
患者,男性,56岁,因"体检发现左肾占位3周"入院。患者于我院门诊查彩超提示左肾上极混合性占位性病变,性质待查,建议进一步检查。无"高血压病",既往病史无特殊。
神清,精神可,发育正常。全身浅表淋巴结无肿大。双肾区无红肿、隆起,双侧肋脊点、肋腰点无压痛,无叩击痛。腹平软,双肾未触及,双侧上、中输尿管点无压痛。
通过CT进行术前诊断,最终诊断通过病理检查、免疫组化及基因检测。
行腹腔镜下肾根治性切除术。
患者术后恢复良好,未发现肿瘤复发及转移。
泌尿外科
版权归中华医学会所有。本文为遵循CC-BY-NC-ND协议的开放获取文章。
Xp11.2易位/TFE3基因融合相关性肾癌(简称Xp11.2易位性肾癌),由de Jong[1]于1986年首次报道,该肿瘤是由于定位在Xp11.2上的TFE3基因发生断裂,并与ASPL、PRCC、NonO、PSF、CLTC等基因发生易位融合而得名。此病发病率低,主要好发于儿童和青少年,目前关于Xp11.2易位性肾癌的报道主要是以散发、个案报道为主[2,3],国际上并没有关于此类肿瘤详细的诊疗指南。我们报道1例Xp11.2易位性肾癌,旨在提高对本病的认识,减少误诊和漏诊。
患者,男性,56岁,因"体检发现左肾占位3周"入院。患者于3周前体检彩超发现左肾占位,无畏寒、发热、恶心、呕吐、腰腹痛、下腹痛,无尿频、尿急、尿痛、肉眼血尿。于我院门诊查彩超提示:左肾上极混合性占位性病变:性质待查,建议进一步检查。起病以来,患者食欲、精神、睡眠一般,大小便正常,近期体重无明显下降。既往体健,个人史、家族史无特殊。
体格检查:体温:36.8℃,脉搏:75次/分,呼吸:20次/分,血压:129/75mmHg。神清,精神可,发育正常。全身浅表淋巴结无肿大。双肾区无红肿、隆起,双侧肋脊点、肋腰点无压痛,无叩击痛。腹平软,双肾未触及,双侧上、中输尿管点无压痛。
尿常规:尿隐血阳性。
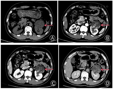
CT:CT示左肾可见一类圆形多房囊性混杂密度肿块,大小约53mm×46mm,边缘清楚,局部突出肾轮廓外,增强扫描示肿块壁和分隔不均匀增厚,动脉期实性部分呈结节状、条索状明显强化,囊性部分未见强化,门脉期实性部分密度低于肾实质,强化方式呈"快进快出"。(图1)


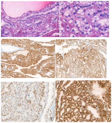
患者经过病理检查确诊。病理示:肾上极被膜下见一肿物大小约5.5 cm×4.5 cm×4 cm,边界清晰,切面囊实性,灰白色,内含清亮液体,蜂窝状。Ki-67指数约为2%。镜下见肿瘤边界尚清,呈囊实性,局灶由透明细胞构成的乳头状结构,伴有由嗜酸性颗粒胞质的瘤细胞组成的巢状结构,本片未见明显砂砾体。
免疫组化及基因检查对诊断及鉴别诊断极为重要。免疫组化提示TFE3(+)、Vimentin(+)、P504S(+)、Melan-A(+)。EMA、CK7、CD117、34βE12、CK20、HMB45、SMA免疫组化结果均为阴性(图2)。荧光原位杂交(FISH)基因检测结果:TFE3(Xp11.2)基因断裂结果为阳性(图3)。




患者入院后完善术前检查,行腹腔镜下肾根治性切除术,手术时间为85 min。患者术中、术后未输血及出现并发症。
患者术后恢复可出院。目前共随访2个月,暂未发现肿瘤复发或转移。
Xp11.2易位性肾癌是2004年WHO新增的肾癌亚型[4],TFE3的融合基因包括ASPL、PRCC、PSF、CLTC、NONO、RBM10、PARP14、LUC7L3、KHSRP、DVL2、MED15和GRIPAP1[5]。其发病率低,常好发于儿童和青少年。据既往文献报道,此肿瘤在儿童肾癌中占比高达20%~75%,成人肾癌中占比约1%~4%[5,6]。此疾病没有典型的肾癌"三联征",常常是由于体检发现的无症状肾脏肿块,部分有无痛性肉眼血尿或患侧腰痛。本例患者系由于体检彩超发现肾脏占位,既往没有腰痛,虽然无肉眼血尿,但是尿常规提示尿隐血阳性。
增强CT是目前术前诊断肾癌最常用的影像学方法。Xp11.2易位性肾癌在CT平扫中可表现为实性、囊性、囊实性结节,混杂密度,部分具有出血坏死、钙化灶等[7]。增强CT显示肿瘤强化明显,在皮质期和髓质期强化低于肾皮质,高于肾髓质,在延迟期强化低于肾皮质和肾髓质,肿瘤边界一般比较清楚[8],呈现较为典型的"快进快出"。文献报道Xp11.2易位性肾癌的CT表现与其他类型的肾癌轻微差别,如此肿瘤的CT增强幅度小于肾透明细胞癌[7],肿瘤平均直径比Ⅰ型乳头状肾细胞癌更大,包含更多的囊性成分[9]。本例病例中肾癌的CT表现为多房囊性混杂密度肿块,强化方式呈"快进快出",可以考虑诊断为肾癌,因其含有较多囊性结构,除考虑囊性肾癌外,还需要考虑Xp11.2易位性肾癌可能。
虽然大部分肾癌能够通过术前临床诊断,但是具体分型仍需通过病理确诊。Xp11.2易位性肾癌多为棕黄色,部分可见出血、坏死、钙化或囊性改变。镜下见肿瘤最独特的组织学特点是同时具有透明细胞和乳头状结构,胞质嗜酸性、颗粒状、体积大,细胞核圆,核仁突出,细胞边界清晰,染色质呈囊泡;间质内砂粒体易见[6,10]。Cheng等[6,10]提出可通过机器学习模型提取对比Xp11.2易位性肾癌和透明细胞肾癌普通HE染色的病理玻片的图像特征,外部验证该机器学习模型有较高的准确性,ROC曲线为0.842~0.894。但是对于此模型是否能有效应用于临床仍然需要更多临床研究。免疫组化对确诊尤为重要,TFE3蛋白阳性是Xp11.2易位性肾癌病理诊断的特征性标志物,这也是与其他类型肾癌最重要的鉴别诊断点。尽管TFE3蛋白在体内广泛表达,正常水平无法被免疫组化检测到。Xp11.2染色体易位导致TFE3基因融合,启动子的转录活性明显增强促使过表达TFE3蛋白,从而能被免疫组化检查到。CD10、E-cadherin、Vimentin、P504S可有不同程度阳性,但是与其他类型肾癌的鉴别诊断意义不大。在超微结构上,Xp11.2易位性肾癌有丰富的脂滴和糖原,与肾透明细胞癌类似[12]。本例肿瘤为囊实性,镜下虽未见明显砂粒体,但免疫组化TFE3呈阳性,从而提示诊断为Xp11.2易位性肾癌,同时利用荧光原位杂交技术进一步确诊。该原理是利用红绿双色分离探针分别标记TFE3基因上下两端的基因,因为Xp11.2易位性肾癌存在TFE3基因断裂和易位,从而在荧光显微镜下表现为红绿分离的现象。
目前该病例数尚少,未有规范的诊疗指南。对于局限性Xp11.2易位性肾癌,手术应该是最佳的治疗方式。根治性肾切除术对于局限性肾癌可获得较理想的疗效[13],肾部分切除术应该在某些特定病例可选择,如肿瘤直径小于4 cm且未见淋巴结及远处转移。腹腔镜和机器人技术日新月异,虽然微创手术与开放手术在治疗效果无明显差异,但微创手术在术中出血、术后并发症等均优于开放手术,手术时应尽量选择微创手术。对于有淋巴结转移、远处转移等进展期肾癌或晚期肾癌,治疗要比肾透明细胞癌更加棘手。传统的放化疗,如吉西他滨加卡培他滨、干扰素、白细胞介素-2被证实对此类型肿瘤无效[14,15]。而靶向治疗对于晚期Xp11.2易位性肾癌可能有效。Pwint等[16]报道了1例33岁男性患者的Xp11.2易位性晚期肾癌病例,白细胞介素-2治疗已无效,但对舒尼替尼有良好的反应,临床获益超过13个月,但随后疾病进展迅速直至死亡。Malouf等[17]报道11例远处转移的Xp11.2易位性肾癌患者接受舒尼替尼治疗的中位无进展生存期为8.2月,比9例接受细胞因子治疗的中位无进展生存期2个月长。接受索拉菲尼作为二线治疗的患者中位无进展生存期为6月。仍然需要更大型的临床试验验证靶向药物疗效。
目前大多认为该肿瘤在儿童患者中相对比较惰性,单纯手术切除可获得满意的效果,而在成人中则更多表现为恶性度高,进展转移快[6,13]。Dong等[18]的研究指出,相对较高的C反应蛋白与白蛋白比值、纤维蛋白原、远处转移与成人Xp11.2易位性肾癌预后不佳有关,基线纤维蛋白原水平是该病情进展的独立危险因素。
本研究具有一定局限性,由于随访时间较短,影响对Xp11.2易位性肾癌预后的评价。
所有作者均声明本研究不存在利益冲突





















