
患者,女,32岁。因"视物不清3个月,发作抽搐4天"入院。既往于2012年在北京协和医院确诊为局限性硬皮病(右额面部),未规律治疗,个人史、家族史无特殊。
右额面部可见局限斑片状皮肤萎缩、质韧、头发脱落。神清语利,高级智能可,颅神经查体正常;四肢肌力、肌张力正常;四肢腱反射正常;左侧病理征阳性;余神经系统查体未见明显异常。
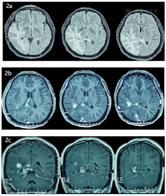
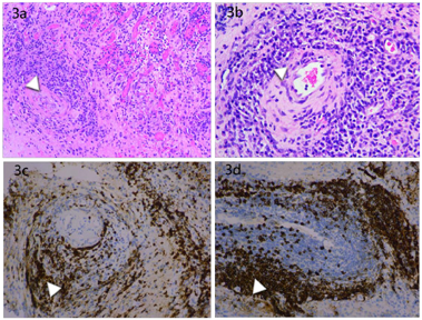
头颅磁共振成像(magnetic resonance imaging, MRI)增强及扩散加权成像(diffusion-weighted imaging, DWI)显示右内囊后肢、侧脑室后角旁、顶枕叶异常信号,体积减小,散在结节状强化。2020-9-24行右颞顶占位穿刺活检术。术后病理报告示血管壁及血管周围多量浆细胞及淋巴细胞浸润,血管壁玻璃样变,局部小血管增生明显,符合血管炎。
予以口服激素和硫唑嘌呤治疗。
出院时患者一般情况好,查体均正常。2021-4-29于北京协和医院神经科门诊随诊,患者情况稳定,无癫痫发作,视物不清等症状好转。
神经科
版权归中华医学会所有。本文为遵循CC-BY-NC-ND协议的开放获取文章。
硬皮病是一种以局限性或弥漫性的皮肤增厚、纤维化为特征的罕见结缔组织疾病,发病率约为0.4~2.7例/10万人[1]。硬皮病根据病变累及的部位及皮肤病变的程度主要分为两类:以皮肤硬化和内脏受累为特征的系统性硬皮病(systemic scleroderma),以及表现更为良性的局限性硬皮病(localized scleroderma)[2]。局限性硬皮病又称硬斑病(morphea),临床表现常为非对称性斑片或线状分布的皮损,典型皮损表现为好发于头皮、前额、腰腹部等部位的红色或淡红色水肿性斑片,一般不累及内脏器官[3]。局限性硬皮病的神经系统受累罕见,主要表现包括癫痫发作、锥体束损害、认知障碍、白质性脑病、三叉神经痛、肌病等[4],相关的中枢神经系统血管炎及其神经病理学报道较少。我们报告一例局限性硬皮病相关中枢神经系统血管炎的临床表现、影像学及神经病理学结果,探讨局限性硬皮病合并中枢神经系统血管炎的临床特征。
患者,女性,32岁。因"视物不清3个月,发作抽搐4天"于2020年09月入院。患者于2020年06月无明显诱因逐渐出现视物不清,未给予处理。2020年09月11日突发四肢抽搐伴意识不清,持续2分钟后缓解,伴小便失禁,无头晕、呕吐,无视物模糊,未自行处理。遂就诊于当地医院,查头CT示右侧颞枕顶叶、外囊及侧脑室旁、胼胝体压部低密度影,未进行治疗。8年前患者于北京协和医院免疫科确诊为局限性硬皮病(右额面部,图1),未规律治疗,个人史、家族史无殊。


入院体检:生命体征平稳,内科心肺腹查体未见明显异常。右额面部可见局限斑片状皮肤萎缩、质韧、头发脱落。神清语利,对答切题,粗测高级智能可;颅神经查体正常;四肢肌力、肌张力正常;四肢腱反射正常;左侧病理征阳性;深浅感觉正常;共济运动正常;步态正常;脑膜刺激征阴性。
辅助检查:脑脊液压力230mmH20,蛋白0.52g/L,余常规、生化、细胞学未见异常。头颅磁共振成像(magnetic resonance imaging, MRI)增强示右侧颞枕叶、胼胝体多发结节样及短条状异常高信号(图2);磁共振波谱成像(magnetic resonance spectrum, MRS)提示所选右侧颞枕叶感兴趣区Cho峰升高,NAA峰降低,Cho/NAA约0.65-2.01;头弥散张量成像(Diffusion Tensor Imaging, DTI):右侧颞枕叶可见片状异常信号,FA值减低,其内神经纤维明显减少、部分断裂;颅内磁共振静脉血管造影(magnetic resonance venography, MRV)提示左侧横窦显示不清,右侧横窦-乙状交界区显影浅淡;颅内磁共血管造影(magnetic resonance angiography, MRA)未见明显异常。2021年04月30日于北京协和医院神经科门诊就诊,头颅MRI增强及弥散加权成像(diffusion-weighted imaging, DWI)显示右内囊后肢、侧脑室后角旁、顶枕叶异常信号,体积减小,散在结节状强化,DWI信号不高,考虑炎性疾病可能。多学科会诊意见:影像学提示:右侧颞枕、海马区多发散在病变,目前证据尚不能明确病变性质,结合患者有硬皮病病史,不除外硬皮病累及中枢神经系统改变,建议活检。


2020年09月24日行右颞顶占位活检术。术后病理镜下可见血管壁及血管周围多量淋巴细胞及浆细胞浸润,血管壁玻璃样变,局部小血管增生明显(图3),符合血管炎。临床考虑为硬皮病合并中枢神经系统血管炎。予以口服激素、抗癫痫药物、硫唑嘌呤100mg每日。出院时患者一般情况好,查体均正常。患者情况稳定,无癫痫发作,视物不清等症状好转。


本例特点为青年女性,隐袭起病,亚急性病程。主要表现:视物不清,癫痫发作,神经科查体阳性发现左侧病理征阳性,余未见明显异常。定位诊断:左侧病理征阳性,定位于上运动神经元损伤,结合头颅MRI增强结果,定位于包括颞枕叶在内的右侧大脑多发散在区域。定性诊断:患者右颞顶占位穿刺活检术术后病理报告示血管壁及血管周围多量浆细胞及淋巴细胞浸润,血管壁玻璃样变,局部小血管增生明显,符合血管炎表现。既往局限性硬皮病病史8年,结合临床、影像学表现,确诊局限性硬皮病相关的中枢神经系统血管炎。
局限性硬皮病患者通常在儿童期起病,平均发病年龄为6.4~8.7岁,女性多于男性[5]。其神经系统损害以癫痫最常见,尤其是在线样硬皮病中。其中,又以部分复杂性发作和全面性强直-阵挛发作最常见。除此之外,锥体束损害也较为常见[4,6]。本例患者符合局限性硬皮病合并典型全面性强直-阵挛发作。这与Kister等人的研究结果相同:在54例局限性硬皮病相关神经系统损害的患者中有73%出现癫痫发作,且33%为药物难治性癫痫[7]。
文献报道的影像学表现有皮肤同侧的同侧局部脑萎缩、白质脱髓鞘、脑实质钙化等[8]。绝大多数的患者头颅MRI会出现不止一个部位的T2高信号,最常见的部位为皮层下脑白质、其他还包括胼胝体、深部灰质核团、脑干等[8,9]。值得注意的是,头颅增强MRI有异常信号的部分患者,尽管经过几年的免疫抑制治疗,强化信号仍然存在甚至增强[7]。这提示此类患者的中枢神经系统内仍有活跃的炎性反应。本例患者为右侧额面部局限性硬化症,同时影像学病灶也位于右侧,符合典型的局限性硬化症相关中枢神经系统血管炎表现。患者在应用半年免疫抑制治疗后复查头颅增强MRI,病灶仍有强化但体积缩小,提示免疫抑制治疗有效。
目前,局限性硬皮病累及中枢神经系统的发病机制仍不清楚。有相关研究表明血管系统可能是该病自身免疫反应攻击的一个靶点[4]。同时有其他研究的病理学结果均提示由于血管内皮细胞受损、血管通透性增加,血管及血管壁周围炎症细胞浸润(多为单个核细胞)、血管内膜增厚和血管狭窄[9,10,11]。小动脉逐渐失去弹性,中膜、外膜发生纤维化,更容易闭塞本例局限性硬皮病的神经病理学结果呈典型的血管炎表现,为血管炎是神经系统损害的病理学基础提供了一定证据。
中枢神经系统血管炎作为局限性硬皮病的一种罕见并发症,癫痫发作为最常见的神经系统临床表现,发病部位以头面部硬皮病的同侧大脑半球多见,神经病理学检查有重要确诊意义,免疫抑制治疗有效。
所有作者均声明本研究不存在利益冲突





















