清,腹部平坦,腹部无压痛、反跳痛,水肿消退。复查肝功能:TBIL 124.0 μmol /L;凝血功能检测:INR 1.58,PTA 44.9%;血常规:PLT 175×109/L;甲状腺功能:TSH 0.01 μIU/ml,T3 0.9 nmol/L。停用氟康唑、更昔洛韦,继续静脉使用激素14 d后,改为醋酸泼尼松片口服30 mg/d(每周减1片),带药出院。
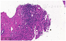
出院后4周、2个月、5个月、7个月复查(表1,表2,表3),肝功示胆红素逐渐下降至正常水平,凝血功能检测基本恢复正常,但复查自身抗体ANA滴度未降低,IgG仍高于1.1倍正常上限,甲状腺功能逐渐恢复正常。考虑自身免疫性肝炎不除外,故住院行肝脏穿刺活检,病理示慢性肝炎伴结节性肝硬化及活动炎(G3S4),HE染色见大量浆细胞、淋巴细胞浸润(图1),考虑药物/毒物致病因素,未见自身免疫性肝炎证据。继续予以口服扶正化瘀胶囊、醋酸泼尼松片10 mg/d维持治疗,定期随访。

患者肝功能情况
患者肝功能情况
| 时间 | ALT(7~40 U/L) | AST(13~35 U/L) | TBIL(3.4~20.5 μmol/L) | DBIL(0~6.8 μmol/L)) | ALB(40~55 g/L) |
|---|---|---|---|---|---|
| 2020/5/6 | 189 | 351 | 44.9 | 28.6 | 27.7 |
| 2020/5/20 | 307 | 745 | 48.1 | 30.6 | 23.9 |
| 2020/6/5 | 35 | 400 | 201.7 | 165.5 | 23.6 |
| 2020/6/11 | 14 | 141 | 228.2 | 175.4 | 28.1 |
| 2020/6/16 | 19 | 141 | 200.9 | 143.1 | 32.8 |
| 2020/6/19 | 25 | 78 | 133.9 | 108.9 | 37.3 |
| 2020/6/23 | 35 | 56 | 147.1 | 92.3 | 39.6 |
| 2020/6/26 | 45 | 53 | 140.1 | 112.8 | 48.1 |
| 2020/7/24 | 121 | 268 | 74.2 | 52.9 | 30.8 |
| 2020/9/2 | 45 | 342 | 32.3 | 22.6 | 22.3 |
| 2020/11/9 | 30 | 120 | 18.9 | 8.4 | 29.4 |
| 2020/12/20 | 40 | 112 | 10.4 | 4.4 | 30.5 |
| 2021/3/2 | 70 | 150 | 9.7 | 3.8 | 33.3 |
注:ALT:丙氨酸氨基转移酶;AST:天冬氨酸氨基转移酶;TBIL:总胆红素;DBIL:直接胆红素;ALB:白蛋白

患者肝功能、血凝、血小板情况
患者肝功能、血凝、血小板情况
| 时间 | ALP(35~100 U/L) | GGT(7~45 U/L) | PTA(70%~130%) | PLT(125~350×109/L) |
|---|---|---|---|---|
| 2020/5/6 | 241 | 290 | 69.1 | 56 |
| 2020/5/20 | 369 | 256 | 65.6 | 98 |
| 2020/6/5 | 149 | 98 | 30.2 | 77 |
| 2020/6/11 | 159 | 91 | 25.3 | 46 |
| 2020/6/16 | 122 | 74 | 24.5 | 42 |
| 2020/6/19 | 153 | 81 | 25.2 | 70 |
| 2020/6/23 | 134 | 69 | 32.6 | 55 |
| 2020/6/26 | 191 | 67 | 36 | 107 |
| 2020/7/24 | 202 | 91 | 58.9 | 59 |
| 2020/9/2 | 261 | 98 | 61.4 | 52 |
| 2020/11/9 | 221 | 60 | 67.7 | 95 |
| 2020/12/20 | 227 | 48 | 71.9 | 104 |
| 2021/3/2 | 166 | 41 | 84 | 110 |
注:ALP:碱性磷酸酶;GGT:γ-谷氨酰基转移酶;PTA:凝血酶原活动度;PLT:血小板

患者甲状腺功能变化情况
患者甲状腺功能变化情况
| 时间 | TSH(0.27~4.2)μIU/ml | T3(1.2~3.1)nmol/L | T4(66~181)nmol/L |
|---|---|---|---|
| 2020/5/6 | 0 | 14.46 | 726.96 |
| 2020/5/13 | 0 | 12.77 | 725.92 |
| 2020/5/20 | 0 | 7.87 | 251.5 |
| 2020/6/11 | 0.01 | 2.04 | 158.1 |
| 2020/6/19 | 0.01 | 1.06 | 70.29 |
| 2020/6/26 | 0.01 | 0.9 | 73.44 |
| 2020/7/24 | 0.01 | 1.14 | 60.61 |
| 2020/9/2 | 0.01 | 1.38 | 85.64 |
| 2020/11/9 | 0.51 | 1.47 | 64.01 |
| 2020/12/20 | 1.76 | 1.52 | 49.9 |
| 2020/3/2 | 1.49 | 1.28 | 50.09 |
注:TSH:促甲状腺素


总结该患者病例特点:1.中年女性,亚急性起病,病程5个月余,进展迅速,入院病情重;2.典型甲亢症状,甲亢指标均大于实验室最大值,有明确的抗甲亢药物甲巯咪唑用药史;3.肝功能损害进行性加重,达到亚急性肝功能衰竭诊断标准;4.合并肺部、泌尿系感染;5.并发大量胸水、腹水,全身水肿明显。
中华医学会2018年《肝衰竭诊治指南》[2]中亚急性肝功能衰竭的临床诊断标准:起病较急,2~ 26周出现以下表现者:①极度乏力,有明显的消化道症状;②黄疸迅速加深,血清TBIL≥10×ULN或每天上升≥17.1 μmol/L;③伴或不伴肝性脑病;④有出血表现,PTA≤40%(或INR≥1.5 )并排除其他原因者。本例患者排除病毒性肝病、酒精性肝病、非酒精性肝病、胆汁淤积性疾病、遗传代谢性疾病、血管闭塞性疾病等相关肝病证据,入院时达到亚急性肝功能衰竭诊断标准。对亚急性肝衰竭患者,在保肝、抗感染、补充足量白蛋白等治疗基础上,及时放胸水改善胸闷、气短症状,联合人工肝支持治疗,以清除血液中肌酐、尿素氮、氨、胆红素、甲状腺激素等,并清除自身免疫性疾病的病因如TRAb及免疫复合物,减轻甲状腺毒症对肝脏的损害。肝衰竭合并感染,尤其是二重感染、上消化道出血、肝性脑病、肝肾综合征,病情更加凶险[3]。该患者合并肺部感染、泌尿系感染,虽经上述治疗,肝功及血凝仍无明显改善。
服用甲亢药物(甲巯咪唑、丙硫氧嘧啶等)所致肝损害需要与甲亢性肝损害相鉴别。甲亢疾病可累及全身多个器官,以心血管、神经系统多见,也可累及肝脏,造成肝损害[2]。甲巯咪唑是治疗甲亢的常用药物,肝损害是该药常见不良反应之一。抗甲状腺药物所致肝功能损害的发病机制与患者年龄、性别、抗甲状腺药物治疗时间等因素有关[4,5],也可能与机体异质性有关,免疫介导肝细胞损伤或变态反应也参与药物性肝损害。故对于甲亢患者肝功能已提示有损害的,应慎重选择如甲巯咪唑等有肝损害的抗甲亢药物。本例患者在确诊甲亢时合并肝损害,服用甲巯咪唑后甲状腺功能逐渐缓解,但肝功能迅速恶化。据中华医学会肝病学分会《药物性肝损伤诊治指南》[6],药物性肝损伤(DILI)的诊断评估RUCAM量表的评分为7分,提示很可能为药物性肝损害,R值0.59提示胆汁淤积型肝损害,故考虑为药物性亚急性肝衰竭,予以糖皮质激素治疗。激素治疗的作用为[7]:抑制外周T4向T3转化;减少甲状腺激素对肝脏的直接损伤;抑制自身免疫,缓解免疫损伤;在肝衰竭早期阶段,通过降低机体过强免疫保护肝细胞等作用。同时根据尿培养药敏结果,及时改用万古霉素+氟康唑抗感染;根据血栓弹力图结果使用升血小板药物以纠正凝血等措施,在治疗过程中也发挥重要辅助作用。
本例患者发病前肝功能正常,入院后查自身抗体抗核抗体阳性、IgG升高,在随访过程中抗核抗体持续阳性,IgG水平仍高。临床上,自身免疫性肝炎(AIH)基础上发生的DILI、药物诱导的AIH、伴有自身免疫特征的AIH样DILI常难以鉴别[8]。AIH基础上发生的DILI是已知患有AIH,合并用药后加重肝损害,组织学常有纤维化;药物诱导的AIH是无已知的AIH或AIH危险因素,AIH由DILI诱发或激发,对激素应答良好,激素停药后复发,需长期免疫抑制治疗;伴有自身免疫特征的AIH样DILI的临床、生化和组织学表现类似于AIH,嗜酸性细胞和皮疹多见,常无明显纤维化,对激素应答良好,停激素后持续缓解。本例患者最终行肝脏穿刺活检病理,提示药物毒物所致,未提示自身免疫性肝病证据,除外了AIH诊断,多系伴有自身免疫特征的AIH样DILI。
综上所述,对甲亢患者肝功能已提示有损害的,应慎重选择如甲巯咪唑等有肝损害的抗甲亢药物,因其可能进一步加重病情,导致临床治疗困难。研究显示[9],对甲亢肝损害患者,建议选择碘-131治疗,但治疗时机仍是目前临床工作的难题,个体化治疗十分重要。本例患者入院病情重,并发症多,治疗难度大,但经过上述积极处理,成功挽救了患者生命。患者自身抗体、免疫球蛋白异常,虽肝脏穿刺病理排除自身免疫性肝炎,但仍需长期随访。
所有作者均声明不存在利益冲突





















