
患儿,男性,现4岁2月龄,因"运动发育落后3年余,反复呕吐、腹痛7 d"为主诉就诊当地医院。
发病前生长及运动发育迟缓,智力基本同正常同龄儿。因"呕吐、腹痛7 d"起病,之后出现意识障碍、呼吸衰竭、休克,无惊厥发作。头围47 cm(<2 SD),身高98 cm(-1.85 SD),体重12 kg(<3 SD),发育迟缓;面容无特殊,嗜睡伴阵发性烦躁,哭闹时头后仰,竖头不稳,松软儿状态;颅神经检查无异常;脑膜刺激征(-);左手姿势异常,拇指内扣,四肢肌力Ⅲ级,肌张力低下。
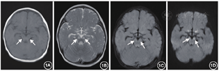
血乳酸增高、代谢性酸中毒;血、尿遗传代谢筛查示正常;头颅磁共振成像提示双侧丘脑、脑干对称性片状稍长T2信号影。完善三人家系全外显子组测序示受检者携带LIPT1基因复合杂合错义突变,来自父源c. 302G>A(p. S101N)、母源c.316G>A(p.V106 I),均为文献中未报道的致病位点;LIPT1基因变异为本病可能遗传学病因,需皮肤成纤维细胞及肌肉活检进行酶学活性进一步确诊。
入PICU后给予呼吸机辅助通气、血液透析、抗感染、降颅压、营养支持等治疗,基因明确后诊断为硫辛酰基转移酶-1缺乏症,予硫辛酸、鸡尾酒疗法(B族维生素、辅酶Q10、左卡尼丁、维生素C、艾地苯醌)、机械通气及对症治疗后好转。
患儿哭声尚可,精神反应欠佳,阵发性烦躁,哭闹时头后仰,竖头不稳,对视不灵敏,未见眼震。2个月后随访患儿神志清,精神反应尚可,能自行进食,无发热、呕吐、腹痛、腹泻、抽搐,能说单个字,家人扶时能抬腿迈步;双眼对人、物能追视,对声音刺激有反应、言语能听懂,对疼痛有刺激有反应,右侧手灵活,左手不能活动,不能抓握,不能伸直。
神经科;儿科;康复科;遗传代谢科;重症监护室
版权归中华医学会所有。本文为遵循CC-BY-NC-ND协议的开放获取文章。
硫辛酰基转移酶-1缺乏症(OMIM:616299)是一种由LIPT1基因(OMIM :610284)突变引起的罕见遗传代谢性疾病,为线粒体能量代谢中辅因子硫辛酸缺乏导致的异质性疾病,为常染色体隐性遗传方式,首次于2013年由Soreze等[1]报道。LIPT1基因突变临床表现多以新生儿期起病的高乳酸性酸中毒、呼吸衰竭、休克,发病较晚者表现为精神运动发育迟缓,肌张力障碍,急性代谢失调伴胃肠炎,多数表型严重,神经系统受累程度重,预后不良,也有极少部分表型相对较轻[2,3,4]。检索相关文献,至今国外共报道4个家系5例患儿由LIPT1基因突变导致一系列相关临床表现,国内尚无相关中文文献报道。
硫辛酸是五种线粒体酶复合物活性所必需的辅因子,其共价连接到参与线粒体能量和氨基酸分解代谢过程的a-酮酸脱氢酶复合物(a-KDHs)E2亚基赖氨酸残基上(DALT)。由于脂酰转移酶1基因(LIPT1)错义或无义杂合变异导致硫辛酸的合成和连接缺陷,从而引起硫辛酸不足使线粒体酶活性下降对人体健康有直接损害[5,6]。
我们总结1例基因确诊为LIPT1基因变异所致的硫辛酰基转移酶-1缺乏症的患儿,对其临床资料进行相关文献复习,旨在提高临床对本病的认识。
患儿,男,4岁2月龄,因"运动发育落后3年余,反复呕吐、腹痛7 d"为主诉就诊当地医院。患儿入院7 d前无诱因出现呕吐,5次/d,为非喷射性胃内容,伴腹痛,无发热和腹泻。3 d后患儿出现精神反应差、乏力,体重下降,并迅速出现神志不清、深大呼吸伴呼吸困难等,以"呼吸衰竭,中度营养不良,遗传代谢性疾病?"转入PICU,给予呼吸机辅助通气、血液透析、抗感染、降颅压、营养支持等治疗。
患儿为其母第1胎第1产,足月剖宫产,出生体重2.3 kg,否认围生期缺氧窒息史,新生儿期体健,无喂养困难。2个月会抬头,3~4个月翻身,7个月会坐,11个月会爬;1岁会独站,不能独走,肌张力低下,会叫"爸爸妈妈",当时查头颅磁共振成像示正常;在家自行给予康复功能训练治疗,无进步。2岁以后在康复机构训练,逐渐进步,3岁可独走,起病前行走缓慢,不会跑跳,易疲劳;运动发育落后于正常同龄儿童。1岁6个月会说成句话,认知发育基本正常。父母体健,非近亲婚配。
体格检查:头围47 cm(<2 SD),身高98 cm(-1.85 SD),体重12 kg(<3 SD),发育迟缓;面容无特殊,嗜睡状,松软儿状态,阵发性烦躁,哭闹时头后仰,竖头不稳;颅神经检查无异常;脑膜刺激征(-);左手姿势异常,拇指内扣,四肢肌力Ⅲ级,肌张力低下,膝腱反射未引出,双侧巴氏征(-)。
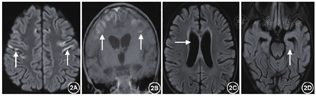
辅助检查(括号内为正常参考):血乳酸多次增高,波动在5.2~14.9 mmol/L(参考值0.5~2.2 mmol/L,以下同);血气分析示:酸碱度(pH)下降明显,波动在7.09~7.30(7.35~7.45)之间,碱剩余(BE)增高明显,波动在-21.5~-5 mmol/L(-4~2 mmol/L);碳酸氢根(HCO3-)16~20 mmol/L(22~27 mmol/L)提示呼吸性酸中毒合并代谢性酸中毒改变。肝酶+心肌酶+电解质提示:谷丙转氨酶(ALT)71.80 IU(0~40 IU),谷草转氨酶(ALT)98.40 IU(0~40 IU);肌酸激酶(CK)587.7 IU(40~190 IU),肌酸激酶同工酶(CK-MB)63.10 IU(0~50 IU),乳酸脱氢酶475 IU(0~450 IU),血清钾3.18 mmol/L(3.5~5.5 mmol/l),血钠139.30 mmol/L(135~145 mmol/L),其余正常。甲状腺功能八项:三碘甲状原氨酸(TT3)0.791 nmol/L(1.4~3.4 nmol/L),促甲状腺激素(TSH) 2.94 IU/ml(0.34~4.6 IU/ml);甲状腺素(TT4)42.05 nmol/L(76.6~189 nmol/L)偏低;游离T3(FT3)42.05 nmol/L(3.68~8.46 nmol/L),提示甲状腺功能低下,其余均正常。血氨、同型半胱氨酸及铜蓝蛋白正常;脑脊液常规、生化、乳酸、病原学检查、自身免疫性脑炎相关抗体检查:均未见异常;血尿串联质谱分析:未见异常。视频脑电图(VEEG):背景活动节律慢化,额、中央、颞区(右侧著)为主棘波稍多量发放。神经电图+肌电图:双上下肢体感通路检查潜伏期延长,波幅偏低。头颅MRI(病程第9天)提示双侧丘脑、大脑脚、脑干对称性片状稍长T2信号影(图1)。复查头颅MRI(病程第40天)提示:脑损伤,颅内部分异常信号较前显示增多,原有部分异常信号较前显示稍少,双侧脑室稍扩大;双侧大脑半球脑沟裂增宽加深,第三、第四脑室饱满(图2)。脊髓MRI平扫+增强未见明显异常。




基因分析:获得患儿父母知情同意后,留取患儿及父母外周血样,完善全外显子组测序及线粒体环基因检查(广州嘉检医学检测有限公司),结果示线粒体基因检测未见异常;全外显子组测序示患儿携带LIPT1基因(NM-015929):c.302G>A(p.S101N)杂合错义变异来源于父亲、c.316G>A(p.V106 I)杂合错义变异来源于母亲(图3),该位点为文献未报道的致病变异,生物信息分析软件SIFT、Polyphen2、Mutation-taster提示有害,根据2015年美国医学遗传学与基因组学学会(ACMG)《ACMG遗传变异分类标准与指南》变异分级为PM2+PP3,为致病意义不明变异,该基因变异关联硫辛酰基转移酶-1缺乏症。


注:箭头示变异位点;LIPT1基因c.302G>A(p.S101N)错义杂合变异来源于父亲,c.316G> A(p.V106 I)错义杂合变异来源于母亲
入院时患儿哭声尚可,精神反应欠佳,阵发性烦躁,哭闹时头后仰,竖头不稳,对视反应欠佳,未见眼震。基因确诊后给予应用"硫辛酸胶囊0.1 g,2次/d;维生素B1片100 mg, 2次/d;维生素B2片50 mg,2次/d;辅酶Q10胶囊100 mg, 2次/d;艾地苯醌片45 mg, 2次/d;左旋肉碱口服液10 ml, 2次/d;维生素E胶囊1粒,1次/d;维生素C片0.1 g, 1次/d"等鸡尾酒疗法治疗。2个月后随访患儿神志清,精神反应尚可,能自行进食无发热、呕吐、腹痛、腹泻、抽搐,能说单个字,家人扶时能抬腿迈步;双眼对人、物能追视,对声音刺激、言语能听懂,对疼痛有刺激,右手灵活,左手不能活动,不能抓握,不愿伸直。
以"LIPT1基因"、"硫辛酰基转移酶-1缺乏症"、"硫辛酸"、"丙酮酸脱氢酶"、"LIPT1 gene"、"Leigh syndrome"为关键词在万方数据知识服务平台、中国期刊全文数据库CNKI、PubMed建库至2021年5月进行检索国内、外文文献(建库至2021年5月),未见相关中文报道。外文文献检索到4篇,共报道4个家系5例LIPT1基因的错义或无义杂合变异患者,本例先证者的LIPT1基因杂合变异均为错义突变。
文献检索5例硫辛酰基转移酶-1缺乏症患者信息完整(表1),5例全部为错义及无义突变,男性3例,女性2例;均存在严重酸中毒、乳酸增高。

总结LIPT1基因变异的文献报道和本例患者的常见临床特征
总结LIPT1基因变异的文献报道和本例患者的常见临床特征
| 项目 | 2013年Soreze等[1] | 2014年Frederi等[2] | 2016年Tache等[3] | 2016年Tache等[3] | 2018年Stowe等[4] | 本例 |
|---|---|---|---|---|---|---|
| 起病年龄 | 18个月 | 出生2 d | 出生时 | 2 h | 2个月 | 4岁2个月 |
| 性别 | 男性 | 女性 | 女性 | 男性 | 男性 | 男性 |
| 出现症状 | 15个月发育延迟;肌张力减退和精神运动障碍;18个月出现腹痛导致相关胃肠道疾病,肌张力低下、酸中毒 | 严重心动过缓、黄疸、乏力,消瘦,脱水;四肢肌张力增高; | 代谢性酸中毒(pH7.14),呼吸衰竭、休克 | 代谢性酸中毒(静脉pH6.8),呼吸衰竭、休克 | 呕吐,烦躁不安,癫痫发作,代谢性酸中毒,生长缓慢 | 呕吐、腹痛、酸中毒、乳酸高,生长发育迟缓 |
| 预后 | 4岁 | 出生9 d死亡 | 出生1.5 h死亡 | 出生18 h死亡 | 活到21个月时,难治性癫痫、痉挛性四肢瘫、发育落后 | 目前存活 |
| LIPT1基因测序结果 | c.875C>G(p.Ser292X)c.535A>G(p.Thr179Ala) | c.212C>T(p.Ser71Phe)c.292C>G(p.Arg98Gly) | c.806G>Ac.980T>G | c.806G>Ac.980T>G | c.212C>T(p.Ser71Phe)c.539T>C(p.Leu180Ser | c.302>A(p.S101N)父亲;c.316G>A(p.V106 I)母亲 |
| 乳酸(mmol/L) | 8 | 32 | - | 29 | 15.8 | 14.9 |
| 丙酮酸 | 0.44 | - | - | 0.346 | 0.71 | - |
| 血浆氨基酸(mmol/L) | 增高:谷氨酸,脯氨酸;正常:甘氨酸;谷氨酰胺,丙氨酸,减少:缬氨酸,亮氨酸、亮氨酸、赖氨酸 | 增加:丙氨酸,脯氨酸正常:甘氨酸 | - | 增加:丙氨酸正常:甘氨酸 | 增加:谷氨酸盐、脯氨酸、丙氨酸;正常:甘氨酸,缬草酸、异亮氨酸、亮氨酸,赖氨酸;减少:精氨酸 | 正常 |
| 尿液中的有机酸 | 增加:谷氨酰胺,乳酸盐,富马酸盐,酮戊二酸盐;正常:谷氨酸、甘氨酸、琥珀酸、丙氨酸 | 增加:乳酸盐,a-酮戊二酸盐 | - | 增加:乳酸盐,酮戊二酸盐,2-含氧酸 | 增加:乳酸、琥珀酸、富马酸盐,2-羟基戊二酸盐 | 正常 |
| 超声心动图 | - | 肺动脉高压,左心室扩张 | - | - | 正常 | 正常 |
| 头颅影像 | 小脑细胞萎缩,侧脑室严重扩张、双侧脑皮质萎缩,丘脑异常,双侧白质异常改变,发育延迟 | 正常 | - | - | 大脑半球发育延迟,丘脑异常信号,皮层状坏死,弥散受限;胼胝体及海马发育延迟 | 颅内异常信号改变,双侧脑室稍扩大饱满,脑沟裂增宽加深。 |
| 头颅MRI波谱分析 | 乳酸峰值增高 | - | - | - | 乳酸峰值增高 | - |
| 蛋白类酶活性性试验[mmol/(min·mg)蛋白质占比%] | 减少:PDHC(0.09;8%),KGDH(0.9;13%),BCKDH(无报告);正常:GCS(无报告) | 减少:PDHc(0.1)正常:E1和E3(无报告) | - | - | 减少:PDHC(0.7;29%),PDHC/E3比率(21%)正常值:E2(3.49;110%)、E3(90.3;151),KGDH(1.55;74%) | 已行皮肤活检结果未回示 |
注:(-):未检查;PDHC:丙酮酸脱氢酶复合物;KGDH:酮戊二酸脱氢酶;BCKDH:支链酮酸脱氢酶;GCS甘氨酸裂解酶;E1:丙酮酸脱氢酶;E2:二氢硫辛酸乙酰转移酶;E3:二氢硫辛酸脱氢酶
硫辛酰基转移酶-1缺乏症是一种硫辛酸代谢缺陷导致的常染色体隐性遗传代谢性疾病,临床报道较少,主要由LIPT1基因(OMIM:610284)突变引起,其临床表现包括精神运动发育迟缓,严重的肌张力低下及代谢失代偿、乳酸性酸中毒和昏迷、呼吸衰竭、休克,锥体外系功能障碍,痉挛性四肢瘫,心动过缓和肺动脉高压等症状。本例患儿起病较晚,就诊前有不同程度的运动发育落后,胃肠道症状起病后病情进展较快,出现昏迷、呼吸衰竭、休克及高乳酸血症、代谢性酸中毒、肝酶异常等代谢紊乱的典型临床表型,结合头颅影像学异常改变,临床考虑为硫辛酰基转移酶-1缺乏症,与相关外文文献报道临床表型相一致[1]。在本研究中至今国内未见相关中文文献报道,这将有助于我们丰富本病的临床表型。
LIPT1基因是一种编码脂酰转移酶1(LIPT1)的蛋白质编码基因,定位于2q11.2上,有4个外显子和2个内含子组成,长度大约8kb,包含有119个碱基对,编码373个氨基酸的前体肽,其中一个是有编码功能的编码硫辛酰基转移酶1[7]。由于LIPT1基因转移酶活性及相关基团异常导致硫辛酸的合成缺乏和代谢途径异常,而脂基转移酶的mRNA水平组织特异性在骨骼肌和心脏中中高表达,在肾脏和胰腺中中度表达,在肝、脑、胎盘和肺中检出水平较低[8]。本研究在1例4岁2个月的男性患儿体内全外显子基因组测序(WGS)数据检测到LIPT1变异来自父源c.302G>A(p.S101N)、母源c.316G>A(p.V106 I)的复合杂合错义突变,经过分析表明尚未发现与患者临床表型高度的变异基因。
硫辛酸(LA)是共价附于α-酮戊二酸脱氢酶(a-KGDH)的E2亚基上,包括丙酮酸脱氢酶复合物(PDHC)、α-酮戊二酸脱氢酶(a-KGDH)、2-氧己二酸脱氢酶(DHTKD1)和支链酮酸脱氢酶(BCKDH)、甘氨酸裂解系统(GCS)的H蛋白;其中PDHC、a-KGDH参与线粒体能量代谢,而其他三种参与氨基酸分解代谢[9]。
硫辛酸及其同源物合成及转移的途径;涉及线粒体脂肪酸合成酶Ⅱ(mtFASII)途径、硫辛酸脂酰转移酶1(LIPT1)、硫辛酸合成酶(LIAS)途径和脂酰转移酶2(LIPT2)等多步骤参与过程[10,11]。LIPT1催化硫辛酰脂与相关线粒体酶系统的共价连接,第一步是通过硫辛酸活化酶活化硫辛酸以形成脂酰-AMP;第二步,LIPT1催化脂酰基团从脂酰-AMP转移到硫辛酸依赖性酶的脂酰结构域的特定赖氨酸残基上,从而在第2步发挥作用[8]。LIPT3酵母同源物(LIP1)是硫辛酸酰基转移酶(LIPT1)所必需的,缺乏硫辛酸合成酶(LIAS)酵母同源物(LIP5)或LIPT2酵母同源物(LIP2)不能脂解甘氨酸裂解系统(GCS)的a-酮酸脱氢酶复合物的E2亚基和H蛋白,而缺乏LIPT1酵母同源物(LIP3)减少了a-酮酸脱氢酶复合物的E2亚基的脂酰化作用,但不能减少甘氨酸裂解系统(GCS)H蛋白的脂酰化作用,提示LIP3在a-酮酸脱氢酶复合物E2亚基的脂化作用中具有特定作用,从而导致酶活性出现异常改变[2, 12]。硫辛酸合成酶(LIAS)是为两个铁-硫簇作为辅助因子的依赖性酶,为合成固有编码酶的基因[6, 9],例如包括NFU1、BOLA3、IBA57和LYRM4的突变可分别导致蛋白质结合的硫辛酸和Fe-S减少,表现出硫辛酸合成酶(LIAS)缺乏和类似LIAS的表型[13,14]。
与LIPT1基因突变相关的疾病部分病例表现为Leigh样综合征、早发性癫痫性脑病、丙酮酸脱氢酶缺乏症、高血糖症等相关疾病[1,2,3,4]。Leigh综合征又称亚急性坏死性脑病[15],多在婴幼儿起病具有临床及基因异质性,根据本病的临床表现、实验室检查、影像学特点非典型表现,影像学主要累及基底节、脑干及丘脑等部位,不能完全排除Leigh样综合征。需注意本例患儿及文献报道例1起病年龄相对较晚,前期有发育迟缓认知倒退,无惊厥,均在胃肠道症状感染事件打击下出现神经系统症状或原有神经系统症状基础上急性加重。同时完善基因检查提示携带为LIPT1基因突变不是Leigh常见致病基因,为已有文献报道但该位点未报道的LIPT1缺乏症,同时已给予相关皮肤活检进一步培养成纤维细胞进行蛋白验证及相关酶学活性检查。
硫辛酰基转移酶-1缺乏症患儿头颅影像学显示髓鞘形成延迟、双侧额叶白质异常和小脑萎缩,皮质萎缩,双侧丘脑、脑干、基底节等对称性异常等常见。有报道的5例起病患儿中例1及例5有脑萎缩、发育延迟,侧脑室扩张;丘脑异常信号;例1及例5患儿头颅磁共振波幅(MRS)可见乳酸峰,同时监测血乳酸升高,该现象可能与谷氨酰胺、脯氨酸升高神经毒性作用于线粒体导致能量供应障碍有关[8, 16]。本例起病年龄较晚,头颅影像学提示脑干、丘脑受累显著,未查头颅磁共振波普检测乳酸峰累积状况,结合本例治疗后复查头颅MRI提示多部位有进展,受累较前加重,脑萎缩明显,与硫辛酰基转移酶-1缺乏症经典头颅MRI改变不完全相符,提示生活质量欠佳及预后总体不良,可继续随访观察临床转归及影像学改变。
LITP1基因变异包括错义、无义、碱基插入、缺失变异以及剪切位点变异,多数为复合杂合变异,少数为纯合变异[2]。在已报道的5例患者文献全部为来自父、母亲的复合杂合错义及无义变异;其中例3家系报道同一家系携带相同变异位点的2个受累者临床表型基本相同,家系1、家系4及本家系共3例起病年龄较晚,推测其与位点不同导致基因型-临床表型可能有一定相关性;部分表型相对较轻可能机制与该位点变异保留部分硫辛酸因子相关酶活性有关,而参与本病的临床表型逐渐被相关研究进一步证实[5,6,7]。
硫辛酰基转移酶-1缺乏症患儿中,90%生化检查血清及脑脊液乳酸高,代谢性酸中毒,肝酶异常,胆红素升高,血、尿遗传代谢筛查有不同程度谷氨酰胺、脯氨酸升高,支链酮酸脱氢酶、a-酮戊二酸脱氢酶和丙酮酸脱氢酶复合物活性降低。本例患儿血生化提示血清乳酸高,发生致命性代谢性酸中毒,肝酶异常明显,无高血糖表现,其生化表型与其它报道病例相一致[1, 4],提示硫辛酸代谢不足会产生类似于PDHC缺乏的临床表型,其临床表型、影像学表现与代谢失代偿期间的Leigh病和神经发育退化有相同之处,表明硫辛酸转移到特定蛋白质的缺陷而不是硫辛酸生物合成的普遍障碍是该病的潜在原因[17,18]。
根据本病的临床表现、实验室检查、影像学特点相关表现,而甘氨酸裂解酶(GCS)缺乏通常会导致酶活性出现异常改变,而甘氨酸起抑制性和兴奋性神经递质的作用,会引起顽固性癫痫发作[19,20]。本例患儿行血、尿有机酸遗传代谢筛查提示正常,临床无相关癫痫发作,可能也是本病临床表型起病较晚较轻原因之一,需要定期复查血尿遗传代谢筛查。
关于硫辛酰基转移酶-1缺乏症治疗,目前可以通过补充硫辛酸治疗,同时有文献报道[8],应用生酮饮食和二氯乙酸盐(DCA)可通过减少丙酮酸脱氢酶(PDHC)磷酸化,DCA可降低单一丙酮酸脱氢酶(PDHC)缺乏症中的乳酸性酸中毒,但均不能有效治疗LIPT1缺乏症。本例患儿通过给予补充硫辛酸作为辅助因子替代治疗,配合鸡尾酒疗法、康复功能锻炼及对症支持治疗,可能是一种有效的治疗方法。患儿病情有所改善,病程随访时逐渐意识清醒,眼神交流,吞咽困难好转,肌张力仍增高。
综上所述,LIPT1基因缺陷导致硫辛酸的合成与线粒体代谢功能障碍有关,由于本研究仅报道1例硫辛酰基转移酶-1缺乏症患儿,存在一定局限性,尚需较多样本病例研究,同时对于临床疑似患儿可结合临床表型、生化检测、神经影像学检测等及时完善血尿遗传代谢及基因检测明确诊断,及时补充硫辛酸治疗,辅助鸡尾酒疗法、康复功能锻炼及对症支持治疗,对判断预后及下一代遗传咨询提供指导。
广州嘉检转化医学研究中心有限公司
所有作者均声明本研究不存在利益冲突
























