
患者,男性,23岁。因“间断心悸、胸痛1个月”入院。患者在外院就诊2周后考虑陈旧性心肌梗死,给予对症治疗,患者本次因再发心悸、胸痛就诊于我院。
间断心悸、胸痛1个月。患者于入院前1个月动后出现心悸、胸痛,深呼吸时加重,伴左肩不适。深呼吸时左肩牵扯痛,无胸闷、大汗,无恶心、呕吐、头晕、黑蒙等不适。胸廓正常,双肺呼吸音粗,肺底可闻及干湿性啰音,右侧较多。心界叩诊扩大,心音可、律齐,各瓣膜未闻及病理性杂音,可闻及心包摩擦音。腹软,无腹壁静脉曲张,肝脾未触及,移动性浊音(-),全腹软,无压痛,未扪及包块,脊柱四肢无畸形,生理反射存在,病理反射未引出。
患者入院结合患者病史提供的症状与体征,心电图、动态心电图、心肌MRI、心脏彩超,冠脉造影及血管内超声,胸部CT平扫以及免疫等相关化验结果做出最终诊断。
对该患者行激素+免疫抑制剂联合治疗(泼尼松1 mg/kg+环磷酰胺100 mg,1次/2d)。建议患者有必要行抗结核治疗,同时检测血常规、肝肾功能,红细胞沉降率以及C反应蛋白检查。
该患者经过治疗1周后明显感觉心前区压迫感减轻,心包摩擦感减轻。考虑出现心室附壁血栓,口服华法林并停用阿司匹林等,出院前调整凝血酶原时间国际标准比值(PT-INR)2.05。建议患者外科行室壁瘤切除手术治疗,家属拒绝签字后出院,出院后变化随诊。
心血管内科;风湿免疫科
版权归中华医学会所有。本文为遵循CC-BY-NC-ND协议的开放获取文章。
白塞氏综合征(Behcet′s syndrome,BS)又称白塞病(Behcet′s disease,BD),约6%累及心血管系统,主要包括心肌心包炎、假性动脉瘤和假性心室室壁瘤[1]。本例为白塞氏心血管病,临床表现主要为:冠状动脉多发动脉瘤以及左心室巨大假性室壁瘤。患者无胸部外伤史,但从其病史及心电图变化可以推测其假性心室壁瘤应是逐渐发生和发展的,病因是白塞病导致的心肌损害。白塞病引起左心室巨大假性室壁瘤极其罕见,并同时伴有血管型白塞综合征的病例更是罕见。同时,本例有着极其容易误诊的特点。从本病例中可以将白塞氏心血管病做以全面了解,所以现将本例患者的化验检查及诊治过程做以详细的介绍。
患者,男性,23岁。因“间断心悸、胸痛1个月”入院,入院前1个月动后出现心悸、胸痛,深呼吸时加重,伴左肩不适,深呼吸时左肩牵扯痛。无胸闷、大汗,无恶心、呕吐、头晕、黑蒙等不适。患者自本次发病以来,精神尚可,食欲正常,睡眠欠佳,大小便如常,体重未见明显下降。否认高血压、糖尿病、脑梗死以及脑出血病史,否认肝炎、结核等传染病接触史,否认食物药物过敏史,预防接种史不详。母亲乳腺癌,爷爷脑出血,否认冠心病、高血压家族史,否认其他遗传性家族疾病病史。
入院体格检查:神志清楚,体格检查合作,全身皮肤无皮疹及出血点。胸廓正常,双肺呼吸音粗,肺底可闻及干湿性啰音,右侧较多。心界叩诊扩大,心音可、律齐,各瓣膜未闻及病理性杂音,可闻及心包摩擦音。腹软,无腹壁静脉曲张,肝脾未触及,移动性浊音(-),全腹软,无压痛,未扪及包块,脊柱四肢无畸形,生理反射存在,病理反射未引出。
患者于入院前2周就诊于外院(中国医学科学院阜外医院)检查。
入院心肌酶检查:CK 56 U/L,CK-MB 37 U/L,TNT<0.01 ng/ml,NT-proBNP 2077.0 pg/ml,D-二聚体(D-D)>5.00 μg/ml,总胆固醇、甘油三酯、低密度脂蛋白(-),空腹血糖4.60 mmol/L,血红蛋白107 g/L,红细胞沉降率73 mm/h,超敏C反应蛋白(Hs-CRP)38.31 mg/L,尿、便常规正常,肾功能、电解质、血气分析、肝功能、游离甲功未见异常。
(1)心电图示:窦性心律,心率94次/min,Ⅲ、aVF、aVL导联T波低平,V2~V5导联ST段抬高约0.05~0.2 mV,R波递增不良。
(2)胸片检查:两肺纹理大致正常,未见实变;主动脉结不宽,肺动脉段平直;左室增大,左心室下缘异常膨凸,心胸比:0.55(图1)。


(3)胸CT检查示:双肺炎症,心包积液。
(4)超声心动图(UCG)示:射血分数0.35,节段性运动异常,心尖部室壁瘤形成,左心功能减低,左室心尖部向外膨凸,大小约69 mm×50 mm。5 d后复查超声心动图结果:射血分数0.40,节段性室壁运动异常,左室收缩功能减低,左室心尖部假性室壁瘤形成,左室心尖部向外膨凸,大小约69 mm×50 mm。
(5)静息心肌灌注显像(SPECT)结果:①心肌活力评价:左室心尖及下壁近心尖以透壁性心肌梗死改变为主,约占左室面积12%,间隔近心尖有部分存活心肌(冬眠心肌),约占左室面积6%,其余心肌阶段性血流灌注/代谢大致正常;②左室功能评价:左室心腔增大,心尖及尖下壁室壁运动明显减弱至消失,左心射血分数0.53。
考虑为陈旧性心肌梗死,给予改善冠脉血供,控制心率、血压,以及调脂稳定斑块等对症支持治疗,出院诊断:①冠状动脉粥样硬化性心脏病(可能性大)、陈旧性心肌梗死、心脏扩大、左心室前壁心尖室壁瘤、心包积液;②心律失常、窦性心动过速、心功能Ⅲ级(NYHA分级);③肺部感染;④结膜炎。出院口服阿司匹林、托拉塞米、地高辛、螺内酯、培哚普利叔丁胺片以及美托洛尔缓释片治疗。
血液化验结果显示网织红细胞百分比2.48%,网织红细胞计数 90.30×109/L;贫血三项结果显示铁蛋白197.17 ng/ml,叶酸1.82 ng/ml,维生素B12 233.70 pg/ml;入院心肌酶检查显示 CK 47 U/L,CK-MB 11 U/L,TNI 0.033 ng/ml,NT-proBNP 1812 ng/ml。肝功能检查显示ALB 30 g/L、GLO 46 g/L、ALT 9 U/L、AST 13 U/L、碱性磷酸酶69 U/L、谷氨酰胺转氨酶 26 U/L、LDH 194 U/L、血清总胆红素4.9 μmol/L、直接胆红素 2.1 μmol/L。总胆固醇3.48 mmol/L↓,甘油三酯0.78 mmol/L↓,HDL 0.77 mmol/L,LDL 2.43 mmol/L,空腹血糖4.80 mmol/L;凝血功能检查结果显示D-二聚体 4343 ng/ml↑、纤维蛋白原(FIB)4.08 g/L、PT 16.1 s、PT-INR 1.46、活化部分凝血活酶时间(APTT)31.0 s、TT 16.9 s。尿、便常规未见异常,肾功能、电解质、血气分析、游离甲功未见异常。乙肝、丙肝、梅毒等检查未见异常。

血常规检查
血常规检查
WBC (109/L) | RBC (1012/L) | Hb (g/L) | PLT (109/L) | N (%) | EOS (%) | |
|---|---|---|---|---|---|---|
| 入院 | 9.43 | 3.83 | 103 | 347 | 66.1 | 5.6 |
| 第3天 | 8.82 | 3.50 | 95 | 321 | 71.2 | 4.2 |
| 第4天 | 10.85 | 3.67 | 100 | 277 | 73.8 | 4.4 |
| 第5天 | 8.70 | 3.63 | 100 | 308 | 75.4 | 3.0 |
(1)心电图示:窦性心律,偶发室性早搏,HR 114 次/min,Ⅲ、avF、avL导联T波低平,V2~V5导联ST段抬高约0.05~0.1 mV,R波递增不良。十二导动态心电图:最快心率133 次/min,最慢心率103 次/min,平均心率为120 次/min,室性早搏6次,单个室性早搏6次,成对室性早搏0次,室上早0次。室上性早搏,室性早搏,胸前导联R波递增不良,T波改变,心率变异减低。
(2)超声心动图(UCG):LA 45 mm,LV 62 mm,RA 35 mm,RV 30 mm,IVS 8 mm,LVPW 9 mm,EF 40%,左心增大。左室心尖部可见一大小约76 mm×84 mm巨大瘤样结构,瘤壁厚度约2 mm,瘤径宽约28 mm,瘤体与左室之间有双向低速血流交通(收缩期80 cm/s,舒张期56 cm/s), 瘤体内血流缓慢、可见云雾状回声,余左右室壁厚度及运动正常;后及右侧心包腔舒张期可见4 mm无回声区,左心包腔舒张末期可见3 mm无回声区。
(3)腹部B超:肝、胆囊、胰腺、脾肾未见明显异常。
(4)双下肢动脉彩超:双侧股总动脉、股浅动脉、腘动脉、胫前动脉、胫后动脉、足背动脉未见明显异常(血管通畅)。
外院考虑为冠心病 陈旧性心肌梗死 缺血性心肌病,那么室壁瘤也就是心肌梗死的并发症了。患者本次因再发心悸、胸痛就诊于我院,入院后初步诊断为“陈旧性心肌梗死、左心室室壁瘤、心包积液”,给予阿司匹林改善冠脉血供,美托洛尔缓释片控制心率血压以及调脂稳定斑块,利尿改善心功能等对症支持治疗。然而经心脏彩超专家评定该患者心脏彩超结果未发现阶段性运动障碍等心肌梗死的证据,从影像学不能支持该患者有心肌梗死。鉴于外院未行心脏血管检查,我们选择期给患者行冠状动脉造影+血管内超声(CAG+IVUS)检查,结果提示:左主干未见狭窄,前降支近端管壁不规则,中段发出穿隔支可见动脉瘤,穿隔支动脉瘤以远可见血管显影,前降支远端可见动脉瘤、瘤体远端可见残余血管影、血管远端未显影;回旋支近端管壁不规则,第一钝缘支(OM1)闭塞;右冠状动脉未见狭窄。左室造影结果:左室可见巨大室壁瘤,左室舒张末压力25 mmHg(1 mmHg=0.133 kPa),左心室与室壁瘤间未见明显压力阶差。术中于前降支与回旋支行IVUS示:血管内膜增厚。从冠脉造影结果看冠心病诊断不成立,患者很年轻且既往无冠心病家族史,冠状动脉动脉瘤的形成需要警惕其他疾病的可能。
反复详细询问病史发现:该患者间断发热病史多年,多为低热,4年前反复口腔溃疡病史,且家族中哥哥、姐姐有反复口腔溃疡病史。3年前无明显诱因双消退无明显诱因出现红斑丘疹及结节,伴瘙痒,可自行消退并遗留暗红色素沉着。曾经腹泻后出现双膝关节、踝关节肿胀。3个月前结膜炎病史,且视物模糊。患者入院后第3天再次出现低热,体温在37.2~37.8 ℃,查感染相关指标PCT等未见明显异常,痰细菌真菌以及厌氧菌培养(-),血培养(-)。给予降温对症治疗后体温恢复正常。请示感染科和风湿免疫科等多学科联合会诊(MDT)后建议继续完善相关化验与检查,心内科专家建议完善心脏MRI明确心肌情况。
其他完善感染免疫相关指标:降钙素原(PCT)0.09 ng/ml;ESR 60 mm/h↑;结核感染T细胞检测(T-spot)结果阳性。风湿免疫全项+风湿抗体:IgG 1730 mg/dl↑、IgA 630 mg/dl↑、IgE 638 IU/ml↑、补体C3 125 mg/dl、CRP 6.22 mg/dl↑、ANA(-)、dsDNA(-)、nRNP(-)、Sm(-)、Ro-52(-)、SS-A(-)、SS-B(-)、Scl-70(-)、Jo-1(-)、抗着丝点蛋白B抗体(-)、抗核小体抗体(-)、抗组蛋白抗体(-)、抗核糖体P蛋白抗体(-);ACL(-)、GPI<0.20 mg/l;RF<20.0 IU/ml、ASO 841 IU/mL;ANCA-C型(-)、ANCA-P型(-)、抗MPO<20.0 RU/ml、抗PR3<20.0 RU/ml,轻链KAP 2.50.00 mg/dl↑,轻链LAM 838.00 mg/dl↑。血清蛋白电泳未见明显异常。
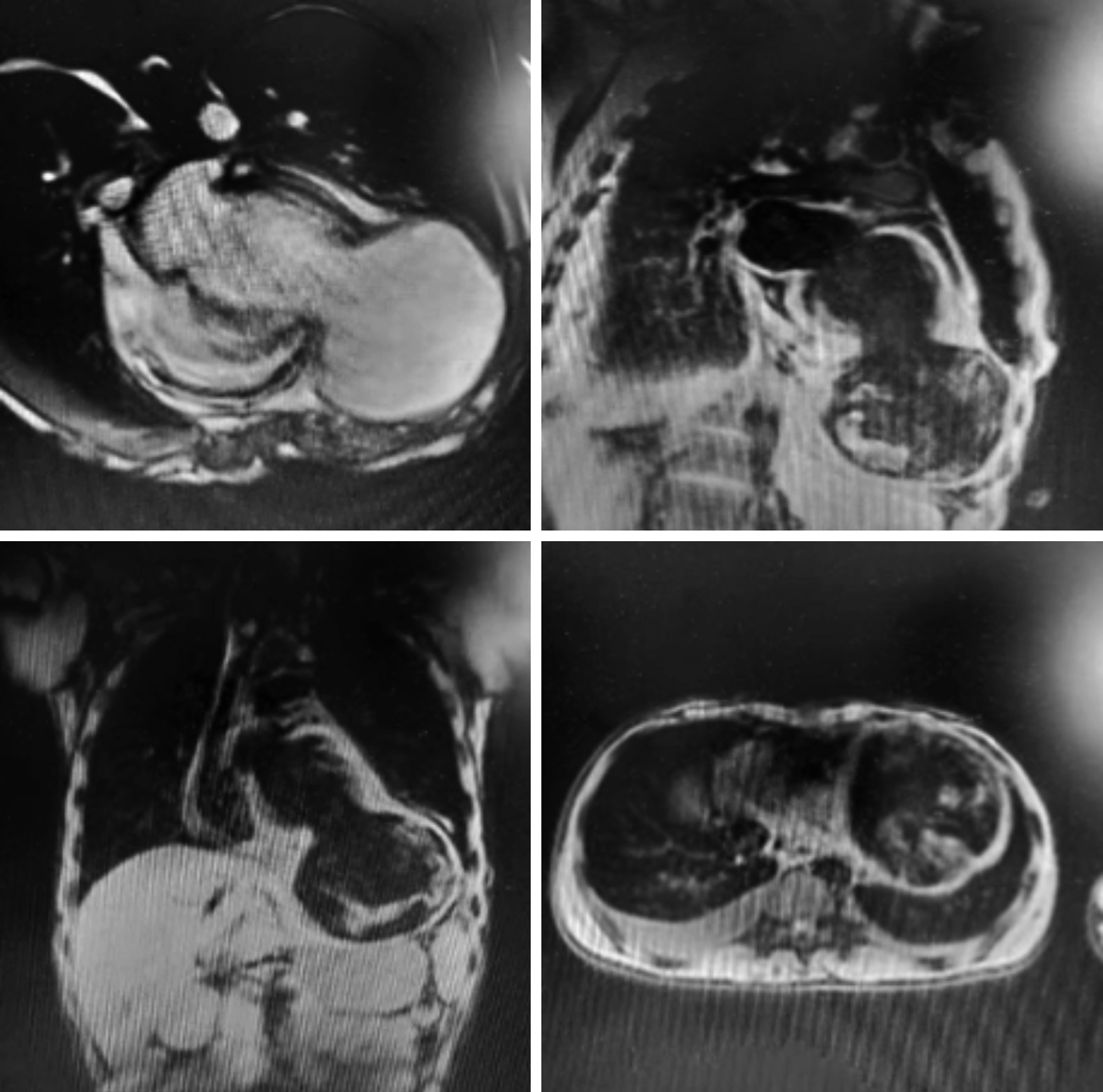
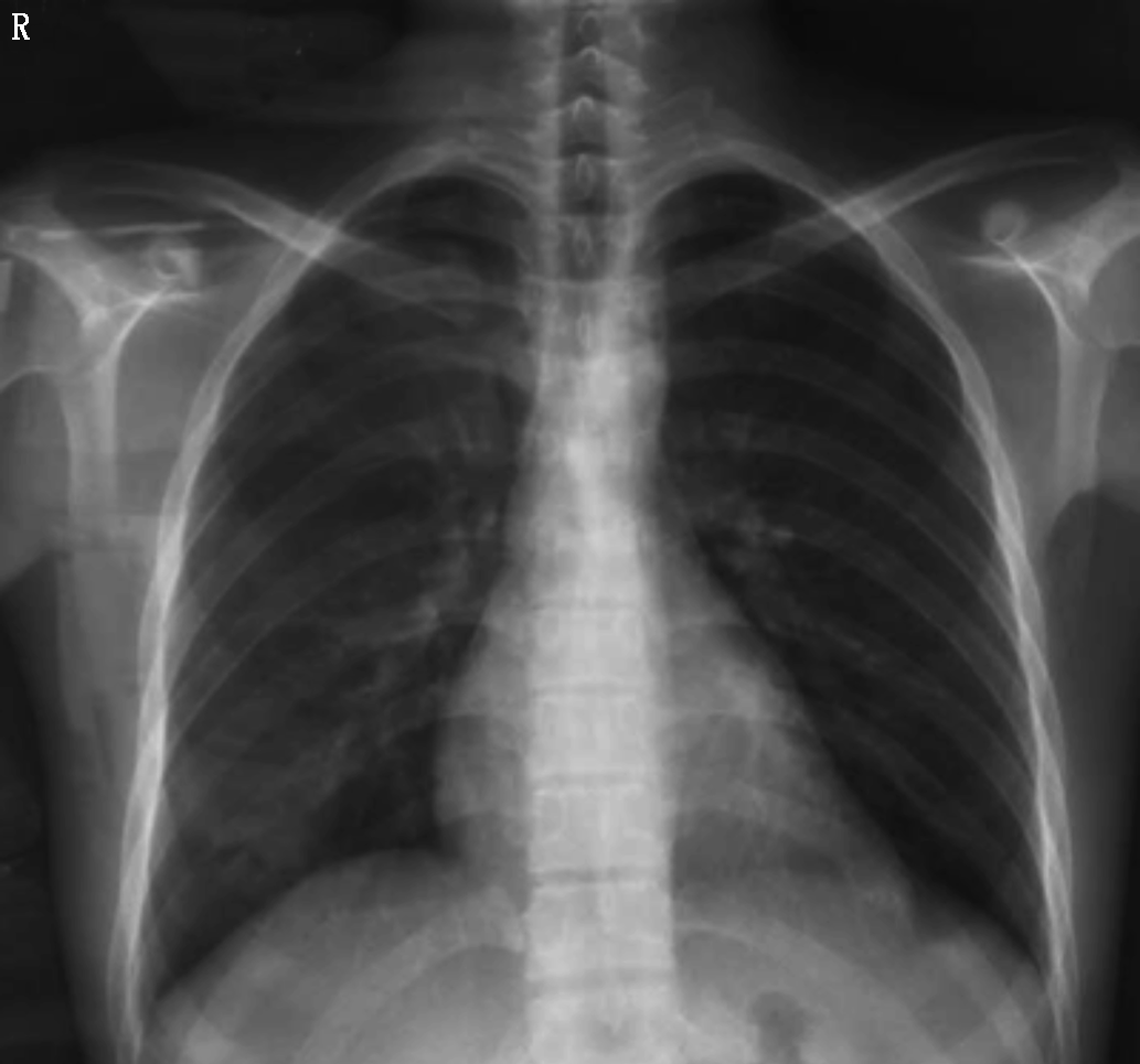
院内胸片检查显示心影明显增大,形态欠规则;两肺纹理增多、模糊,左肺中下野斑片影;左侧膈肌及肋膈角显示不清,不除外左侧胸腔积液(图2)。院内胸部CT平扫检查显示心影增大,左肺中下叶可见多处斑片影,考虑肺水肿以及慢性炎症(图3)。院内心脏MRI检查显示左心室心尖部巨大瘤样膨出;冠状动脉瘤(前降支,多发)结合临床,符合白塞氏所致心脏、冠状动脉改变;肺水肿,心包积液,双侧胸腔积液,考虑心功能不全所致(图4)。






本例患者经多方面检查以及化验结果以及冠脉造影结果来看,并不是陈旧性心肌梗死缺血性心肌病,按常规心肌梗死以及控制心衰治疗也并不能控制病情。本例患者有反复口腔黏膜溃疡和皮肤损害,入院检查发现炎症反应(ESR 60 mm/h↑、CRP 6.22 mg/dl↑),免疫学检查结果阴性:免疫全项+风湿抗体、ACL(-)、GPI<0.20 mg/l;RF<20.0 IU/ml、ASO 841 IU/mL;ANCA-C型(-)、ANCA-P型(-)、抗MPO<20.0 RU/ml、抗PR3<20.0 RU/ml。根据2014年白塞病国际研究小组制定的BS诊断/分类标准评分为:4分[2, 3],诊断白塞病成立。同时根据白塞氏诊断标准(表2),心脏MRI和心脏彩超及冠脉造影结果,本患者符合白塞氏心血管病。

白塞病诊断标准
白塞病诊断标准
| 主要症状:①反复口腔溃疡;②皮肤病变:结节红斑、皮下栓塞性静脉炎、毛囊炎样皮疹、痤疮样皮疹;③眼病变:虹膜睫状体炎、视网膜炎;④外阴溃疡。次要症状:①无畸形关节炎;②附睾炎、回盲部溃疡为主的消化系统病变;血管病变;④中度以上的中枢神经病变 |
|---|
| 诊断标准:(1)完全型:病程中有4个主要症状表现;(2)不完全型:病程中有3个主要伴2个次要症状;病程中有典型眼病变及另1个主要症状或2个次要症状。可疑者:有主要症状出现,但尚不够诊断标准,或视反复出现次要症状并有恶化倾向。特殊类型:肠白塞病、血管白塞病、神经白塞病 |
| 有助于诊断的方法:①皮肤针刺样反应;②炎症反应迹象:血沉上升,血清CRP阳性,外周血白细胞增多;③HLA-B15(B5)阳性 |
对本例患者行激素+免疫抑制剂联合治疗(泼尼松1 mg/kg+环磷酰胺100 mg,1次/2d)。建议患者有必要行抗结核治疗,同时检测血常规、肝肾功能,红细胞沉降率以及CRP。本例患者经过治疗1周后明显感觉心前区压迫感减轻,心包摩擦感减轻。出院前复查心脏彩超:LA 44 mm,LV 62 mm,RA 36 mm, RV 33 mm,IVS 10 mm,LVPW 9 mm,EF 40%,左心增大,左室心尖部可见一大小约94 mm×80 mm巨大瘤样结构、瘤壁厚度约2 mm,瘤径宽约28 mm,瘤体与左室之间有双向低速血流交通(收缩期80 cm/s,舒张期56 cm/s), 瘤体内血流缓慢、可见中度云雾状回声,瘤腔内可见回声中等回声团块,紧贴大部分瘤壁,厚约7~20 mm,余左、右壁厚度及运动正常;后及右侧心包腔舒张期可见4 mm无回声区,左心包腔舒张末期可见3 mm无回声区。考虑出现心室附壁血栓,口服华法林并停用阿司匹林等,出院前调整PT-INR 2.05。建议患者外科行室壁瘤切除手术治疗,家属拒绝签字后出院。
白塞病是一种原因不明的、以血管炎为病理基础的慢性多发系统疾病。口腔、生殖器溃疡、皮肤及眼病最常见,可累及关节、心血管、胃肠道、神经系统、肺等器官[4, 5]。调查流行病学显示高发于丝绸之路的范围,故又称为“丝绸之路病”[6],本病可能与单纯疱疹病毒、EB病毒、结核杆菌等感染相关。白塞氏心血管病主要表现在冠状动脉多发动脉瘤以及左心室巨大假性室壁瘤。合并血管炎的白塞病称为血管型白塞病。当血管炎性反应侵犯大血管时,病情较重,血管病变表现为动脉闭塞、静脉闭塞和动脉瘤,或三者并存。全身的动静脉均可发病。累及静脉系统常表现为血栓性浅静脉炎和下肢深静脉血栓形成;累及动脉常表现为动脉瘤样扩张等。静脉系统受累比动脉系统受累更常见,占血管型白塞病的70%~75%[7]。
本例患者可能存在结核感染因素,综合检查与化验结果分析诊断结果为左心室巨大假性室壁瘤合并血管型白塞病。对于白塞氏心血管病患者,需要长期进行免疫抑制剂治疗和维持治疗,也是白塞病预防以及改善心脏损害的关键。巨大假性室壁瘤会带来恶性心律失常、心衰以及栓塞等并发症,其治疗主要是外科切除以及抗凝治疗。
所有作者均声明本研究不存在利益冲突





















