
患者,女性,49岁,5年前健康体检超声发现子宫肌瘤,未予治疗,超声随访发现肌瘤逐渐增大,欲行手术治疗,至我院妇科就诊。患者平素体健,已绝经,既往月经规律,轻痛经。无恶性肿瘤手术史。
患者无不适主诉,体格检查子宫后位,增大如孕2+月,形状不规则,无压痛,左附件区触及一包块,大小约5 cm×3 cm,表面光滑,活动可,质中,无压痛,右侧附件区未及明显异常。
超声示子宫多发肌瘤,左侧附件囊肿。入院后行胸部CT平扫发现两肺多发大小不等结节,部分表现为实性结节,部分呈囊腔样结节,壁不规则伴壁结节,部分结节内见钙化,性质待定。初步诊断为两肺多发转移瘤,遂胸腔镜下左肺上叶舌段结节活检术,术后常规病理诊断为肺良性平滑肌瘤,结合免疫组化及病史诊断为肺良性转移性平滑肌瘤。
腹腔镜下全子宫两侧附件切除术,术后无其他辅助治疗。
术后患者恢复良好,3个月后复查:盆腔超声检查子宫及两侧附件呈术后改变,无其他异常发现。胸部CT平扫与术前相比较,左肺上叶舌段病灶已切除,相应部位见术后遗迹。其余未切除肺内结节表现为:大部分实性结节见囊腔形成,部分实性结节体积明显缩小,而原囊腔型结节囊壁明显变薄,实性成分明显减少;无新发结节。持续随访中。
放射科;妇产科;胸外科;肿瘤科
版权归中华医学会所有。本文为遵循CC-BY-NC-ND协议的开放获取文章。
肺良性转移性平滑肌瘤(benign metastasizing leiomyoma,BML)是一种罕见的肺转移性良性肿瘤,由Steiner在1939年首先提出[1],至今全世界报道仅200多例[2]。本病多发生在子宫肌瘤手术后出现肺内播散的绝经前女性,子宫肌瘤同时伴发BML的绝经期后女性少见报道。BML为罕见病,尚未建立治疗标准。本文报道1例49岁绝经期患者,既往有子宫肌瘤病史,未治疗,胸部CT同时发现BML,以期为BML的个体化诊断和治疗提供参考。
患者,女性,49岁,5年前超声体检发现子宫肌瘤,未治疗,近期超声随访发现肌瘤逐渐增大,预行手术治疗。患者已绝经,绝经年龄48岁,既往月经规律,周期约22 d,轻痛经,无进行性加重,孕1产1,足月顺产。病程中无畏寒发热、无咳嗽咳痰,无胸闷心悸,否认高血压、冠心病、糖尿病史,否认“肝炎、结核”等传染病史,无胸部、腹部手术史,无恶性肿瘤手术史。体格检查示外阴:已婚已产式,阴道:畅,宫颈轻炎,无举痛,无接触性出血,子宫后位,增大如孕2+月,形状不规则,无压痛,左附件区触及一包块,大小约5 cm×3 cm,表面光滑,活动可,质中,无压痛,右侧附件区未及明显异常。
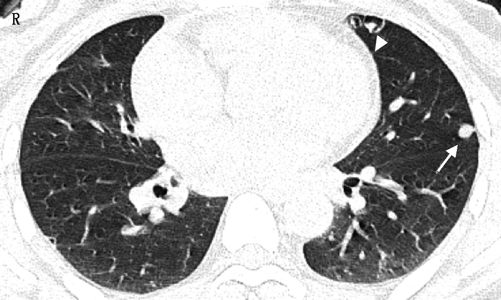
超声示:子宫增大,子宫体壁可见数个低回声团块,其中一个大小约4.6 cm×4.1 cm,左附件区见一个低回声团块,大小约5.1 cm×2.2 cm×5.9 cm。胸部CT平扫表现两肺多发大小不等结节,部分表现为实性结节(如图1、4A、图4E白箭示),部分呈囊腔样结节,壁不规则伴壁结节(如图1、4A、图4C白箭头示),部分结节内见点状钙化。病灶分布以肺外周近胸膜下为主,呈圆形或类圆形,边缘光滑,无分叶、毛刺、血管集束、胸膜牵拉等恶性征象,疑似转移。








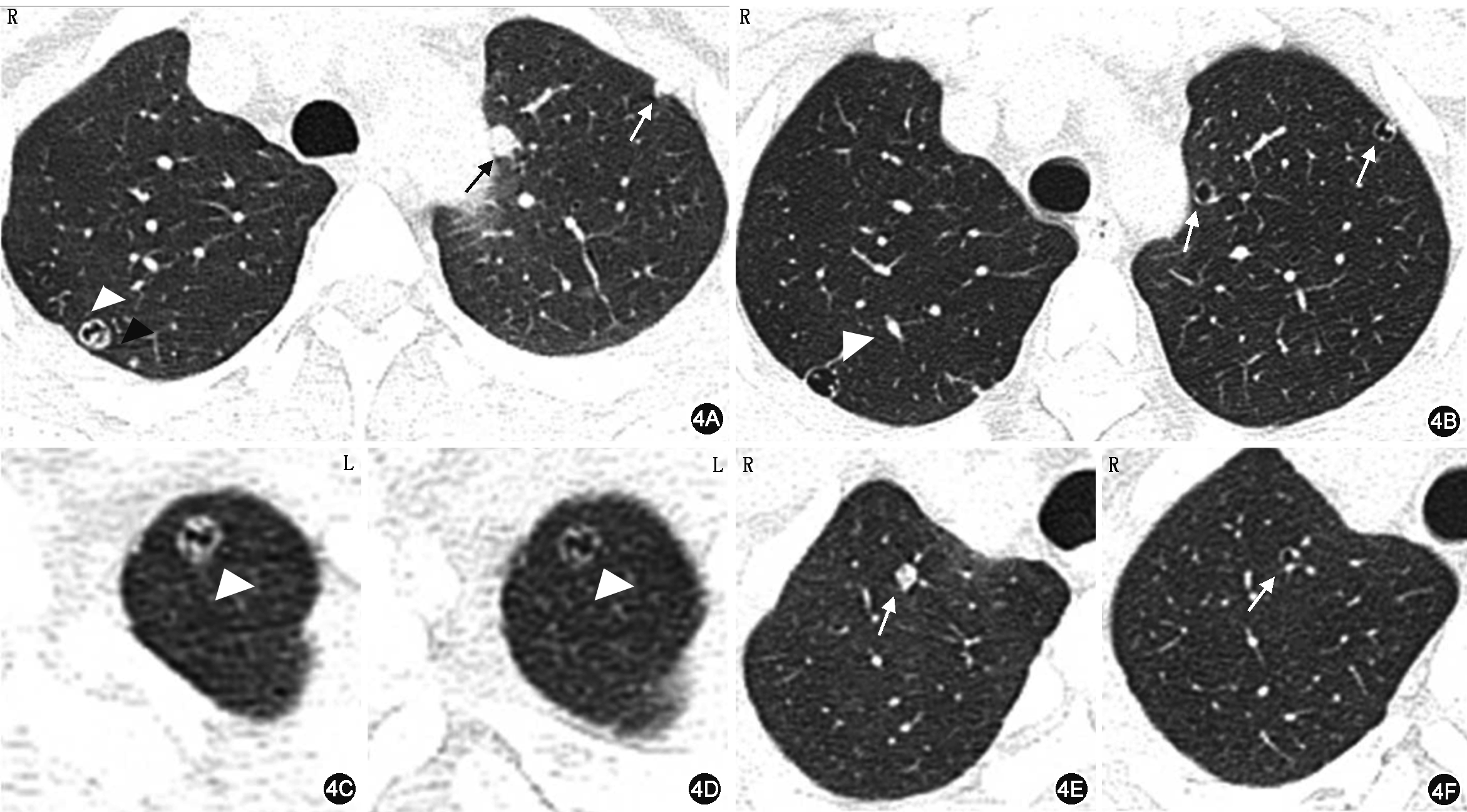
A~B:示右肺上叶囊腔样病灶的实性成分明显减少(白箭头),其后方1枚小结节(图4A黑箭头示)术后未见明确显示,左肺上叶2枚实性结节术后表现为囊腔样(白箭头);C~D:示左肺尖囊腔样病灶的壁术后明显变薄(白箭头);E~F:示右肺上叶实性结节术后呈囊腔样(白箭头)
患者平素体健,既往有子宫肌瘤病史,术前胸部CT发现两肺内多发结节,未找到其他可疑的原发恶性肿瘤灶,肺内病灶初步诊断为肺转移瘤,子宫平滑肌肉瘤伴肺内转移不能排除,还需与以下表现为肺内多发结节的疾病相鉴别:(1)原发于肺的平滑肌瘤性错构瘤(pulmonary fibroleiomyomatous hamartomas,PLH):两者CT表现相似,雌、孕激素受体的表达情况可以鉴别[3]。(2)肺淋巴管平滑肌瘤病(pulmonary lymphangioleiomyomatosis,PLAM):主要表现为大小不等的囊腔及肺弥漫性间质纤维化。因肺内恶性转移不能除外,请胸外科会诊建议胸腔镜下肺结节活检术,为保证能取到足够多的标本量,采取胸腔镜下左肺上叶舌段楔形切除术,术后常规病理及免疫组化示瘤细胞ER(中等表达+90%),PR(强表达+95%),P53(+),Ki67(+约5%),SMA(+),HMB-45(-),TTF-1(肺泡上皮+),S-100(-),Desmin(+),CK(-),考虑子宫平滑肌瘤扩散(图2)。
BML为罕见病,对该病缺乏诊治指南,依据子宫肌瘤的诊治中国国家共识[4],绝经后未行激素治疗但短期内肌瘤仍生长的患者应手术治疗。同时,这类患者高分化的子宫平滑肌肉瘤不能除外,参照子宫肉瘤诊断与治疗指南(2021年版)[5]遂采取腹腔镜下全子宫两侧附件切除术。术后病理示:(全子宫)多发性平滑肌瘤,部分富于细胞,ER(+,>80%),PR(+,>90%),P53(-),Ki67(+,热点约15%),SMA(+),CD10(-),见图3。
术后患者恢复良好,3个月后复查胸部CT,与术前相比较,除左肺上叶舌段1枚实性结节及2枚囊腔样结节手术切除外,其余肺内结节中实性成分均不同程度减少:大部分实性结节见囊腔形成,部分实性结节体积明显缩小,而原囊腔型结节病灶的壁明显变薄,无新发结节。持续随访中(图4)。
子宫肌瘤是妇科常见的良性肿瘤,多见于30岁以上的妇女,远处转移很罕见,可以转移至肺、淋巴结、腹盆腔、腹膜后、肌肉、血管及心脏[6, 7, 8],其中转移至肺部最多见[9, 10],称为肺良性转移性平滑肌瘤病(BML)。BML CT表现无特异性,可以表现为肺内孤立结节、单肺或双肺多发结节或肿块,也可以为囊腔样[11, 12, 13],由于病灶的血供情况不同,增强扫描病灶可以无或轻至中度强化,也可以明显强化,本例中患者术前及复查中只做了胸部CT平扫,并未增强,因此肺内多发结节的强化方式不得而知。
BML与肺的恶性转移、PLH、PLAM等不易鉴别。BML与PLH鉴别多有争议[14, 15],BML多见于有子宫肌瘤的女性患者,表达PR和ER,而PLH不表达PR和ER。本例患者中,肺内多发结节,有子宫肌瘤病史,PR强表达,ER中等表达,支持BML诊断。
目前,关于该病的发病机制尚不清楚。绝大多数BML发生于子宫肌瘤手术后的绝经前女性患者,目前发表的三项研究中统计患该病前有子宫肌瘤手术病史的概率分别为70%、80%、100%[16, 17, 18], 因此推测BML的发生可能是在子宫肌瘤手术时平滑肌细胞从子宫逃逸种植在肺部并逐渐扩增形成肺内转移。但冯凤芝等[16]总结29例BML中,有2例患者并无子宫肌瘤病史;还有3例患者此前无子宫肌瘤手术史,BML与子宫肌瘤同时发生,这3例患者中有2例为绝经后女性,这与本文报道的病例相似,另外Jo和Baek[19]也报道了1例类似病例。这提示我们,在绝经后的女性患者中,BML可能存在其他发病机制。
由于对BML的了解有限,治疗尚无规范或统一的标准。BML患者年龄主要集中于40~50岁,大多数患者无生育要求,因此子宫附件全切术仍为主流的治疗方式,若肺内转移灶为孤立结节,同时行肺内病灶根治性切除术可以达到疾病完全缓解[16]。若肺内为多发转移,子宫附件全切术后肺内病灶可以部分缓解或者稳定[20]。鉴于有限的治疗经验,本例患者选择子宫附件全切术,术前、术后无其他辅助治疗。术后患者恢复良好,3个月后复查肺内残余结节表现为:部分实性结节缩小,大部分实性结节呈囊腔样,大部分囊腔样病灶的壁明显变薄,无新发结节,因此,我们认为患者病情明显改善,不足之处在于,随访时间尚短,还需要持续随访,进一步观察患者最终结果。对于绝经前的患者,子宫附件切除术后可能使患者出现绝经期综合征,以往的研究认为该病的进展与雌激素的刺激有关,在绝经期、子宫附件手术后或药物去势后患者肺内病灶缩小或平稳[21],因此对年轻患者可采取保留卵巢的抗雌激素治疗,并密切随访。
BML不仅发生于子宫肌瘤手术后的绝经前女性,还可以子宫肌瘤与BML同时发生的绝经期女性。我们的案例表明,BML发生、发展可能与母瘤或卵巢的相关因素有关,因而在单纯的母瘤和卵巢切除后,BML逐渐退化。但这一观点尚须要更大样本的临床、生物学、遗传学方面的研究的支持。
所有作者均声明本研究不存在利益冲突





















