
患者男,68岁,间断胸痛9个月,再发半年余。
9个月前无明显诱因突发心前区刺痛,急诊于当地医院就诊,ECG及心肌酶未见异常,白细胞计数增高,胸部CT提示肺内多发小结节及索条影,诊断为胸膜炎,抗炎治疗。次日再发胸痛,冠脉造影提示三支病变,LAD近中段弥漫狭窄60%~90%,LCX远段狭窄99%,RCA远段狭窄70%,诊断为三支病变,主要累及LAD和LCX,于LCX远段置入支架。1个月后再次PCI,于LAD近中段串联置入2个支架,实现造影指导下完全再血管化。术后频繁发作心绞痛8个月。
行两日法99Tcm-MIBI运动负荷+静息心肌灌注显像,提示部分后间隔中段及基底段、部分下壁中段及基底段(RCA供血区)心肌缺血,约占左心室心肌面积12%;部分下壁基底段(RCA供血区)、部分后侧壁中段及基底段(LCX供血区)心肌梗死,约占左心室心肌面积12%。左心室整体收缩功能正常。
临床再次冠脉造影,RCA中远段狭窄70%~90%,病变较前加重,置入支架1个,实现功能意义上心肌血流灌注的完全再血管化。
术后心绞痛症状明显缓解,随访2年至今,无不适症状,活动耐量良好。
心内科;心外科;核医学科
版权归中华医学会所有。本文为遵循CC-BY-NC-ND协议的开放获取文章。
冠心病是危害人类健康的重要疾病。我国冠心病在临床上呈现发病年轻化,发病人数逐年增多,病变血管愈加复杂等特点。临床研究证实,冠脉多支病变是引起心力衰竭的主要原因,也是影响患者预后的主要因素之一。
随着医学技术进步,经皮冠状动脉介入治疗(percutaneous coronary intervention,PCI)的广泛应用,冠心病患者,尤其是多支、复杂病变患者的临床疗效明显提高。但是,直到目前为止,关于PCI处理多支病变患者的方式一直存在较大争议。国内外研究显示,对于冠心病多支病变患者,冠脉造影指导进行PCI完全再血管化和非完全再血管化的预后依然存在较大争议,说明单纯依靠解剖学影像指导PCI存在一定局限性。本例冠心病患者多次住院,造影指导PCI治疗很难解释术后再发的心绞痛症状,面临诊断及治疗困境,通过99Tcm-MIBI运动负荷+静息心肌血流灌注显像检测到多次PCI后仍然存在心肌缺血,指明了引起心肌缺血的"罪犯血管",以此为依据指导PCI治疗,术后患者心绞痛缓解,随访2年余,预后较好,未发生MACE事件。
该病例给我们的启发在于:1)完全再血管化使患者获得好的临床预后,在冠心病多支病变患者中以完全再血管化为诊疗目的;2)"真正的罪犯血管"不能单纯局限于冠脉血管病变,而要探查心肌缺血情况,通过核素心肌血流灌注显像定位引起心肌缺血的"罪犯血管",实现真正的血流灌注意义上的完全再血管化治疗。
主诉:PCI术后频繁发作心绞痛8个月,与活动有关。
现病史:患者9个月前无明显诱因突发心前区刺痛,冠脉CTA提示多支血管病变,ECG提示急性心梗,心肌酶升高,遂就诊于我院,造影检查提示三支病变,LAD近中段狭窄60%~90%,LCX远段狭窄99%,RCA远段狭窄70%,诊断为三支病变,主要累及LAD和LCX,遂PCI于LCX远段置入支架1枚。1个月后再次PCI治疗,于LAD近中段串联置入2个支架,实现造影指导下的完全血管化治疗。但是术后频繁发作心绞痛,与活动及情绪有关,反复就诊于多地、多家医院,调整不同用药方案均未见明显改善。为进一步诊治来我院,以冠心病收治入院。
既往病史:无高血压、糖尿病、高血脂病史。无冠心病、脑血管疾病史。2次PCI支架置入史,共放置3个支架。
诊疗难点:2次PCI术主要狭窄血管均已处理,但是患者出现典型心绞痛症状,引起心绞痛的原因如何解释?下一步的诊疗计划是什么?
两日法99Tcm-MIBI运动负荷+静息心肌血流灌注显像,基础心率82次/min,基础血压126/81 mmHg(1 mmHg=0.133 kPa);负荷后高峰心率142次/min,负荷高峰血压197/102 mmHg,运动量达次级量,负荷ECG未见明显ST段下降。心肌灌注显像提示部分后间隔中段及基底段、部分下壁中段及基底段(RCA供血区)心肌缺血,约占左心室面积12%;部分下壁基底段(RCA供血区)、部分后侧壁中段、后侧壁基底段(LCX供血区)心肌梗死,约占左心室面积12%。左心室整体收缩功能正常(图1)。


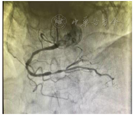
冠脉动脉造影:呈右优势,LAD血管内串联2个支架通畅,支架内无再狭窄,LCX近段最重处狭窄<30%,支架通畅,支架内无再狭窄,RCA中远段弥漫性狭窄70%~90%(图2)。


基于核素心肌灌注显像结果,诊断为不稳定心绞痛,PCI术后不完全再血管化。诊断依据为:老年男性,频发心绞痛,造影提示多支病变,LAD和LCX病变已处理,RCA远段中度狭窄未处理,经核素心肌血流灌注显像证实RCA血管狭窄为心肌大范围缺血的"罪犯血管"。
患者第3次造影,LAD与LCX支架通畅,RCA中远段狭窄70%~90%,狭窄程度较前两次造影加重,遂于RCA置入支架1枚。
支架置入后患者心绞痛症状明显缓解,随访2年至今,无不适症状,活动耐量良好。
回顾该病例,既往无冠心病病史及高危因素,突发不典型心绞痛,第一次就诊于当地医院,误诊为胸膜炎,错过最佳挽救心肌活性的时机。5 d后进行冠脉介入治疗,导致狭窄最重的LCX病变即使置入支架,依然造成心肌不可逆性损伤。4周后又处理了LAD近中段弥漫狭窄病变,串联置入了2枚支架,当时RCA中段狭窄30%~40%,远段狭窄70%,不考虑置入支架,达到了冠脉血管病变意义上的完全再血管化治疗,预估患者能够获得较好预后。
但是实际临床情况是患者术后出现了频繁发作心绞痛,多次、多地就诊于心内科、消化科,多种用药方案均未缓解心绞痛症状,严重影响了患者生活质量。于是再次就诊于我院心内科,反复观看两次造影及介入治疗过程图像,未找到症状发作原因。面临该患者的临床困境,来我科实施运动负荷+静息心肌灌注显像,结果提示RCA供血区存在较大范围心肌缺血,为患者一下步的诊疗计划指明了方向,遂再次造影行PCI治疗,发现RCA远端血管狭窄较前加重,置入支架后患者的心绞痛症状明显缓解,随访至今2年余,未见明显心绞痛发作,活动耐量好。
这个病例给我们的启示是什么呢?
冠脉介入治疗明显的改善了冠心病患者的预后。但是对于多支病变患者再血管化的决策的难题依然存在,国内外很多研究存在相互矛盾的结果。非完全血管化患者术后心绞痛的发生率高,而完全血管化术后支架内血栓、再次血运重建及出血发生率高。
该病例曲折的诊疗过程启示:仅仅依靠冠脉造影指导多支病变介入治疗是远远不够的!需要更详细、更深入的评估患者冠脉病变造成心肌血流灌注异常。负荷+静息心肌灌注显像是评级心肌缺血非常好的方法,在2015 ESC NSTE-ACS指南中作为IA类推荐。所以对于多支病变从心肌缺血的角度,结合造影,检测引起心肌缺血的所有冠脉狭窄病变,定义为"罪犯血管",实现"真正"罪犯血管的完全再血管化治疗,使得患者最大可能的受益于PCI治疗,改善患者预后。
所有作者均声明本研究不存在利益冲突





















