
患者,女性,40岁,因"反复咳嗽咳痰16年,活动后憋喘5年"就诊。自幼嗅觉缺失,鼻窦炎及中耳炎病史十余年。个人史、家族史无特殊。患者成年早期开始无诱因出现反复咳嗽,咳黄痰,间断应用抗生素及化痰平喘药物治疗可缓解。
听诊双肺可闻及痰鸣音。右侧锁骨中线第5肋间隙内0.5cm处可触及心尖搏动。
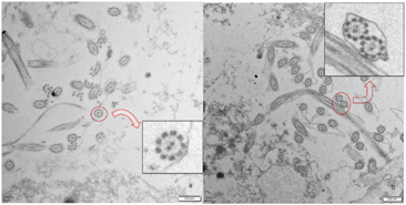
经鼻呼出气一氧化氮测定8ppb,胸腹CT:内脏转位,双肺多发囊状支气管扩张。刷检气道黏膜送检透射电镜见纤毛部分外动力臂缺失及复合纤毛形成。高速视频显微镜下观察纤毛摆动频率减慢。全外显子基因检测DNAH5单基因突变。
给予抗感染、化痰治疗,指导体位引流排痰及肺康复锻炼,
经治疗后患者症状好转,日常生活、工作正常。
呼吸内科;耳鼻咽喉科;儿科
版权归中华医学会所有。本文为遵循CC-BY-NC-ND协议的开放获取文章。
Kartagener综合征是以慢性鼻窦炎、支气管扩张和内脏转位三联征为临床特征的一种罕见遗传病,最早在1933年由Kartagener对其临床特征进行报道。该病是由于基因突变引起的纤毛结构和(或)功能缺陷导致了一系列与纤毛运动障碍有关的临床症状[1]。在胚胎发育早期负责控制心脏和内脏器官的正常位置的胚节纤毛功能障碍,可以使内脏发生随机转位。在出生后由于纤毛清除黏液功能,患者可出现反复的下呼吸道感染、中耳炎、鼻窦炎等。精子纤毛功能不良可出现男性不育,输卵管纤毛异常可延迟卵子运输导致女性不孕[2]。Kartagener综合征患病率约为1/40 000-1/20 000[3],通常的遗传方式是常染色体隐性遗传,也有少数X染色体遗传的报道[4,5]。由于该病患病率低,临床表现复杂,缺乏早期诊断的方法,容易出现漏诊及延误诊治的情况[6]。近年来外显子基因测序成为早期筛查和识别原发纤毛不动的重要手段,目前仍有未知的突变基因需要继续探索。因此本文通过回顾一例完全型Kartagener综合征患者11年随诊临床资料,结合文献复习总结原发性纤毛运动障碍的诊断方法进展,探讨全外显子基因检测对早期诊断原发性纤毛运动障碍(primary ciliary dyskinesia, PCD)的价值。
患者,女,40岁。因"反复咳嗽咳痰16年,加重1个月"于入院,患者自2004年开始无诱因出现反复咳嗽,咳黄痰,间断应用抗生素及化痰平喘药物治疗可缓解。2009年因咳嗽加重至我院就诊,肺CT提示内脏转位,支气管扩张伴感染。2016年开始出现活动后喘憋,运动耐力下降。因活动后憋气症状加重1个月于我院住院治疗。既往10年鼻窦炎及中耳炎病史,自幼丧失嗅觉。家族史无特殊。病史资料已获得知情同意。
查体:体温36.5℃,脉搏80次/min,呼吸频率20次/min,血压120/78mmHg;口唇无紫绀,右侧鼻腔可见半透明新生物,粗侧听力正常。颈软,无颈静脉怒张;听诊双肺可闻及痰鸣音;心脏位于右侧,右侧锁骨中线第5肋间隙内0.5cm处可触及心尖搏动。腹软,无压痛,四肢活动好。
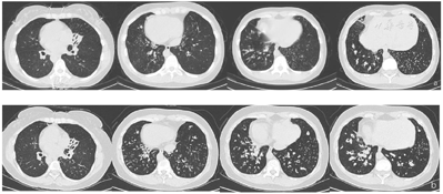
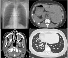
经鼻呼气一氧化氮:8bbp。肺功能提示中度阻塞性通气功能障碍,呼气峰流速下降,弥散功能正常。肺CT:内脏完全转位,双肺弥漫分布微结节,多发囊状扩张支气管,双肺下叶支气管管腔内可见高密度影填充,左肺中叶体积缩小,成三角形高密度影,2009年肺CT与2020年肺CT比较可见支气管扩张明显加重(图1)。鼻窦CT提示双侧上颌窦、筛窦、额窦、蝶窦内见密度增高影,慢性鼻炎(图2)。鼻内镜可见右侧中鼻道息肉组织。支气管镜检查可见主气道大量黏性分泌物,取支气管黏膜组织刷检送电镜检测可见部分纤毛外动力臂缺失及复合纤毛(图3)。高速视频显微镜下观察纤毛摆动频率减慢。采集全血标本,提取基因组DNA进行外显子基因检测,结果发现DHAH5基因63号外显子出现一个杂合突变,在10616号核苷酸由鸟嘌呤G变为腺嘌呤A(c.G10616A)的突变(箭头所示),导致第3539号氨基酸由精氨酸变为组氨酸(p.R3539H),见图4。该位点为国外已报道位点[7]。








患者中年女性,病程较长,表现为反复咳嗽咳痰。CT影像学检查可见内脏完全转位(右位心,左侧肝脏),双肺弥漫分布微结节,多发囊状扩张支气管。鼻窦炎,鼻道息肉。结合中耳炎,嗅觉丧失的病史,以及电镜检查发现气道纤毛超微结构异常,高速视频显微镜发现纤毛摆动频率低,可以明确诊断为Kartagener综合征(完全型Kartagener综合征影像检查见图3)。一般认为Kartagener综合征纯合或复合杂合的双等位基因突变致病,该患者全外显子基因检测发现单杂合基因突变,是否为致病基因尚无法判断。
患者经头孢联合左氧氟沙星抗感染,乙酰半胱氨酸雾化化痰治疗后症状好转,出院后长期门诊随诊指导患者体位引流排痰及肺康复锻炼,患者病情平稳。
Kartagener综合征属于PCD的一种亚型,研究发现Kartagener综合征约占PCD的50%,推测发生内脏转位是在胚胎发育中由于胚节纤毛功能障碍,使内脏出现转位或不转位的随机事件[8,9]。Kartagener综合征并不会在出生时即会表现所有临床症状,而是随着年龄增长,患者复发发生慢性咳嗽和呼吸道感染,临床症状逐渐典型。对于表现为完全型Kartagener综合征的患者(同时出现鼻窦炎、支气管扩张、内脏转位三联征),诊断相对容易,但确诊时间往往延迟。而不伴有内脏转位的PCD临床异质性较大,加之临床医生认识水平不足,极易出现漏诊和诊断延误[10],很多患者确诊时已进展至终末状态,早期确诊原发性纤毛运动障碍,尽早开始健康指导及肺康复锻炼对于改善患者预后极为重要。本例Kartagener综合征患者在年幼时常出现反复咳嗽咳痰症状,直至中年确诊。目前国内缺乏Kartagener综合征长期随访的肺功能及影像学数据,本研究首次对比了患者前后11年随访的肺CT变化,更直观地展示出疾病的进展的过程,特征的肺部病变影像为弥漫性分布,双下肺为主的囊性支气管扩张及粘液栓形成(图1ab)。
对于临床疑似PCD的患者,目前常用的检测方法的主要有鼻一氧化氮测定,纤毛透射电镜分析(transmission electron microscopy,TEM),高速视频显微镜分析(high speed video-microscopy analysis, HSVA)、基因分析和免疫荧光检测[11,12]。TEM是既往确诊PCD的重要方法,但仍有30%的患者纤毛电镜下未能见到超微结构异常[13]。随着基因检测技术发展,外显子基因检测技术已作为重要的诊断技术用于临床。鉴于检测技术的局限性,没有单一的检测试验可作为诊断PCD参考的"金标准"。2018年ATS指南[13]对PCD的诊治流程给出建议,将满足以下4条临床症状中2条及以上的患者作为PCD筛查的高危人群:(1)足月儿出现原因不明的呼吸窘迫;(2)6月龄内起病的常年咳嗽;(3)6月龄以内起病的常年鼻塞;(4)内脏转位。对高危人群建议采用鼻一氧化氮测定做初步筛查,疑似病例采用扩充基因检测发现PCD相关基因的双等位基因变异明确诊断,无明确基因变异的高度疑似患者需进一步寻找电镜下纤毛结构异常,纤毛活动异常的证据。临床症状综合上述检测方法可以提高疾病的诊断能力。本例患者符合完全型Kartagener综合征的临床表现,透射电镜可见部分纤毛外动力臂缺失及复合纤毛,支持了原发性纤毛功能障碍的确诊。
原发性纤毛运动障碍的致病基因复杂多样,近年来与纤毛不动相关的新基因不断被发现,目前已报道了40种可导致PCD的基因变异[4,14]。2018年ATS指南及欧洲呼吸学会发表的指南均支持早期基因检测作为PCD的一项确诊依据[7,13]。常见基因变异包括编码轴丝外动力蛋白臂的DNAH5、DNAH9、DNAH12、DNAI1、ARMC4和CCDC103、内动力蛋白臂的DNALI1等[15]。不同的突变基因可能与疾病表型和预后相关[16]。本例Kartagener综合征患者的全外显子测序仅检测到DNAH5基因一个变异位点,与既往报道的纯合或复合杂合的双等位基因突变遗传方式不相符合[4]。研究发现DNAH5是PCD的高频致病基因,目前报道的PCD基因检测中DNAH5约占28%-35%[17]。PCD是否存在单基因杂合突变致病仍不清楚。一项在对意大利47例PCD患者研究中可见到6例患者存在单基因杂合突变,其中由4例为DNAH5单基因杂合突变[18]。我国广州呼吸病研究所报道的5例Kartagener综合征病例系列研究中也发现有2例患者为单杂合突变[19]。目前仍有大约30%的PCD患者无法通过基因检测确定诊断,因此基因检测阴性并不能排除PCD的诊断。对于本例PCD患者出现单杂合基因突变可能的解释包括:受限于外显子基因检测技术,编码区的下一代测序筛查存在无法检测到的致病突变(如,启动子、内含子和其他调控序列的突变)[18];PCD基因之间的相互作用,以及存在未知突变基因的可能等[20];本例患者携带有单基因杂合DNAH5突变,是否为致病原因还需要进一步研究验证。
总之,原发性纤毛运动障碍是临床异质性及基因异质性均较强的罕见遗传病,漏诊和延误诊断相当普遍。我们在国内首次报道了Kartagener综合征随诊11年肺部影像学变化,更直观地加深了对疾病进展的认识。随着基因检测技术的快速发展,全外显子基因检测技术已应用于临床,仍有未知的突变基因和基因之间相互作用等有待探索。随着病例和基因数据的积累及PCD基因突变数据库的建立,基因检测技术对PCD的早期诊断能力将逐渐提高。对确诊患者及家族成员进行基因检测,也有助于早期诊断家族中其他成员PCD,并为产前筛查和遗传咨询提供依据。





















