
患者,女性,27岁,主因发现血压升高10年入院。2007年,患者头痛,发现血压达到180/110 mmHg(1 mmHg=0.133 kPa),于当地医院查双侧肾动脉血管造影(computed tomography angiography,CTA)和双侧肾上腺CT未见异常。2013年于当地医院发现血清钾下降(2.8 mmol/L),卧位、立位血浆肾素活性(plasma renin activity,PRA)正常或下降,血浆醛固酮(aldosterone,ALD)升高,疑患有原发性醛固酮增多症,并接受螺内酯和依那普利的治疗。2016年患者血压控制不佳于天津医科大学总医院入院治疗,查PRA仍未升高,但血浆ALD升高。肾上腺增强CT及肾动脉造影显示左肾下极结节,考虑为囊肿。2017年,因顽固性高血压患者再次住院治疗,仰卧位血压240/160 mmHg,直立位血压220/140 mmHg。首次测量血浆肾素浓度(direct renin concentration,DRC),卧、立位DRC均明显升高,腹部增强CT显示左肾下极一实性结节,考虑为肾素瘤,转入泌尿外科行手术治疗。
体温36.2 ℃,心率87次/min,呼吸17次/min,血压240/160 mmHg,神清语利,皮肤及巩膜无黄染,全身浅表淋巴结未触及,颈软,无抵抗,气管居中,双叶甲状腺无肿大。胸廓对称,双肺呼吸音清,无干湿啰音,心律齐,未闻及病理性杂音。腹平坦,无腹壁静脉曲张,无胃肠型及蠕动波,无压痛、反跳痛及肌紧张,肝脾肋下未及,Murphy征阴性,肝区及双肾区无叩痛,移动性浊音阴性,肠鸣音正常,约4次/min,双下肢不肿。
卧、立位DRC均明显升高,ALD正常,血钾低,腹部增强CT显示肾上腺正常;左肾下极一实性结节,直径1.5 cm,密度呈斑点状;增强后轻微延迟成像,考虑肾素瘤可能性大。
完善术前准备,控制血压,于泌尿外科行腹腔镜坐肾部分切除术,完整切除肿瘤。术后病理及电镜提示为肾脏球旁细胞瘤。
术后1个月随访,血压控制满意,肾素、醛固酮及血钾恢复正常。
内分泌科;心血管科;泌尿外科;检验科;影像科
版权归中华医学会所有。本文为遵循CC-BY-NC-ND协议的开放获取文章。
肾球旁细胞瘤(juxtaglomerular cell tumor,JGCT),又称肾素瘤(reninoma),是一种罕见且诊断极具挑战性的疾病。肾小球旁细胞器的病变导致肾素过量产生,引起继发性醛固酮增多症、进而导致血压升高和血钾降低。降压药物通常无效[1, 2, 3],多见于年轻女性,20~30岁发病率最高[4]。值得注意的是,有的病例PRA不增高,或肾素瘤行CT增强扫描时,没有延迟显像,导致医生不考虑肾素瘤。我们报道1例历经十年多次查PRA不高,改为查DRC后明显升高的病例,旨在提高对本病的认识,减少误诊和漏诊。
患者,女性,27岁。2007年,因头痛发现血压升高,达到180/110 mmHg(1 mmHg=0.133 kPa),开始口服降压药物治疗(具体不详),血压可控制于150/90 mmHg左右,最高190/110 mmHg。2009年于当地医院住院治疗,查双侧肾动脉造影和双侧肾上腺CT,自诉未见异常(具体不详)。2013年,患者因手足麻木就诊于当地医院,发现血清钾下降(2.8 mmol/L),卧位、立位PRA正常或者下降,血浆醛固酮升高(表1)。腹部超声及双侧肾上腺CT未见异常,故诊断可疑原发性醛固酮增多症,并接受螺内酯和依那普利的治疗,血压控制在130~190/80~120 mmHg。2016年因血压控制不佳就诊我院心内科。入院查卧位PRA正常,立位PRA降低,卧、立位血浆醛固酮均升高。肾上腺增强CT及肾动脉CTA均显示双侧肾上腺未见异常,均提示左肾下极结节,囊肿可能性大。给予硝苯地平、阿罗洛尔、厄贝沙坦氢氯噻嗪降压及氯化钾对症治疗,好转出院。2017年,患者因“肾上腺正常”的醛固酮增多症及顽固性高血压就诊我院内分泌代谢科,以高血压原因待查收入院。入院查仰卧位血压240/160 mmHg,直立位血压220/140 mmHg。

患者肾素-血管紧张素-醛固酮系统及血钾实验结果
患者肾素-血管紧张素-醛固酮系统及血钾实验结果

1. 患者分别于2013年、2016年及2017年在当地医院及我院评估肾素-血管紧张素-醛固酮(Renin angiotensin aldosterone system,RAAS)系统,前两次均为放射免疫法测定血浆肾素活性,最后一次为自动化学发光法测定直接肾素浓度,三次查血钾均降低,化验结果见表1。
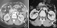
2. 患者2016年查肾上腺强化CT及肾动脉CTA提示双侧肾上腺未见确切异常,左肾下极结节影,直径14.7 mm,囊肿可能性大,请结合临床及超声(图1A)。2017年复查肾上腺强化CT,提示双侧肾上腺CT增强未见明显异常,左肾下极实性结节,直径15 mm,考虑肿瘤性病变,结合病史,肾素瘤可能性大(图1B)。


1. 诊断:左肾肾素瘤。患者为年轻女性,17岁发病,血压明显升高,最高达240/160 mmHg,发现血钾降低4年,应用多种降压药物均效果欠佳。本次入院评估肾素血管紧张素醛固酮系统,发现肾素浓度明显升高,肾上腺强化CT提示双侧肾上腺未见明显异常,左肾下极结节影,其内可见斑点状致密影,增强后呈轻度延迟强化,肾素瘤可能性大。
2. 鉴别诊断:
(1)肾细胞癌:部分肾癌可引起血浆肾素水平升高,但升高水平明显低于肾素瘤,主要发生于中老年,无痛性血尿多为首发症状。多为富血供肿瘤,CT增强检查时造影剂“快进快出”,肾素瘤动脉期强化不明显,呈延迟显像。
(2)肾动脉狭窄:肾动脉狭窄时肾素释放量增加,但活性不增高或略增高,血醛固酮升高和血钾降低不明显,腹部多可闻及血管杂音,肾血管造影可明确诊断。
(3)原发性醛固酮增多症:表现为高血压伴有低钾血症高醛固酮血症,但肾素水平低于正常,其病变在肾上腺而非肾脏,影像检查有助于定位。
转入泌尿外科后,完善相关评估。于2017年12月28日全麻下行后腹腔镜下左肾部分切除术,手术过程顺利,完整切除肿瘤。
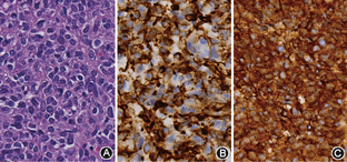
术后病理为(左)肾脏球旁细胞瘤,切面见囊实性肿物,大小1.5 cm×1.5 cm×0.8 cm,切面灰白、暗红色(图2)。免疫组化染色示CD34阳性,Vimentin弱阳性,CD7、CD10、EMA阴性;组织特染PAS阴性。肾组织各切缘未见肿瘤累及(图3)。电镜下胞质中可见菱形分泌颗粒,即不成熟的前肾素颗粒,具有诊断价值(图4)。






术后复查肾素、醛固酮正常,血钾恢复正常(表2)。患者术后停用补钾药物,应用硝苯地平缓释片30 mg/d,血压维持在130~150/70~90 mmHg,术后1年随访已停用降压药物,血压120/80 mmHg左右,血钾正常。

患者术前术后化验结果
患者术前术后化验结果
| 时间 | 肾素(卧位) 2.8-39.9 uIU/ml | 醛固酮(卧位) 3.0-23.6 ng/dl | 血钾 3.5-4.5 mmol/L |
|---|---|---|---|
| 术前 | 241.1 | 7.0 | 3.9 |
| 术后1天 | 1.9 | 3.2 | 4.0 |
| 术后1周 | 16.4 | 16.5 | 4.9 |
| 术后2周 | 4.1 | 5.6 | 4.3 |
本例患者历经10年方才发现高血压的原因——肾素瘤。患者曾经于外院及我院检测过肾素血管紧张素醛固酮系统,均显示肾素活性正常或者低于正常,醛固酮正常或者高于正常,并伴有低钾血症,故怀疑原发性醛固酮增多症可能性大,而肾上腺强化CT均未发现肾上腺占位病变。同时查肾动脉CTA未发现肾动脉狭窄。肾上腺强化CT及肾动脉CTA均发现左侧肾脏结节且考虑为肾囊肿可能性大。直至最后一次于我院改为测定直接肾素浓度后,肾素瘤才得以确诊,可见肾素瘤的诊断对于临床医师、检验科及放射科医师来说都具有一定的挑战,肾素瘤的诊断需要多学科的合作。
1967年,Robertson等[5]首次报道了肾素瘤病例,为一例患有严重高血压的年轻男性,在双侧肾上腺切除术中发现了肾脏肿瘤,从而推断出了肾素瘤这个诊断。近年来,全世界报道了约200例病例[6,9]。肾素瘤的诊断依赖于血浆肾素的测定,测定肾素时,可测定其酶活性(血浆肾素活性,PRA)或含量(直接肾素浓度,DRC)。PRA是在pH 5.7和37 ℃条件下,测定单位体积单位时间内受检测血浆血管紧张素原转变为血管紧张素Ⅰ(angiotensinⅠ,AngⅠ)的量来间接反应血浆中的活性肾素的水平[7]。正常值是(0.82±0.49)ng/ml·h(卧位)和2.37±1.3 ng/ml·h(立位)。PRA可通过放射免疫法测定,但DRC目前通常采用自动化学发光法测定[8]。
高肾素分泌引起的高血压通常见于年轻患者, 尤其是20~40岁,但确诊年龄从6~69岁[6],患者通常伴有严重的高血压, 低血钾及继发性醛固酮增多症[6,10]。肾素瘤患者最常见的症状是头痛[11]。其他症状包括多尿、多渴、夜尿和肌痛。
患者最终病理确诊,PRA和DRC均被测量,但是结果不一致,DRC升高而PRA并不高。既往报道中有43例病例评估了PRA,平均PRA为33.3 ng/ml·h(范围2.8~150.9 ng/ml·h),其中有40例包括了规范的PRA测定范围,PRA为正常上限(1.4~58)的(12±11)倍[6]。在本例患者的10年诊治过程中,正常或者偏低的肾素活性的机制如下。
首先,在检测肾素和醛固酮水平时应考虑常用降压药物的影响。本例于2007年住院前接受氨氯地平、依那普利和美托洛尔治疗,2016年住院前接受安体舒通和依那普利治疗。除美托洛尔外,所有这些药物均有刺激肾素分泌的作用,但其化验结果显示肾素活性不高。2017年住院前,使用硝苯地平、厄贝沙坦氢氯噻嗪、阿罗洛尔治疗,其中氢氯噻嗪和阿罗洛尔抑制肾素分泌,但化验显示肾素浓度增加。因为在肾素分泌肿瘤中,肾素瘤的肾素分泌能力超过β受体阻滞剂和氢氯噻嗪对肾素水平的影响。当然,还注意到在低钾血症的情况下应用含有氢氯噻嗪的降压药物有加重低钾血症的风险,应该尽量避免。
其次,肾素检测方法不同。PRA是通过测定血浆中AngⅠ的生成速率来确定的;即取两份血浆,一份与抗体直接反应测定对照管中AngⅠ含量,另一份在37 ℃下孵育一定时间后与抗体反应检测测定管中AngⅠ含量。二者差值除以孵育时间,即单位时间内AngⅠ的产生速率,称为肾素活性。当时国内使用的试剂盒线性范围很窄(0.19~12 ng/ml)。在这个范围内测量的结果是可靠的,超过上下限的结果是不可靠的。在本例病例,2016年检测结果显示:肾素活性在37 ℃和4 ℃ 培养下测量的AngⅠ值(直立位:15.78和15.16;仰卧位:15.00、14.91),故得出直立位肾素活性为0.62 ng/ml·h,低于正常值(1.95~4.02 ng/ml·h);仰卧位肾素活性为0.09 ng/ml·h,低于正常值(0.05~0.79 ng/ml·h)。因此,当检测到的AngⅠ达到了可能报道的最大值,即试剂盒所显示的12 ng/ml便导致无法区分两种温度下的AngⅠ的浓度,两种温度之间的差异(肾素活性)很低。当看到化验PRA较低,醛固酮水平较高,容易诊断为原发性醛固酮增多症。因此,当样品浓度超过检测范围时,应增加样品剂量(低于检测下限)或稀释样品高于检测上限重新检测。当然,在检测肾素活性过程中,其他注意事项还应包括将血液快速注入到含有酶抑制剂的抗凝管中,在冰水浴中冷却保存,快速离心,以及在采集血液后15 min内分离和去除血浆等方面。还应该注意到2013年及2016年的化验结果均显示血管紧张素Ⅱ(angiotensinⅡ,AngⅡ)明显升高,这和降低的肾素活性显然是矛盾的,但是并没有引起重视,可能是由于对于这个指标的意义缺乏足够的理解,或者临床中对于肾素和醛固酮的关注更多,对AngⅡ并没有注意到。
目前,DRC通常采用自动化学发光法检测,利用单克隆抗体识别肾素分子的特定表位,直接检测EDTA血浆中活性肾素的水平。新的自动检测方法操作简单,40 min内即可得出结果,提高了精度,更容易标准化,而且可以同时检测在同一管血液样本中肾素和醛固酮的浓度,得到ARR筛查结果。因此,实验室开始使用直接肾素浓度作为肾素活性的替代品。
本病例的血浆醛固酮水平并不总是升高。大多数肾素瘤伴有高醛固酮血症和低钾血症[10,12, 13]。然而,既往一些病例报道醛固酮水平不升高[6,14]。醛固酮水平每天变化,并受到循环血容量、血钾水平、情绪压力和姿势的影响。本例病例为慢性低钾血症,可抑制醛固酮的分泌。醛固酮水平也有可能与肾素瘤的功能状态有关。在有血钾数据报告的58例肾瘤中,81%的病例在出现时检测到低钾血症[6]。因此,低钾血症不是诊断肾瘤的必要条件。在测定血清钾时,应排除保钾降压药的作用,因为可能会掩盖继发性醛固酮增多症对钾平衡的最初影响。
影像学方法的应用也是发现肾素瘤的重要线索之一。CT是最可靠的肿瘤定位方法[15, 16]。未增强扫描可能无法发现小的等密度病变或将其误诊为囊肿;因此,所有病例均应进行增强扫描。肾素瘤的典型表现为早期动脉期无明显强化,而静脉期延迟强化。增强程度较周围肾实质弱,这种特征与其他类型肾肿瘤不同[17]。MRI是另一种可靠的诊断方法[6,16]。该肿瘤在肾血管造影中表现为一个小的无血管区域,假阴性率高达42.8%,但它可以排除肾动脉狭窄导致的肾血管性高血压[10,12, 13]。本例患者行肾CT动脉造影,未见狭窄。通过分侧肾静脉采血测定肾静脉肾素比值(renal vein renin ratio, RVRR)测定肾素活性有助于定位产生肾素的部位[18, 19]。据报道,RVRR为1.2时,敏感性为85%,特异性为75%,而RVRR为1.5时,特异性最大,敏感性有限[6]。Mimran[20]指出,肿瘤直径越小,肾静脉肾素水平偏侧更明显。Wong等[6]分析了86例采用不同成像方式的肾瘤的肿瘤大小,发现肿瘤直径在(0.2~9.0)cm之间,平均直径为3 cm。本例患者未进行分侧肾静脉采血,因为定位比较明确。若进行分侧肾静脉采血明确定位的病例,应关注肿瘤大小对结果的影响。
高肾素性高血压还应注意与肾动脉狭窄进行鉴别诊断。肾动脉狭窄时血浆肾素可以升高,但通常升高幅度要低于肾素瘤,同时醛固酮升高和血钾降低都比较轻。肾动脉造影检查可以明确诊断。
肾素瘤的最终诊断依赖于病理诊断。肾素瘤大体病理可见肿瘤边界清楚,多数病例可见完整或部分纤维包膜[4,21]。肿瘤切面呈黄色至灰褐色,常出血[4]。组织学上,肿瘤由多边形细胞组成,有时伴有核异形性,免疫组织化学肾素、波形蛋白(Vimentin)和CD34阳性。然而,肾素在肾母细胞瘤、肾细胞癌(RCC)或肾嗜酸细胞瘤的某些病例中可以观察到阳性[22]。从遗传学角度来说,目前关于肾素瘤分子遗传学的研究文献报道很少,有学者发现肾素瘤可以存在9号和11号染色体的丢失[23]。
肾素瘤手术切除是首选治疗方法。与开放手术相比,腹腔镜手术具有创伤小、出血少、操作精细、术后镇痛药物用量减少及患者恢复更快等优点。本例患者成功实施后腹腔镜下部分肾切除术,术后恢复良好。
综上,该患者确诊肾素瘤的诊断过程并不容易,因为实验室数据或影像学研究可能不支持或误导了医师,使肿瘤难以被发现。所以,未能识别出这种肿瘤可能是肾素瘤发病率低的原因之一。
所有作者均声明本研究不存在利益冲突





















