
患儿,女性,孕29周早产儿,经阴道分娩出生,出生体重1 200 g。生后8 d行PICC置管术,置管第2天开始出现呼吸暂停,置管第3天患儿突然出现严重的心动过缓,低氧饱和度,予气管插管有创呼吸机辅助呼吸、胸外按压、肾上腺素静推、纠酸、扩容等,常规复苏抢救无效。
患者生后不久出现呼吸困难,考虑新生儿呼吸窘迫综合征,予肺表面活性物质及无创呼吸机(CPAP模式)治疗,第8天呼吸好转停用无创呼吸机并行PICC置管术。生后第9天及第10天开始出现呼吸暂停,2~3次/d。生后第11天患儿突然出现严重的心动过缓,低氧饱和度,体格检查反应差,肤色发绀,呼吸微弱,心音遥远,心率约45次/min。
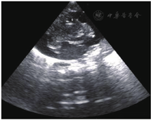
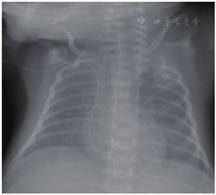
急诊心脏超声提示大量心包积液。胸部X线片提示PICC导管端位于右心室内,远端卷曲。紧急行心包穿刺术抽出白色浑浊液共8 ml,心包积液常规:颜色乳白,李瓦它试验阳性,细胞总数1 058×106/L,白细胞总数58×106/L,分类淋巴细胞0.13,分类间皮细胞0.71,分类中性粒细胞0.16,透明度混,乳糜试验(+)。
有创呼吸机支持、强心、纠酸、扩容,应用血管活性药物,拔除PICC置管,心包穿刺术。
心包穿刺术抽出8 ml乳糜性液体,复查心脏超声提示心包积液明显减少,但患儿仍因缺氧时间长、严重代谢性酸中毒无法纠正,继发肺出血,抢救无效死亡。
新生儿科;重症医学科
版权归中华医学会所有。本文为遵循CC-BY-NC-ND协议的开放获取文章。
经外周静脉置入中心静脉导管(peripherally inserted centred catheter,PICC ),常用于新生儿重症监护病房[1],为长期静脉治疗提供静脉通路,PICC既可以提高输注较营养液的浓度,又可以避免反复穿刺对早产儿造成的损伤,是早产儿非常重要的一种救治手段。常见的PICC并发症有感染、血栓形成、导管移位、导管栓塞、静脉或心脏穿孔[2]。本研究对我院新生儿重症监护室1例PICC相关性心包积液并心脏填塞病例进行回顾性研究,希望提高临床医生对此种PICC严重并发症的认识,及时诊断及处置。
患儿,女性,孕29周时因"产程发动"经阴道分娩出生。出生时羊水清,Apgar评分1 min 9分(肌张力减1分),5 min 8分(呼吸减1分,肌张力减1分),10 min 8分(呼吸减1分,肌张力减1分),出生体重1 200 g。出生后6 min患儿逐渐出现呻吟、吐沫等呼吸困难表现,胸部X线片提示双肺透过度降低,入院后予肺表面活性物质应用,予无创呼吸机(nCPAP模式)辅助呼吸。生后第8天呼吸困难明显好转停用无创呼吸机。同一天行PICC置管术,置入右贵要静脉,行胸部X线片检查示PICC管端位于右心室,予外撤PICC导管至上腔静脉内。置管后第2天患儿出现呼吸暂停,考虑呼吸中枢发育不完善,予咖啡因治疗。置管后第3天(生后第11天)患儿无明显诱因、突然出现严重的低血氧饱和度(血氧饱和度在50%~60%之间)和严重心动过缓(心率在40~50次/min之间),体格检查听诊心音遥远、微弱,双肺可及呼吸音对称,未及明显湿啰音,腹软,四肢张力低下,予气管插管呼吸支持、胸外按压、肾上腺素等治疗均未见好转。
急查胸部X线片示PICC管端位于右心室内,导管远端弯曲(图1),急查心脏超声提示心室周围可见液性暗区包围,右室前壁心包腔内约5 mm(图2),左室后壁心包腔内液性暗区深约9 mm(图2),心包积液诊断明确,心包积液结果示:颜色乳白,透明度混,李瓦它试验阳性,细胞总数1 058×106/L,白细胞总数58×106/L,分类淋巴细胞0.13,分类中性粒细胞0.16,乳糜试验阳性,细菌培养阴性。血气分析提示:pH 7.03,PCO2 44 mmHg (1 mmHg=0.133 kPa),PO2 55 mmHg,BE-18.8 mmol/L, HCO3- 11.3 mmol/L,提示严重代谢性酸中毒。




患儿于PICC置管后3 d突然出现严重心动过缓及低血氧饱和度,听诊心音遥远,常规气管插管、心脏按压等抢救措施无效,行心脏超声提示:大量心包积液,胸部X线片提示PICC管端移位右心内,管端卷曲。行心包穿刺术抽出8 ml乳白色液体,积液化验提示为乳糜性质,故心包积液、心脏填塞诊断明确,考虑为PICC相关性。
发病后予气管插管正压通气配合胸外按压,静脉持续泵点肾上腺素、予静脉应用多巴胺及多巴酚丁胺增强心肌收缩力,纠酸、扩容。拔除PICC,并行心包穿刺术。
经积极抢救,患儿仍因缺氧时间长,病情过重死亡。
PICC在新生儿重症监护病房中应用广泛,具有留置时间长、输注营养液浓度高等优点。心包积液是PICC的一种罕见且严重的并发症,估计发生率为1.8/1 000导管[3]。当心包积液量过多或骤然增多时,可产生心包填塞症状,表现为呼吸窘迫、紫绀、心动过速或心动过缓、低血压。心脏填塞导致的心肺骤停对标准复苏干预无效,及时诊断并引流心包积液可挽救部分病例的生命。有报道称因为PICC导致的心包积液并心包填塞的病死率为75%,而进行紧急心包穿刺术的患儿病死率明显下降,仅为8%[4]。PICC致心包积液的机制目前尚不完全清楚。可能的原因包括插入导管时的创伤、导管尖端位置、输注高渗液体反复冲击血管壁,早产儿心肌或静脉壁脆弱、导管材料等[5]。有研究表示,PICC相关性心包积液及心脏填塞的发生,同PICC导管管端的位置有着密切的关系。80%~90%的婴儿出现中心静脉导管相关心包积液,其尖端在胸部X线片上的心包影像内[6,7],考虑可能为当导管端位于右心内时,与心房/心室壁肌接触所致的心肌损伤及轻微穿孔[8]。目前对于PICC导管端留置的最佳位置尚存在争议,但大部分国外报道还是建议经头或上肢置管后导管尖端正确位置应为上腔静脉,置于T2以上的水平[2],下肢静脉插入时位于下腔静脉内[4,9],避免置于右心房内。另有研究发现,当患儿手臂内收同时存在肘部弯曲时,导管管端的位置距离右心房最近,为了确保上臂活动不会导致导管管端进入右心房,在置管后进行X线定位时,应该使患儿手臂内收并且肘部弯曲[10]。导管位置固定后其位置仍有移位的风险。敷料松动,在换药过程中PICC的移动和婴儿的生长,都可能导致管端位置移动[11]。因此需要定期进行X线片检查PICC是否移位和错位,在拍摄X光片时,手臂应始终保持相同的位置,最好是内收。
以"中心静脉置管和心包积液或中心静脉置管和心脏填塞"在CNKI、万方数据库(建库至2021年2月)中检索,除外非新生儿期发病病例,检索到符合条件的中文文献2篇[10,12],报道2例PICC致新生儿心包积液病例。以"central venous catheter and pericardial effusion或central venous catheter and cardiac tamponade"在Pubmed(建库至2021年2月)检索,除外非新生儿期发病病例,检索到符合条件的文献共6篇[2,13,14,15,16],文献报道患儿中共6例死亡,6例存活。存活6例患儿均进行了心包穿刺术。6例死亡患儿均进行了尸检,其中4例为右心房穿孔,1例为右心室穿孔,1例为大量单纯性心包积液。6例死亡患儿PICC管端均发生位移,位于右心系统内。
本例患儿产前心脏检查无异常,住院期间行心脏超声未见明显异常,心包积液及心脏填塞发生于PICC置管后,且胸部X线片示PICC管端位置异常,位于右心室内,结合心包积液化验,考虑PICC导致心包积液及心脏填塞。本例患儿虽经心包穿刺治疗,且穿刺后复查心脏超声提示心包积液明显好转,但患儿仍因缺氧时间长,严重代谢性酸中毒,继发性肺出血抢救无效死亡。由于缺乏典型临床表现,PICC导致的心包积液很难提前发现,且发病后易误诊为肺部疾患导致,进行相关呼吸支持后效果并不明显。然而当病情进展并发心脏填塞时,病情进展迅速,死亡率高,如果在PICC置管后,常规做超声心动图检查,有经验的医生可较易发现导管在心脏或腔静脉的位置。因此,在任何有PICC置管的早产儿突然出现严重心动过缓,低饱和度,常规复苏无效时,必须首先警惕心脏填塞的可能性。研究表明,即使发生心脏填塞的早产儿,在大多数情况下也可以通过及时的心包穿刺术成功复苏。因此,对心包积液并心脏填塞的早期识别和干预是挽救生命的重要措施。
所有作者均声明本研究不存在利益冲突





















