
患者,女性,25岁,因“左侧颌面部疼痛并左侧牙痛1年”入院。曾于当地医院行根管治疗、鼻窦开放术等,症状均无缓解。
左侧颜面部软组织稍肿胀,皮肤无红肿破溃,皮温不高,双侧鼻腔通畅,未见新生物及异常分泌物。张口度正常,面部未及“扳机点”。
鼻窦部CT/MRI平扫+增强考虑左侧上颌窦炎;Paget病可能性大。全身骨密度测定以及双侧肱骨、骨盆X线检查均未见异常。实验室检查提示碱性磷酸酶(ALP)升高。手术活检病理结果提示符合慢性鼻窦炎;畸形性骨炎。
FESS手术治疗左侧鼻窦炎,同时行左侧上颌骨活检术,术后药物治疗鼻窦炎,鲑降钙素及唑来膦酸治疗畸形性骨炎。
治疗后1个月,复查鼻内镜见术腔窦口开放良好,窦内无异常分泌物及新生物,治疗后5个月查电解质8项、降钙素、骨质疏松4项提示:25羟维生素D测定偏低(13.24 ng/ml),余正常。患者颌面部疼痛及牙痛均明显缓解。
耳鼻咽喉科;骨科
版权归中华医学会所有。本文为遵循CC-BY-NC-ND协议的开放获取文章。
畸形性骨炎也称变形性骨炎,1877年由Paget首先报道,后命名为Paget病。本病以骨重建增加、骨肥大、骨结构异常,可致骨痛、畸形和骨折发生为特点[1]。欧美国家多见,但在亚洲国家少见[2]。主要好发于中老年人,发病率从50岁开始每十年增加1倍,55岁以上中老年人群中约3%~4%受累,而40岁以下仅<1%。发病人群中男女比例约为3∶2[3, 4, 5]。本病原因尚不明确,目前较肯定的病因主要有病毒学说和遗传因素两种学说[3, 4, 6]。现报道本院一例慢性鼻窦炎合并畸形性骨炎的病例。
患者,女性,25岁,因“左侧颌面部疼痛并左侧牙痛1年”入院。1年前曾因上述原因至当地医院就诊,予行根管治疗、鼻窦开放术等,治疗后上述症状均无改善。既往无其他疾病史,无相关疾病家族史。
专科查体:左侧颜面部软组织稍肿胀,无触痛及按压痛,皮肤无红肿破溃,双侧鼻腔未见新生物及异常分泌物。25根管治疗后,无叩痛,颌面充填物无异常,不松动,牙龈无红肿;27颌面白色暂封物,无叩痛,不松动,牙龈无红肿。张口度正常,面部未及“扳机点”。
影像学检查:鼻窦部CT/MRI平扫+增强提示左侧上颌骨-蝶骨弥漫性增生硬化伴斑点状骨质破坏,周围软组织弥漫增厚肿胀,考虑左侧上颌窦炎;Paget病可能性大(图1)。全身骨密度测定以及双侧肱骨、骨盆X线检查均未见异常。


实验室检查结果:骨碱性磷酸酶(BALP)14.72 μg/L,碱性磷酸酶(ALP)133 U/L,25-羟基维生素D(D2+D3) 16.8 ng/ml,钙2.27 mmol/L,磷1.31 mmol/L。
临床诊断及依据:患者左侧颌面部及牙齿疼痛1年,无恶性肿瘤及血液系统疾病病史,影像学检查提示:左侧上颌窦炎,Paget病可能性大,血ALP增高,血磷、血钙、全身骨密度测定正常,实验室检查结果尚不足以支持Paget病的诊断。故临床初步诊断为:1.慢性鼻窦炎;2.畸形性骨炎待排。
鉴别诊断:典型颅骨PDB病诊断相对容易,但有时需与骨纤维结构不良、转移瘤、家族性高磷酸盐血症等进行鉴别诊断。
1. 骨纤维结构不良:是一种以纤维、骨组织类肿瘤样增生为特点的非遗传性疾病,多见于青少年,患者的血清碱性磷酸酶多正常或略高,此与PDB不同。
2. 转移瘤:患者无相关癌症病史,且单纯颅骨转移瘤罕见。如果怀疑骨转移的话,应完善活检,活检是鉴别Paget骨病和骨转移的有效标准。
3. 家族性高磷酸盐血症:又称青少年Paget病,是由TNFRSF11B基因突变(编码骨保护蛋白)引起的,常染色体隐性遗传,常在婴儿期发病。
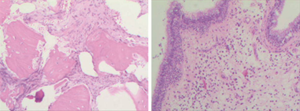
本例患者经过鼻窦炎药物及手术治疗后效果不佳,故考虑将本次治疗分为两个阶段:(1)先进行慢性鼻窦炎的综合治疗,手术清理上颌窦病变同时行上颌骨活检以明确诊断,插管全麻下行鼻内镜下经左侧泪前隐窝入路左侧上颌窦、筛窦开放术+左侧上颌骨病变活检术(图2),术后予鼻窦炎常规治疗。术后病理示:慢性鼻窦炎;(左侧上颌窦后壁组织)符合畸形性骨炎(图3)。(2)明确诊断以后转入我院内分泌科进行PDB药物治疗。予鲑降钙素注射液每天100 U皮下注射、5 mg唑来膦酸注射液单次静脉注射。




治疗后1个月,复查鼻内镜见术腔窦口开放良好,窦内无异常分泌物及新生物,治疗后5个月查电解质8项、降钙素、骨质疏松4项提示:25羟维生素D测定偏低(13.24 ng/ml),余正常。经上述治疗后患者颌面部疼痛及牙痛均得到明显缓解。
PDB 为局灶性慢性代谢性骨病,临床症状缺乏特异性,多数患者因其他原因行影像学检查或碱性膦酸酶(ALP)检测而意外发现,典型临床表现主要是渐进性加重的骨痛并骨骼畸形。可发生在长骨(如股骨和胫骨),也可在扁骨(如颅骨),常为夜间发生的固定钝痛,负重时不加重,难以与其他原因引起的骨痛相鉴别,骨痛的原因尚不明确,可能与骨膨胀性压迫牵拉或骨髓充血有关[3, 4, 6]。本例患者因颌面部疼痛而就诊。
PDB表现为慢性、进展性骨质破坏和修复再生,二者常同时或交替进行。肉眼下早期病变主要表现为骨质吸收、骨质疏松或(和)骨质软化,中晚期多表现为骨质破坏、骨质硬化、新生骨形成、皮质骨与松质骨不规则增厚、皮质与骨髓腔界限消失、骨骼弯曲变形或(和)膨胀增粗,常易继发病理性骨折。镜下见早期骨小梁吸收,脂肪性骨髓转变为纤维组织,较晚时编织骨或板状骨形成并杂乱排列,新旧骨由于粘合线杂乱排列而呈“镶嵌状”改变[7]。
目前PDB尚未有确底治愈的方法,治疗的目的是控制疾病的加剧进展,预防病理骨折、神经系统和恶化等并发症发生,双膦酸盐类药物是目前公认的治疗首选药物[8]。
(1)二膦酸盐:目前治疗方案主要推荐:唑来膦酸盐5 mg静脉单次输注(zol 5 mg sf),阿仑膦酸盐40 mg口服6个月,利赛磷酸盐30 mg口服2个月3种方法[9]。近年来,唑来膦酸注射液应用较广泛,使大多数患者症状显著缓解,对症状相对较轻或单纯骨性病变者疗效更佳[10]。对于复发的PDB患者,有研究显示再次给予zol 5 mg sf治疗依然有效,对于双膦酸盐抵抗的病例也可以给予降钙素治疗或尝试其他双膦酸盐方案的治疗[11, 12]。
由于唑来膦酸盐有强大的降血钙作用,所以zol 5 mg sf治疗后患者血钙出现明显降低。在给予zol 5 mg sf治疗前应积极补钙及维生素D,治疗中及治疗后应监测血钙,必要时给予静脉钙剂治疗,以避免低钙血症的发生[13]。
(2)降钙素:降钙素具有抑制破骨细胞增殖作用,能降低骨转换率及骨吸收。目前常用的是鲑鱼降钙素,方法是肌肉注射,每次50~100 IU,每日1次,两周后改为隔日1次。测定ALP用于评估治疗效果,4~8周以后判定治疗有效性。约70%的患者治疗后疼痛症状减轻,上述检测指标水平降低[14]。
仅很少一部分患者需要接受手术治疗。骨折移位及不愈合、关节畸形及脊髓神经受压患者可考虑手术治疗,包括截骨矫形、关节置换、减压等[14]。
利益冲突声明 所有作者均声明本研究不存在利益冲突





















