
患者,男性,47岁,主因"反复发热伴头痛2年余,再发1周"入院。自行口服感冒药物治疗,症状无明显缓解。患者既往无明显诱因出现发热伴头痛2次,于当地医院完善腰穿等检查,考虑为"病毒性脑炎",予以抗病毒治疗后患者症状改善理想出院。既往否认高血压、糖尿病、冠心病病史,无家族遗传病史。
一般情况良好,心、肺、腹检查未见明显异常。专科体格检查阳性体征:精神差,神情淡漠,反应迟钝,言语缓慢清晰。颈抵抗,颌下三横指。
头颅增强核磁可见双侧软脑膜略有增强。脑脊液压力260 mmH2O(1 mmH2O=0.098 kPa),蛋白1.29 g/L,糖和氯化物正常,细胞数50×106/L(单核比例98%),细胞学检查提示淋巴细胞比例增高,送检中枢神经系统感染病原微生物高通量基因检测、自身免疫性脑炎、MOG抗体、副肿瘤综合征抗体、寡克隆带、抗酸杆菌涂片、阿利新蓝染色、脑脊液病毒学均为阴性。风湿免疫性抗体中可见ANA阳性,滴度1∶100,颗粒+浆粒型,抗dsDNA IgG型25.9(<20)U/ml,抗SSA IgG型(+),抗Ro-52 IgG型(++),抗线粒体抗体2型IgG型(+++),抗M2-3E(BPO)IgG型(+++)。腮腺核素造影提示双侧腮腺及双侧颌下腺功能正常,唇腺活体组织检查提示间质内见3处淋巴细胞浸润灶,其中1灶淋巴细胞数目>50个/灶。眼干三项滤纸试验右眼9 mm,左眼4 mm,角膜荧光染色双侧阳性,泪膜破裂时间右侧5 s,左侧4 s。请风湿免疫科会诊后确诊为干燥综合征相关脑膜炎。
确诊后立即开始给予患者口服甲泼尼龙、白芍总苷胶囊和硫酸羟基氯喹,患者治疗的第4天,头痛发热症状明显好转。
复查腰穿压力180 mmH2O,细胞数下降至14×106/L。4个月后随访患者未再出现发热及头痛症状,复查红细胞沉降率、ANA、抗dsDNA、抗SSA、抗Ro-52、抗线粒体抗体和抗M2-3E均已转为阴性。
神经科;风湿免疫科
版权归中华医学会所有。本文为遵循CC-BY-NC-ND协议的开放获取文章。
原发性干燥综合征(primary Sjogren′s syndrome, PSS)是一种全身性自身免疫性疾病,主要影响外分泌腺体(如泪腺和唾液腺),最终导致眼干、口干等症状[1]。神经系统受累在PSS中并不常见,约占PSS的2%~15%[2],可出现有不同程度的神经系统受累症状。无菌性脑膜炎是PSS较为罕见的首发症状,现将我科近期收治的一例以复发性无菌性脑膜炎为首发症状的干燥综合征患者报道如下。
患者,男性,47岁,工人。主因"反复发热伴头痛2年余,再发1周"于2020年12月3日就诊于新疆维吾尔自治区人民医院。患者既往分别于2018年6月和2019年6月无明显诱因出现发热伴头痛,当地医院完善腰穿等检查,考虑为"病毒性脑炎",予以抗病毒治疗后患者症状改善理想出院(具体腰穿检查结果见表1)。

脑脊液对比分析
脑脊液对比分析
| 时间(年-月-日) | 2018-6-18 | 2018-6-30 | 2019-6-11 | 2019-6-17 | 2020-12-2 | 2020-12-4 | 2020-12-10 | 2020-12-22 | 2021-1-4 |
|---|---|---|---|---|---|---|---|---|---|
| 项目 | |||||||||
| 压力(mmH2O) | 300 | 不详 | 300 | 不详 | 不详 | 330 | 260 | 230 | 180 |
| 外观 | 无色透明 | 无色透明 | 无色透明 | 无色透明 | 无色透明 | 无色透明 | 无色透明 | 无色透明 | 无色透明 |
| 潘氏 | + | + | + | + | + | + | + | + | + |
| 细胞数(×106/L) | 120 | 80 | 43 | 31 | 28 | 50 | 48 | 27 | 14 |
| 白细胞(×106/L) | 120 | 80 | 43 | 31 | 28 | 50 | 48 | 27 | 14 |
| 细胞比例 | 不详 | 不详 | 91.2%单核细胞 | ||||||
| 8.8%多核细胞 | 不详 | 89.8%单核细胞 | |||||||
| 10.2%多核细胞 | 98%单核细胞 | ||||||||
| 2%多核细胞 | 97.9%单核细胞 | ||||||||
| 2.1%多核细胞 | 96.3%单核细胞 | ||||||||
| 3.7%多核细胞 | 100%单核细胞 | ||||||||
| 0%多核细胞 | |||||||||
| 蛋白(g/L) | 不详 | 不详 | 0.25 | 0.19 | 0.5 | 1.29 | 0.45 | 0.38 | 0.34 |
| 糖(mmol/L) | 不详 | 不详 | 3.38 | 3.95 | 3.12 | 2.74 | 3.31 | 3.09 | 3.40 |
| 氯化物(mmol/L) | 不详 | 不详 | 115.81 | 123.04 | 119.73 | 114.30 | 121.30 | 121.70 | 118.10 |
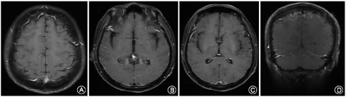
2020年11月25日患者劳累后出现睡眠障碍,伴有轻度头痛。11月26日起患者无明显诱因出现发热,体温38.5 ℃,自行服用连花清瘟胶囊效果不理想。11月27日早晨体温升至39.3 ℃,口服布洛芬胶囊后体温可下降,但仍有间断发热,故就诊于当地医院,完善腰穿脑脊液压力300 mmH2O,蛋白0.5 g/L,糖和氯化物正常,细胞数28×106/L(单核比例89.8%),具体腰穿检查结果见表1。予以脱水、抗感染和抗病毒治疗后,患者仍有发热伴头痛,故于12月3日转入我院,入住急诊科。病程中否认意识不清、四肢抽搐、精神异常、口干、眼干、关节痛、脱发、口腔溃疡、异常皮疹等症状。入院体检:体温37.1 ℃,脉搏73次/min,呼吸22次/min,血压139/90 mmHg(1 mmHg=0.133 kPa),双肺呼吸音粗,左肺可闻及湿性啰音,心率73次/min,律齐,未闻及杂音。腹软,无压痛及反跳痛,肝脾未触及,肾区无叩痛,双下肢无水肿。专科体格检查:神志清楚,精神差,情绪淡漠,反应迟钝,言语缓慢清晰。颈抵抗,颌下三横指,克氏征阴性,布氏征可疑阳性。双侧额纹对称,双眼活动度可,未见眼震。双瞳等大等圆,对光反射灵敏。双侧鼻唇沟对称,嘴角无明显歪斜,伸舌居中。四肢肌张力可,肌力Ⅴ级。感觉系统未见明显异常,双侧共济运动稳准,双侧腱反射对称,双侧病理征未引出。辅助检查:血常规、肝肾功、血清离子、凝血功能及传染病未见明显异常。增强头颅核磁可见双侧软脑膜略有增强(图1)。急诊科考虑为"颅内感染",予以阿昔洛韦0.25 g 1次/12 h抗病毒治疗、左氧氟沙星0.5 g 1次/d及甘露醇125 ml 1次/8 h脱水治疗。


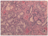
12月4日患者转入神经内科监护室,再次复查腰穿脑脊液压力260 mmH2O,蛋白1.29 g/L,糖和氯化物正常,细胞数50×106/L(单核比例98%),具体腰穿检查结果见表1,细胞学检查提示淋巴细胞反应,送检中枢神经系统感染病原微生物高通量基因检测、自身免疫性脑炎、MOG抗体、副肿瘤综合征抗体、寡克隆带、抗酸杆菌涂片、阿利新蓝染色均为阴性。血清病毒学中EB病毒衣壳抗原IgM(62 U/ml)、单纯疱疹病毒Ⅰ型IgG、巨细胞病毒IgG、EB病毒衣壳抗原IgG和肺炎衣原体IgG均为阳性,脑脊液病毒学抗体均为阴性。完善头颅静脉窦核磁成像未见明显异常,红细胞沉降率70 mm/h,肿瘤标志物、甲功、糖化血红蛋白等均未见明显异常,风湿免疫性抗体中可见ANA阳性,滴度1∶100,颗粒+浆粒型,抗dsDNA IgG型25.9(<20)U/ml,抗SSA IgG型(+),抗Ro-52 IgG型(++),抗线粒体抗体2型IgG型(+++),抗M2-3E(BPO)IgG型(+++)。经风湿免疫科建议后行腮腺同位素造影提示双侧腮腺及双侧颌下腺功能正常,唇腺活体组织检查提示间质内见3处淋巴细胞浸润灶,其中1灶淋巴细胞数目大于50个/灶(图2)。眼干三项滤纸试验右眼9 mm,左眼4 mm,角膜荧光染色双侧阳性,泪膜破裂时间右侧5 s,左侧4 s。诊断考虑干燥综合征相关的脑膜脑炎,治疗于2020年12月22日开始给予甲泼尼龙48 mg/d,白芍总苷胶囊0.6 g/次,2次/d,硫酸羟基氯喹200 mg/次,1次/d。患者治疗的第4天,患者头痛发热症状明显好转。2021年1月4日复查腰穿压力180 mmH2O,细胞数下降至14×106/L。2021年1月6日出院,出院后患者继续口服甲泼尼龙48 mg/d,计划每2周减半量,其余药物剂量同前。2021年4月随访患者未再出现发热及头痛症状,已恢复正常生活,复查红细胞沉降率9 mm/h,ANA阴性,滴度<1∶10,抗dsDNA IgG型、抗SSA IgG型、抗Ro-52 IgG型、抗线粒体抗体2型IgG型和抗M2-3E(BPO)IgG型均已转为阴性。


神经系统症状可发生在18%~45%的PSS患者中,与中枢神经系统和自主神经系统相比,周围神经系统是最常见的受累部位[3],中枢神经系统受累甚少[2,4]。中枢神经系统受累的症状主要包括脑血管病、认知功能障碍、头痛、脑病(精神症状和癫痫发作等)和无菌性脑膜炎等[5]。本例患者以复发性脑膜炎为首要症状起病,在全球范围内较为罕见,除了少数国外学者报道[6,7,8],国内仅有上海华山医院唐宇平教授报道的1例[9]。患者主要以反复发热伴头痛起病,曾多次误诊为病毒性脑炎。此次发病后结合脑脊液检查,可除外其他感染性疾病及脱髓鞘疾病。根据2016年正式发表的欧洲抗风湿病联盟(EULAR)-ACR分类标准[10],明确诊断为PSS。
早在1980年代就已有PSS中脑膜脑炎表现的报道,其占有中央神经系统受累的PSS约20%[11]。和其他自身免疫性疾病相比较,PSS的临床特征不明显。一些回顾性研究表明,亚洲国家患有PSS的患者很少出现干燥症状[12,13]。印度学者曾对332例PSS患者进行队列研究,发现只有1例患者表现为无菌性脑膜炎,并反复发作[13]。而在北京协和医院与河南省人民医院的联合报道中发现,PSS患者甚至可以合并自身免疫性脑炎[14]。因此,在神经系统表现突出的患者中,神经科医师往往可能会忽视PSS的表现,导致忽视了罕见的PSS的中枢神经系统表现,尤其是脑膜脑炎。
脑膜脑炎确实是PSS较为罕见的中枢神经系统表现,但其具体发病机制仍不清楚。本例患者血清病毒抗体中可见抗EB病毒(Epstein-Barr virus,EBV)IgM呈阳性,虽然患者脑脊液中高通量测序呈阴性,仍不能完全除外有无病毒感染的可能性。有学者认为,病毒感染尤其是EBV,在环境因素中占有突出地位,通过引起上皮损伤和刺激先天性和适应性免疫系统来触发PSS的发展[15]。近年有研究表示PSS患者的血清中抗EBV抗体的水平也显着增加[16]。Kivity等[17]发现,产生抗Ro自身抗体(特别是Ro-52亚基)的血浆B细胞与抗EBV的感染和刺激有关。抗EBV早期抗原与自身抗体如抗Ro抗体的产生相关。
在厦门大学的一项研究中发现,与无神经系统受累的PSS患者相比,具有中枢神经系统病变的PSS患者抗SSA抗体的滴度明显更高,而抗SSB抗体滴度更低[4]。Akiyama等[6]收集整理了19例无菌性脑膜炎诊断在前的PSS患者,有8例(42%)并没有干眼或口干表现,5例(26%)确诊PSS的诊断延迟了0.75~3年。但至少89%(17/19)的病例具有抗Ro/SSA抗体。因此,对于病因不明的无菌性脑膜炎病例,抗SSA抗体可能参与PSS在中枢神经系统的发病过程[18,19],但以上机制尚未得到明确的研究。
但在PSS患者中,血清抗SSA自身抗体的致病性和中枢神经系统受累程度之间的关系仍有争议。有学者发现,血清抗SSA滴度与神经系统受累程度之间无相关性[20]。但在另一项累及中枢神经系统的PSS患者研究中,血清抗SSA自身抗体阳性与中枢神经系统严重程度和小血管血管炎的迹象有关[21]。同时也有学者在活检中发现,单核细胞炎性浸润在脑部的小血管中[18]。这也提示了继发于血管炎的病理机制可能导致了无菌性脑膜脑炎。
本例PSS患者以无菌性脑膜炎为首发症状,虽有头痛、发热等急性脑膜炎的特征,但却没有典型的眼干、口干等干燥综合征的典型症状。综上所述,PSS相关的无菌性脑膜脑炎通常在PSS诊断之前就已开始,为了防止PSS诊断延迟,建议在不明原因的无菌性脑膜脑炎筛查中,常规进行抗Ro/SSA抗体和对自身免疫特征(包括眼干、口干等)进行系统评估,由此可以尽快进行早期诊断。而针对表现为无菌性脑膜脑炎的PSS具体相关病理机制尚需深入研究,抗SSA抗体可能会是PSS患者中枢神经系统表现的生物标志物。
所有作者均声明本研究不存在利益冲突





















