
患儿,男性,21月龄,因“反复左鼻腔出血20 d、左眼前突4 d”就诊。
患儿20 d前无明显诱因出现左侧鼻腔反复出血,4 d前出现左眼前突,反复发热,最高38.9 ℃。左侧鼻腔见表面粗糙不平、灰白色、质软肿物,触之易出血。左眼球前突,内收受限。双侧颈部及腹股沟可扪及肿大淋巴结。
影像学检查结合病理结果提示左鼻腔卵黄囊瘤。
术前行PEB方案化疗后,于全麻下行“经鼻内镜下左侧鼻腔、颅底肿物切除术”。
术后随访1个月,患儿恢复良好,饮食、二便正常。影像学检查未见复发。
耳鼻咽喉科;儿科;病理科
版权归中华医学会所有。本文为遵循CC-BY-NC-ND协议的开放获取文章。
卵黄囊瘤(yolk sac tumor,YST),又称内胚窦瘤。主要见于性腺,也可见于性腺外组织如髓尾、盆腔、胃底及松果体等[1, 2]。发生于鼻部者极为罕见,查阅文献仅1例报道始发于翼腭窝[3],且造成失明,诊疗经验缺乏。YST是一种高度恶性的生殖细胞肿瘤,进展迅速,容易复发和转移,预后差。如何早期诊断、选择正确的治疗方式直接影响预后。现报道1例原发于鼻腔的幼儿卵黄囊瘤。旨在增强对本病的认识,提高诊治水平。
患儿,男性,1岁9个月,因“反复左鼻出血20 d、左眼突出4 d”就诊。患者20 d前无明显诱因出现左侧鼻腔反复出血,量少,可自止。就诊于外院发现左鼻腔肿物,予以取活检,出血量大,短暂意识丧失。病理结果提示左鼻腔恶性肿瘤,卵黄囊瘤可能性大。4 d前,患儿出现左眼前突,渐加重,伴反复发热,最高38.9 ℃。遂于本院就诊。患儿既往病史无特殊,胎龄33+3周,因其母“慢性乙型病毒性肝炎、高危妊娠监督、胆汁淤积症、轻度贫血”剖宫产出生,出生体重2.05 kg。个人史、家族史无特殊。
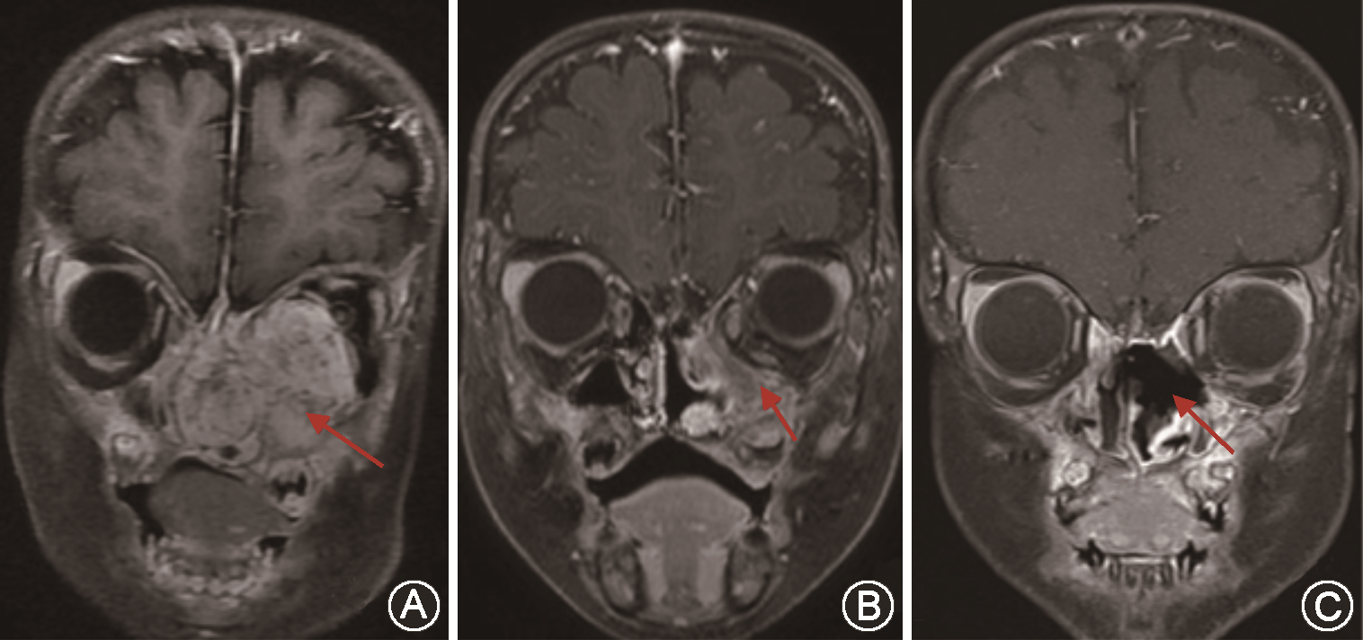
患者专科体格检查可见双侧鼻腔欠通畅,左侧鼻腔见表面粗糙不平、灰白色肿物、质软、触之易出血,左侧中鼻道及嗅裂无法窥及。左侧眼球前突,左眼球内收受限(图1A)。双侧颈部及腹股沟可扪及肿大淋巴结,质软,活动度可,最大约0.5 cm×0.5 cm。


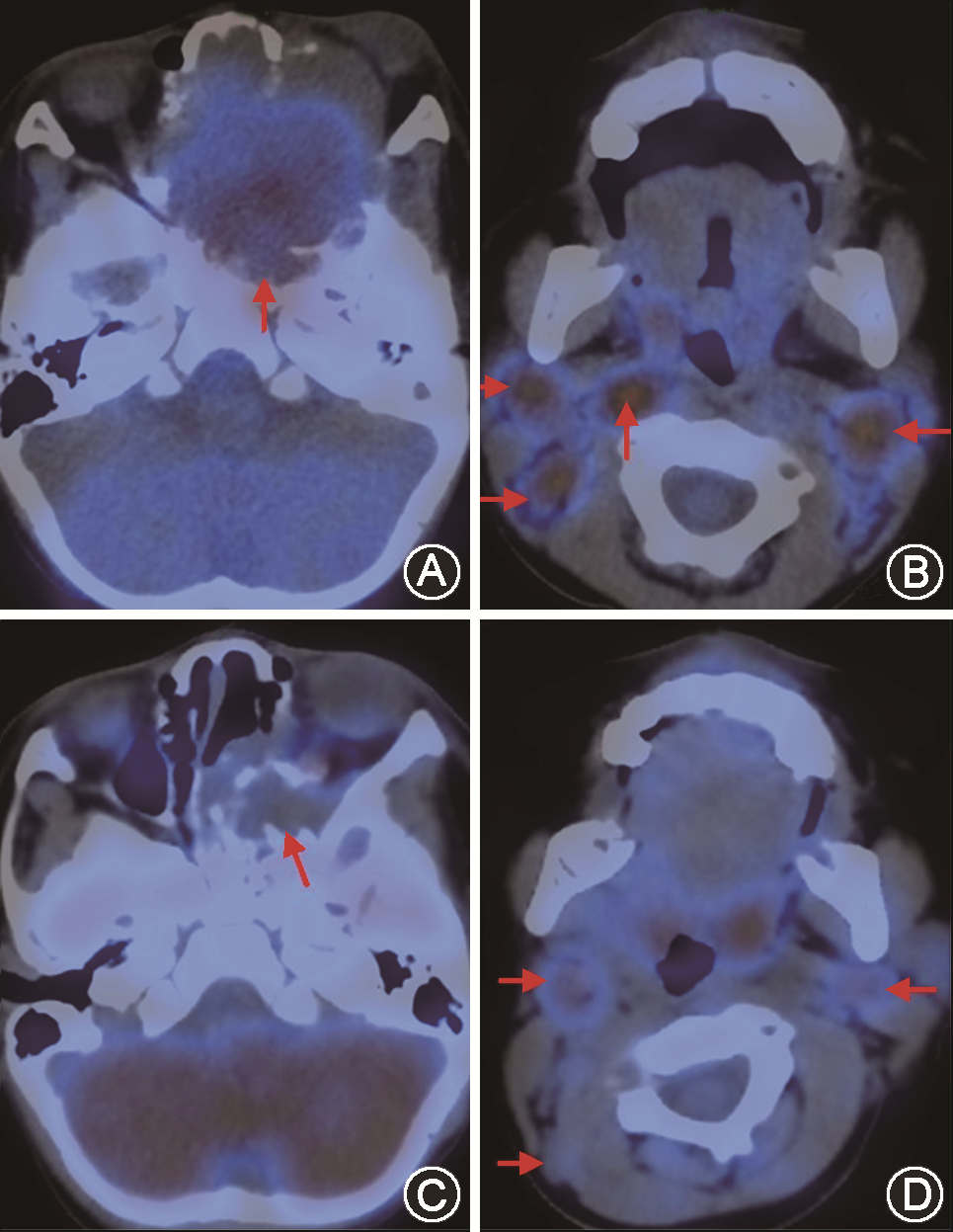
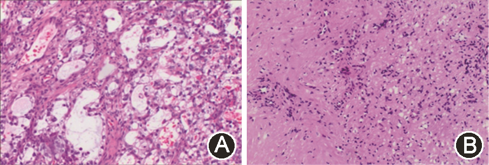
入院后行头颅增强MRI提示:肿物累及双侧鼻腔、鼻窦、前颅底,左侧视神经受压变窄并稍向外移位,左侧海绵窦、前颅窝底硬脑膜受侵(图2A)。PET-CT提示:鼻腔巨大肿块、代谢活跃,肿瘤突入前颅窝底及左侧眼眶,侵犯双侧上颌骨、蝶窦、筛窦、筛骨及蝶骨、左侧颞骨(图3A),双侧咽旁间隙及双侧颈Ⅱ区、左颈Ⅰ区多发代谢活跃淋巴结,考虑转移瘤可能性大(图3B)。左眼内直肌、下直肌、视神经受压;余全身未见转移征象。血红蛋白浓度81.00 g/L,甲胎蛋白(AFP)43 230.5 ng/ml。中山大学附属第三医院病理科会诊外院病理切片,加做免疫组化后提示:核分裂相易见,瘤细胞排列呈网状、管囊状、乳头状及小管状,可见嗜酸性玻璃样小体,结合免疫组化结果,符合卵黄囊瘤(图4A)。






根据影像学表现及中山大学附属第三医院病理会诊结果,确定诊断为鼻腔卵黄囊瘤,Ⅳ期,高危组,中枢神经系统侵犯。
患儿入院后经病理科、影像科、核医学科、儿科、神经外科多学科会诊后认为:目前肿瘤巨大,突入前颅窝底及左侧眼眶,且视神经受压。属于卵黄囊瘤Ⅳ期,并且中枢神经系统侵犯,肿瘤完整切除难度较大,手术治疗极易出现颅脑及眶内并发症,大大降低患儿生存质量。可先行术前化疗,待肿瘤范围缩小后,争取手术时机。遂转入儿科行PEB方案(顺铂、依托泊苷、博来霉素)先后进行6个疗程化疗,第3个疗程结束后患儿AFP降至正常水平。3个疗程后患儿左眼球前突明显好转(图1B),头颅增强磁共振扫描显示肿瘤较前明显缩小(图2B)。PET-CT提示:原鼻腔肿物较前明显缩小,大部分区域代谢恢复正常(图3C)。双侧颈Ⅱ区、左颈Ⅰ区淋巴结代谢较前降低,部分恢复正常(图3D)。遂转入我科全麻下采用神经手术导航系统经鼻内镜下左侧颅底肿瘤切除、鼻窦开放术,术中见瘤体主要位于翼腭窝,上至眶底、眶内侧及前颅底,下至总鼻道,内至鼻中隔、蝶窦腔,外至翼腭窝、颞下窝,经翼内肌、翼外肌内侧至蝶窦及斜坡前方。病变区域为大量机化组织及粗糙骨小梁样物,切除前颅底病变并磨除部分骨质直至显露正常骨质,沿眶筋膜层面将肿瘤组织连同眶纸板一并切除。经后囟进入翼腭窝,经导航定位肿瘤外侧界后,将瘤体整体分离,见边界尚清,未损及颌内动脉。至此,瘤体完整切除,标本送病理检查。术中出血约200 ml,输血RBC 1 U。
卵黄囊瘤是恶性程度极高的一种生殖细胞肿瘤,本文报道的病例原发于幼儿的鼻腔,极其罕见,治疗和预后都面临许多困难。对于儿童YST目前公认的是,手术联合化疗是YST最好的治疗方式[4, 5]。研究表明,发生于性腺外的YST一般发现较晚,巨大YST包膜常常是不完整的,肿瘤实体呈果冻状易碎裂;且因其特殊的内胚窦样结构,术中易大量出血,故而导致手术无法彻底根治[6]。因此,如何选择手术时机,尽最大可能手术中完整切除肿瘤将直接影响患儿预后。
本例患儿肿瘤突入前颅窝底及左侧眼眶,视神经受压萎缩移位,眼球前突明显,若直接手术治疗很难在保全功能的情况下完整切除肿瘤。且手术风险极高,易引起颅内播散、加重视神经损伤、诱发颅内感染等,导致预后不良。据文献报道,早期YST的2年存活率低于20%,性腺外的YST预后更差,自含有铂类药物的化疗方案广泛应用以来,卵黄囊瘤的疗效和生存率明显改善[7]。本例患儿经术前化疗后,肿瘤实体明显缩小,突眼症状得到改善,特异性指标AFP降至正常,且经术后病理诊断,鼻腔内残留的瘤体为无活性的纤维组织。可见对于侵犯范围广的巨大YST,术前辅助化疗对手术的成功切除起着重要的作用,避免了术中严重并发症的出现,大大提高了术后患儿的生存质量。
由于来自卵黄囊的恶性肿瘤细胞仍保留胎儿期合成AFP的能力,故YST患者血清AFP水平可成倍增加,几乎没有假阴性。既往研究表明,YST患者手术或化疗后 AFP值可迅速下降,而当肿瘤复发或转移时AFP又会迅速上升,并且AFP的的改变,常常先于临床症状的出现[8]。本例患儿化疗3个疗程后血清AFP迅速由入院时的43 230.5 ng/ml降至正常,提示残留肿物可能为机化坏死组织,并得到术后病理结果证实,术后密切随诊,未再继续化疗。现患儿术后生命体征平稳,生存质量大大提高。但因YST的高度恶性,仍需长期随访,监测血清AFP水平,预防复发、转移。
所有作者均声明本研究不存在利益冲突





















