
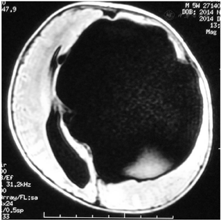
男,五周大婴儿,因"头围增大、吐奶一月余"就诊,行头部磁共振(Magnetic resonance imaging, MRI)检查示左侧额颞顶部巨大蛛网膜囊肿(Arachnoid cyst, AC),中线偏移,脑组织严重受压,伴有脑积水;
患儿头围增大、不对称,前囟门压力高,右侧上下肢活动较对侧差;
症状、体征结合头部磁共振检查;
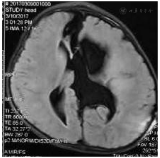
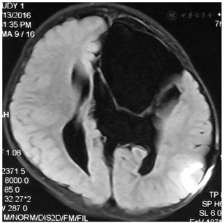
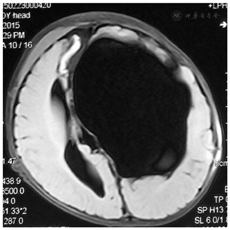
入院后行蛛网膜囊肿-腹腔(Cystoperitoneal,CP)分流术,初始开放压力设定为18 cmH2O,后每间隔3-6月调低2-3 cmH2O;术后2月MRI发现蛛网膜囊肿缩小;术后22月MRI发现囊肿进一步缩小,可见囊肿内分隔和透明隔,进一步行内镜下囊肿分隔和透明隔造瘘术,术后每2-3月逐步将分流阀压力从9 cmH2O调至15cmH2O;造瘘术后3月复查MRI发现囊肿进一步缩小、脑皮层增厚;
患儿行蛛网膜囊肿腹腔分流术后前囟门压力下降,右侧肢体活动有所好转;患儿行内镜下囊肿造瘘术后囊肿进一步缩小、脑皮层增厚,左侧脑组织进一步复张;右侧肢体活动接近正常、肌力V级。
神经科;儿科;新生儿科
版权归中华医学会所有。本文为遵循CC-BY-NC-ND协议的开放获取文章。
蛛网膜囊肿(Arachnoid cyst,AC)是脑脊液在脑池或脑裂的蛛网膜内和蛛网膜下腔聚集而形成。颅内AC于1831年首先由Bright报道,约占颅内占位性病变的1%。蛛网膜囊肿多为先天性,少数由外伤或出血引起蛛网膜下腔粘连导致脑脊液循环异常所致,流行病学显示,儿童颅内蛛网膜囊肿的总发病率约为2.6%[1],成人颅内蛛网膜囊肿的总发病率约为1.4%[2]。我们报道婴儿罕见巨大蛛网膜囊肿行分流术+造瘘术一例,旨在提供一定的临床参考意义。
男,五周大婴儿,因"头围增大、吐奶一月余"于当地人民医院就诊,前囟门压力高,右侧肢体活动较对侧差,行头部磁共振检查示左侧巨大蛛网膜囊肿,遂来我院进一步治疗。入院后行蛛网膜囊肿腹腔分流术,定期复查头部磁共振可见囊肿进一步缩小,囊肿内分隔、透明隔存在,22月后再次入院行内镜下囊肿分隔和透明隔造瘘术。








影像学诊断明确。MRI未见实质性占位影像、排除肿瘤性可能。
MRI检查示左侧额颞顶部巨大蛛网膜囊肿,脑组织严重受压,伴有脑积水,2014-12行蛛网膜囊肿腹腔分流术,初始开放压力设定为18 cmH2O,后每间隔3-6月调低2-3 cmH2O;术后2月MRI发现蛛网膜囊肿缩小;术后22月MRI发现囊肿进一步缩小,可见囊肿内分隔,入院进一步行内镜下囊肿分隔和透明隔造瘘术,术后逐步将分流阀压力9cmH2O调至15cmH2O;
造瘘术后三月复诊复查MRI发现囊肿进一步缩小、脑皮层增厚,左侧脑组织进一步复张,患儿右侧肢体活动较前明显好转、肌力V级。术后7年随访患儿已上一年级,家属诉患儿于学校学习、活动表现无明显异常。
儿童颅内蛛网膜囊肿的总患病率约为1.3%~2.6%,男性多于女性,多发生于中颅窝的颞叶,左侧多于右侧。随着B超和MRI等影像学技术的广泛应用以及孕期监测的完善,胎儿或婴儿颅内蛛网膜囊肿的检出率逐渐升高,在胎儿和<6月的婴儿中,则发现女性患儿、脑室内和中线囊肿相对多见。蛛网膜囊肿多为先天性,目前多认为是由于蛛网膜的先天发育异常、导致蛛网膜的分层或重叠而形成,也有认为是由于脑实质发育异常或CSF循环异常形成、为一种顿挫型的脑积水[3]。只有极少数的蛛网膜囊肿会逐渐增大、引起临床症状,绝大多数维持大小不变。目前尚没有确切数据报道增大囊肿占所有颅内蛛网膜囊肿的比例,也不明确囊肿增大的影像或临床表现的危险因素。文献报道3-4岁以后的患儿囊肿很少会再出现继续增大。而在婴儿或幼儿,判断囊肿影像学上的长大,需要综合到小儿颅腔快速增大的因素,按照相应比例予以判断。极少数蛛网膜囊肿会自发消失,可能是不自觉地轻微外伤后、囊肿破裂并自行吸收所致,一般见于较大龄儿童。还有极少一部分囊肿在有或无明显头部外伤时,发生破裂导致硬膜下积液甚至硬膜下血肿。
类似于本例的巨大囊肿,可导致占位效应、局部颅内压增高(局部颅骨突出、变形)或颅内压增高表现。对于儿童颅内蛛网膜囊肿的手术指证,存在不同观点,但有明显临床症状的患儿需要手术、指证明确。手术方式包括内镜造瘘、开颅切除、囊肿腹腔分流等[4,5,6]。内镜造瘘手术创伤小、恢复快,只要囊肿邻近有可以连通的脑池,如鞍上池、脚间池等,可以作为首选。有些部位或形态的囊肿,不具备造瘘可连通的脑池,适合开颅手术切除[7];此外,最常见的颞叶蛛网膜囊肿在合并癫痫、且脑电图检查异常放电与囊肿部位一致时,适合开颅手术、切除部分颞极脑皮质,理论上有利于癫痫的控制,但切除方式和范围、癫痫控制效果等问题还有待更强的临床证据。
值得一提的是,婴幼儿蛛网膜囊肿患儿,特别是巨大的囊肿在造瘘或切除术后,有较高的术后硬膜下积液和/或脑积水发生概率,可能和婴幼儿脑脊液吸收功能不成熟有关,且多出现颅内压增高症状,需要进一步分流手术[8,9,10]。对于本例巨大婴儿囊肿,进行囊肿腹腔分流术,且选择可调压分流管,是较为安全和合理的选择最佳手术方式,可以避免硬膜下积液和/或脑积水的发生。分流手术应选择可调压分流管,初压应设置在高值,避免术后塌陷、积液甚至出血风险,术后间隔3-6月复查,根据皮质扩张速度和程度逐渐调低开放压。在囊肿明显缩小时,再逐步调高分流阀的开放压,以降低对分流管的依赖,避免分流管依赖综合征的发生[11,12,13,14,15]。本例囊肿缩小后复查MRI,可见囊肿内分隔显现,结合内镜下造瘘、并打通透明隔,在促进囊肿隔腔之间,以及囊肿和脑室之间的脑脊液流动基础上,再调高分流阀的开放压,是较为理想的治疗策略。此外,本例也显示了婴儿脑组织发育和修复的巨大潜力,故遇此类患儿,医患双方不应轻言放弃。
所有作者均声明本研究不存在利益冲突





















