
患者,男,54岁,因"进行性腹胀加重10天,突发胸闷气促1小时"入院。入院前10天无诱因出现腹胀,入院前2天于外院行腹部CT示"大量腹水",入院前1小时出现胸闷气促后收入院。患者既往行腰背部黑痣切除术,家族中无类似病史。
一般情况良好,体格检查:听诊呼吸急促,30次/分,腹部膨隆,未见胃肠型及蠕动波,全腹软,下腹部轻压痛,无反跳痛,移动性浊音阳性,肠鸣音弱。腰背部见一长约4cm陈旧手术瘢痕,瘢痕上可见数枚大小不等,边界不规则的扁平黑褐色斑块,最大约1cm,左右大腿根部可见大小约0.6cm的扁平黑褐色斑块,边界不规则。
全腹增强CT:腹盆腔大量积液,腹膜、网膜、肠系膜弥漫增厚并多发软组织影。PET-CT:全身多处代谢增高,双肺多发转移,腹膜、网膜、盆腹腔、肠系膜见弥漫性增厚,代谢增高。腹腔镜探查:腹腔大量淡黄色腹水,大网膜挛缩,腹膜、网膜、肠系膜大量粉红色、串珠样、实性种植结节,予切取活检。术后病理:瘤细胞内色素不明显,核异型性明显,病理性核分裂像多见。免疫组化:Vim(+),MelanA(+),S-100(+),HMB45(-),BRAF-V600E(+)。结合痣手术史、临床表现、组织形态及免疫组化,诊断:无色素型恶性黑色素瘤(Ⅳ期,腹腔广泛转移)。
入院时腹胀、胸闷、气促,行超声引导下腹腔穿刺置管,引流出淡黄色透明清亮液体3000ml后,上述症状明显缓解。行腹腔镜探查活检明确病理性质后,予免疫治疗联合靶向治疗,方案为:特瑞普利单抗200mg,q3W,维莫菲尼960mg bid。
予3周期上述方案治疗后,患者腹胀、胸闷症状明显缓解,全腹增强CT示:腹水明显减少,腹膜、网膜、肠系膜及膀胱直肠陷凹弥漫腹膜增厚伴多发结节,较前明显减少。
胃肠外科;消化内科;肿瘤科;皮肤科
版权归中华医学会所有。本文为遵循CC-BY-NC-ND协议的开放获取文章。
恶性黑色素瘤(malignant melanoma, MM)是一种起源于神经嵴黑色素细胞、或色素细胞、或其母细胞的高度恶性肿瘤,预后差,死亡率高[1]。4%的黑色素瘤会出现远处转移[2],常见转移部位包括肺、脑、肝、骨[3]。恶性黑色素瘤腹腔转移多来源于明确的卵巢或胃肠道原发病灶[4,5,6],由皮肤直接转移而来的情况少见。本文报道了1例罕见的无色素型黑色素瘤发生腹腔广泛转移的病例,极易误诊为消化道恶性肿瘤。在结合痣手术史、腹腔镜探查活检及原切除痣病理免疫组化后,考虑为复合痣术后复发恶变为黑色素瘤,提示复合痣切除后仍有进展为黑色素瘤的可能。现将诊治经过记录如下。
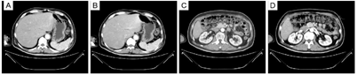
患者,男性,54岁,入院前10天无诱因出现腹胀,呈进行性加重,无法自行缓解。入院前2天行胸腹增强CT示:两肺多发实性结节,纵膈及食管下段多发肿大淋巴结,腹膜、网膜、肠系膜弥漫性增厚并多发软组织低密度影,腹盆腔积液(图1)。胃镜检查未见肿瘤病灶。入我科前1小时,出现胸闷、气促。2017年8月于外院行腰背部黑痣切除术,当时病理结果回报"皮内痣",家族中无类似病史。


入院查体:神志清楚,体温36.0℃,心率92次/分,呼吸30次/分,血压149/105mmHg。腹膨隆,无胃肠型及蠕动波,全腹软,下腹部轻压痛,无反跳痛,移动性浊音阳性,肠鸣音弱。腰背部见一长约4cm纵行手术瘢痕,其上可见数枚大小不等,边界不规则的扁平黑褐色斑块,最大约1cm。左右大腿根部可见大小约0.6cm的扁平黑褐色斑块,边界不规则(图2)。


实验室检查:腹水:一般细菌、真菌、抗酸杆菌培养及鉴定阴性,甲胎蛋白及胃肠癌三项(CA72-4、CA-199、CEA)阴性,乳糜试验阳性,乳酸脱氢LDH 286U/L。血清学:CA-125 131.43U/ml,LDH 248U/L,甲胎蛋白及胃肠癌三项阴性。
PET-CT(图3):腹膜弥漫性增厚、代谢增高,纵膈多发高代谢灶,考虑恶性肿瘤;腰背部浅表及胃肠道未见高代谢病灶。


腹腔镜手术探查(图4):腹腔大量淡黄色腹水;大网膜挛缩,腹膜、网膜、肠系膜大量粉红色、串珠样、实性种植结节,质脆,触之易出血,探查胃,十二指肠、小肠、阑尾、结肠,未发现明显原发病灶。


术中快速病理及脱落细胞学:术中行大网膜结节活检,见低分化腺癌浸润。脱落细胞学察见个别异型细胞,类似腺癌表现(图5)。


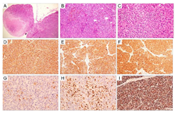
术后病理及免疫组化:瘤细胞呈片巢状分布,胞浆丰富,细胞内色素不明显,核异型性明显,可见核沟、核膜皱褶,核大深染,核浆比增高,可见核仁,病理性核分裂象多见,可见片灶状坏死;Vim(+)、MelanA(+)、S-100(+)、HMB45(-)、Ki-67(+,热点区域80%)、BRAF-V600E(+)(图6)。


患者既往无黑色素瘤病史,我院会诊患者原黑痣切除标本:镜下痣细胞主要在真皮内,少部分位于真皮与表皮交界的表皮侧,呈小巢或散在分布于,部分色素性痣细胞胞浆丰富,核居中或者偏位,有小核仁,部分细胞体积小,呈淋巴细胞样,无明显异型,核分裂像罕见,支持复合痣诊断(图7)。


患者既往无黑色素瘤病史,且一般黑色素瘤病灶葡萄糖摄取常呈现高代谢,而本例患者病灶葡萄糖摄取率远低于典型恶性黑色素瘤表现,PET-CT结果更倾向于消化道恶性肿瘤(腺癌可能性大),但内镜检查未见明确病灶。
经全院腹腔恶性肿瘤多学科(Multi-Disciplinary Team,MDT)专家会诊,认为应行腹腔镜探查活检,明确病理性质。术中探查见腹腔种植灶为粉红色、串珠状、实性结节,形态与胃肠道腺癌种植灶完全不同,探查范围内消化道未发现明显原发病灶。术后病理提示黑色素瘤可能,但镜下未见明显色素沉积,结合免疫组化,诊断为:无色素型恶性黑色素瘤。
患者既往黑痣切除术后病理回报"皮内痣",我院病理科会诊该样本并加做免疫组化,提示"复合痣"可能。患者既往手术瘢痕周围有新发黑色斑块,结合腹腔镜探查活检结果,不排除为恶性黑色素瘤病灶,但患者及家属希望尽快治疗,考虑腹腔病灶病理诊断明确,再次行皮肤黑斑活检不影响治疗方案的制定,且会增加患者的痛苦和等待时间,遂未再行活检。
尽管该患者痣细胞异型不明显,免疫组化细胞增殖指数不高,但结合患者病史,最终考虑为皮肤复合痣切除后复发恶变为恶性黑色素瘤,诊断为恶性黑色素瘤(Ⅳ期,腹腔广泛转移)。
患者入院时胸闷、气促考虑大量腹水引起膈肌上抬所致,行超声引导下腹腔穿刺置管引流,引流出淡黄色透明清亮液体3000ml后,腹胀、胸闷、气促症状明显缓解,后平均每日引流腹水约2000ml。因肿瘤性质不明,行腹腔镜探查活检,详细过程见"检查方法"部分,术中诊断恶性肿瘤腹腔广泛转移,行网膜结节切除活检术。术后依据恶性黑色素瘤NCCN指南[7],医院多学科团队制定了免疫联合靶向治疗方案,具体为:特瑞普利单抗200mg,q3W,维莫菲尼960mg bid。
行3周期上述治疗后,患者腹胀、胸闷症状明显缓解,全腹增强CT(图8):腰背部原术区未见肿瘤复发征象;腹膜、网膜、肠系膜及膀胱直肠陷凹弥漫性增厚伴多发结节,但较前明显减少,提示目前治疗方案有效。


痣恶变为黑色素瘤的终生风险较低,在男性、女性仅分别为0.03%、0.009%[8]。尽管本例患者痣细胞异型不明显,细胞增殖指数不高,根据第8版AJCC分期[2],理论上发生黑色素瘤恶变的风险很低,但实际上却出现了皮肤复合痣切除后的复发、恶变和转移。相较于黑色素瘤在原发部位复发,其在其他部位复发转移的概率更高[9],且4%~12%的转移性黑色素瘤无法明确原发灶的位置[10],这提示肿瘤细胞可能在形成原发实体肿瘤前已经扩散[11],为本文复合痣切除术后复发恶变为黑色素瘤,伴腹腔广泛转移的病例提供了科学合理的解释。
针对晚期恶性黑色素瘤转移灶的识别检测,PET-CT相比于CT及超声等常规影像学检查更具优势,有研究报道PET-CT的敏感性为68%-87%,特异性为77%~100%[12],其结果可影响高达30%黑色素瘤患者的治疗决策[13,14]。虽然本例患者行PET-CT检查前尚未明确黑色素瘤诊断,但PET-CT发现腹膜弥漫增厚并代谢增高,为腹腔镜探查活检提供了证据支撑,也为患者肿瘤分期和后续治疗方案提供了临床依据。
PET-CT虽能有效识别恶性肿瘤腹腔转移灶,但作为一种影像检查手段,既不能直观看清病灶大体形态,也不能对病灶定性,在诊断上存在一定的局限性。为进一步明确诊断,遂行腹腔镜探查术。腹腔镜作为一种微创技术,不仅是治疗手段,还是检查手段,尤其对于性质不明的腹腔转移恶性肿瘤,不仅能直接观察到病灶形态,还能获取充足的组织帮助明确诊断,有效弥补了影像学检查的不足。本例患者术中见肿瘤广泛分布于腹膜、网膜、肠系膜,但胃肠道全程浆膜及其他腹腔脏器未见明确原发灶,且转移灶形态为粉红色、串珠样、实性结节,这与消化系统恶性肿瘤腹腔转移表现完全不同,遂对病灶切除活检以明确病理性质。
患者术前PET-CT未见消化道高代谢灶,结合腹腔镜探查结果,初步排除消化系统原发肿瘤可能,腹腔镜探查未见明显黑色素沉积,经病理及免疫组化确诊,该病例为无色素型恶性黑色素瘤。通过查阅文献得知,约2%~9%的黑色素瘤可能没有色素沉着的临床表现或组织病理学证据[15,16],这与常见的黑色素瘤表现区别较大,易给诊断带来困扰。免疫组化S-100、HMB45、MelanA均是诊断黑色素瘤的特异指标,阳性结果有助于黑色素瘤的鉴别与诊断[17,18,19,20,21,22]。S-100对少色素特别是无色素黑色素瘤均有较强反应,其敏感性高,特异性低,其阳性表达可作为无色素型黑色素瘤的诊断指标。HMB45是抗黑色素瘤抗体,特异度接近100%,灵敏度约为93%,对确诊无色素性瘤细胞极为重要。MelanA与HMB45的临床特征相似,联合使用上述肿瘤标志物可以提高诊断的准确性。本例患者虽镜下未见明显黑色素沉积,但S-100及MelanA检测阳性,符合无色素型黑色素瘤诊断。与典型恶性黑色素瘤相比,无色素型黑色素瘤更易出现区域或远处转移[23],且预后更差[24]。
综上所述,复合痣复发恶变为无色素型黑色素瘤伴腹腔转移的情况少见,其用药方案与消化道恶性肿瘤伴腹腔转移截然不同,一旦误诊将导致严重后果,影响患者预后。黑色素瘤腹腔转移的临床表现不具特异性,当接诊有消化道症状但原发灶不明的腹腔转移癌患者,不能先入为主认为是消化道肿瘤,应详细问诊查体,明确患者皮肤有无黑痣,追问有无痣切除史,排除黑色素瘤,尤其是无色素型黑色素瘤,必要时可通过腹腔镜手术探查活检明确诊断。本例提示皮肤复合痣即使切除后,在临床上仍有复发、恶变和转移的可能,建议定期复查。
所有作者均声明本研究不存在利益冲突
本文包含的任何潜在的可识别的图像或数据的发表,已取得患者家人知情同意





















