
通过对一个罕见的下颌骨颜面发育不全伴小头畸形进行临床特征分析、人工耳蜗植入探索,以及基因学检测,分析探讨该综合征的临床诊断、耳科学治疗以及病因学特征。
患儿自幼双耳无听力,无言语发育,发育迟缓,小头畸形,面部发育异常,小下颌,双耳廓发育不良,脊柱及四肢发育无异常。检查提示双耳极重度感音神经性耳聋,中耳及内耳发育畸形伴双侧中耳乳突炎。全外显子组测序发现EFTUD2基因的新生杂合缺失变异c.623_624delAT。
因该类综合征临床表现谱广泛且缺乏特异性,最终确诊根据小下颌、小头畸形、面部及耳廓发育不良等鳃弓发育不良症状,发育迟缓,听力下降等及,结合基因学检测结果EFTUD2基因新生杂合缺失变异,将该患儿诊断为MFDM综合征。
尽管患者蜗神经发育不良,此患儿正处于言语发育时段,尽管此类患者大多存在发育迟缓,仍应尽早给予听觉康复以为其提供言语发育的条件。为解决其听力损失问题,进一步给该患儿进行了双侧人工耳蜗植入手术,术中及开机后部分电极反应良好。
术后调机显示患儿听觉恢复效果理想,术后随访1年发现语言发育弱于同龄儿童水平,可能与发育迟缓及蜗神经发育不良有关。
耳鼻咽喉头颈外科;儿科
版权归中华医学会所有。本文为遵循CC-BY-NC-ND协议的开放获取文章。
MFDM由Guion-Almeida等[1]于1999年首次报道并于2006年正式提出下颌面发育不全综合征的概念,是一种罕见的遗传性多发畸形综合征,表现为小头畸形、第一鳃弓和第二鳃弓异常(颧骨发育不全、小耳畸形、中耳畸形、耳道闭锁和/或后鼻孔闭锁)、听力下降以及各种全身畸形(食管闭锁、身材矮小、先天性心脏病、近端拇指、泌尿生殖系统异常等)。其病因与EFTUD2基因(MIM# 603892)缺陷导致其编码的剪接体GTPase的异常有关,常染色体显性遗传为主。本研究报道了由EFTUD2基因的新生缺失变异c.623_624delAT导致的MFDM患者1例,以发育迟缓、双耳极重度感音神经性耳聋、耳发育畸形为特征,进行了双耳人工耳蜗植入术,为该类患者的听力康复提供了新的参考。
患儿,男,10月龄余,家长以"发现患儿听力差10个月"为主诉入院。患儿出生后双侧听力筛查未通过,后多次复筛仍未通过。生活中患儿对外界声音无反应,仅能发出"啊啊"声。5个月前于我院行基因检测发现EFTUD2基因c.623_624del新生杂合变异,父母未发现此基因突变。2个月前患儿父母发现其言语发育较同龄儿童较慢,就诊于我院一中心耳鼻喉门诊,行听力学检查提示双耳极重度感音神经性耳聋。患儿父母体健,无家族性遗传病史,母亲妊娠期间无特殊病史。结合症状体征及基因学检测,可诊断为下颌面发育不全综合征。
身高78cm,体重8.5kg,头围42cm,进食正常。神志清楚,查体合作;患者发育迟缓、面部发育异常,小下颌,小头畸形,脊柱及四肢发育无异常。双耳廓发育不良,低位,褶皱少,双耳道无狭窄,鼓膜正常。无腭裂、耳前皮赘、先天性心脏病、后鼻孔闭锁、指端异常、癫痫、睑裂、脊柱侧凸、气管食管瘘及隐睾。
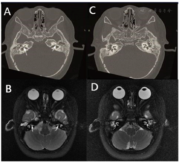
①听力学检查:声导抗:右耳B型鼓室图,左耳A型鼓室图;ABR:双耳100 dBnHL均未引出反应;40HzAERP:左耳阈值120 dB nHL,右耳120 dB nHL未引出反应;DPOAE:双耳各频率均未引出;ASSR(500Hz、1000Hz、2000Hz、4000Hz):左侧94-114-107-101 dB eHL,右侧最大强度未引出反应。②超声检查:心脏超声检查提示心脏结构及功能均未见异常;③颞骨CT:双侧外耳道正常,双侧听小骨结构存在,砧骨长脚及镫骨纤细。左侧水平半规管呈单囊状,前庭窗未发育。双侧面神经走行异常。耳蜗形态正常,内听道相对狭窄,双侧前庭水管无扩大。双侧乳突气化不良、气房及鼓室内见密度增高影,考虑双侧中耳乳突炎。④颅脑MRI:脑室系统形态及大小未见明显异常,脑沟、裂、池未见明显异常。⑤内耳MRI水成像:双侧蜗神经纤细,双侧面神经纤细可能,考虑发育异常,双侧前庭及水平半规管发育异常,双侧内听道对称、狭窄。⑥胸部正位片:胸部未见其他异常。




本研究在先证者中检测到EFTUD2基因的新生杂合缺失变异c.623_624delAT,该变异导致EFTUD2基因编码的蛋白p.His208ArgfsTer5,该变异在人群中的频率极低,ReVe、VEST3、REVEL、CADD四款软件均预测该变异为有害变异,可能影响蛋白产物的正常生理功能,根据ACMG指南变异评级为致病变异(参考数据库:HGMD Pro、PubMed、ClinVar)。进一步在家系成员中检测发现c.623_624delAT是新生变异,其父母均不携带该变异。该基因表型与以下临床表型相匹配:全面发育迟缓(HP:0001263);低位耳、传导性听力障碍;渐进性小头畸形;小下颌畸形;耳廓异常。其相关疾病(参考数据库:OMIM、HPO、CHPO、Orphanet):下颌骨颜面发育不全,Guion-Almeida型(OMIM:610536)。
目前与MFDM有关的基因为EFTUD2基因。诊断此病需要典型的临床表现的同时也要排除其他核糖核蛋白代谢和/或核糖体生成紊乱导致的其他颅面异常综合征,如Nager综合征[5]、Cerebro-Costo-Mandibular综合征[28]、Richieri-Costa-Pereira综合征[29]、Treacher Collins综合征[30,31]和Diamond-Blackfan贫血[32,33]。因该类综合征临床表现谱广泛且缺乏特异性,最终确诊需要结合临床表现及基因检测。
患者于入院后行双耳人工耳蜗植入。术中作耳后小切口,筛区入路逐层磨除骨质,见乳突气化差,其内黏膜水肿、增厚、分泌物填充,以乳突天盖为标志向前定位上鼓室,暴露畸形的砧骨短突,未见外半规管。面神经走形异常,水平段面神经15度斜形向后进入乳突腔,无明显锥曲段。经面神经隐窝暴露圆窗,见圆窗膜面积较正常小。将人工耳蜗接收器置入颞骨骨槽并固定。后经圆窗入路将耳蜗电极全部插入,植入顺利,安置电极线后逐层缝合。测试显示电极阻抗好,部分电极术中神经反应遥测(Nerve response telemetry,NRT)反应好。敷料覆盖。变换体位,右耳朝上,常规消毒铺巾。乳突气化差,面神经走行异常,解剖面神经及鼓索神经,同法植入右侧耳蜗,电极植入顺利,测试显示电极阻抗及部分电极NRT反应好。
术后1个月人工耳蜗开机,NRT显示耳蜗电极反应尚可。复查耳内镜显示:双侧耳道宽敞,鼓膜完整,标志清晰。术后患者在本地言语康复中心训练1个月后因疫情中断,在家训练不配合。术后9个月复查耳蜗的阻抗及调级参数见图3。术后半年、1年电话随访提示言语可懂度分级(speech intelligengibility rating, SIR)均为1级、听觉能力分级(categories of auditory performance, CAP)均为5级。


我们检索PUBMED和中国知网筛选出25篇文献,总结出由EFTUD2突变导致的128例MFDM患者,其临床主要表现包括:耳廓发育不良103例(80.47%)、小颌畸形101例(78.91%)、发育迟缓101例(78.91%)、小头畸形94例(73.44%)、颧骨发育不良86例(67.19%)、听力下降84例(65.63%)、外耳道闭锁或狭窄53例(41.41%)、腭裂49例(38.28%)、耳前皮赘47例(36.72%)、先天性心脏病36例(28.13%)、面部不对称32例(25.00%)、生长障碍29例(22.66%)、后鼻孔闭锁29例(22.66%)、拇指异常常[近端拇指、重复或发育不良28例(21.88%)]、癫痫27例(21.09%)、食道闭锁26例(20.31%)、前庭系统畸形18例(14.06%)、听小骨畸形15例(11.7%)、8例睑裂(6.25%)、脊柱侧凸或后凸7例(5.47%)、气管食管瘘6例(4.69%)、隐睾3例(2.34%)。其中明确听力下降的共84例,明确的传导性、混合性、感音神经性听力下降分别为32、17、9例,其中2例伴发分泌性中耳炎[10,23]、1例婴儿期伴发急性中耳炎[21]。
Guion-Almeida[1,2]1999年首次报道并于2006年正式提出下颌面发育不全综合征的概念。随后Lines等[3]于2012年发现了EFTUD2基因突变,确认其编码的剪接体GTPase的单倍剂量不足为此病的发病机制,是第一个由主要剪接体缺陷引起的多重畸形综合征。EFTUD2基因编码剪接体复合物的一种高度保守的GTPase成分,通过在剪接过程中以GTP依赖的方式使U4和U6 snRNPs解离来处理前体mRNAs以产生成熟的mRNAs[4]。现已报道76个不同的单核苷酸变异(SNV)和7个微缺失与MFDM有关[5]。Huang等[5]总结EDTUD2的突变来源大多是de novo(75%),其次是显性遗传(19%)和生殖系嵌合体(9%)。EFTUD2变异类型包括包括错义、移码、无义、内含子剪接位点变异和缺失[6]。该患者为EFTUD2杂合新生缺失变异c.623_624delAT,该变异为有害变异,其影响蛋白产物的正常生理功能,与MFDM临床表型相匹配。
MFDM的临床表现谱复杂多样,总的来说可以概括为颅面结构畸形、听力异常、生长发育迟缓等多个方面,其他尚有智力发育落后、先天性心脏病、癫痫等。但至今仍没有针对发育迟缓程度与中外耳及内畸形、尤其是听力下降程度的相关报道,笔者认为可能原因为对大多患者没有进行长期的跟踪随访研究。对于本病治疗,需要针对每个患者的病情,进行多学科序贯治疗。原则上应先治疗危及生命的病变,比如呼吸或进食问题、严重先天性心脏病,后可控制癫痫,行颜面部、脊柱或四肢、头颅畸形矫正来提高生活质量。同时做好认知发展、言语发展和心理社会技能的评估,及时干预。对于无严重智力障碍的儿童可早期积极改善听力,提供言语发育环境。本文检索25篇文献中报道采取助听器治疗3例,1例效果不佳[7],余下2例效果无报道[8,9]。1例报道4个月龄时伴有分泌性中耳炎,10个月龄双耳鼓膜置管后听力改善[10]。至今仍没有人工耳蜗植入治疗的报道。
尽管患儿蜗神经发育不良,但左侧仍能引出40 Hz听觉电位和多频听觉电位,说明蜗后神经通路功能尚可,并非耳蜗植入绝对禁忌症,术前与患儿家属沟通耳蜗植入成功后但存在听力改善不理想的风险,家属对于患儿双侧耳蜗植入的意愿强烈。在告知各种风险后本研究尝试在MFDM患者中进行了人工耳蜗植入手术,术中NRT显示部分耳蜗电极反应尚可亦可证明神经通路反应尚可。术后耳蜗调机参数显示患者听觉恢复效果理想,术后随访1年发现语言发育弱于同龄儿童水平,可能与发育迟缓及蜗神经发育不良有关。尽管文献报道指出发育迟缓在MFDM患者中普遍存在,但发育的结果却差异很大,其中独立行走的平均时间为26月龄(13~60个月),在言语个体中能首次发出有意义的单词的平均年龄为27月龄(12个月~5.5岁)[5]。本研究患儿双耳先天性极重度感音神经性耳聋,双侧蜗神经纤细,但颅脑MRI提示无明显异常,此患儿正处于言语发育时段,尽管此类患者大多存在发育迟缓,仍应尽早给予听觉康复以为其提供言语发育的条件。本研究为该类患者的分子诊断及临床干预提供了参考,提示为获得满意的听力言语康复,在明确诊断后应进行早期干预。
所有作者均声明本研究不存在利益冲突





















