
患者,男性,42岁,因“发现右大腿包块5年余”入院。患者5年多前无意间发现右大腿有一红枣样大小包块,无疼痛,表面皮肤无红肿和破溃,右下肢无疼痛、麻木等不适,当时未予重视及治疗。包块随时间延长逐渐增大,来院就诊。
包块位于右大腿前侧,大小约8 cm×7 cm,质韧,与周围组织界限清楚,无触痛,表面皮肤无红肿及破溃。
超声引导下以细针穿刺活检,疑诊右大腿中段囊肿。建议必要时行手术探查;依据术前超声检查及下肢CT检查初步考虑为囊实性包块,良性病变可能性大。
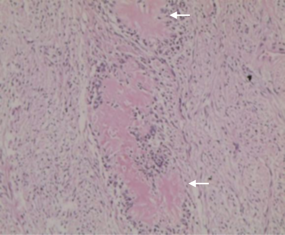
局部麻醉下行右大腿骨骼肌肿瘤切除+任意皮瓣成形术。术后切除物行组织病理学检查及免疫组织化学染色,诊断为低度恶性纤维黏液样肉瘤/伴巨大菊形团的玻璃样变梭形细胞肿瘤。
术后局部切口痊愈,患者无不适。
版权归中华医学会所有。本文为遵循CC-BY-NC-ND协议的开放获取文章。
低度恶性纤维黏液样肉瘤(low-grade fibromyxoid sarcoma,LGFMS)是一种罕见的恶性软组织肿瘤,发病率低,占所有恶性肿瘤的1%。1987年Evans首次报道并于1993年命名LGFMS[1]。LGFMS多发于中青年男性,有时可见于儿童,好发部位为四肢及躯干深部软组织,也可见于乳腺、头颅、颌面部、胸腹壁、结肠、肝脏等其他部位[2, 3],表现为生长缓慢的无痛性肿块。LGFMS缺乏典型的临床表现和特异的影像学特征,且发病率低,容易误诊。本文报道右大腿巨大低度恶性纤维黏液样肉瘤误诊为良性病变一例,旨在提高临床医生对本病的认识。
患者,男,42岁,因“发现右大腿包块5年余”入院。患者5年前无意间发现右大腿部位一红枣样无痛包块,表面皮肤无红肿、破溃、流脓等症状,右下肢无疼痛、麻木、运动障碍等不适,未予重视及处理。随着包块逐年增大,来院就诊。
患者体型发育正常,营养良好,全身皮肤黏膜未见皮疹、出血点及黄染,全身浅表淋巴结无肿大。入院时患者体温36.7 ℃,脉搏89次/min,呼吸19次/min,血压138/66 mmHg(1 mmHg=0.133 kPa)。双肺叩诊呈清音,听诊呼吸音清,未闻及干湿性啰音,心率齐,各瓣膜听诊区未闻及明显病理性杂音,余查体无特殊。右大腿前侧触及一大小约8 cm×7 cm包块,质韧,与周围组织分界清楚,无触痛,表面皮肤无红肿、破溃和瘙痒。
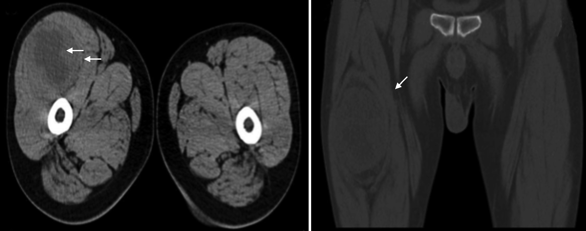
实验室检查结果:血常规检测显示白细胞计数6.57×109/L,血红蛋白170 g/L,血小板计数275×109/L,中性粒细胞39×109/L,淋巴细胞3.22×109/L。凝血酶原时间11.6 s,纤维蛋白原1.5 g/L。天门冬氨酸氨基转移酶41.5 μmol/(min·L),总胆红素16.9 μmol/L,清蛋白46.9 g/L,球蛋白28 g/L,碳酸氢根22.92 mmol/L,r谷氨酰转肽酶219.08 μmol/(min·L),总胆汁酸18 μmol/L。传染病筛查、乙肝五项检测未见明显异常。超声检查发现右侧大腿前侧上段肌层内见大小约10.0 cm×5.8 cm×9.0 cm囊实性包块,形态规则,边界欠清,内部回声不均,以囊性为主,彩色多普勒血流成像(color Doppler flow image,CDFI)显示其内棒状血流信号。脉冲多普勒宽度(pulse width,PW)检查示PSV为22.6 cm/s, 阻力指数为0.68,提示右大腿前侧上段囊实性包块,以囊性为主,良性病变可能性大(图1)。下肢CT平扫检查见右侧股前部肌肉间团块状软组织密度影,边界尚清,中心层面大小约6.5 cm×6.3 cm×8.2 cm,病灶内密度欠均匀,见片状稍低密度影,邻近肌肉及骨质未受侵(图2)。患者术中切除物行术后常规组织病理学检查行苏木精伊红染色(右大腿)梭形细胞肿瘤伴出血坏死,免疫组织化学染色示CD57(+),CD34(-),S100(+),Desmin(-),CK(-),Vimentin(+),BCL-2(+),Ki-67(1%+)。送检组织界限清楚,其内见成片梭形细胞,异型性不明显,病理性核分裂像<1个/50 HPF,部分区域见组织坏死,组织中见多个巨大菊形团结构,菊形团中央见胶原形成。




依据患者临床表现、体征、实验室检查和影像学检查结果,诊断为右侧大腿前肌群肌间占位,血管瘤?畸胎瘤?患者行右大腿包块超声引导下细针穿刺活检,提示右大腿中段囊肿可能性大。
结合患者病史、病变部位和形态、手术切除物苏木精伊红染色及免疫组织染色结果,诊断为低度恶性纤维黏液样肉瘤/伴巨大菊形团的玻璃样变梭形细胞肿瘤(图3)。


患者在局部麻醉下行右大腿骨骼肌肿瘤切除+任意皮瓣成形术,术中见包块深达皮下深部软组织,大小约8 cm×4 cm,以囊性为主,无明显边界,部分有包膜。将包块切除后创面盐水冲洗,止血后分离周围皮瓣下组织,放置引流管,间断缝合皮下及皮肤,敷料加压包扎固定。
术后患者全身一般情况较好,手术切开口愈合良好。术后3个月复查,右大腿术区软组织未见明显肿瘤复发及转移征象。
LGFMS是一种起源于间叶组织的梭形细胞肿瘤,可发生于各部位,常生长于躯干或四肢筋膜下,主要表现为生长缓慢、无痛的软组织肿瘤,边界清晰,有包膜。LGFMS组织学尽管表现为良性,但在生物学上具有恶性潜能[4]。组织学上,LGFMS肿瘤细胞含有卵圆形或短梭形核,无异型性或多形性[5]。苏木精-伊红染色可发现细胞呈漩涡轮状排列,近 2/5 的病例可见特征性巨菊形团。伴巨大菊形团的透明梭形细胞肿瘤(hyalinizing spindle cell tumor with giant rosettes, HSCT)由Lane等于1997年报道,有人认为两者为同一种肿瘤,并将LGFMS分为经典型和特殊型HSCT。经典型LGFMS纤维区和黏液样区相互交替,梭形细胞排列呈漩涡状或轮转状,无/轻微核异型性;HSCT在经典型的组织学特征基础上具有特征性玻璃样胶原形成的菊形团, 胶原周围常有上皮样纤维母细胞。两种肿瘤虽然相似处较多,但表达的某些化学因子不同,故有人对两种肿瘤是否为同一种肿瘤存有质疑。Folpe等[6]建议将两者参考为纤维肉瘤,低度恶性纤维黏液型,无论有无菊花团存在。
由于LGFMS较罕见,临床表现和影像学特征缺乏特异性,故诊断具有一定的困难。本例患者主要表现为右大腿生长缓慢的无痛性包块,病程较长,患者及时就诊意识不足。但是在入院后的相关检查中发现,该肿瘤在超声检查影像中主要表现为巨大囊实性包块,内部回声不均,以囊性为主,CDFI检查其内见点棒状血流信号,阻力指数<0.7,与以往报道的LGFMS为低回声实性包块,部分呈分叶状,回声均质或不均质,多低于肌肉回声,其内可见血流信号,血流频谱表现为低速高阻特点的声像图表现不相符[7, 8, 9];CT影像则表现为右侧股前部肌肉间见团块状软组织密度影,考虑为血管瘤或畸胎瘤可能,二者影像学结合多倾向右大腿良性病变。超声引导下包块细针穿刺活检中,由于包块囊性成分较多,细针穿刺检查获取的组织细胞相对较少,故误诊为囊肿。本例的诊断过程提醒我们,在今后工作中应对可疑病变选择进一步的增强影像学检查,采用空芯针代替细针穿刺以提高活检阳性率,提高诊断的准确性。
LGFMS最终的确诊依赖术后切除物的病理学检查及免疫组织化学染色,但术前影像学检查对手术仍有一定的指导作用。超声检查对于肿瘤的囊实性成分及血供情况的判断以及有无淋巴结转移有较好的特异性,而CT及MRI可以直观地描述病变的形态、结构特征以及与周围组织的关系[10],影像学检查可在这些不典型病例的诊疗过程中提供有价值的信息,影像医师在今后的工作可以提高对本病的认识。
LGFMS主要与黏液纤维肉瘤、神经纤维瘤粘黏液变性、神经鞘黏液瘤、黏液样脂肪肉瘤等相鉴别,影像学表现无明显特征性,诊断主要依据临床特点及病理学诊断。LGFMS治疗首选广泛手术切除,辅助以放疗和化疗可明显改善预后。LGFMS的预后与其分化程度、是否浸润转移等密切相关。尽管LGFMS恶性程度低,但其复发率及远处转移率较高[11],因此术后需进行长期严密随访,影像学检查对术后病情监测及随访有较高的临床价值。
所有作者均声明本研究不存在利益冲突





















