
患者,男,45岁,因"反复发热、咳嗽7 d"入院。入院前7 d无明显诱因出现发热,最高体温40℃,当地县医院住院治疗效果差,胸部CT示"右上肺实变影",入院后病情进展迅速,出现Ⅰ型呼衰,立即给予床边气管镜检查,无创机械通气。
呼吸急促,呼吸频率22次/分,急性面容,双肺呼吸音粗,双下肺可闻及少许湿性啰音,右侧明显,余无异常,心率67次/分,律齐,各瓣膜听诊区未闻及杂音,腹平坦,无压痛、反跳痛,腹部无包块。双下肢无浮肿。
肺泡灌洗液行宏基因高通量测序检测。
予以盐酸多西环素联合莫西沙星治疗,症状控制后维持用药。
病情明显好转,1个月后治愈。
呼吸与危重症医学科
版权归中华医学会所有。本文为遵循CC-BY-NC-ND协议的开放获取文章。
鹦鹉热衣原体肺炎既往认为较为少见,其发病率占社区获得性肺炎的1.03%[1]。重症鹦鹉热肺炎的病例更为罕见,国内文献鲜有报道。然而,近年来国内外报道逐渐增多,认为鹦鹉热衣原体可能是CAP当中较为常见的病原体,随着宏基因组高通量测序(metagenomic next-generation sequencing,mNGS)技术应用于临床,越来越多的鹦鹉热衣原体肺炎得以明确诊断。我们报道1例通过基于宏基因组高通量测序技术辅助确诊的鹦鹉热衣原体重症肺炎患者,并在治疗过程中相继出现呼吸衰竭、肝功能损伤等多器官功能障碍综合征,病情危重,经积极救治后治愈,旨在提高对于鹦鹉热衣原体肺炎的认识,帮助临床医生治疗鹦鹉热衣原体肺炎。
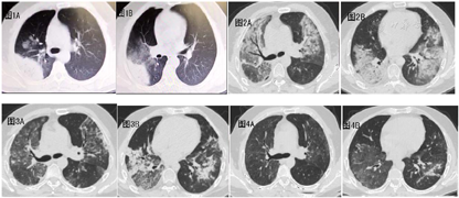
患者,男,45岁,因"反复发热、咳嗽7 d"于2019年1月16日入院。入院前7 d无明显诱因出现发热,最高体温40℃,热型为弛张热,伴畏冷、乏力,伴咳嗽,呈阵发性单声咳,偶咳少量白色黏痰,无其他不适,就诊当地卫生院予药物治疗(具体不详)后未见明显好转,仍出现反复发热,性质如前,转诊当地县医院住院,1月13号查胸部CT示"右上肺实变影"(图1A/B),予头孢他啶、氧氟沙星抗感染以及补液等治疗后,仍有发热,体温波动于38℃-39℃,伴全身酸痛、乏力,纳差、头痛,遂转入我院进一步治疗。住院期间发现血糖高,入科血糖17.3mmol/l。既往养殖鸽子二十余年,其他个人史、家族史无特殊。入科体检:呼吸急促,呼吸频率22次/分,急性面容,双肺呼吸音粗,双下肺可闻及少许湿性啰音,右侧明显,余无异常,心率67次/分,律齐,各瓣膜听诊区未闻及杂音,腹平坦,无压痛、反跳痛,腹部无包块。双下肢无浮肿。入院查血常规:白细胞计数8.22×109/L、粒细胞百分比93.1%↑、粒细胞计数7.65×109/L↑、淋巴细胞百分比4.0%↓、淋巴细胞计数0.33×109/L↓;C-反应蛋白226.0mg/L↑;降钙素原1.72ng/ml↑;血沉42.0mm/h↑;生化:葡萄糖13.75mmol/L↑、丙氨酸转氨酶239.0U/L↑、碱性磷酸酶231.0U/L↑、谷氨酰转肽酶130.00U/L↑、谷草转氨酶145.0U/L↑;凝血:D-二聚体5.56mg/L FEU↑、纤维蛋白原9.58g/L↑;糖化血红蛋白7.7%↑;尿常规:尿蛋白+↑、尿葡萄糖+↑、尿胆原++↑;过敏原:户尘螨、桑树、蟑螂、苋、芒果、腰果、菠萝、矮豚草/蒿/葎草/藜、柏榆柳栎桦枫胡桃梧桐杨阳性,总IgE 291↑;T淋巴细胞亚群:流式仪-CD3+细胞计数387个/uL↓、流式仪-CD8+细胞计数160个/uL↓、流式仪-CD4+细胞计数209个/uL↓。感染相关指标:鼻咽试纸流感胶体金检测、EB病毒DNA及IgM/IgG 、巨细胞病毒DNA及IgM/IgG 、G试验、GM试验、结核感染T细胞、结核抗体、BALF涂片找抗酸杆菌、BALF结核杆菌DNA检测、痰/BALF涂片、痰/BALF培养/呼吸道病原抗体谱、肺炎支原体血清学试验、血培养阴性;术前四项、风湿免疫指标阴性。入院考虑肺炎(双侧),具体病原菌不明。入院后因家属暂拒绝行支气管镜等有创检查,故暂予经验性厄他培南抗细菌、奥司他韦抗病毒,及复方氨林巴比妥控制体温5天,不适症状稍有改善后再次发热,体温最高40℃,咳黄脓痰,伴全身酸痛乏力、纳差、头痛,伴气喘,查体:精神倦怠、双肺闻及弥漫性湿性啰音。血气分析示PH 7.52、PCO2 33mmHg、PO2 40mmHg、FiO2 21% SO2:77%,予无创机械通气。立即复查胸部CT(1月21日)提示"两肺实变影,考虑大叶性肺炎,较前进展"(图2)。立即行床边纤维支气管镜下肺泡灌洗,选取影像学肺炎最明显的叶段(右肺上叶),吸取肺泡灌洗液行mNGS检测,同时予莫西沙星联合替加环素抗细菌,米卡芬净抗真菌联合复方磺胺甲恶唑抗PJP经验性抗感染,间断联合激素,体温稍有下降,呼吸困难缓解。1月24日mNGS结果回报为鹦鹉热衣原体,序列数225,立即调整治疗为莫西沙星400mg qd联合多西环素100mg q12h。治疗1周后复查胸部CT(1月28日)较前吸收好转(图3)。1月后复查胸部CT(2月19日)较前进一步吸收好转(图4)。


鹦鹉热衣原体肺炎是因鹦鹉热衣原体(Chlamydia psittaci , Cps)感染引起的一类专性细胞内寄生,革兰染色阴性的人兽共患的自然疫源性疾病[2,3,4]。
人类致病主要是因为吸入被鹦鹉热衣原体污染的气溶胶,抑或接触感染鸟类的羽毛、组织或排泄物[5]。随着人类养殖宠物鸟禽类数量不断增多,及mNGS在临床上的广泛应用,鹦鹉热衣原体感染被报道也呈逐年上升的趋势[6]。鹦鹉热衣原体由呼吸道吸入人体后先进入肝和脾的网状内皮细胞增殖再经血液循环进入肺和其他器官[7]。本例患者感染鹦鹉热衣原体考虑与其家中长期养殖鸽子二十余年可能有关,此外考虑患者合并糖尿病,可能也是易感染因素。
临床上,鹦鹉热衣原体肺炎可以引起全身症状,疾病无特异性,可表现为流感样症状,如头痛、肌肉酸痛、高热、呼吸困难[8,9]。感染可能导致中枢神经系统症状[10],如头晕、头痛等,可能导致肝功能异常、胃肠道功能紊乱,如呕吐、便秘和腹泻等,以及贫血等并发症[11]。病情从轻症到重症不等,在未询问或无确切鸟类接触史时,会导致误诊,治疗不及时可能导致病情加重。鹦鹉热衣原体肺炎一旦合并呼吸衰竭,提示病情危重,出现呼吸困难、紫绀、烦躁及昏迷等症状,往往预示预后不佳[12],需加强监测、尽早干预。有文献指出,甚至一些急性型病例在没有表现出任何预先征兆的情况下可出现突然死亡[13,14]。本例患者也是以流感样症状为主,一度病情好转后急转直下出现病情加重,并发呼吸衰竭,合并肝脏、神经多系统受累,符合此疾病特点。影像学方面,国外有文献显示,鹦鹉热衣原体肺炎影像表现多样化,沿胸膜下分布的结节、实变或磨玻影多见[15,16],本病例患者病灶为双肺,以右肺上叶最为严重,实质及间质均侵犯。可能与鹦鹉热衣原体毒性较强,患者免疫力较差有关。对于该病的诊断主要依靠于细胞培养、衣原体血清学、PCR或基因芯片等技术[17] ,而受病原分离培养和实验室条件等的限制,只能在专业的实验室进行,医院推广难度大。mNGS在诊断临床上罕见病原微生物中具有优势,可作为诊断鹦鹉热肺炎的一种早期、有效的方法[18]。临床上也能通过一些辅助指标,协助诊断,大部分患者外周血白细胞计数正常[19,20]。CRP高,但红细胞沉降率增快,有些肝功异常、血尿素氮/肌酐升高和低钠血症[21]。本例患者白细胞数也在正常范围内,血沉增快,谷丙谷草上升,血钠下降,与文献相符。
治疗上,由于鹦鹉热衣原体缺乏细胞壁,β内酰胺类抗生素无效。鹦鹉热衣原体肺炎治疗首选多西环素,其他有效的治疗药物包括细胞内浓度高的药物,如阿奇霉素、米诺环素、莫西沙星、左氧氟沙星等[22,23]。相关指南推荐治疗首选多西环素100毫克,q12h,疗程大于等于10天,也有推荐使用10-21天[9,24,25]。重症患者可联用四环素类和喹诺酮类[26]。本例患者我们明确诊断后使用多西环素100mg,q12h联合莫西沙星400mg,qd,治疗1周后复查胸部CT较前吸收好转。1个月后复查较前明显吸收。本例患者如家属配合能更早地行BALF送mNGS检查,将能更早明确诊断,尽早针对性治疗,防治疾病加重。
随着mNGS病原检测在疑难、少见、危重病例中的广泛应用,鹦鹉热衣原体肺炎受到越来越多的关注。临床上对有高热、咳嗽伴有肺部大片斑片实变影的患者应考虑到鹦鹉热衣原体肺炎的可能,应积极询问患者流行病学接触史,尽早行mNGS病原检测,明确病原菌,尽快过渡到目标治疗,缩短病程,改善预后。
所有作者均声明本研究不存在利益冲突





















